Human Physiology/Genetics and inheritance
Homeostasis — Cells — Integumentary — Nervous — Senses — Muscular — Blood — Cardiovascular — Immune — Urinary — Respiratory — Gastrointestinal — Nutrition — Endocrine — Reproduction (male) — Reproduction (female) — Pregnancy — — Development — Answers
Introduction
Genetics is the science of the way traits are passed from parent to offspring. For all forms of life, continuity of the species depends upon the genetic code being passed from parent to offspring. Evolution by natural selection is dependent on traits being heritable. Genetics is very important in human physiology because all attributes of the human body are affected by a person’s genetic code. It can be as simple as eye color, height, or hair color. Or it can be as complex as how well your liver processes toxins, whether you will be prone to heart disease or breast cancer, and whether you will be color blind. Defects in the genetic code can be tragic. For example: Down Syndrome, Turner Syndrome, and Klinefelter's Syndrome are diseases caused by chromosomal abnormalities. Cystic fibrosis is caused by a single change in the genetic sequence.
Genetic inheritance begins at the time of conception. You inherited 23 chromosomes from your mother and 23 from your father. Together they form 22 pairs of autosomal chromosomes and a pair of sex chromosomes (either XX if you are female, or XY if you are male). Homologous chromosomes have the same genes in the same positions, but may have different alleles (varieties) of those genes. There can be many alleles of a gene within a population, but an individual within that population only has two copies, and can be homozygous (both copies the same) or heterozygous (the two copies are different) for any given gene.
Genetics is important to medicine. As more is understood about how genetics affects certain defects and diseases, cures and treatments can be more readily developed for these disorders. The sequence of the human genome (approximately 3 billion base pairs in a human haploid genome with an estimated 20,000-25,000 protein-coding genes) was completed in 2003, but we are far from understanding the functions and regulations of all the genes. In some ways medicine is moving from diagnosis based on symptoms towards diagnosis based on genetics, and we are moving into what many are calling the age of personalized medicine.
DNA
Deoxyribonucleic acid (DNA) is the macromolecule that stores the information necessary to build structural and functional cellular components. It also provides the basis for inheritance when DNA is passed from parent to offspring. The union of these concepts about DNA allows us to devise a working definition of a gene. A gene is a segment of DNA that codes for the synthesis of a protein and acts as a unit of inheritance that can be transmitted from generation to generation. The external appearance (phenotype) of an organism is determined to a large extent by the genes it inherits (genotype). Thus, one can begin to see how variation at the DNA level can cause variation at the level of the entire organism. These concepts form the basis of genetics and evolutionary theory.
Gene

A gene is made up of short sections of DNA which are contained on a chromosome within the nucleus of a cell. Genes control the development and function of all organs and all working systems in the body. A gene has a certain influence on how the cell works; the same gene in many different cells determines a certain physical or biochemical feature of the whole body (e.g. eye color or reproductive functions). All human cells hold approximately 30,000 different genes. Even though each cell has identical copies of all of the same genes, different cells express or repress different genes. This is what accounts for the differences between, let's say, a liver cell and a brain cell. Genotype is the actual pair of genes that a person has for a trait of interest. For example, a woman could be a carrier for hemophilia by having one normal copy of the gene for a particular clotting protein and one defective copy. A Phenotype is the organism’s physical appearance as it relates to a certain trait. In the case of the woman carrier, her phenotype is normal (because the normal copy of the gene is dominant to the defective copy). The phenotype can be for any measurable trait, such as eye color, finger length, height, physiological traits like the ability to pump calcium ions from mucosal cells, behavioral traits like smiles, and biochemical traits like blood types and cholesterol levels. Genotype cannot always be predicted by phenotype (we would not know the woman was a carrier of hemophilia just based on her appearance), but can be determined through pedigree charts or direct genetic testing. Even though genotype is a strong predictor of phenotype, environmental factors can also play a strong role in determining phenotype. Identical twins, for example, are genetic clones resulting from the early splitting of an embryo, but they can be quite different in personality, body mass, and even fingerprints.
Genetics
Genetics (from the Greek genno = give birth) is the science of genes, heredity, and the variation of organisms. The word "genetics" was first suggested to describe the study of inheritance and the science of variation by prominent British scientist William Bateson in a personal letter to Adam Sedgwick, dated April 18, 1905. Bateson first used the term "genetics" publicly at the Third International Conference on Genetics (London, England) in 1906.
Heredity and variations form the basis of genetics. Humans apply knowledge of genetics in prehistory with the domestication and breeding of plants and animals. In modern research, genetics provide important tools for the investigation of the function of a particular gene, e.g., analysis of genetic interactions. Within organisms, genetic information is generally carried in chromosomes, where it is represented in the chemical structure of particular DNA molecules.

Genes encode the information necessary for synthesizing the amino-acid sequences in proteins, which in turn play a large role in determining the final phenotype, or physical appearance of the organism., or in case case sun energized protein In diploid organisms, a dominant allele on one chromosome will mask the expression of a recessive allele on the other. While most genes are dominant/recessive, others may be codominant or show different patterns of expression. The phrase "to code for" is often used to mean a gene contains the instructions about a particular protein, (as in the gene codes for the protein). The "one gene, one protein" concept is now known to be the simplistic. For example, a single gene may produce multiple products, depending on how its transcription is regulated. Genes code for the nucleotide sequence in mRNA and rRNA, required for protein synthesis.
