Online OsiriX Documentation/How to Generate DSA Images
There are two ways to generate Digital Subtraction Angiography images with OsiriX (v1.7), once an XA image sequence has been stored in its database (an example sequence can be found at http://homepage.mac.com/kieranmaher/Anonymized.zip):
1. Using the Subtraction module

Display the image sequence in the 2D Viewer and activate the subtraction module (use Format | Customize Toolbar... if this module is not displayed in the toolbar of the 2D Viewer).
|
|
The image number used for the mask image is displayed – the first image of the sequence is the default mask. Browse through the sequence and adjust the WL/WW as needed. Click on the ‘current’ button to select another mask image.
![]() |
![]() |
![]() |
![]() |
Use the up/down arrows to shift the relative position of the mask and live images in single pixel increments in both horizontal (X) and vertical (Y) dimensions, if needed.
Note than finer shifts than whole pixels are a feature yet to be implemented in OsiriX.
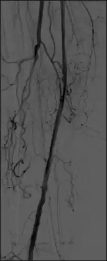
Use the Thick Slab module, in the MinIP mode to (effectively) integrate a number of live images so as to generate a vascular trace.
![]() |
![]() |
Notes:
Pixel values displayed for subtracted images refer (incorrectly) to unsubtracted images – presumably because the subtracted image is generated in display memory only.
A plug-in is available from http://homepage.mac.com/kieranmaher/LogTransformplugin.zip (for purists) to take the Log Transform of an image sequence prior to running the subtraction process.
2. Using the Fusion module
Open an image sequence in the 2D Viewer, and open the same sequence for a second time, so that the image sequence is displayed in two separate windows. Turn off synchronization by selecting 2D Viewer | Stack Syncronize | Off. Drag the icon of one window and drop it onto the image in the second window to call up the fusion functions and click the Subtraction button:

Pixel values displayed for subtracted images refer (correctly) to subtracted images with this option, although pixel shifting is not available. The Thick Slab module can be used to (effectively) integrate both mask images (before subtraction) and live images (before and following subtraction) so as to improve image SNR and to generate a vascular trace.







