Болезнь Альцгеймера

Болезнь Альцгеймера
Мозг пожилого человека в норме (слева) и при патологии, вызванной болезнью Альцгеймера (справа), с указанием отличий.
Мозг пожилого человека в норме (слева) и при патологии, вызванной болезнью Альцгеймера (справа), с указанием отличий.
МКБ-11 8A20
МКБ-10 G30, F00
МКБ-10-КМ G30.9 и G30
МКБ-9 331.0, 290.1
МКБ-9-КМ 331.0[1][2] и 290.1[2]
OMIM 104300
DiseasesDB 490
MedlinePlus 000760
eMedicine neuro/13 
MeSH D000544
Логотип Викисклада Медиафайлы на Викискладе

Боле́знь Альцгеймера — наиболее распространённая форма деменции, нейродегенеративное заболевание, впервые описанное в 1907 году[3] немецким психиатром Алоисом Альцгеймером (1864—1915). Как правило, она обнаруживается у людей старше 65 лет[4], но существует и ранняя болезнь Альцгеймера — редкая форма заболевания. По состоянию на 2006 год общемировая заболеваемость оценивалась в 26,6 млн человек, а к 2050 году число больных может вырасти вчетверо[5].

Как правило, болезнь начинается с малозаметных симптомов, но с течением времени прогрессирует. Наиболее часто на ранних стадиях распознаётся расстройство кратковременной памяти, например, неспособность вспомнить недавно заученную информацию. С развитием болезни происходит потеря долговременной памяти[6], возникают нарушения речи и когнитивных функций, пациент теряет способность ориентироваться в обстановке и ухаживать за собой. Постепенная потеря функций организма ведёт к смерти[7].

При обращении к врачу и подозрении на болезнь Альцгеймера для уточнения диагноза обычно анализируют поведение, проводят серию когнитивных испытаний, если возможно, проводится магнитно-резонансная томография (МРТ)[8]. Индивидуальный прогноз затруднён из-за вариаций в длительности течения болезни, которая может развиваться скрыто на протяжении длительного времени, прежде чем станут заметны симптомы и будет поставлен диагноз. Средняя продолжительность жизни после установления диагноза составляет около семи лет[9], менее трёх процентов больных живут более четырнадцати лет[10].

В настоящее время не достигнуто полного понимания причин и хода болезни Альцгеймера. Согласно наиболее распространенной гипотезе, ключевыми особенностями болезни являются накопление амилоидных бляшек и нейрофибриллярных клубков в тканях мозга[11][12]. Современные методы терапии лишь несколько смягчают симптомы, но пока не позволяют ни остановить, ни замедлить развитие заболевания. Множество перспективных методов терапии достигло этапа клинических испытаний, количество которых по состоянию уже на 2008 год превысило 500, однако неясно, будет ли доказана их эффективность. В 2013 году метод глубокой транскраниальной магнитной стимуляции (Deep TMS) получил знак одобрения CE Mark для лечения симптомов болезни Альцгеймера наряду с другими заболеваниями[13][14]. Две американские компании прекратили разработку некогда перспективного препарата для облегчения последствий потери памяти при болезни Альцгеймера после двух клинических исследований, в ходе которых средство не смогло помочь больным. Исследователи сообщили, что положительная динамика заболевания у пациентов в лёгкой или ранней стадии болезни Альцгеймера не отличалась от таковой в контрольной группе пациентов, которым давали плацебо. Компании Pfizer и Johnson & Johnson заявили, что все другие исследования в этой области были прекращены. В настоящее время лекарства от болезни Альцгеймера не существует[15]. Предлагается множество способов предупредить болезнь Альцгеймера, но не отмечено их воздействия на ход заболевания и его тяжесть. Как для предупреждения, так и для борьбы с болезнью часто рекомендуют заниматься физическими упражнениями, стимулировать мышление и придерживаться сбалансированной диеты[16][17].

Болезнь Альцгеймера принадлежит к заболеваниям, накладывающим самый тяжёлый финансовый груз на социум в развитых странах[18][19].

История

Августа Детер, пациентка Алоиса Альцгеймера, 1901 г.

Врачи и философы Древней Греции и Рима связывали старость с ослаблением рассудка[3], однако лишь в 1901 году немецкий психиатр Алоис Альцгеймер отметил случай болезни, которая впоследствии была названа его именем. Анализ заболевания пятидесятилетней Августы Детер он опубликовал впервые в 1907 году, после того как пациентка, за которой он наблюдал, скончалась[20]. В течение последующих пяти лет в медицинской литературе появилось ещё одиннадцать похожих описаний, причём авторы некоторых из них уже использовали термин «болезнь Альцгеймера»[3]. Эмиль Крепелин был первым, кто назвал болезнь Альцгеймера самостоятельным заболеванием. В 1910 году он выделил её в качестве подтипа сенильной деменции в восьмом издании своего учебника по психиатрии, назвав её «пресенильная деменция»[21].

Диагноз болезни Альцгеймера на протяжении большей части двадцатого века ставили лишь относительно молодым пациентам, у которых первые симптомы деменции появились в возрасте от 45 до 65 лет. Терминология изменилась после проведённой в 1977 году конференции по болезни Альцгеймера, участники которой пришли к заключению, что клинические и патологические проявления пресенильной и сенильной деменций практически идентичны, хотя и не исключили существования этиологических различий[22]. Постепенно диагноз стали ставить независимо от возраста[23], хотя какое-то время для описания болезни у лиц старше 65 лет всё ещё использовали термин «сенильная деменция Альцгеймерского типа» (SDAT), приберегая «классический» диагноз болезни Альцгеймера для более молодых. В итоге термин «болезнь Альцгеймера» был формально принят в медицинскую номенклатуру как название заболевания, диагностируемого независимо от возраста при наличии соответствующих симптомов, развивающихся характерным образом и сопровождающихся появлением типичных нейропатологических признаков[24].

Эпидемиология

Годы жизни, скорректированные по нетрудоспособности при болезни Альцгеймера и других деменциях на 100 000 населения в 2004 году.
 нет данных   50  50–70  70–90  90–110  110–130  130–150  150–170  170–190  190–210  210–230  230–250   250
Заболеваемость[25]
у лиц старше 65 лет
ВозрастЗаболеваемость
(новые случаи)
на тысячу
человеко-лет
65—69 3
70—74 6
75—79 9
80—84 23
85—89 40
90— 69

Два основных показателя, используемых в эпидемиологических исследованиях — заболеваемость и распространённость заболевания. Заболеваемость отражает число новых случаев на единицу человеко-времени (обычно количество новых случаев на тысячу человеко-лет), а распространённость заболевания говорит об общем числе поражённых болезнью в популяции на конкретный момент времени.

Заболеваемость у женщин выше, чем у мужчин[26][27].

Когортные лонгитюдные исследования (в ходе которых изначально здоровая популяция отслеживается на протяжении многих лет) говорят о заболеваемости на уровне 10—15 новых случаев на тысячу человеко-лет для всех типов деменции и 5—8 случаев для болезни Альцгеймера[25][28], что составляет приблизительно половину от общего числа ежегодных диагнозов. Пожилой возраст является главным фактором риска, что отражается в статистике: на каждые пять лет после 65-летнего возраста показатель риска увеличивается примерно вдвое, вырастая от 3 случаев в 65 лет до 69 случаев на тысячу человеко-лет к 95 годам[25][28]. Существуют и половые различия — женщины чаще заболевают болезнью Альцгеймера, в особенности после 85 лет[28][29].

Распространённость болезни в популяции зависит от различных факторов, в том числе от заболеваемости и смертности. Поскольку заболеваемость растёт с возрастом, необходимо непременно учитывать средний возраст населения в исследуемой местности. По состоянию на 2000 год, в США как в целом, так и в группе 65—74 лет около 1,6 % населения имели болезнь Альцгеймера. В группе 75—84 лет этот показатель составлял уже 19 %, а среди граждан, чей возраст превысил 84 года, распространённость болезни составляла 42 %[30]. В менее развитых странах распространённость болезни ниже[31]. По данным ВОЗ, в 2005 году деменцией страдали 0,379 % мирового населения, а прогноз на 2015 год достигал значения 0,441 %, и ещё больший процент населения, 0,556 %, может быть поражён болезнью к 2030 году[32]. К подобным выводам приходят и авторы других работ[31]. Ещё одно исследование говорит о том, что в 2006 году распространённость болезни в мире составляла 0,4 % (разброс 0,17-0,89 %, абсолютное количество — 26,6 млн человек с разбросом 11,4-59,4 млн) и предсказывает, что к 2050 году долевой показатель вырастет втрое, а абсолютное количество больных — вчетверо[5].

Характеристика

Ход болезни подразделяют на четыре стадии, с прогрессирующей картиной когнитивных и функциональных нарушений.

Предеменция

Первые симптомы часто путают с проявлениями старения или реакцией на стресс. Наиболее ранние когнитивные затруднения выявляются у некоторых людей при детальном нейрокогнитивном тестировании за восемь лет до постановки диагноза[33]. Эти изначальные симптомы могут отражаться на выполнении не самых сложных повседневных задач[34]. Наиболее заметно расстройство памяти, проявляющееся в затруднении при попытке вспомнить недавно заученные факты и в неспособности усвоить новую информацию[35][36]. Малозаметные проблемы исполнительных функций: сосредоточенности, планирования, когнитивной гибкости и абстрактного мышления либо нарушение семантической памяти (память о значении слов, о взаимоотношении концепций), также могут быть симптомом ранних стадий болезни Альцгеймера[37][38]. На этой стадии может отмечаться апатия, которая остаётся самым устойчивым нейропсихиатрическим симптомом на всём протяжении заболевания[39][40][41]. Также преклиническую стадию называют, в зависимости от перевода разными авторами термина, «mild cognitive impairment» (MCI)[42], «мягким когнитивным снижением»[43] или «умеренным когнитивным нарушением»[44], но ведутся споры о том, использовать ли последнее название для обозначения первой ступени болезни Альцгеймера либо выделить в отдельную диагностическую единицу[45].

Ранняя деменция

Прогрессирующее снижение памяти и агнозия при болезни Альцгеймера рано или поздно ведут к подтверждению диагноза. У небольшого числа пациентов при этом на первый план выступают не расстройства памяти, а нарушения речи, исполнительных функций, восприятия либо двигательные нарушения (апраксия)[46]. Болезнь по-разному отражается на различных аспектах памяти. Старые воспоминания о собственной жизни (эпизодическая память), давно заученные факты (семантическая память), имплицитная память (неосознанная «память тела» о последовательности действий, например, о том, как использовать столовые приборы) в меньшей степени подвержены расстройству по сравнению с новыми фактами или воспоминаниями[47][48]. Афазия в основном характеризуется оскудением словарного запаса и сниженной беглостью речи, что в целом ослабляет способность к словесному и письменному выражению мыслей. На этой стадии болезни человек обычно способен адекватно оперировать простыми понятиями при речевом общении[49][50][51]. При рисовании, письме, надевании одежды и выполнении других задач с использованием тонкой моторики человек может казаться неловким из-за определённых проблем с координацией и планированием движений[52]. По мере развития болезни человек зачастую вполне способен выполнять многие задачи независимо, однако ему могут потребоваться помощь или присмотр при попытке провести манипуляции, требующие особенных когнитивных усилий[46].

Умеренная деменция

Способность к независимым действиям снижается из-за прогрессирующего ухудшения состояния[46]. Расстройства речи становятся очевидными, так как с потерей доступа к словарному запасу человек все чаще подбирает неверные слова на замену забытым (парафазия). Также идет потеря навыков чтения и письма[49][53]. Со временем всё более нарушается координация при выполнении сложных последовательностей движений, что снижает способность человека справляться с большинством повседневных задач[54]. На этом этапе усиливаются проблемы с памятью, больной может не узнавать близких родственников[55]. Прежде нетронутая долговременная память также нарушается[56] и отклонения в поведении становятся более заметными. Обычными являются такие нейропсихиатрические проявления, как бродяжничество, вечернее обострение (англ. sundowning)[57], раздражительность и эмоциональная лабильность, проявляющаяся в плаче, спонтанной агрессии, в сопротивлении помощи и уходу. Синдром ложной идентификации и другие симптомы бреда развиваются примерно у 30 % пациентов[39][58]. Может развиться недержание мочи[59]. У родственников больного и ухаживающих за ним лиц эти симптомы вызывают стресс, который может быть смягчён перемещением пациента из-под домашнего присмотра в стационарное заведение[46][60].

Тяжёлая деменция

На последней стадии болезни Альцгеймера пациент полностью зависит от посторонней помощи. Владение языком сокращается до использования единичных фраз и даже отдельных слов, и в итоге речь полностью теряется[49]. Несмотря на утрату вербальных навыков, пациенты часто способны понимать и отвечать взаимностью на эмоциональные обращения к ним[61]. Хотя на этом этапе всё ещё могут быть проявления агрессии, гораздо чаще состояние больного характеризуется апатией и истощением[46], и с какого-то момента он не в состоянии осуществить даже самое простое действие без чужой помощи. Больной теряет мышечную массу, передвигается с трудом и на определённом этапе оказывается не в силах покинуть кровать[62], а затем и самостоятельно питаться[63]. Смерть наступает обычно вследствие стороннего фактора, такого как пролежневая язва или пневмония, а не по вине собственно болезни Альцгеймера[64][65].

Причины

Для объяснения возможных причин заболевания предложены четыре основные конкурирующие гипотезы: холинергическая, амилоидная, инфекционная и тау-гипотеза.

1) Холинергическая гипотеза: Хронологически первой была предложена холинергическая гипотеза, согласно которой болезнь вызывается сниженным синтезом нейромедиатора ацетилхолина. В настоящее время эта гипотеза считается маловероятной, поскольку медикаменты, призванные скорректировать дефицит ацетилхолина, имеют невысокую эффективность, однако на её основе было создано большинство существующих методов поддерживающей терапии. Предполагаются иные холинергические эффекты, например, инициация крупномасштабной агрегации амилоида[66], ведущая к генерализованному нейровоспалительному процессу[67].

2) Амилоидная гипотеза: В 1991 году была предложена «амилоидная гипотеза», согласно которой базовой причиной заболевания являются отложения бета-амилоида (Aβ)[68][69]. Ген, кодирующий белок (APP), из которого образуется бета-амилоид, расположен на 21 хромосоме. Интересным фактом в поддержку амилоидной гипотезы является то, что практически у всех доживших до 40 лет людей, страдающих синдромом Дауна (дополнительная копия 21 хромосомы либо её участка), обнаруживается Альцгеймероподобная патология[70][71]. К тому же APOE4, основной генетический фактор риска болезни Альцгеймера, приводит к избыточному накоплению амилоида в тканях мозга ещё до наступления симптомов[72]. Более того, у трансгенных мышей, в организме которых вырабатывается мутантная форма человеческого гена APP, в мозге происходит отложение фибриллярных амилоидных бляшек и отмечаются другие патологические признаки, свойственные болезни Альцгеймера[73]. Экспериментальная вакцина продемонстрировала способность очищать мозг от амилоидных бляшек в ранних испытаниях на людях, однако не оказала значительного воздействия на деменцию[74]. В 2018 году, согласно данным Ассоциации по изучению болезни Альцгеймера, было отмечено, что уменьшение размера бета-амилоидных бляшек в тканях мозга замедляет снижение когнитивных функций[75]. Уверенной корреляции накопления бляшек с потерей нейронов не обнаружено[76]. В настоящее время амилоидная гипотеза является основной, но и она не позволяет объяснить всё многообразие явлений при болезни Альцгеймера. Накопление бета-амилоида считается не непосредственной причиной болезни, а скорее триггером, запускающим последовательность нейродегенеративных изменений, многие из которых, включая таупатии и гибель нейронов, проявляются лишь спустя годы. Что именно запускает собственно накопление бета-амилоида, а также как именно оно влияет на тау-белок, и как это накопление можно предотвратить, остаётся неизвестным[77].

3) Тау-гипотеза: Наряду с амилоидной гипотезой изучается тау-гипотеза, согласно которой каскад нарушений запускается отклонениями в структуре тау-белка[69]. Предположительно, нити гиперфосфорилированного тау-белка начинают объединяться между собой, образуя в итоге нейрофибриллярные клубки внутри нервных клеток[78]. Это вызывает дезинтеграцию микротрубочек и коллапс транспортной системы внутри нейрона[79], приводя сначала к нарушению биохимической передачи сигналов между клетками, а затем и к гибели самих клеток[80].

Также исследователи отмечают, что люди, употребляющие ежедневно большое количество сахара, имеют повышенный риск появления симптомов болезни Альцгеймера. Учёные из University of Bath выяснили, что переизбыток глюкозы нарушает выработку энзима, который помогает бороться с развитием дегенеративного неврологического заболевания[81].

4) Инфекционная гипотеза: В последние годы научное сообщество все чаще стало говорить об инфекционном происхождении болезни Альцгеймера. Ученые Луисвиллского института обнаружили в мозге людей, погибших от болезни Альцгеймера, возбудитель пародонтита — Porphyromonas gingivalis. Причем это был не первый случай, когда два эти фактора были взаимосвязаны между собой. В экспериментах на мышах эта инфекция приводила к колонизации мозга бактериями и увеличению вырабатывания бета-амилоида (Aβ) — обычно ассоциируемых именно с болезнью Альцгеймера.[82]

Потеря слуха может быть ранним проявлением болезни Альцгеймера и предвестником деменции[83][84][85][86][87]. Благодаря ряду научных исследований было установлено, что пожилые люди (особенно мужчины), имеющие потерю слуха, имеют больший риск развития болезни Альцгеймера и деменции по сравнению с нормально слышащими людьми. Риск заболевания увеличивается вместе с ухудшением слуха[88][89][90].

Изменения в физиологическом тракте, отвечающем за слуховое восприятие, ведут к структурным изменениям мозга. При потере слуха мозг начинает работать намного интенсивнее, чтобы человек мог воспринять, что говорят люди. Этот механизм истощает умственную энергию человека, необходимую для других функций (память, мышление и т. д.), что может стать причиной болезни Альцгеймера[89][91]. На основе результатов научных исследований гипотеза зависимости между степенью потери слуха и возрастанием риска развития болезни Альцгеймера получила подтверждение[83][88][92].