Gregor Mendel researched principals of heredity in plants. He soon realized that these principals also apply to people and animals and are the same for all living animals.
Gregor Mendel experimented with common pea plants. Over generations of the pea plants, he noticed that certain traits can show up in offspring with out blending any of the parent's characteristics. This is a very important observation because at this point the theory was that inherited traits blend from one generation to another.

Pea plant reproduction is easily manipulated. They have both male and female parts and can easily be grown in large numbers. For this reason, pea plants can either self-pollinate or cross-pollinate with other pea plants.
In cross pollinating two true-breeding plants, for example one that came from a long line of yellow peas and the other that came from a long line of green peas, the first generation of offspring always came out with all yellow peas. The following generations had a ratio of 3:1 yellow to green. In this and in all of the other pea plant traits Mendel observed, one form was dominant over another so it masked the presence of the other allele. Even if the phenotype (presence) is covered up, the genotype (allele) can be passed on to other generations.
Time line of notable discoveries
1859 Charles Darwin publishes "The Origin of Species"
1865 Gregor Mendel's paper, Experiments on Plant Hybridization
1903 Chromosomes are discovered to be hereditary units
1906 The term "genetics" is first introduced publicly by the British biologist William Bateson at the Third International Conference on Genetics in London, England
1910 Thomas Hunt Morgan shows that genes reside on chromosomes, and discovered linked genes on chromosomes that do NOT follow Mendel's law of independent allele segregation
1913 Alfred Sturtevant makes the first genetic map of a chromosome
1913 Gene maps show chromosomes contain linear arranged genes
1918 Ronald Fisher publishes On the correlation between relatives on the supposition of Mendelian inheritance - the modern synthesis starts.
1927 Physical changes in genes are called mutations
1928 Fredrick Griffith discovers a hereditary molecule that is transmissible between bacteria
1931 Crossing over is the cause of recombination
1941 Edward Lawrie Tatum and George Wells Beadle show that genes code for proteins
1944 Oswald Theodore Avery, Colin McLeod and Maclyn McCarty isolate DNA as the genetic material (at that time called transforming principle)
1950 Erwin Chargaff shows that the four nucleotides are not present in nucleic acid in stable proportions, but that some general rules appear to hold. (e.g., the nucleotide bases Adenine-Thymine and Cytosine-guanine always remain in equal proportions)
1950 Barbra McClintock discovers transposons in maize
1952 The Hershey-Chase experiment proves the genetic information of phages (and all other organisms) to be DNA
1953 DNA structure is resolved to be a double helix by James D. Watson and Francis Crick, with help from Rosalind Franklin
1956 Jo Hin Tjio and Albert Levan established the correct chromosome number in humans to be 46
1958 The Meselson-Stahl experiment demonstrates that DNA is semi-conservatively replicated
1961 The genetic code is arranged in triplets
1964 Howard Temin showed using RNA viruses that Watson's central dogma is not always true
1970 Restriction enzymes were discovered in studies of a bacterium Haemophilus influenzae, enabling scientists to cut and paste DNA
1977 DNA is sequenced for the first time by Fred Sangr, Walter Gilbert, and Allan Maxam working independently. Sanger's lab complete the entire genome of sequence of Bacteriophage
1983 Kary Banks Mullis discovers the polymerase chain reaction (PCR) enabling the easy amplification of DNA
1985 Alec Jeffreys discovers genetic finger printing
1989 The first human gene is sequenced by Francis Collin and Lap-Chee Tsui. It encodes the CFTR protein. Defect in this gene causes Cystic Fibrosis
1995 The genome of Haemophilus influenza is the first genome of a free living organism to be sequenced.
1996 Saccharomyces cerevisiae is the first eukaryote genome sequence to be released.
1998 The first genome sequence for a multicellular eukaryote, C. elegans is released.
2001 First draft sequences of the human genome are released simultaneously by the Human Genome Project and Celera Genomic
2003 (14 April) Successful completion of Human Genome Project with 99% of the genome sequenced to a 99.99% accuracy
2006 Marcus Pembrey and Olov Bygren publish Sex-specifics, male line trans-generational responses in humans, a proof of epigenetics
Transcription and Translation

Transcription is the process of making RNA. In response to an enzyme RNA polymerase breaks the hydrogen bonds of the gene. A gene is a segment of DNA which contains the information for making a protein. As it breaks the hydrogen bonds it begins to move down the gene. Next the RNA polymerase will line up the nucleotides so they are complementary. Some types of RNA will leave the nucleus and perform a specific function.
Translation is the synthesis of the protein on the ribosome as the mRNA moves across the ribosome. There are eleven basic steps to translation.
- The mRNA base sequence determines the order of assembling of the amino acids to form specific proteins.
- Transcription occurs in the nucleus, and once you have completed transcription the mRNA will leave the nuecleus, and go into the cytoplasm where the mRNA will bind to a free floating ribosome, where it will attach to a small ribosomal subunit.
- Methionine-tRNA binds to the nucleotides AUG. AUG is known as the start codon and is found at the beginning of each mRNA.
- The complex then binds to a large ribosomal subunit. Methionine-tRNA is bound to the P site of the ribosome.
- Another tRNA containing a second amino acid (lysine) binds to the second amino acid. Binding to the second codon of mRNA (on the A-site of the ribosome).
