Рак предстательной железы
| Рак предстательной железы | |
|---|---|
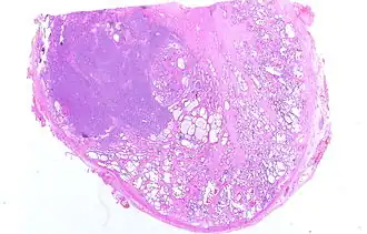
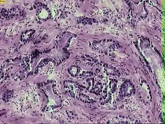
![]() Микрофотография инвазивной аденокарциномы простаты | |
| МКБ-11 | 2C82 |
| МКБ-10 | C61 |
| МКБ-10-КМ | C61 |
| МКБ-9 | 185 |
| МКБ-9-КМ | 185[1] |
| OMIM | 176807 |
| DiseasesDB | 10780 |
| MedlinePlus | 000380 |
| eMedicine | radio/574 |
| MeSH | D011471 |

Рак предста́тельной железы́ (рак проста́ты, карцино́ма проста́ты, карцино́ма предста́тельной железы́; англ. prostatic cancer, лат. adenocarcinoma prostatica) — злокачественное новообразование, возникающее из эпителия альвеолярно-клеточных элементов предстательной железы.
Рак предстательной железы — одно из наиболее распространённых злокачественных новообразований у мужчин. Ежегодно в мире выявляется свыше 400 000 случаев рака предстательной железы; в ряде стран он занимает в структуре онкологических заболеваний 2-е или 3-е место после рака лёгких и рака желудка[2] (так, в Европе в 2004 году заболеваемость раком предстательной железы составляла 214 случаев на 100 000 мужчин, в результате чего рак простаты занимал 2-е место среди основных причин смерти от рака у мужчин, опережая рак лёгких и колоректальный рак[3]).
Согласно данным общемировой статистики в 2012 году рак простаты зафиксирован у 1,1 млн мужчин, и одновременно привел к 307 тыс. летальных исходов[4]. Рак предстательной железы является причиной почти 10 % смертей от рака у мужчин и служит одной из главных причин смерти у пожилых мужчин. В США рак предстательной железы является третьей по частоте причиной смерти от злокачественных опухолей[5].
В России заболеваемость раком простаты занимает 7-е—8-е место (составляя около 6 %). У мужчин старше 60 лет это — наиболее часто встречающееся злокачественное новообразование. Особенностью рака простаты в России и других странах СНГ является поздняя диагностика, когда опухоль диагностируют на III—IV стадии[2]. В период с 1999 по 2009 годы показатель заболеваемости раком предстательной железы в России вырос в 2,8 раза (первое место среди злокачественных новообразований)[6].
История изучения
Первый случай рака предстательной железы был описан в 1853 году британским хирургом Дж. Адамсом, работавшим в Лондонском королевском госпитале и выполнившим гистологическое исследование образцов тканей простаты 59-летнего мужчины. В своей статье[7] Адамс рассматривал выявленное заболевание как «весьма редкую болезнь»; спустя полтора столетия это представление изменилось самым радикальным образом[8].
Операцию радикальной простатэктомии (хирургического удаления предстательной железы) впервые выполнил 7 апреля 1904 года американский хирург Х. Х. Янг в Госпитале Джонса Хопкинса в Балтиморе[9]. В конце 1930-х годов Ч. Б. Хаггинс создал метод измерения влияния гормональных манипуляций на функцию предстательной железы и положил начало использованию эстрогенов для терапевтического лечения рака простаты[10] (что принесло ему Нобелевскую премию по физиологии и медицине за 1966 год с формулировкой «за открытия, касающиеся гормонального лечения рака предстательной железы»)[8].