Не все слабослышащие подвержены заболеванию болезнью Альцгеймера[91].

Патофизиология

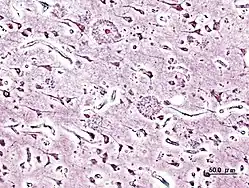
Гистопатологический образец участка коры головного мозга с сенильными бляшками. Импрегнация серебром.

Нейропатология

Болезнь характеризуется потерей нейронов и синаптических связей в коре головного мозга и определённых субкортикальных областях. Гибель клеток приводит к выраженной атрофии поражённых участков, в том числе к дегенерации височных и теменной долей, участков фронтальной коры и поясной извилины[67].

Как амилоидные бляшки, так и нейрофибриллярные клубки хорошо заметны под микроскопом при посмертном анализе образцов мозга больных[12]. Бляшки представляют собой плотные, в большинстве случаев нерастворимые отложения бета-амилоида и клеточного материала внутри и снаружи нейронов. Внутри нервных клеток они растут, образуя нерастворимые закрученные сплетения волокон, часто называемые клубками. У многих пожилых людей в мозге образуется некоторое количество бляшек и клубков, однако при болезни Альцгеймера их больше в определённых участках мозга, таких как височные доли[93].

Биохимия

Ферменты разрезают предшественник бета-амилоида на участки, один из которых играет ключевую роль в формировании сенильных бляшек при болезни Альцгеймера.

Болезнь Альцгеймера всегда сопровождается протеинопатией — накоплением в тканях мозга ненормально свёрнутых белков — бета-амилоида и тау-белка[94]. Бляшки образуются из малых пептидов длиной в 39-43 аминокислоты, именуемых бета-амилоидом (тж. A-beta, Aβ). Бета-амилоид является фрагментом более крупного белка-предшественника — APP. Этот трансмембранный белок играет важную роль в росте нейрона, его выживании и восстановлении после повреждений[95][96]. При болезни Альцгеймера по неизвестным пока причинам APP подвергается протеолизу — разделяется на пептиды под воздействием ферментов[97]. Бета-амилоидные нити, образованные одним из пептидов, слипаются в межклеточном пространстве в плотные образования, известные как сенильные бляшки[12][98].

При болезни Альцгеймера изменения в структуре тау-белка приводят к дезинтеграции микротрубочек в клетках мозга.

Более специфически, болезнь Альцгеймера относят также к таупатиям — болезням, связанным с ненормальной агрегацией тау-белка. Каждый нейрон содержит цитоскелет, отчасти составленный из микротрубочек, которые действуют подобно рельсам, направляя питательные вещества и другие молекулы из центра на периферию клетки, к окончанию аксона, и обратно. Тау-белок, наряду с несколькими другими белками, ассоциирован с микротрубочками, в частности, после фосфорилирования он их стабилизирует. При болезни Альцгеймера тау-белок подвергается избыточному фосфорилированию, из-за чего нити белка начинают связываться друг с другом, слипаться в нейрофибриллярные клубки и разрушать транспортную систему нейрона[99].

Патологический механизм

Неизвестно, как именно нарушение синтеза и последующее скопление бета-амилоидных пептидов вызывает патологические отклонения при болезни Альцгеймера[100]. Амилоидная гипотеза традиционно указывала на скопление бета-амилоида как на основное событие, запускающее процесс нейрональной дегенерации. Считается, что отложения нарушают гомеостаз ионов кальция в клетке и провоцируют апоптоз[101]. Известно, что местом скопления Aβ в нейронах пациентов являются митохондрии, также этот пептид ингибирует работу некоторых ферментов и влияет на использование глюкозы[102].

Воспалительные процессы и цитокины могут играть роль в патофизиологии. Поскольку воспаление является признаком повреждения тканей при любом заболевании, при болезни Альцгеймера оно может играть вторичную роль по отношению к основной патологии либо представлять собой маркер иммунной реакции[103].

Генетика

Известны три гена, мутации которых в основном позволяют объяснить происхождение редкой ранней формы, однако распространённая форма болезни Альцгеймера пока не укладывается в рамки исключительно генетической модели. Наиболее выраженным генетическим фактором риска на данный момент считается APOE, но вариации этого гена ассоциированы лишь с некоторыми случаями болезни[104].

Менее 10 % случаев болезни в возрасте до 60 лет связаны с аутосомно-доминантными (семейными) мутациями, которые в общем массиве составляют менее 0,01 %[104][105][106]. Мутации обнаружены в генах APP, пресенилина 1 и пресенилина 2[104], большинство из них усиливают синтез малого белка Abeta42, основного компонента сенильных бляшек[107].

В роду большинства больных не отмечается предрасположенности к заболеванию, однако гены могут отчасти обусловливать риск. Самый известный генетический фактор риска — наследуемая аллель E4 гена APOE, с которой может быть связано до половины случаев поздней спорадической болезни Альцгеймера[108]. Генетики сходятся в мнении о том, что многие другие гены могут в какой-то степени способствовать либо препятствовать развитию поздней болезни Альцгеймера[104]. Всего на ассоциацию с этим распространённым типом болезни проверено более 400 генов[104]. Один из недавних примеров — вариация гена RELN, связанная с повышенной заболеваемостью у женщин[109].

Диагностика

PET-сканирование мозга при болезни Альцгеймера демонстрирует угасание активности в височных долях.

Клинический диагноз болезни Альцгеймера обычно основан на истории пациента (анамнезе жизни), истории его родственников и клинических наблюдений (наследственном анамнезе), при этом учитываются характерные неврологические и нейропсихологические признаки и исключаются альтернативные диагнозы[110][111]. Для того, чтобы отличить болезнь от других патологий и разновидностей деменции, могут быть использованы сложные методы медицинской визуализации — компьютерная томография, магнитно-резонансная томография, однофотонная эмиссионная компьютерная томография или позитронно-эмиссионная томография[112]. Для более точной оценки состояния проводится тестирование интеллектуальных функций, в том числе памяти. Медицинские организации вырабатывают диагностические критерии с целью облегчить диагностику практикующему врачу и стандартизировать процесс постановки диагноза. Иногда диагноз подтверждается либо устанавливается посмертно при гистологическом анализе тканей мозга[113].

Диагностические критерии

Американский Национальный институт неврологических и коммуникативных расстройств и инсульта (NINDS) и Ассоциация болезни Альцгеймера составили наиболее часто используемый набор критериев для диагностики болезни Альцгеймера[114]. Согласно критериям, для постановки клинического диагноза возможной болезни Альцгеймера требуется подтвердить наличие когнитивных нарушений и предположительного синдрома деменции в ходе нейропсихологического тестирования. Для окончательного подтверждения диагноза необходим гистопатологический анализ тканей мозга, и в ходе сверки прижизненных диагнозов по критериям с посмертным анализом были отмечены хорошая статистическая надёжность и проверяемость[115]. Чаще всего нарушения при болезни Альцгеймера затрагивают восемь доменов: память, языковые навыки, способность воспринимать окружающее, конструктивные способности, ориентирование в пространстве, времени и собственной личности, навыки решения проблем, функционирования, самообеспечения.

Эти домены эквивалентны критериям NINCDS-ADRDA, перечисленным в DSM-IV-TR[116][117].

Методы диагностики

В диагностике болезни Альцгеймера может помочь нейропсихологическое скрининг-тестирование, при котором пациенты копируют фигуры, запоминают слова, читают, выполняют арифметические действия.
ПЭТ-сканирование: При болезни Альцгеймера, введённый в организм Питтсбургский состав B скапливается в мозге, закрепляясь за отложения бета-амилоида (слева). Справа — мозг пожилого человека без признаков болезни Альцгеймера.

Нейропсихологические тесты, например, MMSE, широко применяются для оценки когнитивных нарушений, которые должны присутствовать при заболевании. Для получения надёжных результатов требуются более развёрнутые наборы тестов, особенно на ранних стадиях болезни[118][119]. В начале болезни неврологический осмотр обычно не показывает ничего необычного, за исключением явных когнитивных отклонений, которые могут напоминать обычную деменцию. Ввиду этого, для дифференциальной диагностики болезни Альцгеймера и других заболеваний важно расширенное неврологическое исследование[120]. Беседа с членами семьи также используется при оценке хода болезни, поскольку родственники могут предоставить важную информацию об уровне повседневной активности человека и о постепенном снижении его мыслительных способностей[121]. Так как сам пациент обычно не замечает нарушений, точка зрения ухаживающих за ним людей особенно важна[122]. В то же время во многих случаях ранние симптомы деменции остаются незамеченными в семье и врач получает от родственников неточную информацию[123]. Дополнительные тесты обогащают картину информацией о некоторых аспектах болезни либо позволяют исключить другие диагнозы. Анализ крови может выявить альтернативные причины деменции[120], которые изредка даже поддаются терапии, обращающей симптомы вспять[124]. Также применяются психологические тесты для выявления депрессии, которая может как сопутствовать болезни Альцгеймера, так и являться причиной когнитивного снижения[125][126].

Аппаратура SPECT- и PET-визуализации при её доступности может быть использована для подтверждения диагноза совместно с другими методами оценки, включающими анализ ментального статуса[127]. У людей, уже страдающих от деменции, SPECT, по некоторым данным, позволяет более эффективно дифференцировать болезнь Альцгеймера от других причин, по сравнению со стандартным тестированием и рассмотрением анамнеза[128]. Возможность наблюдать отложения бета-амилоида в мозге живых людей появилась благодаря созданию в Питтсбургском университете Питтсбургского состава B (PiB), связывающегося с амилоидными отложениями при введении в организм. Короткоживущий радиоактивный изотоп углерод-11 в соединении позволяет определять распределение этого вещества в организме и получать картину амилоидных отложений в мозге больного с помощью ПЭТ-сканера[129]. Показано также, что объективным маркером болезни может быть содержание бета-амилоида либо тау-белка в спинномозговой жидкости[130] и крови[131]. Эти два новых метода вызвали предложения о разработке новых диагностических критериев[114][120]. Другие препараты для PET-визуализации: флорбетапир, флутеметамол, флорбетабен, флортауципир.

Профилактика заболевания

Интеллектуальная активность, в том числе увлечение игрой в шахматы, и регулярное общение коррелируют со сниженным риском развития болезни Альцгеймера, по данным эпидемиологических исследований, однако причинно-следственная связь пока не доказана.

Международные исследования, призванные оценить, насколько та или иная мера способна замедлить или предотвратить наступление болезни, нередко дают противоречивые результаты. К настоящему времени нет твердых свидетельств превентивного действия любого из рассматривавшихся факторов[132]. Вместе с тем, эпидемиологические исследования говорят о том, что некоторые поддающиеся коррекции факторы — диета, риск сердечно-сосудистых заболеваний, приём лекарств, мыслительная активность и другие — ассоциированы с вероятностью развития болезни. Однако реальные доказательства их способности предупредить болезнь могут быть получены лишь в ходе дополнительного изучения, в которое будут входить клинические исследования[133].

Ингредиенты средиземноморской диеты, в том числе фрукты и овощи, хлеб, пшеница и другие крупяные культуры, оливковое масло, рыба и красное вино, возможно, способны по отдельности, либо в совокупности снижать риск и смягчать течение болезни Альцгеймера[134]. Приём некоторых витаминов, в их числе B12, B3, C и фолиевая кислота, в ходе некоторых исследований был связан со сниженным риском развития болезни[135], однако другие работы говорят об отсутствии значимого воздействия на начало и течение болезни и о вероятности побочных эффектов[136]. Куркумин, содержащийся в распространённой специи, при исследовании на мышах показал некоторую способность предотвращать определённые патологические изменения в мозге[137].

Каприловая кислота, содержащаяся в кокосовом масле, уменьшает количество амилоидных бляшек в нейронах ствола мозга. В процессе метаболизма этого вещества образуются кетоновые тела, участвующие в энергетических процессах головного мозга. Лабораторные эксперименты подкрепляются практикой. Известна книга доктора Мэри Ньюпорт «Болезнь Альцгеймера: А если бы появилось лекарство? История кетонов». В ней она описывает наблюдения за своим мужем, страдающим болезнью Альцгеймера. На фоне употребления кокосового масла в течение месяца он стал успешно справляться с простыми психологическими тестами и возобновил своё участие в домашних делах[138].

Факторы риска сердечно-сосудистых заболеваний, такие как высокий уровень холестерина и гипертензия, диабет, курение, ассоциированы с повышенным риском и более тяжёлым течением болезни Альцгеймера[139][140], но средства, снижающие холестерин (статины) не показали эффективности в её предотвращении либо улучшении состояния больных[141][142]. Долговременное применение нестероидных противовоспалительных средств ассоциировано со сниженной вероятностью развития болезни у некоторых людей[143]. Другие лекарства, например, гормонозаместительная терапия у женщин, более не считаются эффективными в предотвращении деменции[144][145]. Систематический обзор гинкго билоба, проведённый в 2007 году, говорит о непоследовательном и неубедительном характере представленных свидетельств воздействия препарата на когнитивные нарушения[146], а ещё одно исследование говорит об отсутствии действия на заболеваемость[147].

Некоторые исследования говорят о повышенном риске развития болезни Альцгеймера у тех людей, чья работа связана с воздействием магнитных полей[148][149], попаданием в организм металлов, особенно алюминия[150][151], или использованием растворителей[152]. Некоторые из этих публикаций подверглись критике за низкое качество работы[153], к тому же в других исследованиях не обнаружено связи факторов внешней среды с развитием болезни Альцгеймера[154][155][156][157].

Интеллектуальные занятия, такие как чтение, настольные игры, разгадывание кроссвордов, игра на музыкальных инструментах, регулярное общение, возможно, способны замедлить наступление болезни либо смягчить её развитие[158][159][160]. Владение двумя языками ассоциируется с более поздним началом болезни Альцгеймера[161].

В обзоре, опубликованном в 2015 году, канадские исследователи указывают, что психотехники, основанные на практике внимательности, могут препятствовать наступлению мягкого когнитивного нарушения и развитию болезни Альцгеймера[162].

Терапия и уход

От болезни Альцгеймера невозможно излечиться; доступные методы терапии способны в небольшой степени повлиять на симптомы, но по своей сути являются паллиативными мерами. Из всего комплекса мер можно выделить фармакологические, психосоциальные и меры по уходу за больным.

Фармакотерапия

Фармакотерапия болезни Альцгеймера проводится по нескольким направлениям: базисная противодементная терапия (ингибиторы холинэстеразы и мемантин), адъювантная терапия (препараты разных групп разной степени доказательности в дополнение к базисной терапии) и терапия некогнитивных нервнопсихических расстройств (поведенческие, психотические, аффективные нарушения, нарушения сна)[163]

Трёхмерная структура донепезила, ингибитора ацетилхолинэстеразы, используемого для симптоматической терапии.
Молекулярная структура мемантина, средства, одобренного к применению при болезни Альцгеймера.

На момент 2024 года не существует лекарств, способных обратить или хотя бы замедлить развитие болезни Альцгеймера. Регулирующими агентствами FDA и EMEA одобрены четыре препарата для базисной противодементной терапии при болезни Альцгеймера — три ингибитора холинэстеразы центрального действия (галантамин, ривастигмин и донепезил) и мемантин, NMDA-антагонист[164].

Известным признаком болезни Альцгеймера является снижение активности холинергических нейронов[165]. Ингибиторы холинэстеразы центрального действия снижают скорость разрушения ацетилхолина (ACh), повышая его концентрацию в мозге и компенсируя потерю ACh, вызванную гибелью холинергических нейронов[166]. Первым таким ингибитором, одобренным для применения при болезни Альцгеймера, был такрин, однако в 2012 году его применение в США было запрещено из-за гепатотоксических и других побочных эффектов[167][168]. Врачами на данный момент используются такие ACh-ингибиторы, как донепезил[169], галантамин[170], и ривастигмин (в форме капсул[171] и пластыря[172]). Есть свидетельства эффективности этих препаратов на начальной и умеренной стадиях[173], а также некоторые основания к их применению на поздней стадии. При наступлении тяжелой деменции одобрены донепезил, ривастигмин (только в форме пластыря) и мемантин[174][175][176]. Использование этих препаратов при мягком когнитивном нарушении не замедляет наступление болезни Альцгеймера[177]. Среди побочных действий препаратов самыми распространёнными являются чувство тошноты и рвота, связанные с избытком холинергической активности, они возникают у 1—10 % пациентов и могут быть слабо либо умеренно выраженными. Реже встречаются спазмы мышц, брадикардия, снижение аппетита, потеря веса, увеличение кислотности желудочного сока[178].

Проводились исследования ещё одного ингибитора холинэстеразы — гуперзина А, который может смягчать когнитивные нарушения у пациентов, но прошёл по состоянию на 2008 год только одно полноценное клиническое испытание адекватного качества и размера[179][180].

Возбудительный нейротрансмиттер глутамат играет важную роль в работе нервной системы, но его избыток ведет к чрезмерной активации глутаматных рецепторов и может вызывать гибель клеток. Этот процесс, называемый эксайтотоксичностью, отмечается не только при болезни Альцгеймера, но и при других состояниях, например, при болезни Паркинсона и рассеянном склерозе[181]. Препарат под названием мемантин[182], изначально применявшийся при лечении гриппа, ингибирует активацию глутаматных NMDA-рецепторов[181]. Показана умеренная эффективность мемантина при болезни Альцгеймера умеренной и сильной тяжести, но при этом он не эффективен при легкой степени[183]. Самые частые побочные эффекты — гиперчувствительность к компонентам препарата, сонливость, головокружение, нарушение равновесия, повышение артериального давления, одышка, запор, нарушение биохимических показателей функции печени, голвная боль[184]. В комбинации с донепезилом мемантин демонстрирует «статистически значимую, но клинически едва заметную эффективность» в действии на когнитивные показатели[185].

У пациентов, чьё поведение представляет проблему, антипсихотики могут в умеренной степени снизить агрессию и воздействовать на психоз. В то же время эти препараты вызывают серьёзные побочные эффекты, в частности, цереброваскулярные осложнения, двигательные нарушения и снижение когнитивных способностей, что исключает их повседневное использование[186][187]. При длительном назначении антипсихотиков при болезни Альцгеймера отмечается повышенная смертность[187].