- Peptidyl transferase, forms a peptide3 bond between the two amino acids (methionine and lysine).
- The first amino tRNA is released and mRNA is translocated one codon carrying the second tRNA (still carrying the two amino acids) to the P site.
- Another tRNA with attached amino acid (glutamine) moves into the A site and binds to that codon.
- It will now form a peptide bond with lysine and glutamine.
- Now the tRNA in the P site will be let go, and mRNA is translocated one codon, (the tRNA with three amino acids) to the P site.
- This will continue going until it reaches the stop codon (UAG) on the mRNA. Then this codon will tell it to release the polypeptide chain.
These are some good sites to visit
- A http://www.studiodaily.com/main/technique/tprojects/6850.html
- B http://multimedia.mcb.harvard.edu/media.html
Select A the video of the Inner Life of a Cell. If you want to hear the descriptions in this process go to B web site and select the Inner Life: view the animation.
Inheritance
Children inherit traits, disorders, and characteristics from their parents. Children tend to resemble their parents especially in physical appearance. However they may also have the same mannerisms, personality, and a lot of the time the same mental abilities or disabilities. Many negatives and positives tend to "run in the family". A lot of the time people will use the excuse "It runs in the family" for things that have alternative reasons, such as a whole family may be overweight, yes it may "run in the family" but it could also be because of all the hamburgers and extra mayo that they all eat. Or the fact that after they eat the hamburgers they all sit on the couch and don't move for the rest of the evening. Children may have the same habits (good or bad) as their parents, like biting their nails or enjoying reading books. These things aren't inherited they are happening because children imitate their parents, they want to be like mom or dad. Good examples are just as important as good genes.
| Inheritance pattern | Description | Examples |
|---|---|---|
| Autosomal dominant | Only one mutated copy of the gene is needed for a person to be affected by an autosomal dominant disorder. Each affected person usually has one affected parent. There is a 50% chance that a child will inherit the mutated gene. Many disease conditions that are autosomal dominant have low penetrance, which means that although only one mutated copy is needed, a relatively small proportion of those who inherit that mutation go on to develop the disease, often later in life. | Huntingtons disease, Neurofibromatosis 1, HBOC syndrome, Hereditary nonpolyposis colorectal cancer |
| Autosomal recessive | Two copies of the gene must be mutated for a person to be affected by an autosomal recessive disorder. An affected person usually has unaffected parents who each carry a single copy of the mutated gene (and are referred to as carriers). Two unaffected people who each carry one copy of the mutated gene have a 25% chance with each pregnancy of having a child affected by the disorder. | Cystic fibrosis, Sickle cell anemia, Tay-Sachs disease, Spinal muscular atrophy, Muscular dystrophy |
| X-linked dominant | X-linked dominant disorders are caused by mutations in genes on the X chromosome. Only a few disorders have this inheritance pattern. Females are more frequently affected than males, and the chance of passing on an X-linked dominant disorder differs between men and women. The sons of a man with an X-linked dominant disorder will not be affected, and his daughters will all inherit the condition. A woman with an X-linked dominant disorder has a 50% chance of having an affected daughter or son with each pregnancy. Some X-linked dominant conditions, such as Aicardi Syndrome, are fatal to boys, therefore only girls have them (and boys with Klinefelter Syndrome). | Hypophosphatemia, Aicardi Syndrome |
| X-linked recessive | X-linked recessive disorders are also caused by mutations in genes on the X chromosome. Males are more frequently affected than females, and the chance of passing on the disorder differs between men and women. The sons of a man with an X-linked recessive disorder will not be affected, and his daughters will carry one copy of the mutated gene. With each pregnancy, a woman who carries an X-linked recessive disorder has a 50% chance of having sons who are affected and a 50% chance of having daughters who carry one copy of the mutated gene. | Hemophilia A, Duchenne muscular dystrophy, Color blindness, Turner Syndrome |
| Y-linked | Y-linked disorders are caused by mutations on the Y chromosome. Only males can get them, and all of the sons of an affected father are affected. Since the Y chromosome is very small, Y-linked disorders only cause infertility, and may be circumvented with the help of some fertility treatments. | Male Infertility |
| Mitochondrial | This type of inheritance, also known as maternal inheritance, applies to genes in mitochondrial DNA. Because only egg cells contribute mitochondria to the developing embryo, only females can pass on mitochondrial conditions to their children. | Leber's Hereditary Optic Neuropathy (LHON) |
Mechanisms of inheritance
A person's cells hold the exact genes that originated from the sperm and egg of his parents at the time of conception. The genes of a cell are formed into long strands of DNA. Most of the genes that control characteristic are in pairs, one gene from mom and one gene from dad. Everybody has 22 pairs of chromosomes (autosomes) and two more genes called sex-linked chromosomes. Females have two X (XX) chromosomes and males have an X and a Y (XY) chromosome. Inherited traits and disorders can be divided into three categories: unifactorial inheritance, sex-linked inheritance, and multifactor inheritance.
Unifactorial Inheritance

Traits such as blood type, eye color, hair color, and taste are each thought to be controlled by a single pair of genes. The Austrian monk Gregor Mendel was the first to discover this phenomenon, and it is now referred to as the laws of Mendelian inheritance. The genes deciding a single trait may have several forms (alleles). For example, the gene responsible for hair color has two main alleles: red and brown. The four possibilities are thus
Brown/red, which would result in brown hair,
Red/red, resulting in red hair,
Brown/brown, resulting in brown hair, or
Red/brown, resulting in red hair.