Гистологическая классификация
К В. Л. Бялику (1971) восходит следующая гистологическая классификация рака предстательной железы, по которой он подразделяется на следующие формы[11]:
- 1) недифференцированные:
- полиморфноклеточный рак (характеризуется большим количеством делящихся различных по форме и размерам клеток);
- 2) малодифференцированные:
- анапластическая аденокарцинома (характеризуется изменением внутриклеточных структур, специфическими формой и размерами клеток);
- солидный рак (при котором клетки располагаются пластами или тяжами, разделёнными прослойками соединительной ткани);
- скиррозный рак (при котором опухоль становится твёрдой, фиброзной за счёт преобладания соединительнотканной стромы над опухолевыми клетками);
- 3) дифференцированные:
- аденокарцинома (если рак возник из железистого эпителия);
- плоскоклеточный рак (если рак возник из плоского эпителия);
- тубулярный рак (если рак развился из узких каналов, выстланных кубическим или призматическим эпителием, в просвете которых может находиться секрет);
- альвеолярный (возникает из концевых отделов ветвящихся желез).
Около 95 % случаев рака предстательной железы составляют ацинарные аденокарциномы; на долю же остальных видов аденокарцином (протоковая, муцинозная, мелкоклеточная, переходно-клеточная) приходится не более 5 %[12]
Рак предстательной железы зачастую проходит стадию предрака, своевременное выявление которого существенно помогает осуществить прогноз и лечение. К предраковым состояниям предстательной железы относятся:
- атипическая гиперплазия предстательной железы (факультативный предрак предстательной железы, способный переходить в рак предстательной железы при определённых условиях);
- интраэпителиальная неоплазия предстательной железы (облигатный предрак предстательной железы, предшественник аденокарциномы предстательной железы).
Локализация опухоли
В 60—70 % случаев опухоль при раке простаты возникает в её периферической зоне. В центральной зоне опухоль появляется лишь в 5—10 % случаев, а остальные случаи приходятся на переходную зону[13].
Основные факторы риска

К факторам риска, увеличивающим шансы заболеть раком предстательной железы, относятся[15]:
- пожилой возраст (более 75 % случаев рака простаты диагностируется у мужчин старше 65 лет, а на мужчин моложе 60 лет падает лишь 7 % случаев заболевания);
- связанные с возрастом нарушения гормонального фона;
- особенности питания (у мужчин, употребляющих жирную пищу, риск возникновения рака простаты возрастает в 2 раза, поскольку обилие в пище животных жиров ведёт к ухудшению всасывания витамина A и, как следствие, β-каротина — фактора защиты от возникновения некоторых злокачественных опухолей);
- наследственная предрасположенность (так, риск заболеть раком предстательной железы повышается в 10 раз у мужчины, трое родственников которого больны данным заболеванием; в США самый высокий риск заболеть раком предстательной железы имеют афроамериканцы — в три раза выше, чем белые американцы, а у иммигрантов из Азии рак предстательной железы встречается редко);
- факторы внешней среды (например, облучение ультрафиолетовыми лучами);
- вирусные инфекции (в частности, обсуждалась гипотеза о вирусе XMRV из семейства ретровирусов как о факторе риска при заболевании раком простаты[16]);
- вредные условия труда (работа с кадмием, в резиновой промышленности).
Клиническая картина


Симптомов, характерных только для рака предстательной железы, не существует. Многие симптомы схожи с таковыми при доброкачественной гиперплазии предстательной железы. Ими являются:
- ирритативные симптомы — частые позывы к мочеиспусканию, ощущение неполного опорожнения мочевого пузыря, спастические или болевые ощущения в промежности;
- обструктивные симптомы — затруднение при мочеиспускании, наличие прерывистой или тонкой струи мочи, задержка мочи. Увеличение времени мочеиспускания. Необходимость напрягать мышцы брюшного пресса для полного опорожнения мочевого пузыря
Однако данные симптомы появляются, как правило, на стадии метастазов и связаны с разрастанием опухоли, когда речь идёт о запущенных стадиях рака. На начальных же стадиях рак простаты протекает бессимптомно.
В некоторых случаях наблюдается длительно продолжающийся (до года и более) лихорадочный синдром (febris intermittens) перемежающего характера, очень напоминающий таковой при туберкулезе и других хронических вялотекущих инфекционных заболеваниях, например, бореллиозе, иерсениозе и т.п., сопровождающийся вначале ночными, а затем до нескольких раз в сутки подъёмами температуры (37-37,8 градусов С), проливными потами, тупыми ломящими болями в мышцах, суставах и костях с постепенным истощением больного без нарушения или с минимальным нарушением мочеиспускания.