Компания Biogen разработала лекарство Адуканумаб, уничтожающее скопления бета-амилоида в мозге человека[188], в 2021 году препарат был одобрен для клинического применения в США по упрощённой процедуре (без достоверных доказательств эффективности лекарства)[189]. Специалисты сомневаются в эффективности адуканумаба в терапии болезни Альцгеймера, поскольку нет доказательств его эффективности по критерию улучшения когнитивных функций. Достоверно известно только свойство этого моноклонального антитела уничтожать «бляшки» бета-амилоида, которые считаются одной из возможных причин заболевания[190][191][192].

Одна из общественных организаций обвинила FDA в возможном сговоре с производителем этого лекарства с недоказанной эффективностью[193].В 2024 г. дальнейшая разработка и производство адуканумаба были приостановлены владельцем регистрационного удостоверения по соображениям изменений приоритета ресурсов компании (высокая стоимость и продолжительность обычной регистрации[194].

В 2023 году был одобрен леканемаб. В 2024 году был одобрен донанемаб[194]. Индивидуальные особенности моноклональных антител для лечения болезни Альцгеймера заключаются в целевой направленности на различные формы Аβ: адуканумаб нацелен на широкий спектр Аβ с повышенной аффиностью к формам с высокой молекулярной массой, леканемаб — на протофибриллы с повышенной аффинностью 10:1 по отношению к Аβ бляшкам и 100:1 по сравнению с мономерами Аβ, донанемаб — на Аβ с пироглутаминовым N-концевым остатком, присутствующий только в бляшках[194].

Психосоциальное вмешательство

«Сенсорная интегративная терапия»: специальная сенсорная комната (англ. snoezelen) используется для эмоционально-ориентированной помощи людям, страдающим от деменции.

Психосоциальное вмешательство дополняет фармакологическое и может быть подразделено на следующие подходы

  • поведенческие
  • эмоциональные
  • когнитивные
  • стимуляторно-ориентированные

Эффективность вмешательства пока не освещена в научной литературе, к тому же сам подход распространяется не на болезнь Альцгеймера, а на деменцию в целом[195].

Поведенческое вмешательство нацелено на определение предпосылок и последствий проблемного поведения и работу по их коррекции. При использовании этого подхода не отмечено улучшения общего уровня функционирования[196], но возможно смягчение некоторых отдельных проблем, таких как недержание мочи[197]. Относительно воздействия методик этого направления на другие поведенческие отклонения, такие как блуждание, не накоплено достаточно качественных данных[198][199].

Вмешательства, затрагивающие эмоциональную сферу, включают в себя терапию воспоминаниями (reminiscence therapy, RT), валидационную терапию, поддерживающую психотерапию, сенсорную интеграцию («снузелен»), и «симуляцию присутствия» (англ. simulated presence therapy, SPT). Поддерживающая психотерапия почти не исследовалась научными методами, но некоторые клинические работники считают, что она даёт пользу при попытке помочь легкобольным пациентам адаптироваться к заболеванию[195]. При терапии воспоминаниями (RT) пациенты обсуждают пережитые ими события с глазу на глаз с терапевтом либо в группе, зачастую с использованием фотографий, предметов домашнего обихода, старых музыкальных и архивных аудиозаписей и других знакомых предметов из прошлого. Хотя число качественных исследований эффективности RT невелико, возможно положительное воздействие этого метода на мышление и настрой пациента[200]. Симуляция присутствия, основанная на теориях привязанности, подразумевает проигрывание аудиозаписей с голосами ближайших родственников. По предварительным данным, у пациентов, проходящих курс SPT, снижается уровень тревожности, поведение становится более спокойным[201][202]. Валидационная терапия основана на признании реальности и персональной правды переживаний другого человека, а на сеансах сенсорной интеграции пациент выполняет упражнения, призванные стимулировать органы чувств. Данных в поддержку этих двух методов немного[203][204].

Ориентирование в реальности, когнитивная переподготовка и другие когнитивно-ориентированные методы терапии применяются с целью снизить когнитивный дефицит. Ориентирование в реальности заключается в представлении информации о времени, местоположении и личности пациента для того, чтобы облегчить осознание им обстановки и собственного места в ней. В свою очередь, когнитивная переподготовка проводится для улучшения нарушенных способностей больного, которому задают задачи, требующие умственного напряжения. Отмечено некоторое улучшение когнитивных возможностей при использовании как первого, так и второго метода[205][206], однако в некоторых исследованиях этот эффект со временем исчезал и были отмечены негативные проявления, например, разочарование пациентов[195].

Стимулирующие методы терапии включают арт-терапию, музыкотерапию, а также разновидности терапии, при которых пациенты общаются с животными, занимаются физическими упражнениями и любой другой общеукрепляющей активностью. Стимуляция, по данным исследований, в умеренной степени влияет на поведение и настроение, и ещё меньше на уровень функционирования. Как бы то ни было, такая терапия проводится в основном для улучшения повседневной жизни пациентов[195].

Уход и присмотр

Уход и присмотр за пациентом крайне важен из-за неизлечимости и дегенеративного характера болезни. Эту роль часто берёт на себя супруг или близкий родственник[207]. Столь тяжёлая ноша сильно отражается на социальной, психологической, экономической и других сторонах жизни человека, занятого уходом за больным[208][209][210].

Поскольку болезнь Альцгеймера неизлечима и постепенно сводит на нет способности человека заботиться о себе, уход за больным фактически составляет основу терапии и заслуживает особого внимания на всём протяжении болезни.

На ранней и умеренной стадиях болезни можно повысить безопасность пациента и облегчить тяжесть ухода за ним, внося изменения в обстановку и образ жизни[211][212]. Среди таких мер — переход к простому рутинному распорядку дня, навешивание предохранительных замков, ярлыков на домашние принадлежности с пояснением, как их использовать[195][213][214]. Пациент может потерять способность самостоятельно питаться, в таком случае нужно измельчать пищу или переводить её в кашеобразное состояние[215]. При возникновении проблем с проглатыванием пищи может потребоваться кормление через трубку. В таком случае перед членами семьи и обслуживающими работниками встаёт этический вопрос о том, как долго следует продолжать кормление, насколько это эффективно с медицинской точки зрения[216][217]. Необходимость физически фиксировать пациента возникает редко, однако в некоторых ситуациях приходится прибегать к фиксации, чтобы уберечь больного от причинения вреда себе или окружающим[195].

По мере развития болезни могут возникать различные осложнения, например, заболевания зубов и полости рта, пролежни, нарушения питания, гигиенические проблемы, респираторные, глазные или кожные инфекции. Их можно избежать при тщательном уходе, но при их возникновении требуется профессиональное вмешательство[65][218]. Облегчение самочувствия пациента перед приближающейся смертью становится основной задачей на последней стадии болезни[219].

Прогноз

На ранних стадиях болезнь Альцгеймера плохо поддаётся диагностике. Определённый диагноз обычно ставится, когда когнитивные нарушения начинают отражаться на повседневной активности человека, хотя сам больной может быть ещё способен жить независимой жизнью. Постепенно лёгкие проблемы в когнитивной сфере сменяются нарастающими отклонениями, как когнитивными, так и иными, и этот процесс неумолимо переводит человека в зависимое от чужой помощи состояние[46].

Продолжительность жизни в группе больных снижена[9][220][221], а после постановки диагноза они живут в среднем около семи лет[9]. Менее 3 % пациентов остаются в живых более четырнадцати лет[10]. С повышенной смертностью ассоциированы такие признаки, как повышенная тяжесть когнитивных нарушений, сниженный уровень функционирования, падения, отклонения при неврологическом осмотре. Другие сопутствующие нарушения, например, болезни сердца и сосудов, сахарный диабет, алкоголизм, также снижают продолжительность жизни больных[220][222][223]. Чем раньше началась болезнь Альцгеймера, тем больше лет в среднем удаётся прожить пациенту после постановки диагноза, но при сравнении со здоровыми людьми общая продолжительность жизни такого человека особенно низка[221]. Прогноз по выживаемости у женщин более благоприятен, чем у мужчин[10][224].

Смертность у пациентов в 70 % случаев обусловлена самой болезнью[9], при этом чаще всего непосредственными причинами являются пневмония и обезвоживание организма. Онкологические заболевания при болезни Альцгеймера отмечаются реже, чем в общей популяции[9][224].

Культура и общество

Нагрузка на общество

Среди болезней, налагающих большую нагрузку на общество в развитых странах, болезнь Альцгеймера и деменция в целом могут занимать одно из первых мест[18][19]. В развивающихся странах, таких как Аргентина[225], и новых развитых странах (Южная Корея)[226], общественные затраты также высоки и продолжают расти. Вероятно, они поднимутся ещё выше по мере старения общества и станут важной социальной проблемой. В число затрат входят прямые медицинские расходы на содержание домов престарелых и немедицинские — на домашний уход за больным, и косвенные расходы, например, потеря производительности — как пациента, так и человека, заботящегося о нём[19]. Приводимые в исследованиях оценки разнятся, но в целом по всему миру затраты на деменцию могут составлять около 160 млрд долл.[227], а в США — около 100 млрд долл. ежегодно[19].

Самые большие общественные затраты идут на оплату долговременного профессионального ухода за больным, в частности, институционализацию, на это требуется до двух третей от всего объёма средств[18]. Уход на дому также обходится дорого[18], особенно при учёте неформальных семейных расходов, в том числе уделяемого времени и потерянной заработной платы[228].

Затраты возрастают при тяжёлой деменции и нарушениях поведения[229] в связи с необходимостью уделять больше времени на уход за больным[228]. Следовательно, любая терапия, способная замедлить угасание когнитивных способностей, отодвинуть институционализацию или уменьшить число часов, уделяемых на уход за больным, будет полезна с экономической стороны. Экономическая оценка существующих методик терапии говорит о положительных результатах[19].

Уход за больным

Основную заботу о пациенте обычно берёт на себя супруг или близкий родственник[207], тем самым взваливая на себя тяжелую ношу, поскольку уход требует физической нагрузки, финансовых затрат, отражается на социальной стороне жизни и психологически очень тягостен[208][209][210]. И пациенты, и родственники обычно предпочитают уход на дому[230]. При этом возможно отложить либо вовсе избежать необходимости в более профессиональном и дорогостоящем уходе[230][231], однако две трети жильцов в домах престарелых всё же страдают от деменции[195].

Среди лиц, заботящихся о дементном больном, отмечается высокий уровень соматических заболеваний и расстройств психики[232]. Если они живут под одной крышей с больным, если больной — супруг или супруга, если больной впадает в депрессию, ведет себя неадекватно, галлюцинирует, страдает от нарушений сна и не в состоянии нормально передвигаться — все эти факторы, по данным исследований, связаны с повышенным числом психосоциальных проблем[233][234]. Заботящийся о больном также вынужден проводить с ним в среднем 47 часов в неделю, зачастую за счёт рабочего времени, при этом затраты на уход высоки. Прямые и косвенные расходы по уходу за пациентом в США составляют в среднем от 18000$ до 77500$ в год, по данным разных исследований[228][235].

По данным исследований, психологическое здоровье лиц, заботящихся о больных, можно укрепить методами когнитивной поведенческой терапии и обучением стратегиям противодействия стрессу, как индивидуально, так и в группах[208][236].

Известные персоны, СМИ, произведения литературы и кино

Чарлтон Хестон и Рональд Рейган на встрече в Белом Доме, 1981 год. Оба к концу жизни заболели болезнью Альцгеймера.

Болезнь Альцгеймера поражает многих людей, не минуя знаменитостей, в том числе таких известных, как бывший президент США Рональд Рейган и ирландская писательница Айрис Мёрдок. Факт болезни обоих не только широко освещался в СМИ, но и послужил основанием для научных статей, авторы которых анализируют прогрессирующее ослабление когнитивных функций данных публичных персон[237][238]. Другими знаменитыми жертвами болезни стали футболист Ференц Пушкаш[239], бывший премьер-министр Великобритании Гарольд Вильсон, премьер-министр Испании Адольфо Суарес[240][241], актёры Питер Фальк[242], Рита Хейворт[243], Михаил Волков, Анни Жирардо и Чарлтон Хестон[244], писатель Терри Пратчетт[245].

Болезнь Альцгеймера также отражена в фильмах, в их числе «Айрис» (2001)[246], основанный на мемуарах Джона Бейли, мужа Айрис Мёрдок[247]; «Дневник памяти» (2004)[248] по одноимённому роману Николаса Спаркса[249]; «Не хочу забывать» («Стирательная резинка в моей голове») (2004)[250]; «Танматра» (2005)[251]; «Память о завтрашнем дне» (2006)[252] по одноимённому роману Хироси Огивара[253]; «Далеко от неё» (2006), по рассказу Элис Манро «Медведь перешёл через гору»[254], сериал «Чёрная лагуна» (7 сезон), «Кортекс» (2008), «Восстание планеты обезьян» (2011), «Секс по дружбе» (2011), «Железная леди» (2011), «Развод Надера и Симин» (2011), «Всё ещё Элис» (2014), сериал «Столик в углу», сериал «Анатомия страсти», сериал «Теория лжи» (3 сезон 7 серия), сериал «Детектив Нэш Бриджес», сериал «Их перепутали в роддоме» (4 сезон), фильмы «Глубокое синее море», чёрно-белый фильм «Небраска» (2013), «Мёд в голове» (2014), телевизионный фильм «Обещаю дорожить» (1999), анимационный фильм «Морщинки» (2011).

Среди документальных фильмов можно отметить такие работы, как «Малькольм и Барбара: история любви» (1999) и «Малькольм и Барбара: прощание любви» с участием Малькольма Пуантона[255].

Направления исследований

В 2008 году более 400 фармацевтических препаратов находились на стадии тестирования в различных странах мира. Примерно четверть из них проходили III фазу клинических испытаний, при успешном завершении которой вопрос о применении средства рассматривается регулирующими органами[256].

Существует направление клинических исследований, нацеленное на коррекцию базовых патологических изменений. Одной из типичных мишеней для препаратов, проходящих тестирование, являются скопления бета-амилоида, которые необходимо сократить. Испытываются такие методы, как иммунотерапия или вакцинация против амилоидного белка. В отличие от обычной вакцинации, осуществляемой заранее, в случае болезни Альцгеймера вакцина будет вводиться пациентам, уже получившим диагноз. Согласно концепции исследователей, иммунная система больного должна научиться распознавать и атаковать отложения амилоида, уменьшая их размеры и облегчая течение болезни[257]. В качестве конкретного примера вакцины можно привести молекулу ACC-001[258][259], клинические испытания которой были заморожены в 2008 году[260]. Другое подобное средство — бапинейзумаб, искусственное антитело, идентичное натуральному анти-амилоидному антителу[261]. Также в разработке находятся нейропротекторные средства, например, AL-108[262], и ингибиторы металло-белковых взаимодействий, такие как PBT2[263]. Гибридный белок этанерцепт, действующий как TNF-ингибитор, демонстрирует обнадёживающие результаты[264]. В опытах на мышах с моделью болезни Альцгеймера найдены весьма перспективные препараты которые улучшали когнитивные способности, такие как соединение EPPS защищающее нервную ткань путём активного разрушения амилоидных бляшек[265], а также препарат J147[266] и анти-астматическое лекарство Монтелукаст[267], продемонстрировавшие улучшение состояния мозга, сходное с омоложением.

Снижает уровень бета-амилоида в головном мозге, улучшая когнитивные функции также комбинация гемфиброзила и ретиноевой кислоты, которая стимулирует астроциты к фагоцитозу бета-амилоида[268][269]

В ходе клинических испытаний, проведённых в 2008 году, у пациентов на начальной и умеренной стадиях были отмечены позитивные сдвиги в течение болезни под воздействием тетраметилтионина хлорида, ингибирующего агрегацию тау-белка[270][271], и антигистамина димебона[272].

Чтобы обеспечить учёным разных стран возможность обмениваться идеями и предлагать гипотезы, а также предоставить всем интересующимся сведения о новейших научных исследованиях, был создан онлайн-проект Alzheimer Research Forum.

В 2014 году коллективу под руководством Ким Ду Ёна и Рудольфа Танци удалось создать трёхмерную культуру нервной ткани на основе стволовых клеток человека in vitro, в которой экспериментально были воспроизведены дегенеративные изменения, связанные с накоплением бета-амилоидных образований и таупатиями[273].

Одним из направлений исследований является изучение течения болезни у пациентов, принадлежащих к разным расам. Группа учёных во главе с Лизой Барнс организовали исследование, в котором приняли участие 122 человека, из которых 81 человек принадлежал к европеоидной расе и 41 — к негроидной. Учёные исследовали ткани головного мозга пациентов. У 71 % пациентов негроидной расы были обнаружены признаки других патологий, помимо болезни Альцгеймера. У представителей европеоидной расы данный показатель составил 51 %. Помимо этого, у афроамериканцев чаще были выявлены заболевания кровеносных сосудов. Лекарства, которые на данный момент применяют для лечения болезни Альцгеймера, воздействуют лишь на определённый тип патологии. Полученные данные о смешанной картине заболевания у представителей негроидной расы помогут в создании новых способов лечения для данной группы пациентов[274].

В 2016 году биологи Центра генетики нейронных цепей RIKEN-MIT опубликовали результаты своего исследования. Они выяснили, что, раздражая светом области головного мозга, отвечающие за память, можно стимулировать рост нейронных связей. Это способствует улучшению процесса извлечения воспоминаний, которое страдает при нейро-дегенеративной патологии, такой, как болезнь Альцгеймера[275].

В 2016 году появились сообщения о том, что создаваемый израильскими учёными препарат привёл к полному исчезновению симптомов болезни Альцгеймера у мышей[276].

Исследование 2018 года показывает позитивный эффект от применения Кетогенной диеты[277]. Кетоновые тела способны исправить энергетический дефицит мозга, вызванный гипометаболизмом мозга[278][279][280].