The genetic codes for red and brown can be either dominant or recessive. In any case, the dominant gene overrides the recessive.
When two people create a child, they each supply their own set of genes. In simplistic cases, such as the red/brown hair, each parent supplies one "code", contributing to the child's hair color. For example, if dad has brown/red he has a 50% chance of passing brown hair to his child and a 50% of passing red hair. When combined with a mom who has brown/brown (who would supply 100% brown), the child has a 75% chance of having brown hair and a 25% chance of having red hair. Similar rules apply to different traits and characteristics, though they are usually far more complex.
Multifactorial inheritance
Some traits are found to be determined by genes and environmental effects. Height for example seems to be controlled by multiple genes, some are "tall" genes and some are "short" genes. A child may inherit all the "tall" genes from both parents and will end up taller than both parents. Or the child my inherit all the "short" genes and be the shortest in the family. More often than not the child inherits both "tall" and "short" genes and ends up about the same height as the rest of the family. Good diet and exercise can help a person with "short" genes end up attaining an average height. Babies born with drug addiction or alcohol addiction are a sad example of environmental inheritance. When mom is doing drugs or drinking, everything that she takes the baby takes. These babies often have developmental problems and learning disabilities. A baby born with Fetal alcohol syndrome is usually abnormally short, has small eyes and a small jaw, may have heart defects, a cleft lip and palate, may suck poorly, sleep poorly, and be irritable. About one fifth of the babies born with fetal alcohol syndrome die within the first weeks of life, those that live are often mentally and physically handicapped.
Sex-linked Inheritance

Sex-linked inheritance is quite obvious, it determines your gender. Male gender is caused by the Y chromosome which is only found in males and is inherited from their fathers. The genes on the Y chromosomes direct the development of the male sex organs. The x chromosome is not as closely related to the female sex because it is contained in both males and females. Males have a single X and females have double XX. The X chromosome is to regulate regular development and it seems that the Y is added just for the male genitalia. When there is a default with the X chromosomes in males it is almost always persistent because there is not the extra X chromosome that females have to counteract the problem. Certain traits like colorblindness and hemophilia are on alleles carried on the X chromosome. For example if a woman is colorblind all of her sons will be colorblind. Whereas all of her daughters will be carriers for colorblindness.
Exceptions to simple inheritance
Our knowledge of the mechanisms of genetic inheritance has grown a lot since Mendel's time. It is now understood, that if you inherit one allele, it can sometimes increase the chance of inheriting another and can affect when or how a trait is expressed in an individuals phenotype. There are levels of dominance and recessiveness with some traits. Mendel's simple rules of inheritance does not always apply in these exceptions.
Polygenic Traits
Polygenic traits are traits determined by the combined effect of more than one pair of genes. Human stature is an example of this trait. The size of all body parts from head to foot combined determines height. The size of each individual body part are determined by numerous genes. Human skin, eyes, and hair are also polygenic genes because they are determined by more than one allele at a different location.
Intermediate Expressions
When there is incomplete dominance, blending can occur resulting in heterozygous individuals. An example of intermediate expression is the pitch of a human male voice. Homozygous men have the lowest and highest voice for this trait (AA and aa). Tay-Sachs, causing death in childhood, is also characterized by incomplete dominance.
Co-dominance
For some traits, two alleles can be co-dominant. Were both alleles are expressed in heterozygous individuals. An example of that would be a person with AB blood. These people have the characteristics of both A and B blood types when tested.
Multiple-Allele Series
There are some traits that are controlled by far more alleles. For example, the human HLA system, which is responsible for accepting or rejecting foreign tissue in our bodies, can have as many as 30,000,000 different genotypes! The HLA system is what causes the rejection of organ transplants. The multiple allele series is very common, as geneticists learn more about genetics, they realize that it is more common than the simple two allele ones.
Modifying and Regulator Genes
Modifying and regulator genes are the two classes of genes that may have an effect on how the other genes function. Modifying Genes alter how other genes are expressed in the phenotype. For example, a dominant cataracts gene may impair vision at various degrees, depending on the presence of a specific allele for a companion modifying gene. However, cataracts can also come from excessive exposure to ultraviolet rays and diabetes. Regulator Genes also known as homoerotic genes, can either initiate or block the expression of other genes. They also control a variety of chemicals in plants and animals. For example, Regulator genes control the time of production of certain proteins that will be new structural parts of our bodies. Regulator genes also work as a master switch starting the development of our body parts right after conception and are also responsible for the changes in our bodies as we get older. They control the aging processes and maturation.
Incomplete penetrates
Some genes are incomplete penetrate. Which means, unless some environmental factors are present, the effect does not occur. For example, you can inherit the gene for diabetes, but never get the disease, unless you were greatly stressed, extremely overweight, or didn't get enough sleep at night.
Inherited Genetic Disease
Some of the most common inherited diseases are hemochromatosis, cystic fibrosis, sickle cell anemia and hemophilia. They are all passed along from the parents and even if the parents don't show signs of the disease they may be carriers which mean that all of the children they have may be born with the disease. There is genetic testing that may be done prenatally to determine if the baby is conflicted with one of these diseases.