Метастазы при раке предстательной железы распространяются как по кровеносным, так и по лимфатическим путям. Возможны метастазы в лёгкие, печень, паховые и подвздошные лимфатические узлы, а также в костную ткань (преимущественно в кости таза). Выявлена эмпирическая закономерность: метастазы в лимфатические узлы не сочетаются с метастазированием в костную ткань[11].
Диагностика
К основным методам диагностики рака предстательной железы относятся[5]:
- исследование уровня простатического специфического антигена (ПСА) в крови;
- пальцевое ректальное обследование простаты;
- трансректальная эхография (трансректальное ультразвуковое исследование) простаты.
Используются также следующие методы диагностики:
- ультразвуковое исследование брюшной полости;
- биопсия предстательной железы, проводимая — как правило — по результатам ультразвукового исследования и сопровождающаяся оцениванием степени дифференцировки опухоли путём вычисления «суммы Глисона». Раннее биопсия являлась главным методом подтверждения диагноза рака простаты;
- магнитно-резонансная томография;
- радиоизотопные исследования (препараты: флуцикловин (2016), Gallium-68 PSMA-11, ), пифлуфоластат[17] (2021), флотуфоластат;
- рентгенологические обследования (включая компьютерную томографию);
- исследование образцов мочи на специфические маркеры опухоли предстательной железы, например длинные некодирующие РНК - маркер PCA3[18];
- урофлоуметрия.
Дифференциальная диагностика
Анализ результатов пальцевого ректального обследования предстательной железы и её ультразвукового исследования должен исключить наличие других заболеваний, вызывающих очаговые уплотнения простаты (неспецифический хронический простатит с образованием гранулём и очагов фиброза, склероз предстательной железы, туберкулёзное или актиномикозное поражение простаты, наличие камней в предстательной железе). Решающим при различении этих состояний является заключение цитологического или гистологического исследования[5].
Методы лечения
На ранних стадиях
При локальных формах (1-я или 2-я стадия, без метастазов) рака предстательной железы применяются следующие виды лечения:
- удаление предстательной железы (радикальная простатэктомия, при которой простата удаляется вместе с семенными пузырьками);
- дистанционная лучевая терапия (обычно предусматривает облучение предстательной железы и находящихся рядом лимфатических узлов в дозе около 40 Грей; позже направленное на опухоль излучение наращивают до 70 Грей);
- ультразвуковая абляция опухолей фокусированным высокоинтенсивным ультразвуком;
- брахитерапия, или интерстициальная лучевая терапия (основана на введении в опухоль зёрен с радиоактивными препаратами);
- криоабляция опухоли (процесс локального замораживания и девитализации тканей, позволяющий выполнить прицельную деструкцию поражённой ткани и прилежащих к ней по краю здоровых клеток);
- монотерапия антиандрогенами (наиболее редкий вид лечения).
Локализованный рак предстательной железы (когда метастазы отсутствуют) хорошо поддаётся лечению. При этом радикальное лечение (удаление опухоли) возможно лишь при локализованном раке простаты. Современные рациональные тактики лечения локализованного рака простаты включают оперативное вмешательство, лучевую терапию (дистанционную или брахитерапию) либо наблюдение (у больных старше 60 лет на начальной стадии локализованного рака оптимальна именно выжидательная тактика, поскольку их выживаемость не отличается от групп активного лечения)[19].
Ведущим методом лечения остаётся простатэктомия, причём в начале XXI века значительное распространение получили прогрессивные, малоинвазивные технологии простатэктомии, значительно снижающие травматичность лечения; одной из таких технологий является роботизированная хирургия (например, с использованием роботизированных установок серии «Да Винчи» американской компании Intuitive Surgical).
Дистанционная лучевая терапия и радикальная простатэктомия обладают примерно одинаковой эффективностью. Как правило, молодым мужчинам проводят радикальную простатэктомию, пациентам старшего возраста — лучевую терапию; при этом в случаях высокого риска распространения опухоли за пределы капсулы предстательной железы или поражении семенных пузырьков дистанционная лучевая терапия предпочтительнее хирургического лечения и брахитерапии[20].