Дисбактериоз кишечника был признан фактором риска развития болезни Альцгеймера. Было обнаружено, что пробиотики имеют важное значение в области подходов к борьбе с болезнью Альцгеймера на основе пищевых продуктов[281].

См. также

Примечания

  1. Disease Ontology (англ.) — 2016.
  2. 1 2 Monarch Disease Ontology release 2018-06-29 — 2018-06-29 — 2018.
  3. 1 2 3 Berchtold N.C., Cotman C.W. Evolution in the conceptualization of dementia and Alzheimer's disease: Greco-Roman period to the 1960s (англ.) // Neurobiology of Aging : journal. — 1998. Vol. 19, no. 3. P. 173—189. PMID 9661992.
  4. Brookmeyer R., Gray S., Kawas C. Projections of Alzheimer's disease in the United States and the public health impact of delaying disease onset (англ.) // American Journal of Public Health : journal. — 1998. — September (vol. 88, no. 9). P. 1337—1342. PMID 9736873. PMC 1509089.
  5. 1 2 2006 prevalence estimate:
  6. Tabert M.H., Liu X., Doty R.L., Serby M., Zamora D., Pelton G.H., Marder K., Albers M.W., Stern Y., Devanand D.P. A 10-item smell identification scale related to risk for Alzheimer's disease (англ.) // Annals of Neurology : journal. — 2005. Vol. 58, no. 1. P. 155—160. ISSN 0364-5134. doi:10.1002/ana.20533. PMID 15984022.
  7. Understanding stages and symptoms of Alzheimer's disease. National Institute on Aging (26 октября 2007). Дата обращения: 21 февраля 2008. Архивировано 25 августа 2011 года.
  8. Alzheimer's diagnosis of AD. Alzheimer's Research Trust. Дата обращения: 29 февраля 2008. Архивировано 25 августа 2011 года.
  9. 1 2 3 4 5 Mölsä P.K., Marttila R.J., Rinne U.K. Survival and cause of death in Alzheimer's disease and multi-infarct dementia (англ.) // Acta Neurologica Scandinavica : journal. — 1986. — August (vol. 74, no. 2). P. 103—107. PMID 3776457.
  10. 1 2 3 Mölsä P.K., Marttila R.J., Rinne U.K. Long-term survival and predictors of mortality in Alzheimer's disease and multi-infarct dementia (англ.) // Acta Neurologica Scandinavica : journal. — 1995. — March (vol. 91, no. 3). P. 159—164. PMID 7793228.
  11. Ballard Clive, Gauthier Serge, Corbett Anne, Brayne Carol, Aarsland Dag, Jones Emma. Alzheimer's disease (англ.) // The Lancet. Elsevier, 2011. Vol. 377. P. 1019—1031. ISSN 01406736. doi:10.1016/S0140-6736(10)61349-9.
  12. 1 2 3 Tiraboschi P., Hansen L.A., Thal L.J., Corey-Bloom J. The importance of neuritic plaques and tangles to the development and evolution of AD (англ.) // Neurology : journal. Wolters Kluwer, 2004. — June (vol. 62, no. 11). P. 1984—1989. PMID 15184601.
  13. Brainsway reports positive Deep TMS system trial data for OCD (англ.). Industry News. medicaldevice-network.com (6 сентября 2013). — Глубокая ТМС одобрена для лечения ОКР и других расстройств (в частности, болезни Альцгеймера). Дата обращения: 13 марта 2015. Архивировано 20 марта 2015 года.
  14. Shiv Gaglani. Transcranial Magnetic Stimulation Shows Initial Promise in Alzheimer’s Trial (англ.). Archives: 10/2011. Medgadget en Español (6 октября 2011). — Об успехах при исследовании TMS при болезни Альцгеймера. Дата обращения: 13 марта 2015. Архивировано 19 марта 2015 года.
  15. Alzheimer's Disease Clinical Trials. US National Institutes of Health. Дата обращения: 18 августа 2008. Архивировано 25 августа 2011 года.
  16. Can Alzheimer's disease be prevented (pdf). National Institute on Aging (29 августа 2006). Дата обращения: 29 февраля 2008. Архивировано 25 августа 2011 года.
  17. New hybrid 'MIND diet' can cut Alzheimer's risk by 53%. Zee News. Дата обращения: 14 марта 2016. Архивировано 15 марта 2016 года.
  18. 1 2 3 4 Bonin-Guillaume S., Zekry D., Giacobini E., Gold G., Michel J.P. Impact économique de la démence (English: The economical impact of dementia) (фр.) // La Presse médicale. — 2005. — Janvier (vol. 34, no 1). P. 35—41. ISSN 0755-4982. PMID 15685097.
  19. 1 2 3 4 5 Meek P.D., McKeithan K., Schumock G.T. Economic considerations in Alzheimer's disease (англ.) // Pharmacotherapy. — 1998. Vol. 18, no. 2 Pt 2. P. 68—73; discussion 79—82. PMID 9543467.
  20. Auguste D.:
    • Alzheimer Alois. Über eine eigenartige Erkrankung der Hirnrinde [About a peculiar disease of the cerebral cortex] ( (нем.)) // Allgemeine Zeitschrift fur Psychiatrie und Psychisch-Gerichtlich Medizin. — 1907. Т. 64, № 1—2. С. 146—148.
    • Alzheimer Alois. About a peculiar disease of the cerebral cortex. By Alois Alzheimer, 1907 (Translated by L. Jarvik and H. Greenson) (англ.) // Alzheimer Disease and Associated Disorders : journal. — 1987. Vol. 1, no. 1. P. 3—8. PMID 3331112.
    • Maurer Ulrike, Maurer Konrad. Alzheimer: the life of a physician and the career of a disease (англ.). — New York: Columbia University Press, 2003. — P. 270. — ISBN 0-231-11896-1.
  21. Kraepelin Emil, Diefendorf A. Ross (translated by). Clinical Psychiatry: A Textbook For Students And Physicians (Reprint) (англ.). Kessinger Publishing, 2007. — P. 568. — ISBN 1-4325-0833-4.
  22. Katzman Robert, Terry Robert D., Bick Katherine L (editors). Alzheimer's disease: senile dementia and related disorders (англ.). — New York: Raven Press, 1978. — P. 595. — ISBN 0-89004-225-X.
  23. Boller F., Forbes M.M. History of dementia and dementia in history: an overview (англ.) // Journal of the Neurological Sciences : journal. — 1998. — June (vol. 158, no. 2). P. 125—133. PMID 9702682.
  24. Amaducci L.A., Rocca W.A., Schoenberg B.S. Origin of the distinction between Alzheimer's disease and senile dementia: how history can clarify nosology (англ.) // Neurology : journal. Wolters Kluwer, 1986. — November (vol. 36, no. 11). P. 1497—1499. PMID 3531918.
  25. 1 2 3 Bermejo-Pareja F., Benito-León J., Vega S., Medrano M.J., Román G.C. Incidence and subtypes of dementia in three elderly populations of central Spain (англ.) // Journal of the Neurological Sciences : journal. — 2008. — January (vol. 264, no. 1—2). P. 63—72. doi:10.1016/j.jns.2007.07.021. PMID 17727890.
  26. Jose Viña, Ana Lloret. Why women have more Alzheimer's disease than men: gender and mitochondrial toxicity of amyloid-beta peptide // Journal of Alzheimer's disease: JAD. — 2010. Т. 20 Suppl 2. С. S527–533. ISSN 1875-8908. doi:10.3233/JAD-2010-100501. Архивировано 14 апреля 2021 года.
  27. Болезнь Альцгеймера чаще поражает женщин, выяснили учёные. Мозг женщин быстрее накапливает в себе обрывки «белкового мусора», что ускоряет развитие болезни Альцгеймера и проявление её клинических симптомов. РИА Новости (4 февраля 2019). Дата обращения: 14 апреля 2021. Архивировано 14 апреля 2021 года.
  28. 1 2 3 Di Carlo A., Baldereschi M., Amaducci L., et al. Incidence of dementia, Alzheimer's disease, and vascular dementia in Italy. The ILSA Study (англ.) // Journal of the American Geriatrics Society : journal. — 2002. — January (vol. 50, no. 1). P. 41—8. PMID 12028245.
  29. Andersen K., Launer L.J., Dewey M.E., et al. Gender differences in the incidence of AD and vascular dementia: The EURODEM Studies. EURODEM Incidence Research Group (англ.) // Neurology : journal. Wolters Kluwer, 1999. — December (vol. 53, no. 9). P. 1992—1997. PMID 10599770.
  30. 2000 U.S. estimates:
  31. 1 2 Ferri C.P., Prince M., Brayne C., et al. Global prevalence of dementia: a Delphi consensus study (англ.) // The Lancet. Elsevier, 2005. — December (vol. 366, no. 9503). P. 2112—2117. doi:10.1016/S0140-6736(05)67889-0. PMID 16360788. Архивировано 29 октября 2006 года. Архивированная копия. Дата обращения: 31 января 2009. Архивировано 25 июня 2008 года.
  32. World Health Organization. Neurological Disorders: Public Health Challenges (англ.). — Switzerland: World Health Organization, 2006. — P. 204—207. — ISBN 978-92-4-156336-9. Архивировано 10 февраля 2010 года.
  33. Preclinical: *Linn R.T., Wolf P.A., Bachman D.L., et al. The 'preclinical phase' of probable Alzheimer's disease. A 13-year prospective study of the Framingham cohort (англ.) // JAMA : journal. — 1995. — May (vol. 52, no. 5). P. 485—490. PMID 7733843.
    • Saxton J., Lopez O.L., Ratcliff G., et al. Preclinical Alzheimer disease: neuropsychological test performance 1.5 to 8 years prior to onset (англ.) // Neurology : journal. Wolters Kluwer, 2004. — December (vol. 63, no. 12). P. 2341—2347. PMID 15623697.
    • Twamley E.W., Ropacki S.A., Bondi M.W. Neuropsychological and neuroimaging changes in preclinical Alzheimer's disease (англ.) // Journal of the International Neuropsychological Society : journal. — 2006. — September (vol. 12, no. 5). P. 707—735. doi:10.1017/S1355617706060863. PMID 16961952. PMC 1621044.
  34. Perneczky R., Pohl C., Sorg C., Hartmann J., Komossa K., Alexopoulos P., Wagenpfeil S., Kurz A. Complex activities of daily living in mild cognitive impairment: conceptual and diagnostic issues (англ.) // Age and Ageing : journal. — 2006. Vol. 35, no. 3. P. 240—245. doi:10.1093/ageing/afj054. PMID 16513677.
  35. Arnáiz E., Almkvist O. Neuropsychological features of mild cognitive impairment and preclinical Alzheimer's disease (англ.) // Acta Neurol. Scand., Suppl. : journal. — 2003. Vol. 179. P. 34—41. doi:10.1034/j.1600-0404.107.s179.7.x. PMID 12603249.
  36. Kazui H., Matsuda A., Hirono N., et al. Everyday memory impairment of patients with mild cognitive impairment (англ.) // Dement Geriatr Cogn Disord : journal. — 2005. Vol. 19, no. 5—6. P. 331—337. doi:10.1159/000084559. PMID 15785034. Архивировано 24 августа 2010 года.
  37. Rapp M.A., Reischies F.M. Attention and executive control predict Alzheimer disease in late life: results from the Berlin Aging Study (BASE) (англ.) // American Journal of Geriatric Psychiatry : journal. — 2005. Vol. 13, no. 2. P. 134—141. doi:10.1176/appi.ajgp.13.2.134. PMID 15703322.
  38. Spaan P.E., Raaijmakers J.G., Jonker C. Alzheimer's disease versus normal ageing: a review of the efficiency of clinical and experimental memory measures (англ.) // Journal of Clinical Experimental Neuropsychology : journal. — 2003. Vol. 25, no. 2. P. 216—233. PMID 12754679.
  39. 1 2 Craig D., Mirakhur A., Hart D.J., McIlroy S.P., Passmore A.P. A cross-sectional study of neuropsychiatric symptoms in 435 patients with Alzheimer's disease (англ.) // American Journal of Geriatric Psychiatry : journal. — 2005. Vol. 13, no. 6. P. 460—468. doi:10.1176/appi.ajgp.13.6.460. PMID 15956265.
  40. Robert P.H., Berr C., Volteau M., Bertogliati C., Benoit M., Sarazin M., Legrain S., Dubois B. Apathy in patients with mild cognitive impairment and the risk of developing dementia of Alzheimer's disease: a one-year follow-up study (англ.) // Clinical Neurology and Neurosurgery : journal. — 2006. Vol. 108, no. 8. P. 733—736. doi:10.1016/j.clineuro.2006.02.003. PMID 16567037.
  41. Palmer K., Berger A.K., Monastero R., Winblad B., Bäckman L., Fratiglioni L. Predictors of progression from mild cognitive impairment to Alzheimer disease (англ.) // Neurology : journal. Wolters Kluwer, 2007. Vol. 68, no. 19. P. 1596—1602. doi:10.1212/01.wnl.0000260968.92345.3f. PMID 17485646.
  42. Small B.J., Gagnon E., Robinson B. Early identification of cognitive deficits: preclinical Alzheimer's disease and mild cognitive impairment (англ.) // Geriatrics : journal. — 2007. — April (vol. 62, no. 4). P. 19—23. PMID 17408315.
  43. Гаврилова С.И. Фармакотерапия болезни Альцгеймера (англ.). — Москва: Пульс, 2003. — P. 320. — ISBN 5-93486-042-9.
  44. Захаров В.В., Яхно Н.Н. Когнитивные расстройства в пожилом и старческом возрасте. — Москва: Методическое пособие для врачей, 2005. — С. 71.
  45. Petersen R.C. The current status of mild cognitive impairment—what do we tell our patients? (англ.) // Nat Clin Pract Neurol : journal. — 2007. — February (vol. 3, no. 2). P. 60—1. doi:10.1038/ncpneuro0402. PMID 17279076.
  46. 1 2 3 4 5 6 Förstl H., Kurz A. Clinical features of Alzheimer's disease (англ.) // European Archives of Psychiatry and Clinical Neuroscience. — 1999. Vol. 249, no. 6. P. 288—290. PMID 10653284.
  47. Carlesimo G.A., Oscar-Berman M. Memory deficits in Alzheimer's patients: a comprehensive review (англ.) // Neuropsychology Review : journal. — 1992. — June (vol. 3, no. 2). P. 119—169. PMID 1300219.
  48. Jelicic M., Bonebakker A.E., Bonke B. Implicit memory performance of patients with Alzheimer's disease: a brief review (англ.) // International Psychogeriatrics : journal. — 1995. Vol. 7, no. 3. P. 385—392. doi:10.1017/S1041610295002134. PMID 8821346.
  49. 1 2 3 Frank E.M. Effect of Alzheimer's disease on communication function (англ.) // J S C Med Assoc : journal. — 1994. — September (vol. 90, no. 9). P. 417—423. PMID 7967534.
  50. Becker J.T., Overman A.A. [The semantic memory deficit in Alzheimer's disease] (Spanish; Castilian) // Revue neurologique. — 2002. Т. 35, № 8. С. 777—783. PMID 12402233.
  51. Hodges J.R., Patterson K. Is semantic memory consistently impaired early in the course of Alzheimer's disease? Neuroanatomical and diagnostic implications (англ.) // Neuropsychologia : journal. — 1995. — April (vol. 33, no. 4). P. 441—459. PMID 7617154.
  52. Benke T. Two forms of apraxia in Alzheimer's disease (англ.) // Cortex. — 1993. — December (vol. 29, no. 4). P. 715—725. PMID 8124945.
  53. Forbes K.E., Shanks M.F., Venneri A. The evolution of dysgraphia in Alzheimer's disease (англ.) // Brain Research Bulletin. — 2004. — March (vol. 63, no. 1). P. 19—24. doi:10.1016/j.brainresbull.2003.11.005. PMID 15121235.
  54. Galasko D., Schmitt F., Thomas R., Jin S., Bennett D. Detailed assessment of activities of daily living in moderate to severe Alzheimer's disease (англ.) // Journal of the International Neuropsychology Society : journal. — 2005. Vol. 11, no. 4. P. 446—453. PMID 16209425.
  55. Galasko D., Schmitt F., Thomas R., Jin S., Bennett D. Detailed assessment of activities of daily living in moderate to severe Alzheimer's disease (англ.) // Journal of the International Neuropsychological Society : journal. — 2005. — July (vol. 11, no. 4). P. 446—453. PMID 16209425.
  56. Sartori G., Snitz B.E., Sorcinelli L., Daum I. Remote memory in advanced Alzheimer's disease (англ.) // Arch Clin Neuropsychol. — 2004. — September (vol. 19, no. 6). P. 779—789. doi:10.1016/j.acn.2003.09.007. PMID 15288331.
  57. Volicer L., Harper D.G., Manning B.C., Goldstein R., Satlin A. Sundowning and circadian rhythms in Alzheimer's disease (англ.) // The American Journal of Psychiatry : journal. — 2001. — May (vol. 158, no. 5). P. 704—711. PMID 11329390. Архивировано 11 июня 2011 года.
  58. Neuropsychiatric symptoms: *Scarmeas N., Brandt J., Blacker D., et al. Disruptive behavior as a predictor in Alzheimer disease (англ.) // JAMA : journal. — 2007. — December (vol. 64, no. 12). P. 1755—1761. doi:10.1001/archneur.64.12.1755. PMID 18071039. *Tatsch M.F., Bottino C.M., Azevedo D., et al. Neuropsychiatric symptoms in Alzheimer disease and cognitively impaired, nondemented elderly from a community-based sample in Brazil: prevalence and relationship with dementia severity (англ.) // Am J Geriatr Psychiatry : journal. — 2006. — May (vol. 14, no. 5). P. 438—445. doi:10.1097/01.JGP.0000218218.47279.db. PMID 16670248. *Volicer L., Bass E.A., Luther S.L. Agitation and resistiveness to care are two separate behavioral syndromes of dementia (англ.) // J Am Med Dir Assoc : journal. — 2007. — October (vol. 8, no. 8). P. 527—532. doi:10.1016/j.jamda.2007.05.005. PMID 17931577.