Hemochromatosis


Even though most people have never heard of hemochromatosis it is the most common inherited disease. About 1 in 300 are born with hemochromatis and 1 in 9 are carriers. The main characteristic is the intake of too much iron into the inflicted body. Iron is crucial to the workings of hemoglobin but too much iron is just as bad as too little iron. With hemochromatosis deposits of iron form on almost every major organ especially the liver, heart and pancreas, which causes complete organ failure. Hemochromatosis patients usually absorb two or three times the iron that is needed for normal people. Hemochromatosis was first discovered in 1865 and most patients have Celtic ancestry dating back 60 or 70 generations.
Treatments for hemochromatosis
The most common treatment for hemochromatosis is to induce anemia and maintain it until the iron storage is reduced. This is done by therapeutic phlebotomy. Phlebotomy is the removal of a unit of blood (about 500 mls.) This must be done one to two times a week and can take weeks, months, or years to complete. After this treatment some patients will never have to do it again and others will have to do it many times over the course of their life. Patients who undergo their recommended treatments usually go on to live a long and healthy life. Patients who decide against treatment increase their chances of problems such as organ failure -- or even death. Along with phlebotomy treatment, patients should stick to a low iron diet and should not cook with iron cookware.
Cystic Fibrosis (CF)
Cystic fibrosis is a disease that causes thick, sticky mucus to build up in the lungs and digestive tract. It is the most common lung disease in children and young adults and may cause early death. The mucus builds up in the breathing passages of the lungs and in the pancreas. The build up of the mucus results in terrible lung infections and digestion problems. Cystic fibrosis may also cause problem with the sweat gland and a man's reproductive system. There are more than 1,000 mutations of the CF gene, symptoms vary from person to person. The most common symptoms are: No bowel movements for the first 24 to 48 hours of life, stools that are pale or clay colored, foul smelling or that float, infants that have salty-tasting skin, recurrent respiratory infections like pneumonia, coughing or wheezing, weight loss or low weight gain in childhood, diarrhea, delayed growth, and excessive fatigue. Most patients are diagnosed by their first birthday but less severe cases sometimes aren't caught until after 18 years of age. 40% of patients are over 18 years old and the average life span of CF patients is about 35 years old, which is a huge increase over the last 30 years. Patients usually die of lung complications.

Treatment for cystic fibrosis
In 2005 the U.S food and drug administration approved the first DNA based blood test to help detect CF. Other tests to help detect CF include: Sweat chloride test, which is the standard test for CF. High salt levels in the patients sweat is an indication of CF, Fecal fat test, upper GI and small bowel series, and measurements of pancreatic function. After a diagnosis has been made there are a number of treatments available, these include: Antibiotics for respiratory infections, pancreatic enzyme replacement, vitamin supplements (mostly A, D, E, and K), inhalers to open the airways, enzyme replacement therapy which makes it easier to cough up the mucus, pain relievers, and in very severe cases, lung transplants.
Sickle cell anemia
Sickle cell anemia is an inherited disease of the red blood cells which causes abnormally shaped red cells. A typical red blood cell has about 270 million hemoglobin molecules, which bind with oxygen. In a person with sickle cell disease, one amino acid is changed in the hemoglobin molecule, and the end result is misshapen red blood cells. In a patient with sickle cell disease the red blood cells change from the normal round shape to the shape of a sickle or "C" shaped. The abnormal shape causes the cells to get stuck in some blood vessels which causes blockage in the vessel. This causes pain and can destroy organs because of the lack of oxygen. Sickle cells live only 10 to 20 days and a normal cell lives about 120 days.

This rapid death of blood cells leads to chronic anemia. Complications can include severe pain, terrible infection, swelling of the feet and hands, stroke, damage to the eyes, and damaged body organs. These effects can vary from person to person depending on the type of sickle cell disease they have. Some patients are mostly healthy and others are in the hospital more than they are out. Thanks to diagnosis and treatment advancements, most children born with sickle cell grow up to have a normal and relatively healthy life. The form of sickle cell is determined by which genes they inherit from the parents. When a child inherits a sickle cell gene (hemoglobin gene) from each parent it is called hemoglobin SS disease ( which is the formal name for sickle cell). When a child inherits a sickle cell gene from one parent and a different abnormal gene from the other parent, it is a form of disease called hemoglobin SC disease or hemoglobin S-thalassemia. If a child inherits a normal gene from one parent and a sickle cell gene from the other, the child will not have sickle cell but will be a carrier and may pass it to their children. Sickle cell affects mostly African Americans and some Latino Americans. A person who is a carrier (has one copy of the gene) is resistant to malaria. This heterozygote advantage explains why the gene is more common in people in equatorial regions, or who are descendants of such people (such as African Americans).
Treatment for Sickle cell anemia
Sickle cell is diagnosed at birth with a simple blood test. If the first blood test is positive then a second test is done just for confirmation. Because of the high risk of infections that occur with sickle cell, early diagnosis is very important. Other than a bone marrow transplant there is no known cure for sickle cell. Bone marrow transplants have a high risk of rejection and aren't an available option for every patient. The patient would need a bone marrow donor match with a low risk of rejection. Even without a cure, with the use of pain medications and antibiotic treatments, children with sickle cell can live a long and happy life. Blood transfusions are sometimes used to treat episodes of severe pain. For adults who have recurrent pain episodes (at least 3 yearly), a cancer drug, hydroxyurea (marketed as Droxia), has been approved to relieve symptoms. It appears to work by increasing the flexibility of sickle cells.