Ультразвуковая абляция опухолей простаты с применением трансректального фокусированного высокоинтенсивного ультразвука (HIFU) представляет собой неинвазивный метод лечения, во время которого под спинальной анестезией в прямую кишку пациента вводят трансректальный аппликатор, состоящий из УЗИ-датчика и изогнутого пьезоэлектрического кристалла, который фокусирует ультразвуковые лучи в заданной точке. Лечение проводится под ультразвуковой навигацией; абляция ткани осуществляется за счёт сочетания теплового (повышение температуры до 80—90 °C в окрестности фокальной точки) и механического (повреждение тканей при схлопывании микропузырьков, формирующихся внутри клеток под действием высокоинтенсивного ультразвука) воздействия. При лечении первичного рака предстательной железы ультразвуковую абляцию применяют либо как основной метод лечения, либо — чаще — как местную терапию при рецидивах после дистанционной лучевой терапии или хирургического вмешательства[21].
Удаление опухоли предстательной железы с помощью нового метода TOOKAD[22] — новый безоперационный метод лечения. В ходе процедуры в первые 10 минут врач вводит пациенту внутривенно препарат под названием TOOKAD. Он не токсичен для здоровых тканей и эффективно поглощается опухолью. Далее под местной анестезией и контролем УЗИ вводят оптоволоконный зонд и начинают облучение с помощью лазера, при этом вся процедура занимает 22 минуты. В результате этого немедленно закрываются сосуды, которые питают опухоль, она начинает разрушаться и полностью исчезает в течение 3-4 часов. Через несколько часов после процедуры пациента выписывают, и уже вскоре он может вести полноценную жизнь. Клинические исследования уже доказали эффективность этого метода: в течение года после процедуры у более чем 80 % пациентов не было выявлено рецидивов рака предстательной железы[23].
На поздних стадиях
При 3-й и 4-й стадиях (характеризующихся наличием метастазов) применяются следующие виды лечения:
- дистанционная лучевая терапия в сочетании с гормональной терапией, предполагающая облучение предстательной железы и находящихся рядом лимфатических узлов в комбинации с терапией антагонистами (то есть блокаторами) гонадолиберина (такими, как дегареликс, известный под названием фирмагон);
- монотерапия антагонистами гонадолиберина или антиандрогенами (возможно также назначение агонистов — то есть аналогов — гонадолиберина, например, трипторелина, хотя они имеют существенно меньшую эффективность в поддержании уровня тестостерона ниже 0,2 нг/мл по сравнению с антагонистами):
- монотерапия, предполагающая пожизненное назначение препарата (отмена возможна только по решению врача, например, в случае выздоровления или непереносимости) и означающая медикаментозную кастрацию (в отличие от обычной, такая кастрация обратима в случае отмены препарата;
- интермиттирующая терапия (терапия, предусматривающая чередование периодов назначения и отмены препарата), применяемая только для отдельных, относительно нетяжёлых пациентов (недостаток — отсутствие утверждённых схем, в результате чего врач должен сам подбирать допустимую схему терапии индивидуально для каждого пациента);
- оперативная (хирургическая) кастрация (её эффективность сопоставима с медикаментозной кастрацией антагонистами гонадолиберина, но операция необратима и пагубно влияет на настрой пациента, так что большинство пациентов выбирают — при наличии финансовых возможностей — медикаментозную кастрацию);
- Иммунотерапия Провенж
- Таргетная радиолигандная терапия: Lutetium (177lu) vipivotide tetraxetan.
Для пациентов с местно-распространённым раком предстательной железы основным методом лечения служит лучевая терапия, обеспечивающая 5-летнюю выживаемость от 70 до 80 %. Оптимальным представляется дополнение лучевой терапии гормонотерапией, что достоверно повышает выживаемость[24]. При местно-распространённом раке предстательной железы в качестве адъювантной паллиативной терапии используют также ультразвуковую абляцию, применение которой нередко помогает отодвинуть лучевое или гормональное лечение до момента, когда они наиболее эффективны[21].