  59. Honig L.S., Mayeux R. Natural history of Alzheimer's disease (англ.) // Aging (Milano). — 2001. — June (vol. 13, no. 3). P. 171—182. PMID 11442300.
  60. Gold D.P., Reis M.F., Markiewicz D., Andres D. When home caregiving ends: a longitudinal study of outcomes for caregivers of relatives with dementia (англ.) // Journal of the American Geriatrics Society : journal. — 1995. — January (vol. 43, no. 1). P. 10—6. PMID 7806732.
  61. Bär M., Kruse A., Re S. [Situations of emotional significance in residents suffering from dementia] (нем.) // Z Gerontol Geriatr. — 2003. — Dezember (Bd. 36, Nr. 6). S. 454—462. doi:10.1007/s00391-003-0191-0. PMID 14685735.
  62. Souren L.E., Franssen E.H., Reisberg B. Contractures and loss of function in patients with Alzheimer's disease (англ.) // Journal of the American Geriatrics Society : journal. — 1995. — June (vol. 43, no. 6). P. 650—655. PMID 7775724.
  63. Berkhout A.M., Cools H.J., van Houwelingen H.C. The relationship between difficulties in feeding oneself and loss of weight in nursing-home patients with dementia (англ.) // Age and Ageing : journal. — 1998. — September (vol. 27, no. 5). P. 637—641. PMID 12675103.
  64. Wada H., Nakajoh K., Satoh-Nakagawa T., et al. Risk factors of aspiration pneumonia in Alzheimer's disease patients (англ.) // Gerontology : journal. — 2001. Vol. 47, no. 5. P. 271—276. PMID 11490146.
  65. 1 2 Gambassi G., Landi F., Lapane K.L., Sgadari A., Mor V., Bernabei R. Predictors of mortality in patients with Alzheimer's disease living in nursing homes (англ.) // Journal of Neurology, Neurosurgery and Psychiatry : journal. — 1999. — July (vol. 67, no. 1). P. 59—65. PMID 10369823. PMC 1736445.
  66. Shen Z.X. Brain cholinesterases: II. The molecular and cellular basis of Alzheimer's disease (англ.) // Medical Hypotheses : journal. — 2004. Vol. 63, no. 2. P. 308—321. doi:10.1016/j.mehy.2004.02.031. PMID 15236795.
  67. 1 2 Wenk G.L. Neuropathologic changes in Alzheimer's disease (англ.) // The Journal of Clinical Psychiatry. — 2003. Vol. 64 Suppl 9. P. 7—10. PMID 12934968.
  68. Hardy J., Allsop D. Amyloid deposition as the central event in the aetiology of Alzheimer's disease (англ.) // Trends : journal. — 1991. — October (vol. 12, no. 10). P. 383—388. PMID 1763432.
  69. 1 2 Mudher A., Lovestone S. Alzheimer's disease-do tauists and baptists finally shake hands? (англ.) // Trends : journal. — 2002. — January (vol. 25, no. 1). P. 22—26. PMID 11801334.
  70. Nistor M., Don M., Parekh M., et al. Alpha- and beta-secretase activity as a function of age and beta-amyloid in Down syndrome and normal brain (англ.) // Neurobiology of Aging : journal. — 2007. — October (vol. 28, no. 10). P. 1493—1506. doi:10.1016/j.neurobiolaging.2006.06.023. PMID 16904243.
  71. Lott I.T., Head E. Alzheimer disease and Down syndrome: factors in pathogenesis (англ.) // Neurobiology of Aging : journal. — 2005. — March (vol. 26, no. 3). P. 383—389. doi:10.1016/j.neurobiolaging.2004.08.005. PMID 15639317.
  72. Polvikoski T., Sulkava R., Haltia M., et al. Apolipoprotein E, dementia, and cortical deposition of beta-amyloid protein (англ.) // The New England Journal of Medicine : journal. — 1995. — November (vol. 333, no. 19). P. 1242—1247. PMID 7566000.
  73. Transgenic mice:
    • Games D., Adams D., Alessandrini R., et al. Alzheimer-type neuropathology in transgenic mice overexpressing V717F beta-amyloid precursor protein (англ.) // Nature : journal. — 1995. — February (vol. 373, no. 6514). P. 523—527. doi:10.1038/373523a0. PMID 7845465.
    • Masliah E., Sisk A., Mallory M., Mucke L., Schenk D., Games D. Comparison of neurodegenerative pathology in transgenic mice overexpressing V717F beta-amyloid precursor protein and Alzheimer's disease (англ.) // Journal of Neuroscience : journal. — 1996. — September (vol. 16, no. 18). P. 5795—5811. PMID 8795633. *Hsiao K., Chapman P., Nilsen S., et al. Correlative memory deficits, Abeta elevation, and amyloid plaques in transgenic mice (англ.) // Science (journal) : journal. — 1996. — October (vol. 274, no. 5284). P. 99—102. PMID 8810256.
  74. Holmes C., Boche D., Wilkinson D., et al. Long-term effects of Abeta42 immunisation in Alzheimer's disease: follow-up of a randomised, placebo-controlled phase I trial (англ.) // The Lancet : journal. Elsevier, 2008. — July (vol. 372, no. 9634). P. 216—223. doi:10.1016/S0140-6736(08)61075-2. PMID 18640458.
  75. ALZHEIMER’S ASSOCIATION STATEMENT BAN2401 Phase 2 Data Released at AAIC 2018. Alzheimer’s Association. Дата обращения: 31 июля 2018. Архивировано 31 июля 2018 года.
  76. Schmitz C., Rutten B.P., Pielen A., et al. Hippocampal neuron loss exceeds amyloid plaque load in a transgenic mouse model of Alzheimer's disease (англ.) // The American Journal of Pathology : journal. — 2004. — April (vol. 164, no. 4). P. 1495—1502. PMID 15039236. PMC 1615337.
  77. Musiek Erik S, Holtzman David M. Three dimensions of the amyloid hypothesis: time, space and 'wingmen' // Nature Neuroscience. — 2015. — Vol. 18. — P. 800—806. ISSN 1097-6256. doi:10.1038/nn.4018. PMID 26007213.
  78. Goedert M., Spillantini M.G., Crowther R.A. Tau proteins and neurofibrillary degeneration (англ.) // Brain Pathology. — 1991. — July (vol. 1, no. 4). P. 279—286. PMID 1669718.
  79. Iqbal K., Alonso Adel C., Chen S., et al. Tau pathology in Alzheimer disease and other tauopathies (англ.) // Biochimica et Biophysica Acta : journal. — 2005. — January (vol. 1739, no. 2—3). P. 198—210. doi:10.1016/j.bbadis.2004.09.008. PMID 15615638.
  80. Chun W., Johnson G.V. The role of tau phosphorylation and cleavage in neuronal cell death (англ.) // Frontiers in Bioscience : journal. Frontiers in Bioscience, 2007. Vol. 12. P. 733—756. PMID 17127334.
  81. Ученые обнаружили, что избыток сахара увеличивает риск развития болезни Альцгеймера. theUK.one. Архивировано 28 февраля 2017. Дата обращения: 28 февраля 2017.
  82. Jan Potempa, Mike Dragunow, Maurice A. Curtis, Richard L. M. Faull, Eric C. Reynolds. Porphyromonas gingivalis in Alzheimer’s disease brains: Evidence for disease causation and treatment with small-molecule inhibitors (англ.) // Science Advances. — 2019-01-01. Vol. 5, iss. 1. P. eaau3333. ISSN 2375-2548. doi:10.1126/sciadv.aau3333. Архивировано 24 октября 2019 года.
  83. 1 2 Shih-Chang Hung, Kuan-Fu Liao, Chih-Hsin Muo, Shih-Wei Lai, Chia-Wei Chang. Hearing Loss is Associated With Risk of Alzheimer’s Disease: A Case-Control Study in Older People // Journal of Epidemiology. — 2015-08-05. Т. 25, вып. 8. С. 517—521. ISSN 0917-5040. doi:10.2188/jea.JE20140147. Архивировано 21 января 2022 года.
  84. Gabriele Doblhammer, Gabriele Witt, Ingo Kilimann, Attila Óvári, Stefan Teipel. Hearing Impairment Affects Dementia Incidence. An Analysis Based on Longitudinal Health Claims Data in Germany (англ.) // PLOS One. Public Library of Science, 2016-08-07. Vol. 11, iss. 7. P. e0156876. ISSN 1932-6203. doi:10.1371/journal.pone.0156876. Архивировано 1 апреля 2022 года.
  85. George A. Gates, Alexa Beiser, Thomas S. Rees, Ralph B. D'Agostino, Philip A. Wolf. Central Auditory Dysfunction May Precede the Onset of Clinical Dementia in People with Probable Alzheimer's Disease (англ.) // Journal of the American Geriatrics Society. — 2002. Vol. 50, iss. 3. P. 482—488. ISSN 1532-5415. doi:10.1046/j.1532-5415.2002.50114.x. Архивировано 16 июня 2019 года.
  86. Yilin Shen, Bin Ye, Penghui Chen, Quan Wang, Cui Fan. Cognitive Decline, Dementia, Alzheimer’s Disease and Presbycusis: Examination of the Possible Molecular Mechanism // Frontiers in Neuroscience. — 2018-06-08. Т. 12. ISSN 1662-4548. doi:10.3389/fnins.2018.00394. Архивировано 21 января 2022 года.
  87. Study confirms the link between hearing loss and dementia in older adults (англ.). Alzheimer's Society. Дата обращения: 15 июня 2019. Архивировано 16 июня 2019 года.
  88. 1 2 Frank R. Lin, Lisa M. Wruck, David Knopman, Thomas H. Mosley, Josef Coresh. Hearing Impairment and Cognitive Decline: A Pilot Study Conducted Within the Atherosclerosis Risk in Communities Neurocognitive Study (англ.) // American Journal of Epidemiology. — 2015-05-01. Vol. 181, iss. 9. P. 680—690. ISSN 0002-9262. doi:10.1093/aje/kwu333. Архивировано 25 мая 2019 года.
  89. 1 2 The Link Between Hearing Loss and Alzheimer's Disease | Beltone (англ.). www.beltone.com. Дата обращения: 15 июня 2019. Архивировано 16 июня 2019 года.
  90. The Facts On Hearing Loss and Alzheimer Type Dementia (англ.). Hearnet Online (20 марта 2017). Дата обращения: 15 июня 2019. Архивировано 16 июня 2019 года.
  91. 1 2 The Connection Between Alzheimer's and Hearing Loss (англ.). Alzheimers.net (13 апреля 2018). Дата обращения: 15 июня 2019. Архивировано 16 июня 2019 года.
  92. Luigi Ferrucci, Alan B. Zonderman, Susan M. Resnick, Richard J. O’Brien, E. Jeffrey Metter. Hearing Loss and Incident Dementia (англ.) // Archives of Neurology. — 2011-02-14. Vol. 68, iss. 2. P. 214—220. ISSN 0003-9942. doi:10.1001/archneurol.2010.362. Архивировано 16 июня 2019 года.
  93. Bouras C., Hof P.R., Giannakopoulos P., Michel J.P., Morrison J.H. Regional distribution of neurofibrillary tangles and senile plaques in the cerebral cortex of elderly patients: a quantitative evaluation of a one-year autopsy population from a geriatric hospital (англ.) // Cerebral Cortex : journal. — 1994. Vol. 4, no. 2. P. 138—150. PMID 8038565.
  94. Hashimoto M., Rockenstein E., Crews L., Masliah E. Role of protein aggregation in mitochondrial dysfunction and neurodegeneration in Alzheimer's and Parkinson's diseases (англ.) // NeuroMolecular Medicine : journal. — 2003. Vol. 4, no. 1—2. P. 21—36. doi:10.1385/NMM:4:1-2:21. PMID 14528050.
  95. Priller C., Bauer T., Mitteregger G., Krebs B., Kretzschmar H.A., Herms J. Synapse formation and function is modulated by the amyloid precursor protein (англ.) // Journal of Neuroscience : journal. — 2006. — July (vol. 26, no. 27). P. 7212—7221. doi:10.1523/JNEUROSCI.1450-06.2006. PMID 16822978.
  96. Turner P.R., O'Connor K., Tate W.P., Abraham W.C. Roles of amyloid precursor protein and its fragments in regulating neural activity, plasticity and memory (англ.) // Progress in Neurobiology : journal. — 2003. — May (vol. 70, no. 1). P. 1—32. PMID 12927332.
  97. Hooper N.M. Roles of proteolysis and lipid rafts in the processing of the amyloid precursor protein and prion protein (англ.) // Biochemical Society Transactions : journal. — 2005. — April (vol. 33, no. Pt 2). P. 335—338. doi:10.1042/BST0330335. PMID 15787600.
  98. Ohnishi S., Takano K. Amyloid fibrils from the viewpoint of protein folding (англ.) // Cellular and Molecular Life Sciences : journal. — 2004. — March (vol. 61, no. 5). P. 511—524. doi:10.1007/s00018-003-3264-8. PMID 15004691.
  99. Hernández F., Avila J. Tauopathies (англ.) // Cellular and Molecular Life Sciences. — 2007. — September (vol. 64, no. 17). P. 2219—2233. doi:10.1007/s00018-007-7220-x. PMID 17604998.
  100. Van Broeck B., Van Broeckhoven C., Kumar-Singh S. Current insights into molecular mechanisms of Alzheimer disease and their implications for therapeutic approaches (англ.) // Neurodegener Dis : journal. — 2007. Vol. 4, no. 5. P. 349—365. doi:10.1159/000105156. PMID 17622778.
  101. Yankner B.A., Duffy L.K., Kirschner D.A. Neurotrophic and neurotoxic effects of amyloid beta protein: reversal by tachykinin neuropeptides (англ.) // Science (journal) : journal. — 1990. — October (vol. 250, no. 4978). P. 279—282. PMID 2218531.
  102. Chen X., Yan S.D. Mitochondrial Abeta: a potential cause of metabolic dysfunction in Alzheimer's disease (англ.) // IUBMB Life : journal. — 2006. — December (vol. 58, no. 12). P. 686—694. doi:10.1080/15216540601047767. PMID 17424907.
  103. Greig N.H., Mattson M.P., Perry T., et al. New therapeutic strategies and drug candidates for neurodegenerative diseases: p53 and TNF-alpha inhibitors, and GLP-1 receptor agonists (англ.) // Annals of the New York Academy of Sciences : journal. — 2004. — December (vol. 1035). P. 290—315. doi:10.1196/annals.1332.018. PMID 15681814.
  104. 1 2 3 4 5 Waring S.C., Rosenberg R.N. Genome-wide association studies in Alzheimer disease (англ.) // JAMA : journal. — 2008. — March (vol. 65, no. 3). P. 329—334. doi:10.1001/archneur.65.3.329. PMID 18332245.
  105. Hoenicka J. Genes in Alzheimer's disease (фр.) // Revue neurologique. Vol. 42, no 5. P. 302—305. PMID 16538594.
  106. Campion D., Dumanchin C., Hannequin D., et al. Early-onset autosomal dominant Alzheimer disease: prevalence, genetic heterogeneity, and mutation spectrum (англ.) // American Journal of Human Genetics : journal. — 1999. — September (vol. 65, no. 3). P. 664—670. doi:10.1086/302553. PMID 10441572. PMC 1377972.
  107. Selkoe D.J. Translating cell biology into therapeutic advances in Alzheimer's disease (англ.) // Nature : journal. — 1999. — June (vol. 399, no. 6738 Suppl). P. A23—31. PMID 10392577.
  108. Strittmatter W.J., Saunders A.M., Schmechel D., et al. Apolipoprotein E: high-avidity binding to beta-amyloid and increased frequency of type 4 allele in late-onset familial Alzheimer disease (англ.) // Proceedings of the National Academy of Sciences of the United States of America : journal. — 1993. — March (vol. 90, no. 5). P. 1977—1981. PMID 8446617. PMC 46003.
  109. Seripa D., Matera M.G., Franceschi M., et al. The RELN locus in Alzheimer's disease (англ.) // J Alzheimers Dis.. — 2008. — July (vol. 14, no. 3). P. 335—344. PMID 18599960.
  110. Mendez M.F. The accurate diagnosis of early-onset dementia (англ.) // International Journal of Psychiatry Medicine. — 2006. Vol. 36, no. 4. P. 401—412. PMID 17407994.
  111. Klafki H.W., Staufenbiel M., Kornhuber J., Wiltfang J. Therapeutic approaches to Alzheimer's disease (англ.) // Brain. Oxford University Press, 2006. — November (vol. 129, no. Pt 11). P. 2840—2855. doi:10.1093/brain/awl280. PMID 17018549.
  112. Dementia: Quick reference guide (PDF). London: (UK) National Institute for Health and Clinical Excellence (November 2006). Дата обращения: 22 февраля 2008. Архивировано 25 августа 2011 года.
  113. McKhann G., Drachman D., Folstein M., Katzman R., Price D., Stadlan E.M. Clinical diagnosis of Alzheimer's disease: report of the NINCDS-ADRDA Work Group under the auspices of Department of Health and Human Services Task Force on Alzheimer's Disease (англ.) // Neurology : journal. Wolters Kluwer, 1984. — July (vol. 34, no. 7). P. 939—944. PMID 6610841.
  114. 1 2 Dubois B., Feldman H.H., Jacova C., et al. Research criteria for the diagnosis of Alzheimer's disease: revising the NINCDS-ADRDA criteria (англ.) // The Lancet : journal. Elsevier, 2007. — August (vol. 6, no. 8). P. 734—746. doi:10.1016/S1474-4422(07)70178-3. PMID 17616482.
  115. Blacker D., Albert M.S., Bassett S.S., Go R.C., Harrell L.E., Folstein M.F. Reliability and validity of NINCDS-ADRDA criteria for Alzheimer's disease. The National Institute of Mental Health Genetics Initiative (англ.) // JAMA : journal. — 1994. — December (vol. 51, no. 12). P. 1198—1204. PMID 7986174.
  116. American Psychiatric Association. Diagnostic and statistical manual of mental disorders: DSM-IV-TR (англ.). — 4th Edition Text Revision. — Washington DC: American Psychiatric Association, 2000. — ISBN 0890420254.