Hemophilia
About two thirds of people who have Hemophilia have inherited it. For the other third, there is no known cause for possessing the disorder. There are two types of hemophilia, Type A and Type B. Both are caused by a low level or a complete absence of protein in the blood. Without this protein, blood is not able to clot.
Some of the symptoms of Hemophilia are bleeding in the joints, knees, and ankles. Stiffness without pain in the joints, stiffness with a lot of warmth,(most ability for movement is lost due to swelling) blood in the urine or stool, excessive bleeding after surgery or loosing a tooth, excessive bruising, abnormal menstrual bleeding, and nose bleeds that last for long periods of time.
Hemophiliacs blood does not coagulate like a normal persons. Coagulation controls bleeding, it changes blood from a liquid to a solid. Within seconds of a cut or scrape, platelets, calcium and other tissue factors start working together to form a clot. Over a short time the clot strengthens and then dissolves as the injury heals. Hemophiliacs are missing the clotting factor, or it isn't working correctly which causes them to bleed for a longer time. The most common myth is that a person with a bleeding disorder will bleed to death from a minor wound or that their blood flows faster than somebody without a bleeding disorder. Some of the risks hemophilia are: Scarring of the joints or joint disease, vision loss from bleeding of the eyes, chronic anemia from blood loss, a neurological or psychiatric problem, death which may occur from large amounts of blood loss or bleeding in the brain or other vital organs. Most cases of hemophilia are caused from inherited disorders but sometimes people can get it from vitamin K deficiency, liver disease, or treatments like prolonged use of antibiotics or anti coagulation drugs. Hemophilia is the best known bleeding disorder and it has had the most research done on it, so hemophiliacs have a slight advantage over people with other bleeding disorders.
Treatment for hemophilia
To treat Hemophilia, a Clotting Factor is needed. It is in the shape of powder kept in a small, sterile glass bottle. It has to be kept in the fridge. When needed, The Clotting Factor is mixed with sterile water, then one minute later it can be injected into a vein. It may also be mixed with a large amount of water and injected through an IV.
There are over 140 centers that specialize in hemophilia. Most of these centers are "Comprehensive Care Facilities". Comprehensive care facilities provide all the services needed by a hemophiliac and their family. Services provided include: Primary physician, nurse coordinator, physiotherapist, and dentist. Hemophiliacs require a special dentist because of the higher risk of bleeding. It is recommended that hemophiliacs go to the treatment centers twice a year for a complete check-up.
The basic and most common treatment for patients with hemophilia A and B is factor replacement therapy. Factor replacement therapy is the IV injection of Factor VIII and IX concentrates which help control bleeding. This concentrate comes from two sources: human plasma and genetically engineered cells made by DNA technology. This concentrate is what the hemophiliac is lacking in their own genes. After the injection is given the patients blood becomes "normal" for a couple of hours which gives time for a clot to from at the site of a damaged blood vessel. This treatment is not a permanent cure, within about 3 days there is no trace left in the system. Today's Factor treatments are much more concentrated than they were in the past so very little is required even if the patient is going in for major surgery or has a major injury. Treatments are also very convenient, they can be stored at home in the fridge for up to 6 months. So if the patient is injured they don't need to go to the hospital they can give themself an injection at home. After the injection it only takes about 15-20 minutes for the clotting process to begin. There is a risk of contracting other disease such as AIDS from Factor VIII that is made from human plasma, but as technology gets better the cases of AIDS has dropped. There is no possibility of contracting diseases from genetic engineering Factor VIII.
Hemophiliacs can live a long life. The most common reason for early death among patients has been from AIDS related complications.
Non-heritable Genetic Disorders

Any disorder caused totally or in part by a fault (or faults) of the genetic material passed from parent to child is considered a genetic disorder. The genes for many of these disorders are passed from one generation to the next, and children born with a heritable genetic disorder often have one or more extended family members with the same disorder. There are also genetic disorders that appear due to spontaneous faults in the genetic material, in which case a child is born with a disorder with no apparent family history.
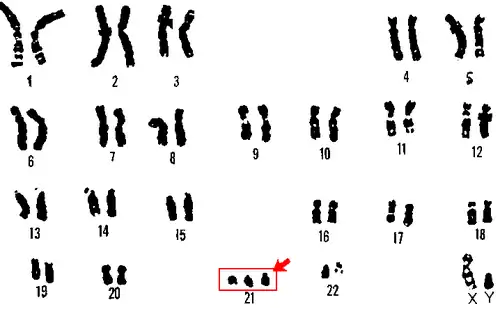
Down Syndrome, also known as Trisomy 21, is a chromosome abnormality that effects one out of every 800-1000 newborn babies. During anaphase II of meiosis the sister chromatids of chromosome 21 fail to separate, resulting in an egg with an extra chromosome, and a fetus with three copies (trisomy) of this chromosome. At birth this defect is recognizable because of the physical features such as almond shaped eyes, a flattened face, and less muscle tone than a normal newborn baby. During pregnancy, it is possible to detect the Down Syndrome defect by doing amniocentesis testing. There is a risk to the unborn baby and it is not recommended unless the pregnant mother is over the age of thirty-five. Other non-lethal chromosomal abnormalities include additional osex chromosome abnormalities which is when a baby girl (about 1 in 2,500)is born with one x instead of two (xx) this can cause physical abnormalities and defective reproduction systems. Boys can also be born with extra X's (XXY or XXXY) which will cause reproductive problems and sometimes mental retardation.