Запущенные, метастатические формы рака предстательной железы лечатся лишь симптоматически или паллиативно; гормонотерапия позволяет отсрочить прогрессирование заболевания, предотвратить развитие осложнений и облегчить симптомы заболевания, но не увеличивает выживаемость. Предпочтительнее интермиттирующая гормонотерапия (считается, что она позволяет сохранять клоны опухолевых клеток, чувствительные к гормонотерапии, и препятствует активному росту резистентных клонов)[25].
На первой линии гормонотерапии используют антагонисты гонадолиберина (дегареликс), агонисты гонадолиберина (лейпрорелин, гозерелин, бусерелин, трипторелин), антиандрогенные препараты (флутамид, бикалутамид, нилутамид, ацетат ципротерона). При этом длительная гормональная терапия (в течение 18 месяцев и более) позволяет достичь субъективного улучшения у 75 % больных. На второй линии гормонотерапии применяют антиандрогены в монотерапии, эстрогены (гексэстрол и др. — с осторожностью из-за их потенциальной кардиотоксичности и высокого риска развития тромбофлебитов), прогестины (мегэстрол и др.), противогрибковые препараты (такие, как кетоконазол); возможно также назначение альтернативного нестероидного препарата (скажем, если больной вначале принимал флутамид, то его заменяют на бикалутамид или другой препарат)[26].
Другие препараты: кабазитаксел, абиратерона ацетат, энзалутамид, апалутамид, даролутамид, релуголикс, олапариб.
Прогноз
Прогноз заболевания зависит от стадии процесса. Чем раньше начато лечение, тем выше вероятность благоприятного исхода. В ранних стадиях рака предстательной железы при адекватном лечении прогноз условно благоприятный, трудоспособность полностью восстанавливается. В поздних стадиях рака предстательной железы прогноз безусловно неблагоприятный, заболевание приводит к летальному исходу.
Патофизиология
Большинство опухолей простаты начинаются в периферической зоне – самой внешней части простаты. Когда клетки начинают расти бесконтрольно, они образуют небольшой комок нерегулируемых клеток, называемый простатической интраэпителиальной неоплазией (ПИН).[27] Некоторые ПИН продолжают расти, образуя слои ткани, которые прекращают экспрессировать гены, общие для их исходного расположения в ткани – p63 , цитокератин 5 и цитокератин 14 – и вместо этого начинают экспрессировать гены, типичные для клеток во внутренней оболочке протока поджелудочной железы – цитокератин 8 и цитокератин 18. Эти многослойные ПИН также часто сверхэкспрессируют ген AMACR, который связан с прогрессированием рака простаты.[28]
Некоторые PIN могут в конечном итоге перерасти в опухоли. Это обычно сопровождается крупномасштабными изменениями в геноме, при этом последовательности хромосом перестраиваются или копируются повторно. Некоторые геномные изменения особенно распространены при раннем раке простаты, а именно слияние генов между TMPRSS2 и онкогеном ERG (до 60% опухолей простаты), мутации, которые отключают SPOP (до 15% опухолей), и мутации, которые гиперактивируют FOXA1 (до 5% опухолей).[28]
Метастатический рак предстательной железы, как правило, имеет больше генетических мутаций, чем локализованное заболевание. Многие из этих мутаций находятся в генах, которые защищают от повреждения ДНК, таких как p53 (мутировал в 8% локализованных опухолей, более чем в 27% метастатических) и RB1 (1% локализованных опухолей, более чем в 5% метастатических). Аналогично мутации в генах, связанных с репарацией ДНК, BRCA2 и ATM , редки при локализованном заболевании, но встречаются по крайней мере в 7% и 5% случаев метастатического заболевания соответственно.[29]
Переход от кастрационно-чувствительного к кастрационно-резистентному раку простаты также сопровождается приобретением различных генных мутаций. При кастрационно-резистентном заболевании более 70% опухолей имеют мутации в сигнальном пути андрогенового рецептора — амплификации и мутации усиления функции в самом гене рецептора, амплификации его активаторов (например, FOXA1) или инактивирующие мутации в его негативных регуляторах (например, ZBTB16 и NCOR1). Эти нарушения андрогенового рецептора обнаруживаются только в 6% биопсий кастрационно-чувствительного метастатического заболевания. Аналогичным образом, делеции супрессора опухоли PTEN присутствуют в 12–17% кастрационно-чувствительных опухолях, но более чем в 40% кастрационно-резистентных опухолях. Реже опухоли имеют аберрантную активацию сигнального пути Wnt из-за нарушения членов APC (9% опухолей) или CTNNB1 (4% опухолей); или дисрегуляцию пути PI3K из-за мутаций PI3KCA / PI3KCB (6% опухолей) или AKT1 (2% опухолей).[29]
Эпидемиология
По состоянию на 2012 год рак предстательной железы является вторым наиболее часто диагностируемым раком (у 15% всех мужчин) и шестой по значимости причиной смерти от рака у мужчин во всем мире. В 2010 году он привел к смерти 256 000 человек по сравнению с 156 000 смертей в 1990 году. Показатели рака предстательной железы широко варьируются по всему миру. Хотя показатели сильно различаются между странами, он наименее распространен в Южной и Восточной Азии, и более распространен в Европе, Северной Америке, Австралии и Новой Зеландии.