  117. Ito N. [Clinical aspects of dementia] (яп.) // Hokkaido Igaku Zasshi. — 1996. — 5月 (第71巻, 第3数). 第315—320 頁. PMID 8752526.
  118. Tombaugh T.N., McIntyre N.J. The mini-mental state examination: a comprehensive review (англ.) // Journal of the American Geriatrics Society. — 1992. — September (vol. 40, no. 9). P. 922—935. PMID 1512391.
  119. Pasquier F. Early diagnosis of dementia: neuropsychology (англ.) // Journal of Neurology. — 1999. — January (vol. 246, no. 1). P. 6—15. PMID 9987708.
  120. 1 2 3 Waldemar G., Dubois B., Emre M., et al. Recommendations for the Diagnosis and Management of Alzheimer's Disease and Other Disorders Associated with Dementia: EFNS Guideline (англ.) // European Journal of Neurology : journal. — 2007. — January (vol. 14, no. 1). P. e1—26. doi:10.1111/j.1468-1331.2006.01605.x. PMID 17222085.
  121. Harvey P.D., Moriarty P.J., Kleinman L., et al. The validation of a caregiver assessment of dementia: the Dementia Severity Scale (англ.) // Alzheimer Disease and Associated Disorders : journal. — 2005. Vol. 19, no. 4. P. 186—194. PMID 16327345.
  122. Antoine C., Antoine P., Guermonprez P., Frigard B. [Awareness of deficits and anosognosia in Alzheimer's disease.] (фр.) // Encephale. — 2004. Vol. 30, no 6. P. 570—577. PMID 15738860.
  123. Cruz V.T., Pais J., Teixeira A., Nunes B. [The initial symptoms of Alzheimer disease: caregiver perception] (порт.) // Acta Med Port. — 2004. Vol. 17, num. 6. P. 435—444. PMID 16197855.
  124. Clarfield A.M. The decreasing prevalence of reversible dementias: an updated meta-analysis (англ.) // JAMA : journal. — 2003. — October (vol. 163, no. 18). P. 2219—2229. doi:10.1001/archinte.163.18.2219. PMID 14557220.
  125. Geldmacher D.S., Whitehouse P.J. Differential diagnosis of Alzheimer's disease (англ.) // Neurology. Wolters Kluwer, 1997. — May (vol. 48, no. 5 Suppl 6). P. S2—9. PMID 9153154.
  126. Potter G.G., Steffens D.C. Contribution of depression to cognitive impairment and dementia in older adults (англ.) // Neurologist : journal. — 2007. — May (vol. 13, no. 3). P. 105—117. doi:10.1097/01.nrl.0000252947.15389.a9. PMID 17495754.
  127. Bonte F.J., Harris T.S., Hynan L.S., Bigio E.H., White C.L. Tc-99m HMPAO SPECT in the differential diagnosis of the dementias with histopathologic confirmation (англ.) // Clin Nucl Med : journal. — 2006. — July (vol. 31, no. 7). P. 376—378. doi:10.1097/01.rlu.0000222736.81365.63. PMID 16785801.
  128. Dougall N.J., Bruggink S., Ebmeier K.P. Systematic review of the diagnostic accuracy of 99mTc-HMPAO-SPECT in dementia (англ.) // Am J Geriatr Psychiatry : journal. — 2004. Vol. 12, no. 6. P. 554—570. doi:10.1176/appi.ajgp.12.6.554. PMID 15545324.
  129. PiB PET:
    • Kemppainen N.M., Aalto S., Karrasch M., et al. Cognitive reserve hypothesis: Pittsburgh Compound B and fluorodeoxyglucose positron emission tomography in relation to education in mild Alzheimer's disease (англ.) // Annals of Neurology : journal. — 2008. — January (vol. 63, no. 1). P. 112—118. doi:10.1002/ana.21212. PMID 18023012.
    • Ikonomovic M.D., Klunk W.E., Abrahamson E.E., et al. Post-mortem correlates of in vivo PiB-PET amyloid imaging in a typical case of Alzheimer's disease (англ.) // Brain : journal. Oxford University Press, 2008. — June (vol. 131, no. Pt 6). P. 1630—1645. doi:10.1093/brain/awn016. PMID 18339640. PMC 2408940.
    • Jack C.R., Lowe V.J., Senjem M.L., et al. 11C PiB and structural MRI provide complementary information in imaging of Alzheimer's disease and amnestic mild cognitive impairment (англ.) // Brain : journal. Oxford University Press, 2008. — March (vol. 131, no. Pt 3). P. 665—680. doi:10.1093/brain/awm336. PMID 18263627.
  130. Marksteiner J., Hinterhuber H., Humpel C. Cerebrospinal fluid biomarkers for diagnosis of Alzheimer's disease: beta-amyloid(1-42), tau, phospho-tau-181 and total protein (англ.) // Drugs Today : journal. — 2007. — June (vol. 43, no. 6). P. 423—431. doi:10.1358/dot.2007.43.6.1067341. PMID 17612711.
  131. FDA Clears First Blood Test Used in Diagnosing Alzheimer’s Disease (англ.). FDA.
  132. Prevention recommendations not supported:
    • Kawas C.H. Medications and diet: protective factors for AD? (англ.) // Alzheimer Disease and Associated Disorders. — 2006. Vol. 20, no. 3 Suppl 2. P. S89—96. PMID 16917203.
    • Luchsinger J.A., Mayeux R. Dietary factors and Alzheimer's disease (англ.) // The Lancet. Elsevier, 2004. Vol. 3, no. 10. P. 579—587. doi:10.1016/S1474-4422(04)00878-6. PMID 15380154.
    • Luchsinger J.A., Noble J.M., Scarmeas N. Diet and Alzheimer's disease (англ.) // Current Neurology and Neuroscience Reports. — 2007. Vol. 7, no. 5. P. 366—372. doi:10.1007/s11910-007-0057-8. PMID 17764625.
  133. Szekely C.A., Breitner J.C., Zandi P.P. Prevention of Alzheimer's disease (англ.) // International Review of Psychiatry. — 2007. Vol. 19, no. 6. P. 693—706. doi:10.1080/09540260701797944. PMID 18092245.
  134. Mediterranean diet:
    • Scarmeas N., Stern Y., Mayeux R., Luchsinger J.A. Mediterranean diet, Alzheimer disease, and vascular mediation (англ.) // JAMA. — 2006. Vol. 63, no. 12. P. 1709—1717. doi:10.1001/archneur.63.12.noc60109. PMID 17030648.
    • Scarmeas N., Luchsinger J.A., Mayeux R., Stern Y. Mediterranean diet and Alzheimer disease mortality (англ.) // Neurology. Wolters Kluwer, 2007. Vol. 69, no. 11. P. 1084—1093. doi:10.1212/01.wnl.0000277320.50685.7c. PMID 17846408.
    • Barberger-Gateau P., Raffaitin C., Letenneur L., Berr C., Tzourio C., Dartigues J.F., Alpérovitch A. Dietary patterns and risk of dementia: the Three-City cohort study (англ.) // Neurology : journal. Wolters Kluwer, 2007. Vol. 69, no. 20. P. 1921—1930. doi:10.1212/01.wnl.0000278116.37320.52. PMID 17998483.
    • Dai Q., Borenstein A.R., Wu Y., Jackson J.C., Larson E.B. Fruit and vegetable juices and Alzheimer's disease: the Kame Project (англ.) // The American Journal of Medicine : journal. — 2006. Vol. 119, no. 9. P. 751—759. doi:10.1016/j.amjmed.2006.03.045. PMID 16945610.
    • Savaskan E., Olivieri G., Meier F., Seifritz E., Wirz-Justice A., Müller-Spahn F. Red wine ingredient resveratrol protects from beta-amyloid neurotoxicity (англ.) // Gerontology : journal. — 2003. Vol. 49, no. 6. P. 380—383. doi:10.1159/000073766. PMID 14624067.
  135. Vitamins prevent:
    • Morris M.C., Schneider J.A., Tangney C.C. Thoughts on B-vitamins and dementia (англ.) // Journal of Alzheimer's Disease. — 2006. Vol. 9, no. 4. P. 429—433. PMID 16917152.
    • Landmark K. [Could intake of vitamins C and E inhibit development of Alzheimer dementia?] (норв.) // Journal of the Norwegian Medical Association. — 2006. Bd. 126, nr. 2. S. 159—161. PMID 16415937.
    • Luchsinger J.A., Tang M.X., Miller J., Green R., Mayeux R. Relation of higher folate intake to lower risk of Alzheimer disease in the elderly (англ.) // JAMA : journal. — 2007. Vol. 64, no. 1. P. 86—92. doi:10.1001/archneur.64.1.86. PMID 17210813.
    • Morris M.C., Evans D.A., Bienias J.L., et al. Dietary niacin and the risk of incident Alzheimer's disease and of cognitive decline (англ.) // Journal of Neurology, Neurosurgery and Psychiatry : journal. — 2004. — August (vol. 75, no. 8). P. 1093—1099. doi:10.1136/jnnp.2003.025858. PMID 15258207. PMC 1739176.
  136. Vitamins do not prevent:
    • Morris M.C., Evans D.A., Schneider J.A., Tangney C.C., Bienias J.L., Aggarwal N.T. Dietary folate and vitamins B-12 and B-6 not associated with incident Alzheimer's disease (англ.) // Journal of Alzheimer's Disease : journal. — 2006. Vol. 9, no. 4. P. 435—443. PMID 16917153.
    • Malouf M., Grimley E.J., Areosa S.A. Folic acid with or without vitamin B12 for cognition and dementia (англ.) // Cochrane Database of Systematic Reviews : journal. — 2003. No. 4. P. CD004514. doi:10.1002/14651858.CD004514. PMID 14584018.
    • Sun Y., Lu C.J., Chien K.L., Chen S.T., Chen R.C. Efficacy of multivitamin supplementation containing vitamins B6 and B12 and folic acid as adjunctive treatment with a cholinesterase inhibitor in Alzheimer's disease: a 26-week, randomised, double-blind, placebo-controlled study in Taiwanese patients (англ.) // Clinical Therapeutics : journal. — 2007. Vol. 29, no. 10. P. 2204—2214. doi:10.1016/j.clinthera.2007.10.012. PMID 18042476.
    • Boothby L.A., Doering P.L. Vitamin C and vitamin E for Alzheimer's disease (англ.) // Annals of Pharmacotherapy. — 2005. Vol. 39, no. 12. P. 2073—2080. doi:10.1345/aph.1E495. PMID 16227450.
    • Gray S.L., Anderson M.L., Crane P.K., Breitner J.C., McCormick W., Bowen J.D., Teri L., Larson E. Antioxidant vitamin supplement use and risk of dementia or Alzheimer's disease in older adults (англ.) // Journal of the American Geriatrics Society : journal. — 2008. Vol. 56, no. 2. P. 291—295. doi:10.1111/j.1532-5415.2007.01531.x. PMID 18047492.
  137. Curcumin in diet:
    • Garcia-Alloza M., Borrelli L.A., Rozkalne A., Hyman B.T., Bacskai B.J. Curcumin labels amyloid pathology in vivo, disrupts existing plaques, and partially restores distorted neurites in an Alzheimer mouse model (англ.) // Journal of Neurochemistry : journal. — 2007. Vol. 102, no. 4. P. 1095—1104. doi:10.1111/j.1471-4159.2007.04613.x. PMID 17472706.
    • Lim G.P., Chu T., Yang F., Beech W., Frautschy S.A., Cole G.M. The curry spice curcumin reduces oxidative damage and amyloid pathology in an Alzheimer transgenic mouse (англ.) // Journal of Neuroscience : journal. — 2001. Vol. 21, no. 21. P. 8370—8377. PMID 11606625.
  138. Н. Романов. Болезнь Альцгеймера. Все о нейродегенеративных заболеваниях. Деменция.com (10 января 2014). Дата обращения: 31 июля 2015. Архивировано из оригинала 12 августа 2015 года.
  139. Rosendorff C., Beeri M.S., Silverman J.M. Cardiovascular risk factors for Alzheimer's disease (англ.) // Am J Geriatr Cardiol : journal. — 2007. Vol. 16, no. 3. P. 143—149. PMID 17483665.
  140. Patterson C., Feightner J.W., Garcia A., Hsiung G.Y., MacKnight C., Sadovnick A.D. Diagnosis and treatment of dementia: 1. Risk assessment and primary prevention of Alzheimer disease (англ.) // Canadian Medical Association Journal : journal. — 2008. — February (vol. 178, no. 5). P. 548—556. doi:10.1503/cmaj.070796. PMID 18299540. PMC 2244657.
  141. Reiss A.B., Wirkowski E. Role of HMG-CoA reductase inhibitors in neurological disorders : progress to date (англ.) // Drugs : journal. Adis International, 2007. Vol. 67, no. 15. P. 2111—2120. PMID 17927279.
  142. Kuller L.H. Statins and dementia (англ.) // Current Atherosclerosis Reports. — 2007. — August (vol. 9, no. 2). P. 154—161. PMID 17877925.
  143. Szekely C.A., Breitner J.C., Fitzpatrick A.L., et al. NSAID use and dementia risk in the Cardiovascular Health Study: role of APOE and NSAID type (англ.) // Neurology : journal. Wolters Kluwer, 2008. — January (vol. 70, no. 1). P. 17—24. doi:10.1212/01.wnl.0000284596.95156.48. PMID 18003940.
  144. Craig M.C., Murphy D.G. Estrogen: effects on normal brain function and neuropsychiatric disorders (англ.) // Climacteric : journal. — 2007. — October (vol. 10 Suppl 2). P. 97—104. doi:10.1080/13697130701598746. PMID 17882683.
  145. Mori K., Takeda M. [Hormone replacement Up-to-date. Hormone replacement therapy and brain function] (яп.) // Clin Calcium. — 2007. — 9月 (第17巻, 第9数). 第1349—1354 頁. PMID 17767023.
  146. Birks J., Grimley Evans J. Ginkgo biloba for cognitive impairment and dementia (англ.) // Cochrane Database of Systematic Reviews. — 2007. No. 2. P. CD003120. doi:10.1002/14651858.CD003120.pub2. PMID 17443523. (недоступная ссылка)
  147. DeKosky S.T., Williamson J.D., Fitzpatrick AL et al. Ginkgo biloba for Prevention of Dementia (англ.) // JAMA. — 2008. Vol. 300, no. 19. P. 2253—2262. Архивировано 1 декабря 2010 года.
  148. Davanipour Z., Tseng C.C., Lee P.J., Sobel E. A case-control study of occupational magnetic field exposure and Alzheimer's disease: results from the California Alzheimer's Disease Diagnosis and Treatment Centers (англ.) // BMC Neurol : journal. — 2007. Vol. 7. P. 13. doi:10.1186/1471-2377-7-13. PMID 17559686. PMC 1906833.
  149. Qiu C., Fratiglioni L., Karp A., Winblad B., Bellander T. Occupational exposure to electromagnetic fields and risk of Alzheimer's disease (англ.) // Epidemiology : journal. — 2004. — November (vol. 15, no. 6). P. 687—694. PMID 15475717. Архивировано 24 мая 2013 года.
  150. Shcherbatykh I., Carpenter D.O. The role of metals in the etiology of Alzheimer's disease (англ.) // Journal of Alzheimer's Disease : journal. — 2007. — May (vol. 11, no. 2). P. 191—205. PMID 17522444.
  151. Rondeau V., Commenges D., Jacqmin-Gadda H., Dartigues J.F. Relation between aluminum concentrations in drinking water and Alzheimer's disease: an 8-year follow-up study (англ.) // American Journal of Epidemiology : journal. — 2000. — July (vol. 152, no. 1). P. 59—66. PMID 10901330. PMC 2215380.
  152. Kukull W.A., Larson E.B., Bowen J.D., et al. Solvent exposure as a risk factor for Alzheimer's disease: a case-control study (англ.) // American Journal of Epidemiology : journal. — 1995. — June (vol. 141, no. 11). P. 1059—1071. PMID 7771442.
  153. Santibáñez M., Bolumar F., García A.M. Occupational risk factors in Alzheimer's disease: a review assessing the quality of published epidemiological studies (англ.) // Occupational and Environmental Medicine : journal. — 2007. Vol. 64, no. 11. P. 723—732. doi:10.1136/oem.2006.028209. PMID 17525096.
  154. Seidler A., Geller P., Nienhaus A., et al. Occupational exposure to low frequency magnetic fields and dementia: a case-control study (англ.) // Occupational and Environmental Medicine : journal. — 2007. — February (vol. 64, no. 2). P. 108—114. doi:10.1136/oem.2005.024190. PMID 17043077.
  155. Rondeau V. A review of epidemiologic studies on aluminum and silica in relation to Alzheimer's disease and associated disorders (англ.) // Rev Environ Health : journal. — 2002. Vol. 17, no. 2. P. 107—121. PMID 12222737.
  156. Martyn C.N., Coggon D.N., Inskip H., Lacey R.F., Young W.F. Aluminum concentrations in drinking water and risk of Alzheimer's disease (англ.) // Epidemiology : journal. — 1997. — May (vol. 8, no. 3). P. 281—286. PMID 9115023.
  157. Graves A.B., Rosner D., Echeverria D., Mortimer J.A., Larson E.B. Occupational exposures to solvents and aluminium and estimated risk of Alzheimer's disease (англ.) // Occupational and Environmental Medicine : journal. — 1998. — September (vol. 55, no. 9). P. 627—633. PMID 9861186. PMC 1757634.
  158. Verghese J., Lipton R.B., Katz M.J., et al. Leisure activities and the risk of dementia in the elderly (англ.) // The New England Journal of Medicine : journal. — 2003. — June (vol. 348, no. 25). P. 2508—2516. doi:10.1056/NEJMoa022252. PMID 12815136.
  159. Bennett D.A., Schneider J.A., Tang Y., Arnold S.E., Wilson R.S. The effect of social networks on the relation between Alzheimer's disease pathology and level of cognitive function in old people: a longitudinal cohort study (англ.) // The Lancet : journal. Elsevier, 2006. Vol. 5, no. 5. P. 406—412. doi:10.1016/S1474-4422(06)70417-3. PMID 16632311.
  160. Мийа Кивипелто, Кристер Хоканссон Редкий успех в борьбе с болезнью Альцгеймера Архивная копия от 7 июля 2017 на Wayback Machine // В мире науки. — 2017. — № 5-6. — С. 88 — 95.