Chromosomal Abnormalities In most cases with a chromosomal abnormality all the cells are affected. Defects can have anywhere from little effect to a lethal effect depending on the type of abnormality. Of the 1 in 200 babies born having some sort of chromosomal abnormality, about 1/3 of these results in spontaneous abortion. Abnormalities usually form shortly after fertilization and mom or dad usually has the same abnormality. There is no cure for these abnormalities. Tests are possible early in pregnancy and if a problem is detected the parents can choose to abort the fetus.
Mutant Genes
Mutation is a permanent change in a segment of DNA.
Mutations are changes in the genetic material of the cell. Substances that can cause genetic mutations are called mutagen agents. Mutagen agents can be anything from radiation from x-rays, the sun, toxins in the earth, air, and water viruses. Many gene mutations are completely harmless since they do not change the amino acid sequence of the protein the gene codes for.
Mutations can be good, bad, or indifferent. They can be good for you because their mutation can be better and stronger than the original. They can be bad because it might take away the survival of the organism. However, most of the time, they are indifferent because the mutation is no different than the original.
The not so harmless ones can lead to cancer, birth defects, and inherited diseases. Mutations usually happen at the time of cell division. When the cell divides, one cell contracts a defect, which is then passed down to each cell as they continue to divide.
Teratogens refers to any environmental agent that causes damage during the prenatal period. Examples of Common Teratogens:
- drugs: prescription, non-prescription, and illegal drugs
- tobacco, alcohol,
- radiation,
- environmental pollution,
- infectious disease,
- STD's,
- Aids,
- Parasites,
Sensitive period to teratogen exposure, in the embryonic period is most vital. Fetal damage is minor.
Genetic Engineering
Genetic engineering is where the DNA or gene gets changed by a scientist to make a gene with the characteristics that they want it to have, and to get rid of the characteristics that they don't want the gene to have. This process can be applied towards any plant, animal, or person.
The main reason for genetic engineering is to "mass produce" a certain protein. Each cell is responsible for producing a certain protein and these proteins can be used for medical treatment and diagnosis. The job of each gene is to control the production of a particular protein in a living cell. If the gene responsible for synthesizing an important or useful protein can be found, and if that gene can be inserted into another cell that can be made to reproduce, then a colony of cells containing that gene can be grown and the protein will be manufactured in large quantities. This process is responsible for insulin and growth hormones and it is also used in vaccines to help prevent hepatitis and a treatment to help prevent viral infections. It also helps in genetically engineering Factor VIII which is a treatment for hemophilia.
The first step is to find the gene in the DNA of a cell that is responsible for the manufacturing of the desired protein. Then that gene is either extracted or the exact chemical structure is figures out to be synthesized. The last step is to insert the DNA into the recipient which is done by using special enzymes to split a molecule of the recipients cell and inserting the new gene.
There have been many steps taken to bring technology closer to being able to fix genetically inherited diseases. Hopefully someday there will be many fewer babies born with genetic diseases and disorders.
Gene Therapy
Gene therapy is a way to correct the defective genes that are the cause of disease development. When the genes are altered proteins are not able to function normally and as a result of this, defects can occur. Current gene therapy is still being experimented with, but in some cases it is very effective.
Genes are carried on chromosomes and are the basic physical and functional parts of hereditary. When there is a genetic disorder, gene therapy can help fix the problem either permanently or at least temporarily. The most common form of gene therapy is to insert a gene into a nonspecific place to replace a malfunctioning gene. Another method is gene swapping, where an abnormal gene is replaced by a normal gene. Genes could also be repaired through "selective reverse mutation" which returns the gene to it's original function. The degree to which a gene is turned on or off can also be altered.
Gene therapy works on the principle belief that a virus genome can be manipulated to remove disease causing genes and new therapeutic genes can be inserted in their place. These new genes are called gene therapy vectors. (The virus container is the vector and the new gene is the payload.)

A few of the different viruses used as gene therapy vectors are: Retroviruses - A class of viruses that can create double-stranded DNA copies of their original RNA genomes. Theses copies of its genomes can be mixed into the chromosomes of "host" cells. HIV is a type of retrovirus. Adenoviruses - A class of viruses with double-stranded DNA genome that cause respiratory, intestinal, and eye infections in humans. The common cold is an adenovirus. Adeno-associated viruses - A class of small, single-stranded DNA viruses that can insert their genetic material at a specific site on chromosome 19. (chromosome 19 represents about 2% of the human genome and contains about 1,500 genes. Some of the genes included are genes that code for insulin-dependent diabetes, myotonic dystrophy, migraines, and inherited high blood cholesterol). A class of double-stranded DNA viruses that infect a particular cell type, neurons, called Herpes simplex viruses is another common virus used in gene therapy. It is the virus that causes cold sores.
Major advancements have been made in gene therapy. There are many new discoveries in helping cure and treat diseases that claim millions of lives. Some of the disease that have cures or treatments because of gene therapy include: Parkinson's, Huntington's, Cystic Fibrosis, Some cancers, "Bubble Boy" syndrome and sickle cell. With technology jumping ahead, maybe someday there will be a cure for every life threatening disease.