Более 80% мужчин заболевают раком предстательной железы в возрасте 80 лет. В большинстве случаев рак будет медленно расти и не вызывает особых опасений.
Профилактика
Специфическая профилактика рака предстательной железы не разработана, однако в ряде исследований показана профилактическая роль ликопина, селена, витамина E. В частности, проведённые в Европе клинические исследования возможностей содержащегося в томатах сильного антиоксиданта ликопина показали, что потребление томатов почти в 2 раза снижает наследственный риск заболевания раком простаты[30][31].
Ежедневное принятие Финастерида или его дженериков сокращает риск заболевания раком простаты на 30 %[32].
Примечания
- ↑ Disease Ontology (англ.) — 2016.
- 1 2 Копыльцов, Новиков, Косенок и др., 2008, с. 13.
- ↑ Белёв Н. Ф., Брега Д. Г., Горинчой Г. В. Рак предстательной железы и наследственные синдромы // Злокачественные опухоли. — 2014. — № 3 (10). — С. 97—102. Архивировано 19 февраля 2015 года.
- ↑ World Cancer Report 2014 (неопр.). — World Health Organization, 2014. — С. Chapter 5.11. — ISBN 9283204298.
- 1 2 3 Рак простаты. Сайт www.uroman.ru. Дата обращения: 16 октября 2008. Архивировано из оригинала 20 января 2011 года.
- ↑ Казанцева М. В., Стрыгина Е. А. Эффективность Фирмагона при распространённом раке предстательной железы после прогрессирования на стандартной схеме МАБ: разбор клинического случая // Злокачественные опухоли. — 2014. — № 1 (8). — С. 47—51. Архивировано 19 февраля 2015 года.
- ↑ Adams J. The case of scirrhous of the prostate gland with corresponding affliction of the lymphatic glands in the lumbar region and in the pelvis // Lancet, 1853, 1. — P. 393.
- 1 2 Denmeade S. R., Isaacs J. T. . A history of prostate cancer treatment // Nature Reviews. Cancer, 2002, 2 (5). — P. 389—396. — doi:10.1038/nrc801. — PMID 12044015.
- ↑ Hugh Hampton Young. The James Buchanan Brady Urological Institute. Дата обращения: 23 марта 2015. Архивировано 24 ноября 2017 года.
- ↑ История лечения рака простаты. Пер. с англ. Н. Д. Фирсова (2017).
- 1 2 Рак простаты. Сайт www.med2000.ru. Дата обращения: 18 февраля 2015. Архивировано 18 февраля 2015 года.
- ↑ Онкоурология. Фармакотерапия без ошибок, 2014, с. 373.
- ↑ Копыльцов, Новиков, Косенок и др., 2008, с. 17.
- ↑ Nikolaus Becker und Sabine Holzmeier Abt. Epidemiologie von Krebserkrankungen Deutsches Krebsforschungszentrum Heidelberg
- ↑ Копыльцов, Новиков, Косенок и др., 2008, с. 14.
- ↑ Virus trägt Mitschuld am Männerkrebs. Сайт www.focus.de. Дата обращения: 18 февраля 2015. Архивировано 24 сентября 2015 года.
- ↑ PYLARIFY- piflufolastat f-18 injection (англ.). DailyMed. U. S. National Library of Medicine.
