Веретенообразный нейрон

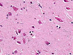
Микрофотография с изображением веретенообразных нейронов в поясной извилине. Окраска гематоксилином и эозином; луксолом.

Веретенообразные нейроны или нейроны фон Экономо (названы в честь их первооткрывателя Константина фон Экономо[1]), описанные в 1929 году, являются особым классом нейронов. Для них характерно большое веретенообразной формы тело, постепенно сужающееся в единичный апикальный аксон на одном конце и единственный дендрит на противоположном конце. Кроме того, что у других типов нейронов чаще встречается большое количество дендритов, полярная форма веретенообразных нейронов уникальна. Они найдены только в двух очень ограниченных районах головного мозга гоминид: в передней поясной коре (ППК) и во фронтоинсулярной коре. Недавно эти нейроны были найдены и в дорсолатеральной префронтальной коре мозга человека[2]. Веретенообразные клетки также есть в мозге горбатых китов, финвалов, косаток, кашалотов[3][4] , афалин, серых дельфинов, белух,[5], африканских и индийских слонов.[6]

Функции веретенообразных нейронов

Веретенообразные нейроны — очень большие клетки относительно других клеток мозга, и они позволяют осуществлять быстрый процесс передачи информации по сравнительно крупному мозгу человекообразных, хоботных и китообразных. Некоторые ученые считают, что они играют важную роль в различных возможностях и нарушениях, связанных с приобретением знаний, в основном уникальных для людей — от восприимчивости к синдрому саванта и идеального слуха до дислексии, аутизма и психопатии.

Эволюционное значение

Тот факт, что веретенообразные нейроны встречаются только в группе высокоорганизованных животных (с человеческой точки зрения), привел к размышлениям о большой значимости этих нейронов в эволюции человека и функциях мозга. То, что среди всех приматов они есть только у человекообразных, ведет к гипотезе, что они развились не ранее 15-20 миллионов лет назад, до отделения орангутанов от африканских человекообразных. Открытие веретенообразных нейронов у различных видов китообразных[4][5] в свою очередь приводит к предположению, что это, возможно, обязательное нейронное приспособление в очень большом мозге, позволяющее осуществлять быструю обработку информации и передавать высокоспецифичные мысленные представления, которые позволяют развиваться социальному поведению[5]p. 254. Присутствие этих нейронов в мозге указанных видов поддерживает эту теорию. Существование этих специализированных нейронов в мозге только крайне сообразительных млекопитающих может быть примером конвергентной эволюции..[7]

Веретенообразные нейроны передней поясной коры

В 1999 году невролог профессор Джон Аллман (John Allman) с коллегами из Калифорнийского технологического института первым опубликовал отчет о веретенообразных нейронах, специфичных только для ППК гоминид. У людей и шимпанзе было найдено больше веретенообразных нейронов, чем у орангутанов и относительно более крупных горилл.

Аллману с коллегами[8] пришлось изучать мозг на клеточном уровне, чтобы исследовать, как веретенообразные нейроны функционируют на структурном уровне, концентрируя внимание на их роли как «диспетчеров» эмоций. Команда Аллмана выяснила, что веретенообразные нейроны помогают передавать нейронные сигналы из глубоких внутренних частей коры к относительно далеким частям мозга.

Именно команда Аллмана выяснила[9], что сигналы из ППК направляются в 10-е поле Бродмана, в переднюю префронтальную кору, где, как полагают, происходит регуляция когнитивного диссонанса (устранения противоречий между выборами). Согласно Аллману, это нейронное реле, скорее всего, передает мотивацию к действию и имеет отношение к обнаружению ошибок. Таким образом, самообладание и избегание ошибок облегчаются благодаря исполнительной ограничивающей функции ППК как регулятора интерференционной картины нейронных сигналов между этими двумя частями мозга.

У людей сильные эмоции приводят к активации ППК, и ППК передает нейронные сигналы, полученные от миндалевидного тела (центра первичной переработки эмоций) в кору лобной доли. Возможно, они функционируют как своеобразная линза, фокусирующая сложную картину интерференции нервных сигналов. ППК также активна во время решения задач, связанных с осуждением, различением и обнаружением ошибок. При решении трудных задач или при сильных эмоциях (любви, злости или страсти) ППК возбуждается сильнее. Исследования по визуализации мозговой активности показали, что особенно активна ППК, когда мать слышит крик младенца. Это подчеркивает важную роль ППК в социальной восприимчивости.

ППК — это относительно древняя область коры. Она связана с множеством функций вегетативной системы, включая моторную и пищеварительную, а также играющая роль в регуляции кровяного давления и частоте сердечных сокращений. Значительная роль ППК и фронтоинсулярной коры в обонянии и вкусе была утеряна ими во время недавней эволюции (возможно, для того, чтобы они могли лучше исполнять свои роли, связанные с узнаванием, начиная от планирования действий и самосознания и заканчивая ролевыми играми и ложью). Пониженные обонятельные способности людей по сравнению с другими приматами могут быть связаны с тем фактом, что у веретенообразных нейронов, расположенных в ключевых нейронных центрах, осталось только два отростка, а не много; в результате произошло снижение неврологической интеграции.

Веретенообразные нейроны фронтоинсулярной коры

На съезде Неврологического общества в 2003 году Аллман сообщил о веретенообразных клетках, найденных его командой в другой области мозга: фронтоинсулярной коре. Очевидно, у человека эта область претерпела значительные эволюционные адаптации, возможно, не более чем 100 000 лет назад.

