Structural Biochemistry/Cell Organelles/Nucleus
The Nucleus
Eukaryotes derive their name from the fact that they contain a nucleus. The nucleus is also often the most prominent feature of eukaryotic cells viewed under a microscope. The nucleus is an organelle, an intracellular membrane-enclosed compartment with a specific function. The nucleus also contains chromatin. Chomatin is a complex of DNA and proteins. The nuclear membrane consists two concentric phospholipid membranes. Nuclei contains a region called the nucleolus, where ribosome assembly begins. Besides, the nuclear membrane contains nuclear pore complexes that allow for transport of material into and out of the nucleus. The metabolites and small proteins can diffuse through the NCPs. Large proteins that need to enter the nucleus are actively transported in through the NPCs.
The nucleus is a membrane-enclosed organelle found in eukaryotic cells. It contains the genetic material of the cell, organized as multiple long linear DNA molecules that coil around to form chromosomes. The transcription of RNA also takes place in the nucleus.


Function
The eukaryotic nucleus contains the genetic information of the cell, and insulates it from the cytosol. It is in the nucleus where the nucleolus is contained; the site of RNA synthesis and DNA replication. During the interphase stage of the cell cycle, the genetic material is found in the form of chromatin. It is during mitosis and meiosis that the chromatin coil together, using histone proteins, to form tightly packed sister chromatids which then replicate, forming daughter cells.
Structure

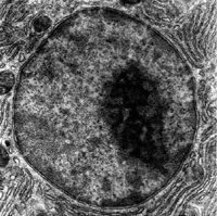
The nucleus is known as the information storage organelle. it is enclosed by a double membrane- "nuclear envelope". Inside of the nucleus there is DNA. The DNA is bound by proteins- "histones".There are 5 types of histone proteins out of which H2A,H2B,H3 and H4 ,each repeated twice form a core of 8 histone proteins around which wraps the DNA double helix linked by Histone H1 linker DNA proteins.this unit of 8 histones wrapped by DNA is called 'nucleosome'.A repitition of nucleosomes makes a nucleofilament that futher coils to form DNA coils and supercoils that form chromosomes. The dark spot of the nucleus is the nucleolus- site or rRNA synthesis. The nucleus has its own internal skeleton known as the nuclear lamina. It also has its own transport system called nuclear pores.
Nuclear Envelope
The Nuclear Envelope is a double layered membrane that surrounds the nucleus. It consist of nuclear pores that regulate the transportation of substances such as RNA into and out of the nucleus. The nuclear envelope consists of an outer nuclear membrane and an inner membrane. Both nuclear membranes are "lipid bilayers". The outer nuclear membrane is extensive and is connected to the rough endoplasmic reticulum or ER. The inner nuclear membrane is continuous with the nuclear lamina consisting of various lamins. The lamina is an attachment site for the chromosomes that also stabilize the structure of the nucleus. The inner nuclear membrane contains different kinds of membrane proteins. The inner and outer nuclear membranes are connected through nuclear pores. There are some bound ribosomes attaching to the outside of the nuclear envelope. These bound ribosomes function on inserting protein into and secreting protein out of the membrane.
Components in a nucleus
The cell nucleus is an important organelle because it is where genes and their controlling factors are formed. In order to do so, it needs the helps of the stored components:
- Chromosomes: store and organize genes that allow cell division.
- Nuclear pores: transport regulatory factos and gene products. http://commons.wikimedia.org/wiki/File:Pore_on_nuclear_envelope.JPG
- Messenger ribonucleic acid (mRNA): produce messages that code for proteins.
- Nucleolus: produce ribosomes that functioning in the expression of gene code into proteins.