Issues in Interdisciplinarity 2019-20/Truth in Free Will
Introduction
Free will and the discussion surrounding its existence are pivotal to determining whether people can be held responsible for their actions.[1] In 2015, "Scientific American" found that 60% of its readers believed in free will, despite disciplines such as neuroscience providing new evidence to suggest that free will is an illusion, with neuroscientists proposing the alternative standpoint of determinism.[2]
One particularly unusual case demonstrates how the debate over the existence of free will is relevant to modern society.

Legal Case Study
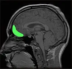
This case saw a man take a sudden, previously non-existent interest in child pornography, making sexual advances towards his step-daughter and staff at a sexual rehabilitation centre despite a strong contradiction to his own moral compass. He was subsequently sentenced to prison for child molestation. After experiencing strong headaches and an uneven gait, he underwent a neurological exam, revealing a tumour that had displaced his right orbitofrontal lobe.[3] The tumour was removed and mere hours later his behaviour and gait had returned to normal. Later, his sexual deviancy recommenced and he began to experience more headaches, with brain scans indicating the tumour had returned. After having it removed, he appeared to have been cured again.
This begs the questions: to what extent is the man truly culpable for his sexual deviance? Were his actions caused by medical factors beyond his control? If so, do we need to rethink our laws to incorporate loss of free will?
Truth in Free Will
Free Will in Christianity
Christianity is characterized by its view that humans not only consist of a material body, but also a distinct non-material soul that connects them with God, who is entirely non-material. This substance dualism is opposed to the idea of materialism or monism, which claim that humans, like everything in the world, are governed solely by physical laws. Dualism allows for the existence of free will and the freedom to make alternative choices in life because the interactionalist mind or soul can act upon the physical brain.[4] Current theologians like Barth and Cobb also argue that human actions and intentions are not purely physically determined, but subject to self-determination, asserting the existence of agent-based free will within the discipline.
Christianity holds two truths closely; the parameters of good and bad deeds and the existence of free will. Moral freedom is therefore strongly linked to a specific moral code, to give up selfish desires and transcend to selflessly sacrificing oneself for one's neighbours. Every human is encouraged to follow that 'law' of model behaviour for their souls to rest in heaven. This law therefore regulates the decisions agents make with free will. Luther formulates this paradox as the Christian individual being "free lord of all; subject to none" whilst being a "dutiful servant of all, subject to all in love."[5]
Free Will and Christianity in US Law
Despite the fact that the US has secularism explicitly enshrined in their original constitution as well as the Bill of Rights, there are plentiful arguments proving that religion, particularly Christianity, still plays a significant role in US law. 125 religious lobbies like the Christian Coalition currently work at shaping legal processes and policies in favor of their ideologies.[6]
The strong connection between Christianity and US law could explain its implications regarding free will. Indeed, a comprehensive analysis of US law has found significant remnants of substance dualism within it.[7] This is evident with the standard of taking into consideration the intentions of an individual when attributing accountability for a criminal action, reinforcing ‘our identity as moral agents capable of making free choices' and making the assumption that we have conscious control over our physical brain, including our desires.[7] This is something modern neuroscience is finding to be an unsustainable view, prompting the need for reconsideration of these basal truths which have shaped the legal system.
Truth in Determinism
Determinism Demonstrated
Libet laid the foundations for determinism in modern neuroscience in an experiment where he found that the start-time of the neural activity to cause motor action preceded the time of conscious intention to act by at least several hundred milliseconds, suggesting conscious will has no role to play in causing the action.[8]
A stream of studies since have corroborated and extended Libet's findings.[9][10][11] Subsequently, leading neuroscientists such as Harris accept that unconscious activity begins before conscious conception of an action and therefore argue free will "cannot be mapped on to any conceivable reality".[12]
Neuroscientists attribute the unconscious activity to the biochemical function of the brain.[12] This makes it highly rational to dismiss free will after assessing these studies from a neuroscientific perspective. Yet, the fact that this particular conclusion has been drawn is based on the ideas of truth within the discipline with regards to theory of mind.
Physicalism in Neuroscience
Sperry's study of 'split brain' patients in 1968 demonstrates neuroscience's position on theory of mind. By performing experiments with patients who had previously had their corpus callosum severed, Sperry was able to show that both hemispheres of the brain could work independently of one another, with different functions.[13][14]
Remarkably, each hemisphere of the brain produced a distinct conscious personality, which occurred due to the alteration of brain structure.[15] This propelled the idea that all mental phenomena such as consciousness and the illusion of free will are determined by biological structure and function, resulting in the discipline strengthening its relation to physicalism.[16]
Positivism and physicalism in this way determine the ideas formed about free will within neuroscience.[17] It follows that an interactionalist mind is not considered a reason to explain where and how unconscious activity begins from a neuroscientific perspective, leading prominent figures in the discipline to discard free will and make determinism a truth itself.