Фронтоинсулярная кора тесно связана с островковой долей — областью размером примерно с большой палец в каждом полушарии человеческого мозга. Островковая доля и фронтоинсулярная кора — части орбитофронтальной коры. Здесь располагаются сложные нейронные сети, связанные с осознанием пространства и осязанием, и, как считается, возникают и осознаются чувство самосознания и сложные эмоции. Кроме того, эта область в правом полушарии является ключевой в ориентировке и восприятии трехмерного пространства.

Концентрация веретенообразных нейронов

Больше всего веретенообразных нейронов передней поясной коры найдено в организме человека, меньше у некрупных человекообразных обезьян и еще меньше у крупных. У людей и бонобо они часто обнаруживаются в скоплениях по 3-6 штук. Анализ V слоя ППК гоминид показал, что среднее количество этих нейронов у орангутанов в ППК — примерно 9 на срез; они редкие, составляют 0,6 % от всех клеток среза. У горилл их примерно 22, то есть они встречаются чаще, составляют 2,3 %; у шимпанзе их примерно 37, они обильны, составляют 3,8 %; у карликовых шимпанзе — примерно 68, они обильны и собраны в скопления, составляют 4,8 %; у людей — примерно 89, они также обильны и собраны в скопления, составляют 5,6 %.[10]

Фронтоинсулярная кора

У всех изученных приматов веретенообразных нейронов фронтоинсулярной коры было больше в правом полушарии, чем в левом. Несмотря на то что у шимпанзе и бонобо было найдено больше веретенообразных нейронов в ППК, число этих нейронов во фронтоинсулярной коре было много больше у горилл (данные по орангутанам еще не получены). У взрослого человека 82 855 таких клеток, у гориллы — 16 710, у карликового шимпанзе — не более чем 1 808, несмотря на то, что шимпанзе и карликовые шимпанзе гораздо ближе к человеку.

Дорсолатеральная префронтальная кора

Веретенообразные нейроны локализованы в дорсолатеральной префронтальной коре у людей[2] и слонов[6]. У людей они отмечены в более высокой концентрации в 9-м поле Бродмана, в основном изолированные или в скоплениях по два, в то время как в 24-м поле Бродмана они найдены в основном в скоплениях по 2-4.[2]

Связанные патологии

Ненормальное развитие веретенообразных нейронов может быть связано с некоторыми патологиями, обычно характеризующиеся искажением реальности, нарушением мышления, нарушением речи и уходом от социального контакта. Изменение этих нейронов, возможно, может вызвать шизофрению и болезнь Альцгеймера, но исследование этих взаимосвязей остается пока на ранней стадии.

Изучение людей показывает, что веретенообразные нейроны особенно сильно подвержены гибели при болезни Альцгеймера: может погибать до 60 % веретенообразных нейронов передней поясной коры. Также эти клетки поражаются при фронтотемпоральной деменции.

Примечания

  1. von Economo, C., & Koskinas, G. N. (1929). The cytoarchitectonics of the human cerebral cortex. London: Oxford University Press
  2. 1 2 3 Fajardo et. al.; Escobar, M.I.; Buriticá, E.; Arteaga, G.; Umbarila, J.; Casanova, M.F.; Pimienta, H. Von Economo neurons are present in the dorsolateral (dysgranular) prefrontal cortex of humans. (англ.) // Neuroscience Letters : journal. — 2008. — 4 March (vol. 435, no. 3). P. 215—218. doi:10.1016/j.neulet.2008.02.048. PMID 18355958.
  3. Coghlan, A. Whales boast the brain cells that 'make us human'. New Scientist (27 ноября 2006). Архивировано из оригинала 16 апреля 2008 года.
  4. 1 2 Hof, P. R., Van der Gucht, E. Structure of the cerebral cortex of the humpback whale, Megaptera novaeangliae (Cetacea, Mysticeti, Balaenopteridae) (англ.) // Anat Rec (Hoboken) : journal. — 2007. — January (vol. 290, no. 1). P. 1—31. doi:10.1002/ar.20407. PMID 17441195.
  5. 1 2 3 Butti, C; Sherwood, CC; Hakeem, AY; Allman, JM; Hof, P. R. Total number and volume of Von Economo neurons in the cerebral cortex of cetaceans. (англ.) // The Journal of comparative neurology : journal. — 2009. — July (vol. 515, no. 2). P. 243—259. doi:10.1002/cne.22055. PMID 19412956.
  6. 1 2 Hakeem, A. Y.; Sherwood, C. C.; Bonar, C. J.; Butti, C.; Hof, P. R.; Allman, J. M. Von Economo neurons in the elephant brain (неопр.) // The Anatomical Record (Hoboken). — 2009. Т. 292, № 2. С. 242—248. doi:10.1002/ar.20829. PMID 19089889.
  7. Hakeem, Atiya Y.; Sherwood, Chet C.; Bonar, Christopher J.; Butti, Camilla; Hof, Patrick R.; Allman, John M. Von Economo Neurons in the Elephant Brain (англ.) // The Anatomical Record : journal. — 2009. — 16 December (vol. 292, no. 2). P. 242—248. doi:10.1002/ar.20829. PMID 19089889.
  8. Allman JM, Hakeem A, Erwin JM, Nimchinsky E, Hof P. The anterior cingulatecortex. The evolution of an interface between emotion and cognition. Ann N Y AcadSci. 2001 May;935:107-17. Review. PubMed PMID 11411161.
  9. Allman J, Hakeem A, Watson K. Two phylogenetic specializations in the humanbrain. Neuroscientist. 2002 Aug;8(4):335-46. Review. PubMed PMID 12194502.
  10. Allman J., Hakeem A., Watson K. Two phylogenetic specializations in the human brain (англ.) // Neuroscientist : journal. — 2002. — August (vol. 8, no. 4). P. 335—346. doi:10.1177/107385840200800409. PMID 12194502. (недоступная ссылка)

Ссылки