Genetic Regulation of Development and Homeostasis
It is very easy to think of genetics as why I have blue eyes while both of my parents have brown eyes. Or how hemophilia is passed down from mother to son, and not mother to daughter. But Genetics is more in depth than that. At conception you started as a single cell. That cell started to divide. You didn’t increase in mass just in the number of cells. Once the bundle of cells reached a certain number, things changed. You started gaining mass by acquiring new resources (from your mother) and increasing in cell number. Your cells specialized. Some cells became the liver. Others became heart, lungs, brain, and so forth. Why is this? How did that little bundle of cells "know" when it was time to specialize? It is because your DNA has regulatory control over your entire system. If it didn’t, that bundle of cells would just keep dividing as undifferentiated cells and never specialize, never gain form or function. Thanks to the genetic regulatory control over your system, your anatomy forms correctly with everything in its proper place. Even after fetal development gene regulation still controls what each cell produces and how it functions. Puberty just doesn’t happen at the age of twelve. Puberty happens because genes in your genetic code are triggered by your growth and development, causing your endocrine system to start producing the proper hormones, thus causing you to mature sexually.
Even aging is genetically controlled. The mechanisms of genetic regulation are not discussed here, but it is worth noting that any step of gene expression may be modulated, from the DNA-RNA transcription step to post-translational modification of a protein. Gene regulation gives the cell control over structure and function, and is the basis for cellular differentiation. A cell can also respond to changes in its environment by altering gene expression. For example, a pancreatic cell exposed to high glucose levels releases pre-formed insulin that it was storing. Yet, if the high levels of glucose continue, the cell will transcribe additional copies of the gene for making insulin and thus increase insulin production to meet demand. This is homeostasis in action.
Glossary
Allele: one member of a pair of genes that occupy a specific position on a specific chromosome
Autosome: chromosome that is not a sex chromosome
Chromosome: threadlike strand of DNA and associated proteins in the nucleus of cells that carries the genes and functions in the transmission of heredity information
Cystic Fibrosis: recessive genetic disorder affecting the mucus lining of the lungs, leading to breathing problems and other difficulties
Fetal Alcohol Syndrome: combination of birth defects resulting form high (sometimes low) alcohol consumption by the mother during pregnancy
Gene: is a segment of nucleic acid that contains the information necessary to produce a functional product, usually a protein.
Genetics: is the science of genes, heredity, and the variation of organisms.
Genome: complete set of genetic information of an organism including DNA and RNA
Genotype: actual set of genes an organism has. It is the blue print of genetic material.
Hemochromatosis: metabolic disorder that causes increased absorption of iron, which is deposited in the body tissues and organs; the iron accumulates in the body where it may become toxic and causes damage
Hemoglobin: component of red blood cells that carries oxygen
Hemophilia: group of heredity disorders in which affected individuals fail to make enough of certain proteins needed to form blood clots
Inheritance: characteristics given to a child by a parent
Modifying Gene: alters how other genes are expressed in the phenotype
Multifactorial Inheritance: trait or disorder determined by multiple genes and/or environmental effects
Phenotype: organisms physical appearance
Polygenic: trait whose expression is influenced by more than one gene
Regulator Genes: initiate or block the expression of other genes.
Sex-linked: pertaining to a trait of a disorder determined by the sex chromosome in a persons cells or by the genes carried on those chromosomes
Sickle Cell Anemia: recessive disorder in which red blood cells take on an unusual shape, leading to other problems with the blood
Synthesize: to make using biochemical processes
Unifactorial Inheritance: trait or disorder determined by a single pair of genes
Zygote: cell formed by the union of male and female gametes. A Zygote is a cell that is the result of fertilization.
Review questions
- Answers for these questions can be found here
1. DNA is found on
- A) endoplasmic reticulum
- B) ribosomes
- C) chromosomes
- D) cytoplasm
2. Even though each cell has identical copies of all of the same genes, different cells __________ or ___________ different genes
- A) express, repress
- B) genotype, phenotype
- C) dominant, recessive
3. In diploid organisms, a dominant allele on one chromosome will
- A) show the expression of a recessive allele
- B) mask the expression of a recessive allele
- C) show that there are dominant alleles on both chromosomes
- D) none of the above
4. Transcription occurs in the
- A) cytoplasm
- B) golgi apparatus
- C) mitochondria
- D) nucleus
5. This is the start codon and is found at the beginning of each mRNA
- A) AGU
- B) GAU
- C) UAG
- D) GUA
- E) AUG
6. Sara was born with cystic fibrosis, from this we could assume that
- A) all of her siblings also have cystic fibrosis
- B) only her dad is a carrier
- C) only her mom is a carrier
- D) both of her parents are carriers
7. Jesse was born with a flattened face, almond eyes and less muscle tone; it could be assumed that he has
- A) a chromosome abnormality on chromosome 21
- B) a chromosome abnormality on chromosome 19
- C) a chromosome abnormality on chromosome 20
- D) a chromosome abnormality on chromosome 22
- E) No chromosome abnormality, these are his inherited traits
8. The most common inherited disease is
- A) hemochromatosis
- B) cystic fibrosis
- C) sickle cell anemia
- D) hemophilia
- E) all of the above
9. Being a carrier of sickle cell anemia means that the person will
- A) also be a carrier of hemophilia
- B) be resistant to malaria
- C) have children that all have sickle cell anemia
- D) have children that all have malaria
- E) none of the above
10. Hemophilia is
- A) a Y linked disease
- B) an XY linked disease
- C) an X linked disease