  161. Bialystok E., Craik FIM, Freedman M. Bilingualism as a protection against the onset of symptoms of dementia (англ.) // Neuropsychologia : journal. — 2007. Vol. 42, no. 2. P. 459—464. doi:10.1016/j.neuropsychologia.2006.10.009.
  162. Larouche E., Hudon C., Goulet S. Potential benefits of mindfulness-based interventions in mild cognitive impairment and Alzheimer's disease: An interdisciplinary perspective (англ.) // Behavioural Brain Research : journal. — 2015. — January (vol. 1, no. 276). P. 199—212. doi:10.1016/j.bbr.2014.05.058.
  163. Рубрикатор КР. cr.minzdrav.gov.ru. Дата обращения: 5 ноября 2024. Архивировано 19 декабря 2024 года.
  164. Markéta Marvanová, Merja Lakso, Jarmo Pirhonen, Hiroyoki Nawa, Garry Wong, Eero Castrén. The Neuroprotective Agent Memantine Induces Brain-Derived Neurotrophic Factor and trkB Receptor Expression in Rat Brain // Molecular and Cellular Neuroscience. — 2001-09-01. Т. 18, вып. 3. С. 247–258. ISSN 1044-7431. doi:10.1006/mcne.2001.1027.
  165. Geula C., Mesulam M.M. Cholinesterases and the pathology of Alzheimer disease (англ.) // Alzheimer Disease and Associated Disorders : journal. — 1995. Vol. 9 Suppl 2. P. 23—28. PMID 8534419.
  166. Stahl S.M. The new cholinesterase inhibitors for Alzheimer's disease, Part 2: illustrating their mechanisms of action (англ.) // The Journal of Clinical Psychiatry : journal. — 2000. Vol. 61, no. 11. P. 813—814. PMID 11105732.
  167. Tacrine (By mouth). National Institutes of Health, USA. Дата обращения: 5 июля 2015.
  168. Tacrine. National Institutes of Health, USA. Дата обращения: 3 июля 2015. Архивировано 2 июля 2019 года.
  169. Donepezil. US National Library of Medicine (Medline Plus) (8 января 2007). Дата обращения: 20 марта 2008. Архивировано 25 августа 2011 года.
  170. Galantamine. US National Library of Medicine (Medline Plus) (8 января 2007). Дата обращения: 20 марта 2008. Архивировано 25 августа 2011 года.
  171. Rivastigmine. US National Library of Medicine (Medline Plus) (8 января 2007). Дата обращения: 20 марта 2008. Архивировано 25 августа 2011 года.
  172. Rivastigmine Transdermal. US National Library of Medicine (Medline Plus) (8 января 2007). Дата обращения: 20 марта 2008. Архивировано 25 августа 2011 года.
  173. Birks J. Cholinesterase inhibitors for Alzheimer's disease (англ.) // Cochrane Database of Systematic Reviews. — 2006. No. 1. P. CD005593. doi:10.1002/14651858.CD005593. PMID 16437532.
  174. Memantine: Uses, Dosage, Side Effects, Warnings (англ.). Drugs.com. Дата обращения: 5 ноября 2024. Архивировано 1 сентября 2024 года.
  175. Donepezil Uses, Dosage, Side Effects, Warnings (англ.). Drugs.com. Дата обращения: 5 ноября 2024. Архивировано 15 декабря 2024 года.
  176. Rivastigmine Uses, Side Effects & Warnings (англ.). Drugs.com. Дата обращения: 5 ноября 2024. Архивировано 19 декабря 2024 года.
  177. Raschetti R., Albanese E., Vanacore N., Maggini M. Cholinesterase inhibitors in mild cognitive impairment: a systematic review of randomised trials (англ.) // PLOS Medicine : journal. — 2007. Vol. 4, no. 11. P. e338. doi:10.1371/journal.pmed.0040338. PMID 18044984.
  178. Acetylcholinesterase inhibitors prescribing information:
  179. Li J, Wu HM, Zhou RL, Liu GJ, Dong BR. Huperzine A for Alzheimer's disease. Cochrane Database of Systematic Reviews 2008, Issue 2. Art. No.: CD005592. DOI: 10.1002/14651858.CD005592.pub2..
  180. Yang, G. Huperzine A for Alzheimer’s Disease : A Systematic Review and Meta-Analysis of Randomized Clinical Trials : [англ.] / G. Yang, Y. Wang, J. Tian … [et al.] // PLOS One. Public Library of Science, 2013. — Vol. 8, no. 9. — Art. e74916. ISSN 1932-6203. doi:10.1371/journal.pone.0074916. PMID 24086396. PMC 3781107.
  181. 1 2 Lipton S.A. Paradigm shift in neuroprotection by NMDA receptor blockade: memantine and beyond (англ.) // Nature Reviews Drug Discovery : journal. — 2006. Vol. 5, no. 2. P. 160—170. doi:10.1038/nrd1958. PMID 16424917.
  182. Memantine. US National Library of Medicine (Medline) (4 января 2004). Дата обращения: 22 марта 2008. Архивировано 25 августа 2011 года.
  183. Rupert McShane, Maggie J Westby, Emmert Roberts, Neda Minakaran, Lon Schneider, Lucy E Farrimond, Nicola Maayan, Jennifer Ware, Jean Debarros. Memantine for dementia (англ.) // Cochrane Database of Systematic Reviews / Cochrane Dementia and Cognitive Improvement Group. — 2019-03-20. doi:10.1002/14651858.CD003154.pub6.
  184. Государственный реестр лекарственных средств. grls.minzdrav.gov.ru. Дата обращения: 5 ноября 2024. Архивировано 18 декабря 2024 года.
  185. Raina P., Santaguida P., Ismaila A., et al. Effectiveness of cholinesterase inhibitors and memantine for treating dementia: evidence review for a clinical practice guideline (англ.) // Annals of Internal Medicine : journal. — 2008. Vol. 148, no. 5. P. 379—397. PMID 18316756.
  186. Используемые антипсихотики:
    • Ballard C., Waite J. The effectiveness of atypical antipsychotics for the treatment of aggression and psychosis in Alzheimer's disease (англ.) // Cochrane Database of Systematic Reviews : journal. — 2006. No. 1. P. CD003476. doi:10.1002/14651858.CD003476.pub2. PMID 16437455.
    • Ballard C., Lana M.M., Theodoulou M., et al. A Randomised, Blinded, Placebo-Controlled Trial in Dementia Patients Continuing or Stopping Neuroleptics (The DART-AD Trial) (англ.) // PLOS Medicine : journal. — 2008. Vol. 5, no. 4. P. e76. doi:10.1371/journal.pmed.0050076. PMID 18384230.
    • Sink K.M., Holden K.F., Yaffe K. Pharmacological treatment of neuropsychiatric symptoms of dementia: a review of the evidence (англ.) // JAMA : journal. — 2005. Vol. 293, no. 5. P. 596—608. doi:10.1001/jama.293.5.596. PMID 15687315.
  187. 1 2 Ballard C., Hanney M.L., Theodoulou M., Douglas S., McShane R., Kossakowski K., Gill R., Juszczak E., Yu L-M, Jacoby R. The dementia antipsychotic withdrawal trial (DART-AD): long-term follow-up of a randomised placebo-controlled trial (англ.) // The Lancet : journal. Elsevier, 2009. — 9 January. doi:10.1016/S1474-4422(08)70295-3. PMID 19138567.
  188. Aducanumab : Alzheimer’s Disease : Combined FDA and Biogen Briefing Information for the November 6, 2020 Meeting of the Peripheral and Central Nervous System Drugs Advisory Committee : [англ.] : [арх. 7 ноября 2020] / Peripheral and Central Nervous System (PCNS) Drugs Advisory Committee; FDA. — 2020.  6 November. — 343 p. — NDA/BLA# 761178.
  189. FDA Grants Accelerated Approval for Alzheimer's Drug : [англ.] : [арх. 7 июня 2021] : FDA news release. — FDA, 2021.  7 July.
  190. Aducanumab for Alzheimer’s Disease : Effectiveness and Value : Draft Evidence Report : [англ.] : [арх. 6 мая 2021]. — ICER, 2021.  5 May. — viii+2+111 p.
  191. Knopman, D. S. Failure to demonstrate efficacy of aducanumab: An analysis of the EMERGE and ENGAGE trials as reported by Biogen, December 2019 : [англ.] / D. S. Knopman, D. T. Jones, M. D. Greicius // Alzheimer's & Dementia : журн. — 2021. — Vol. 17, no. 4. — P. 696–701. doi:10.1002/alz.12213. PMID 33135381.
  192. Mullard, A. Landmark Alzheimer’s drug approval confounds research community : Many scientists say there is not enough evidence that Biogen’s aducanumab is an effective therapy for the disease. : [англ.] // Nature : журн. — 2021.  8 June. doi:10.1038/d41586-021-01546-2.
  193. Соколов, Н. FDA обвинили в сговоре с Biogen с целью одобрения препарата с недоказанной эффективностью : [арх. 9 июня 2021] // Фармвестник. — 2021.  5 апреля.
  194. 1 2 3 I. A. Mazerkina. Anti-amyloid Monoclonal Antibodies for Alzheimer’s Disease: A New Hope? (Review) // Safety and Risk of Pharmacotherapy. — 2025-04-09. Т. 13, вып. 1. С. 7–19. ISSN 2619-1164. doi:10.30895/2312-7821-2025-13-1-7-19.
  195. 1 2 3 4 5 6 7 Practice Guideline for the Treatment of Patients with Alzheimer's disease and Other Dementias (PDF). American Psychiatric Association (October 2007). doi:10.1176/appi.books.9780890423967.152139. Дата обращения: 28 декабря 2007. Архивировано 25 августа 2011 года.
  196. Bottino C.M., Carvalho I.A., Alvarez A.M., et al. Cognitive rehabilitation combined with drug treatment in Alzheimer's disease patients: a pilot study (англ.) // Clinical Rehabilitation : journal. — 2005. Vol. 19, no. 8. P. 861—869. doi:10.1191/0269215505cr911oa. PMID 16323385.
  197. Doody R.S., Stevens J.C., Beck C., et al. Practice parameter: management of dementia (an evidence-based review). Report of the Quality Standards Subcommittee of the American Academy of Neurology (англ.) // Neurology : journal. Wolters Kluwer, 2001. Vol. 56, no. 9. P. 1154—1166. PMID 11342679.
  198. Hermans D.G., Htay U.H., McShane R. Non-pharmacological interventions for wandering of people with dementia in the domestic setting (англ.) // Cochrane Database of Systematic Reviews : journal. — 2007. No. 1. P. CD005994. doi:10.1002/14651858.CD005994.pub2. PMID 17253573.
  199. Robinson L., Hutchings D., Dickinson H.O., et al. Effectiveness and acceptability of non-pharmacological interventions to reduce wandering in dementia: a systematic review (англ.) // International Journal of Geriatric Psychiatry : journal. — 2007. Vol. 22, no. 1. P. 9—22. doi:10.1002/gps.1643. PMID 17096455.
  200. Woods B., Spector A., Jones C., Orrell M., Davies S. Reminiscence therapy for dementia (англ.) // Cochrane Database of Systematic Reviews. — 2005. No. 2. P. CD001120. doi:10.1002/14651858.CD001120.pub2. PMID 15846613.
  201. Peak J.S., Cheston R.I. Using simulated presence therapy with people with dementia (англ.) // Aging and Mental Health : journal. — 2002. Vol. 6, no. 1. P. 77—81. doi:10.1080/13607860120101095. PMID 11827626.
  202. Camberg L., Woods P., Ooi W.L., et al. Evaluation of Simulated Presence: a personalised approach to enhance well-being in persons with Alzheimer's disease (англ.) // Journal of the American Geriatrics Society : journal. — 1999. Vol. 47, no. 4. P. 446—452. PMID 10203120.
  203. Neal M., Briggs M. Validation therapy for dementia (англ.) // Cochrane Database of Systematic Reviews. — 2003. No. 3. P. CD001394. doi:10.1002/14651858.CD001394. PMID 12917907.
  204. Chung J.C., Lai C.K., Chung P.M., French H.P. Snoezelen for dementia (англ.) // Cochrane Database of Systematic Reviews. — 2002. No. 4. P. CD003152. doi:10.1002/14651858.CD003152. PMID 12519587.
  205. Spector A., Orrell M., Davies S., Woods B. Withdrawn: Reality orientation for dementia (англ.) // Cochrane Database of Systematic Reviews. — 2000. No. 3. P. CD001119. doi:10.1002/14651858.CD001119.pub2. PMID 17636652.
  206. Spector A., Thorgrimsen L., Woods B., et al. Efficacy of an evidence-based cognitive stimulation therapy programme for people with dementia: randomised controlled trial (англ.) // British Journal of Psychiatry : journal. Royal College of Psychiatrists, 2003. Vol. 183. P. 248—254. doi:10.1192/bjp.183.3.248. PMID 12948999.
  207. 1 2 The MetLife study of Alzheimer’s disease: The caregiving experience (PDF). MetLife Mature Market Institute (August 2006). Дата обращения: 12 февраля 2008. Архивировано 25 августа 2011 года.
  208. 1 2 3 Thompson C.A., Spilsbury K., Hall J., Birks Y., Barnes C., Adamson J. Systematic review of information and support interventions for caregivers of people with dementia (англ.) // BMC Geriatr : journal. — 2007. Vol. 7. P. 18. doi:10.1186/1471-2318-7-18. PMID 17662119. PMC 1951962.
  209. 1 2 Schneider J., Murray J., Banerjee S., Mann A. EUROCARE: a cross-national study of co-resident spouse carers for people with Alzheimer's disease: I—Factors associated with carer burden (англ.) // International Journal of Geriatric Psychiatry : journal. — 1999. — August (vol. 14, no. 8). P. 651—661. doi:10.1002/(SICI)1099-1166(199908)14:8<651::AID-GPS992>3.0.CO;2-B. PMID 10489656.
  210. 1 2 Murray J., Schneider J., Banerjee S., Mann A. EUROCARE: a cross-national study of co-resident spouse carers for people with Alzheimer's disease: II--A qualitative analysis of the experience of caregiving (англ.) // International Journal of Geriatric Psychiatry : journal. — 1999. — August (vol. 14, no. 8). P. 662—667. doi:10.1002/(SICI)1099-1166(199908)14:8<662::AID-GPS993>3.0.CO;2-4. PMID 10489657.
  211. Gitlin L.N., Corcoran M., Winter L., Boyce A., Hauck W.W. A randomized, controlled trial of a home environmental intervention: effect on efficacy and upset in caregivers and on daily function of persons with dementia (англ.) // Gerontologist : journal. — 2001. — February (vol. 41, no. 1). P. 4—14. PMID 11220813. (недоступная ссылка)
  212. Gitlin L.N., Hauck W.W., Dennis M.P., Winter L. Maintenance of effects of the home environmental skill-building program for family caregivers and individuals with Alzheimer's disease and related disorders (англ.) // J. Gerontol. A Biol. Sci. Med. Sci. : journal. — 2005. — March (vol. 60, no. 3). P. 368—374. PMID 15860476.
  213. Treating behavioral and psychiatric symptoms. Alzheimer's Association (2006). Дата обращения: 25 сентября 2006. Архивировано 25 сентября 2006 года.
  214. Dunne T.E., Neargarder S.A., Cipolloni P.B., Cronin-Golomb A. Visual contrast enhances food and liquid intake in advanced Alzheimer's disease (англ.) // Clinical Nutrition : journal. — 2004. Vol. 23, no. 4. P. 533—538. doi:10.1016/j.clnu.2003.09.015. PMID 15297089.
  215. Dudek, Susan G. Nutrition essentials for nursing practice (англ.). — Hagerstown, Maryland: Lippincott Williams & Wilkins, 2007. — P. 360. — ISBN 0-7817-6651-6.
  216. Dennehy C. Analysis of patients' rights: dementia and PEG insertion (англ.) // Br J Nurs : journal. — 2006. Vol. 15, no. 1. P. 18—20. PMID 16415742.
  217. Chernoff R. Tube feeding patients with dementia (англ.) // Nutrition in Clinical Practice. — 2006. — April (vol. 21, no. 2). P. 142—146. PMID 16556924.
  218. Medical issues:
    • Head B. Palliative care for persons with dementia (англ.) // Home Healthc Nurse. — 2003. — January (vol. 21, no. 1). P. 53—60; quiz 61. PMID 12544465.
    • Friedlander A.H., Norman D.C., Mahler M.E., Norman K.M., Yagiela J.A. Alzheimer's disease: psychopathology, medical management and dental implications (англ.) // J Am Dent Assoc : journal. — 2006. — September (vol. 137, no. 9). P. 1240—1251. PMID 16946428.
    • Belmin J. Practical guidelines for the diagnosis and management of weight loss in Alzheimer's disease: a consensus from appropriateness ratings of a large expert panel (англ.) // J Nutr Health Aging : journal. — 2007. Vol. 11, no. 1. P. 33—7. PMID 17315078.
    • McCurry S.M., Gibbons L.E., Logsdon R.G., Vitiello M., Teri L. Training caregivers to change the sleep hygiene practices of patients with dementia: the NITE-AD project (англ.) // Journal of the American Geriatrics Society : journal. — 2003. — October (vol. 51, no. 10). P. 1455—1460. PMID 14511168.
    • Perls T.T., Herget M. Higher respiratory infection rates on an Alzheimer's special care unit and successful intervention (англ.) // Journal of the American Geriatrics Society : journal. — 1995. — December (vol. 43, no. 12). P. 1341—1344. PMID 7490383.
  219. Shega J.W., Levin A., Hougham G.W., et al. Palliative Excellence in Alzheimer Care Efforts (PEACE): a program description (англ.) // Journal of Palliative Medicine : journal. — 2003. — April (vol. 6, no. 2). P. 315—320. doi:10.1089/109662103764978641. PMID 12854952.