Conflicts about Truth
An interdisciplinary approach to free will, applying neuroscience to law and philosophy in the emerging discipline of neurolaw, presents the opportunity to update our moral assumptions, and hence our social frameworks, relative to modern scientific consensus.[18]
Application to Case Study
To consider the neurological aspect of the aforementioned case study, we consider clinical psychologist Cantor's assessment of the culprit. He proposed that the tumour merely impeded the man’s decision making process, interfering with his ability to regulate his behaviour which had previously suppressed his internal paedophilic desires. Thus, with regards to free will and culpability, whether or not the man truly wanted to act on these sexual desires was irrelevant; he had no liberty to make a different choice given the composition of his brain, and therefore no had no free will.
Conclusion
A complete overhaul of the foundational principles of law in respect to free will in attempt to reconcile these differences in truth may not necessarily lead to a more functional society. Psychological studies have shown people with a deterministic world view have a reduced sense of retribution and are more likely to cheat when the opportunity is provided.[19][20]
This demonstrates that the application of determinism to law may create focus on a system of rehabilitating and reintegrating offenders and construct a more reformative justice system. However, for a functional society the illusion of free will may need to be sustained. Further interdisciplinary cooperation may allow a practical resolution to be reached.
References
- ↑ Fischer JM. The Oxford Handbook of Ethical Theory. Oxford University Press; 2004. Free will and moral responsibility; p.321.
- ↑ Scientific American. Site Survey Shows 60 Percent Think Free Will Exists [Internet]. 2015 Jan 15 [cited 2019 Dec 8]. Available from: https://blogs.scientificamerican.com/talking-back/site-survey-shows-60-percent-think-free-will-exists-read-why/
- ↑ Burns JM, Swerdlow RH. Right Orbitofrontal Tumor With Pedophilia Symptom and Constructional Apraxia Sign. Arch Neurol. 2003;60(3):437-40.
- ↑ Calef S. Dualism and Mind. IEP. 2005. Available from: https://www.iep.utm.edu/dualism/#H5.
- ↑ Peters T. Free Will in Science, Philosophy, and Theology. Theol Sci. 2019;17(2):149-53.
- ↑ Davis DH. Law, the U.S. Supreme Court, and Religion. Oxford Research Encyclopedia of Religion. 2016 Aug 31. DOI: 10.1093/acrefore/9780199340378.013.449
- ↑ a b Pardo MS, Patterson D. Philosophical foundations of law and neuroscience. U Ill L Rev. 2010.
- ↑ Libet B, Gleason CA, Wright EW, Pearl DK. Time of conscious intention to act in relation to onset of cerebral activity (readiness-potential). Neurophysiology of Consciousness. 1993:249-268.
- ↑ Fried I, Mukamel R, Kreiman G. Internally generated preactivation of single neurons in human medial frontal cortex predicts volition. Neuron. 2011 Feb 10;69(3):548-62.
- ↑ Bode S, He AH, Soon CS, Trampel R, Turner R, Haynes JD. Tracking the unconscious generation of free decisions using uitra-high field fMRI. PloS one. 2011 Jun 27;6(6):e21612.
- ↑ Soon CS, Brass M, Heinze HJ, Haynes JD. Unconscious determinants of free decisions in the human brain. Nature neuroscience. 2008 May;11(5):543.
- ↑ a b Harris S. Free will. Simon and Schuster; 2012 Mar 6.
- ↑ Lienhard DA. Embryo Project Encyclopedia [Internet]. Arizona: ASU; 2017. Roger Sperry’s Split Brain Experiments (1959–1968); [cited 2019 Dec 5]. Available from: http://embryo.asu.edu/handle/10776/13035.
- ↑ Sperry RW. Hemisphere Deconnection and Unity in Conscious Awareness. Am Psychol. 1968;28:723–33.
- ↑ Niebauer C. No Self, No Problem. Hierophant Publishing; 2019.
- ↑ Gligorov N. Determinism and Advances in Neuroscience. AMA J Ethics. 2012;14(6);489-493.
- ↑ Mastin L. The Basics of Philosophy. Physicalism [Internet]. 2019 [cited 5 December 2019]. Available from: https://www.philosophybasics.com/branch_physicalism.html
- ↑ Burns K, Bechara A. Decision Making and Free Will: A Neuroscience Perspective. Behav Sci Law 25. 2007:263-280
- ↑ Shariff AF, Greene JD, Karremans JC, Luguri JB, Clark CJ, Schooler JW, Baumeister RF, Vohs KD. Free will and punishment: A mechanistic view of human nature reduces retribution. Psychological science. 2014 Aug;25(8):1563-70.
- ↑ Vohs KD, Schooler JW. The value of believing in free will: Encouraging a belief in determinism increases cheating. Psychological science. 2008 Jan;19(1):49-54.