- ↑ Пешков М. Н., Шарова Е. И., Клабуков И. Д. Использование постгеномных технологий для диагностики онкологических заболеваний на примере рака предстательной железы // Российский онкологический журнал. — 2015. — Т. 20, № 2. — С. 29—32. — ISSN 1028-9984. Архивировано 23 мая 2022 года.
- ↑ Онкоурология. Фармакотерапия без ошибок, 2014, с. 374.
- ↑ Онкоурология. Фармакотерапия без ошибок, 2014, с. 374—375.
- 1 2 Соловов В. А., Тюрофф С., Жосси К., Воздвиженский М. О., Матяш Я. С., Фесенко Д. В. Фокусированная высокоинтенсивная ультразвуковая абляция (HIFU) при лечении пациентов с раком предстательной железы: status quo 2014 // Злокачественные опухоли. — 2014. — № 3 (10). — С. 52—56. Архивировано 19 февраля 2015 года.
- ↑ Рак предстательной железы: полное излечение без операции | IsraMedPortal. Дата обращения: 7 июля 2016. Архивировано 18 июля 2016 года.
- ↑ Azzouzi A.R., Barret E., Bennet J., Moore C., Taneja S., Muir G., Villers A., Coleman J., Allen C., Scherz A., Emberton M. TOOKAD® Soluble focal therapy: pooled analysis of three phase II studies assessing the minimally invasive ablation of localized prostate cancer (англ.) // World J Urol. 2015 Jul;33(7):945-53 : journal. — 2015. — doi:10.1007/s00345-015-1505-8. Архивировано 20 августа 2018 года.
- ↑ Онкоурология. Фармакотерапия без ошибок, 2014, с. 375.
- ↑ Онкоурология. Фармакотерапия без ошибок, 2014, с. 374, 376.
- ↑ Онкоурология. Фармакотерапия без ошибок, 2014, с. 377—380.
- ↑ Understanding Your Pathology Report: Prostatic Intraepithelial Neoplasia (PIN) and Intraductal Carcinoma. American Cancer Society. Дата обращения: 25 мая 2023.
- 1 2 Sandhu, Moore, Chiong, Beltran, 2021, "The biology of prostate cancer".
- 1 2 Rebello, Oing, Knudsen, Loeb, 2021, "Metastatic disease".
- ↑ Копыльцов, Новиков, Косенок и др., 2008, с. 15.
- ↑ Rao A. V., Agarwal S. Role of antioxidant lycopene in cancer and heart disease // Journal of the American College of Nutrition, 2000, 19 (5). — P. 563—569.
- ↑ New Take on a Prostate Drug, and a New Debate - The New York Times. Дата обращения: 29 июля 2022. Архивировано 23 мая 2022 года.
Литература
- Клиническая онкоурология / Под ред. Б. П. Матвеева. — М.: АБВ-Пресс, 2011. — 934 с. — ISBN 978-5-903018-23-9.
- Копыльцов Е. И., Новиков А. И., Косенок В. К., Леонов О. В., Голубь Н. Н., Акулинин В. А., Jacqmin D., Massard G. Онкологические заболевания органов мочеполовой системы. — Омск: Изд-во Центра МО и ИТ Омской гос. мед. академии, 2008. — 197 с. — (Онкология. Кн. 4). — ISBN 978-985-06-1330-1.
- Онкология / Под ред. И. В. Залуцкого. — Минск: Вышэйшая школа, 2007. — 703 с. — ISBN 978-985-06-1330-1.
- Онкоурология. Национальное руководство / Под ред. В. И. Чиссова, Б. Я. Алексеева, И. Г. Русакова. — М.: ГЭОТАР-Медиа, 2012. — 688 с. — ISBN 978-5-9704-2181-9.
- Онкоурология. Фармакотерапия без ошибок / Под ред. И. Г. Русакова, В. И. Борисова. — М.: Е-ното, 2014. — 544 с. — ISBN 978-5-906023-07-0.
- Широкорад В. И. Хирургическое лечение местно-распространённых опухолей органов малого таза. — М.: Медицина, Шико, 2008. — 192 с. — ISBN 5-225-03927-8.