  220. 1 2 Bowen J.D., Malter A.D., Sheppard L., et al. Predictors of mortality in patients diagnosed with probable Alzheimer's disease (англ.) // Neurology : journal. Wolters Kluwer, 1996. — August (vol. 47, no. 2). P. 433—439. PMID 8757016.
  221. 1 2 Dodge H.H., Shen C., Pandav R., DeKosky S.T., Ganguli M. Functional transitions and active life expectancy associated with Alzheimer disease (англ.) // JAMA : journal. — 2003. — February (vol. 60, no. 2). P. 253—259. PMID 12580712.
  222. Larson E.B., Shadlen M.F., Wang L., et al. Survival after initial diagnosis of Alzheimer disease (англ.) // Annals of Internal Medicine : journal. — 2004. — April (vol. 140, no. 7). P. 501—509. PMID 15068977.
  223. Jagger C., Clarke M., Stone A. Predictors of survival with Alzheimer's disease: a community-based study (англ.) // Psychological Medicine : journal. — 1995. — January (vol. 25, no. 1). P. 171—177. PMID 7792352.
  224. 1 2 Ganguli M., Dodge H.H., Shen C., Pandav R.S., DeKosky S.T. Alzheimer disease and mortality: a 15-year epidemiological study (англ.) // JAMA : journal. — 2005. — May (vol. 62, no. 5). P. 779—784. doi:10.1001/archneur.62.5.779. PMID 15883266.
  225. Allegri R.F., Butman J., Arizaga R.L., et al. Economic impact of dementia in developing countries: an evaluation of costs of Alzheimer-type dementia in Argentina (англ.) // Int Psychogeriatr : journal. — 2007. — August (vol. 19, no. 4). P. 705—718. doi:10.1017/S1041610206003784. PMID 16870037.
  226. Suh G.H., Knapp M., Kang C.J. The economic costs of dementia in Korea, 2002 (англ.) // International Journal of Geriatric Psychiatry. — 2006. — August (vol. 21, no. 8). P. 722—728. doi:10.1002/gps.1552. PMID 16858741.
  227. Wimo A., Jonsson L., Winblad B. An estimate of the worldwide prevalence and direct costs of dementia in 2003 (англ.) // Dement Geriatr Cogn Disord : journal. — 2006. Vol. 21, no. 3. P. 175—181. doi:10.1159/000090733. PMID 16401889.
  228. 1 2 3 Moore M.J., Zhu C.W., Clipp E.C. Informal costs of dementia care: estimates from the National Longitudinal Caregiver Study (англ.) // J Gerontol B Psychol Sci Soc Sci : journal. — 2001. — July (vol. 56, no. 4). P. S219—28. PMID 11445614.
  229. Jönsson L., Eriksdotter Jönhagen M., Kilander L., et al. Determinants of costs of care for patients with Alzheimer's disease (англ.) // International Journal of Geriatric Psychiatry : journal. — 2006. — May (vol. 21, no. 5). P. 449—459. doi:10.1002/gps.1489. PMID 16676288.
  230. 1 2 Zhu C.W., Sano M. Economic considerations in the management of Alzheimer's disease (англ.) // Clinical Interventions in Aging : journal. — 2006. Vol. 1, no. 2. P. 143—154. PMID 18044111.
  231. Gaugler J.E., Kane R.L., Kane R.A., Newcomer R. Early community-based service utilization and its effects on institutionalization in dementia caregiving (англ.) // Gerontologist : journal. — 2005. — April (vol. 45, no. 2). P. 177—185. PMID 15799982.
  232. Ritchie K., Lovestone S. The dementias (англ.) // The Lancet. Elsevier, 2002. — November (vol. 360, no. 9347). P. 1759—1766. doi:10.1016/S0140-6736(02)11667-9. PMID 12480441.
  233. Brodaty H., Hadzi-Pavlovic D. Psychosocial effects on carers of living with persons with dementia (англ.) // Australian and New Zealand Journal of Psychiatry : journal. — 1990. — September (vol. 24, no. 3). P. 351—361. PMID 2241719.
  234. Donaldson C., Tarrier N., Burns A. Determinants of carer stress in Alzheimer's disease (англ.) // International Journal of Geriatric Psychiatry : journal. — 1998. — April (vol. 13, no. 4). P. 248—256. PMID 9646153.
  235. The MetLife Study of Alzheimer’s Disease: The Caregiving Experience (PDF). MetLife Mature Market Institute (August 2006). Дата обращения: 12 февраля 2008. Архивировано 25 августа 2011 года.
  236. Pusey H., Richards D. A systematic review of the effectiveness of psychosocial interventions for carers of people with dementia (англ.) // Aging and Mental Health : journal. — 2001. — May (vol. 5, no. 2). P. 107—119. PMID 11511058.
  237. Garrard P., Maloney L.M., Hodges J.R., Patterson K. The effects of very early Alzheimer's disease on the characteristics of writing by a renowned author (англ.) // Brain : journal. Oxford University Press, 2005. — February (vol. 128, no. Pt 2). P. 250—260. doi:10.1093/brain/awh341. PMID 15574466.
  238. Sherman F.T. Did President Reagan have mild cognitive impairment while in office? Living longer with Alzheimer's Disease (англ.) // Geriatrics : journal. — 2004. — September (vol. 59, no. 9). P. 11, 15. PMID 15461232.
  239. Hungary legend Puskas dies at 79. BBC News (17 ноября 2006). Дата обращения: 25 января 2008. Архивировано 25 августа 2011 года.
  240. Prime Ministers in History: Harold Wilson. London: 10 Downing Street. Дата обращения: 18 августа 2008. Архивировано 25 августа 2011 года.
  241. "Mi padre no reconoció al Rey pero notó el cariño". Madrid: El País (2008). Дата обращения: 1 октября 2008. Архивировано 25 августа 2011 года.
  242. Peter Falk leidet an Alzheimer Архивная копия от 22 мая 2012 на Wayback Machine (нем.)
  243. Chicago Rita Hayworth Gala. Alzheimer’s Association (2007). Дата обращения: 25 января 2008. Архивировано 25 августа 2011 года.
  244. Charlton Heston has Alzheimer's symptoms. CNN (9 августа 2002). Дата обращения: 25 января 2008. Архивировано 25 августа 2011 года.
  245. Pauli Michelle (12 декабря 2007). Pratchett announces he has Alzheimer's. Guardian News and Media. Архивировано 29 сентября 2008. Дата обращения: 18 августа 2008.
  246. Iris. IMDB (18 января 2002). Дата обращения: 24 января 2008. Архивировано 25 августа 2011 года.
  247. Bayley John. Iris: a memoir of Iris Murdoch (англ.). — London: Abacus, 2000. — ISBN 9780349112152.
  248. The notebook. IMDB. Дата обращения: 22 февраля 2008. Архивировано 25 августа 2011 года.
  249. Sparks Nicholas. The notebook (англ.). — Thorndike, Maine: Thorndike Press, 1996. — P. 268. — ISBN 078620821X.
  250. Nae meorisokui jiwoogae (англ.). IMDB. Дата обращения: 2 февраля 2011. Архивировано 25 августа 2011 года.
  251. Thanmathra. Webindia123.com. Дата обращения: 24 января 2008. Архивировано 25 августа 2011 года. , «Анатомия Страсти» (2005),
  252. Ashita no kioku (англ.). IMDB. Дата обращения: 24 января 2008. Архивировано 25 августа 2011 года.
  253. Ogiwara Hiroshi. Ashita no Kioku (яп.). — Tōkyō: Kōbunsha, 2004. — ISBN 9784334924461.
  254. Munro Alice. The bear came over the mountain // Hateship, Friendship, Courtship, Loveship, Marriage (англ.). — New York: A.A. Knopf, 2001. — ISBN 9780375413001.
  255. Malcolm and Barbara:
  256. Clinical Trials. Found 459 studies with search of: alzheimer. US National Institutes of Health. Дата обращения: 23 марта 2008. Архивировано 25 августа 2011 года.
  257. Vaccination:
    • Hawkes C.A., McLaurin J. Immunotherapy as treatment for Alzheimer's disease (англ.) // Expert Rev Neurother. — 2007. — November (vol. 7, no. 11). P. 1535—1548. doi:10.1586/14737175.7.11.1535. PMID 17997702.
    • Solomon B. Clinical immunologic approaches for the treatment of Alzheimer's disease (англ.) // Expert Opinion on Investigational Drugs : journal. — 2007. — June (vol. 16, no. 6). P. 819—828. doi:10.1517/13543784.16.6.819. PMID 17501694.
    • Woodhouse A., Dickson T.C., Vickers J.C. Vaccination strategies for Alzheimer's disease: A new hope? (англ.) // Drugs & Aging : journal. — 2007. Vol. 24, no. 2. P. 107—119. PMID 17313199.
  258. Study Evaluating ACC-001 in Mild to Moderate Alzheimers Disease Subjects. Clinical Trial. US National Institutes of Health (11 марта 2008). Дата обращения: 5 июня 2008. Архивировано 25 августа 2011 года.
  259. Study Evaluating Safety, Tolerability, and Immunogenicity of ACC-001 in Subjects With Alzheimer's Disease. US National Institutes of Health. Дата обращения: 5 июня 2008. Архивировано 25 августа 2011 года.
  260. Alzheimer's Disease Vaccine Trial Suspended on Safety Concern. Medpage Today (18 апреля 2008). Дата обращения: 14 июня 2008. Архивировано 25 августа 2011 года.
  261. Bapineuzumab in Patients With Mild to Moderate Alzheimer's Disease/ Apo_e4 non-carriers. Clinical Trial. US National Institutes of Health (29 февраля 2008). Дата обращения: 23 марта 2008. Архивировано 25 августа 2011 года.
  262. Safety, Tolerability and Efficacy Study to Evaluate Subjects With Mild Cognitive Impairment. Clinical Trial. US National Institutes of Health (11 марта 2008). Дата обращения: 23 марта 2008. Архивировано 25 августа 2011 года.
  263. Study Evaluating the Safety, Tolerability and Efficacy of PBT2 in Patients With Early Alzheimer's Disease. Clinical Trial. US National Institutes of Health (13 января 2008). Дата обращения: 23 марта 2008. Архивировано 25 августа 2011 года.
  264. Etanercept research:
    • Tobinick E., Gross H., Weinberger A., Cohen H. TNF-alpha modulation for treatment of Alzheimer's disease: a 6-month pilot study (англ.) // MedGenMed : journal. — 2006. Vol. 8, no. 2. P. 25. PMID 16926764. PMC 1785182.
    • Griffin W.S. Perispinal etanercept: potential as an Alzheimer therapeutic (англ.) // Journal of Neuroinflammation : journal. — 2008. Vol. 5. P. 3. doi:10.1186/1742-2094-5-3. PMID 18186919. PMC 2241592.
    • Tobinick E. Perispinal etanercept for treatment of Alzheimer's disease (англ.) // Current Alzheimer Research : journal. — 2007. — December (vol. 4, no. 5). P. 550—552. PMID 18220520.
  265. Kim, H. Y., Kim, H. V., Jo, S., Lee, C. J., Choi, S. Y., Kim, D. J., & Kim, Y. (2015). EPPS rescues hippocampus-dependent cognitive deficits in APP/PS1 mice by disaggregation of amyloid-[beta] oligomers and plaques. Nature communications, 6, Article number: 8997 doi:10.1038/ncomms9997
  266. Currais, A., Goldberg, J., Farrokhi, C., Chang, M., Prior, M., Dargusch, R., … & Schubert, D. (2015). A comprehensive multiomics approach toward understanding the relationship between aging and dementia Архивная копия от 23 ноября 2015 на Wayback Machine. Aging, 937—955.
  267. Marschallinger, J., Schäffner, I., Klein, B., Gelfert, R., Rivera, F. J., Illes, S., … & Coras, R. (2015). Structural and functional rejuvenation of the aged brain by an approved anti-asthmatic drug. Nature communications, 6, Article number: 8466 doi:10.1038/ncomms9466
  268. Raha, S., Ghosh, A., Dutta, D., Patel, D. R., & Pahan, K. (2021). Activation of PPARα enhances astroglial uptake and degradation of β-amyloid. Science Signaling, 14(706), eabg4747. PMID 34699252 doi:10.1126/scisignal.abg4747
  269. Ricks D. (2021). Has a treatment for Alzheimer’s been sitting on pharmacy shelves for decades? Scientists have two possible candidates Архивная копия от 2 ноября 2021 на Wayback Machine. Medical Xpress
  270. Wischik Claude M., Bentham Peter, Wischik Damon J., Seng Kwang Meng. Tau aggregation inhibitor (TAI) therapy with remberTM arrests disease progression in mild and moderate Alzheimer's disease over 50 weeks (англ.) // Alzheimer's & Dementia : journal. — Alzheimer’s Association, 2008. — July (vol. 4, no. 4). P. T167. doi:10.1016/j.jalz.2008.05.438.
  271. Harrington Charles, Rickard Janet E., Horsley David, et al. Methylthioninium chloride (MTC) acts as a Tau aggregation inhibitor (TAI) in a cellular model and reverses Tau pathology in transgenic mouse models of Alzheimer's disease (англ.) // Alzheimer's & Dementia : journal. — Alzheimer’s Association, 2008. — July (vol. 4). P. T120—T121. doi:10.1016/j.jalz.2008.05.259.
  272. Doody R.S., Gavrilova S.I., Sano M., et al. Effect of dimebon on cognition, activities of daily living, behaviour, and global function in patients with mild-to-moderate Alzheimer's disease: a randomised, double-blind, placebo-controlled study (англ.) // The Lancet : journal. Elsevier, 2008. — July (vol. 372, no. 9634). P. 207—215. doi:10.1016/S0140-6736(08)61074-0. PMID 18640457.
  273. Choi Se Hoon, Kim Young Hye, Hebisch Matthias, Sliwinski Christopher, Lee Seungkyu, d’Avanzo Carla, Chen Hechao, Hooli Basavaraj, Asselin Caroline, Muffat Julien, Klee Justin B., Zhang Can, Wainger Brian J., Peitz Michael, Kovacs Dora M., Woolf Clifford J., Wagner Steven L., Tanzi Rudolph E., Kim Doo Yeon. A three-dimensional human neural cell culture model of Alzheimer’s disease (англ.) // Nature. — 2014. Vol. 515. P. 274—278. ISSN 0028-0836. doi:10.1038/nature13800. Архивировано 29 мая 2016 года.
  274. Течение болезни Альцгеймера зависит от расы пациента — МедНовости — MedPortal.ru. Дата обращения: 21 июля 2015. Архивировано 24 июля 2015 года.
  275. Учёные раскрыли тайну болезни Альцгеймера и вернули утраченные воспоминания: Наука: Наука и техника: Lenta.ru. Дата обращения: 17 марта 2016. Архивировано 18 марта 2016 года.
  276. Израильские учёные разработали препарат, устраняющий симптомы болезни Альцгеймера. Дата обращения: 2 июня 2016. Архивировано 10 июня 2016 года.
  277. Feasibility and efficacy data from a ketogenic diet intervention in Alzheimer's disease (англ.) // Alzheimer's & Dementia: Translational Research & Clinical Interventions. — 2018-01-01. Vol. 4. P. 28—36. ISSN 2352-8737. doi:10.1016/j.trci.2017.11.002. Архивировано 31 декабря 2019 года.
  278. Stephen C. Cunnane, Alexandre Courchesne-Loyer, Camille Vandenberghe, Valérie St-Pierre, Mélanie Fortier. Can Ketones Help Rescue Brain Fuel Supply in Later Life? Implications for Cognitive Health during Aging and the Treatment of Alzheimer’s Disease // Frontiers in Molecular Neuroscience. — 2016-07-08. Т. 9. ISSN 1662-5099. doi:10.3389/fnmol.2016.00053. Архивировано 21 июня 2018 года.
  279. A cross-sectional comparison of brain glucose and ketone metabolism in cognitively healthy older adults, mild cognitive impairment and early Alzheimer's disease (англ.) // Experimental Gerontology. — 2018-07-01. Vol. 107. P. 18—26. ISSN 0531-5565. doi:10.1016/j.exger.2017.07.004.
  280. Etienne Croteau, Christian-Alexandre Castellano, Marie Anne Richard, Mélanie Fortier, Scott Nugent. Ketogenic Medium Chain Triglycerides Increase Brain Energy Metabolism in Alzheimer’s Disease (англ.) // Journal of Alzheimer's Disease. — 2018-06-19. Vol. 64, iss. 2. P. 551—561. ISSN 1875-8908 1387-2877, 1875-8908. doi:10.3233/JAD-180202. Архивировано 29 июня 2018 года.
  281. Abhinav Anand, Navneet Khurana, Rajesh Kumar, Neha Sharma. Food for the mind: The journey of probiotics from foods to anti-Alzheimer’s disease therapeutics // Food Bioscience. — 2023-02-01. Т. 51. С. 102323. ISSN 2212-4292. doi:10.1016/j.fbio.2022.102323.

Литература

На русском языке

  • Каминский, Ю. Г. Популярно и не очень о болезни Альцгеймера / Ю. Г. Каминский, Е. А. Косенко. — Либроком, 2009. — 136 с. — ISBN 978-5-397-00194-6
  • Грант Б. Старческое слабоумие. Болезнь Альцгеймера и другие формы. = Alzheimer’s Disease. A Carer’s Guide. — [Пер. с англ.] — Норинт, 2003. — 80 с. — (Советы врача.) — ISBN 5-7711-0161-3
  • Болезнь Альцгеймера // Нейродегенеративные заболевания: учеб. пособие / Сост.: Р.В. Магжанов, К.З. Бахтиярова, Е.В. Первушина. — Уфа: ФГБОУ ВО БГМУ Минздрава России, 2018. — С. 11—30. — 96 с.
  • Новоселов В. М. Альцгеймер. М.: ГЭОТАР-Медиа, 2022. — 224 с. — ISBN 978-5-9704-6625-4.
  • Джебелли Дж. В погоне за памятью: История борьбы с болезнью Альцгеймера. / Пер. с англ. — М.: АСТ, 2022. — 336 с. — ISBN 978-5-17-148050-9

На английском языке

Ссылки