Волчаночный нефрит
| Волчаночный нефрит | |
|---|---|
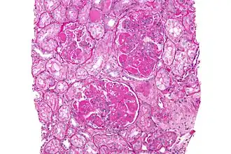
Микрофотография диффузного пролиферативного волчаночного нефрита: увеличение мезангиального матрикса и мезангиальная гиперклеточность. Биопсия почки. PAS окраска. | |
| Синонимы | Нефрит при СКВ[1] |
| Специальность | Ревматология, нефрология |
| Симптомы | Пенистая моча, отечность ног, лихорадка, боли в мышцах[2] |
| Осложнение | Повышенное артериальное давление, Почечная недостаточность[2] |
| Обычное начало | Молодые люди[3] |
| Типы | От I до VI[3] |
| Причины | Волчанка[2] |
| Факторы риска | Генетика[3] |
| Метод диагностики | Подозревается на основе анализов мочи и крови, подтверждается биопсией почки[2] |
| Дифференциальная диагностика | Другие причины нефротического синдрома, камни в почках, острый интерстициальный нефрит[3] |
| Лечение | Преднизолон, циклофосфамид, гидроксихлорохин, препараты для снижения артериального давления, диализ[2][3] |
| Лекарство | циклофосфамид[4], преднизолон[5], ритуксимаб[5], mycophenolic acid[5], микофенолата мофетил[5], Белимумаб[5], метилпреднизолон[5] и такролимус[5] |
| Частота | Распространён при волчанке[3] |
Волчаночный нефрит (ВН) — тип заболевания почек, возникающий вследствие системной красной волчанки (СКВ), аутоиммунного заболевания[2]. Симптомы могут включать: пенистую мочу, отёк ног, лихорадку и боли в мышцах[2]. Обычно заболевание проявляется не ранее чем через 3 года после начала СКВ[3]. Возможные осложнения могут включать повышенное артериальное давление и почечную недостаточность[2].
Факторы риска включают определённые генетические мутации[3]. Основной механизм включает реакцию гиперчувствительности III типа и образование имунных комплексов[3]. Эти комплексы затем накапливаются вблизи базальной мембраны клубочков почек, вызывая воспаление[3]. Диагноз можно предположить на основании анализов мочи и крови, а подтверждается он с помощью биопсии почки[2].
Лечение зависит от тяжести заболевания[3]. Применяются препараты для подавления иммунной системы, такие как преднизолон, циклофосфамид или гидроксихлорохин[2]. Для контроля артериального давления могут назначаться такие лекарства, как ингибиторы АПФ, диуретики или бета-блокаторы[2]. В тяжелых случаях может потребоваться диализ[3].
До 50 % взрослых и 80 % детей, страдающих волчанкой[2], могут заболеть ВН. Заболевание часто возникает у молодых людей[3]. Мужчины страдают чаще, чем женщины[2]. Хотя волчанка была впервые описана в 400 году до нашей эры Гиппократом, её воздействие на почки было впервые задокументировано в начале 1900-х годов[3][6].
Примечания
- ↑ Ponticelli, C.; Moroni, G. (1 января 2005). Renal transplantation in lupus nephritis. Lupus. 14 (1): 95–98. doi:10.1191/0961203305lu2067oa. ISSN 0961-2033. PMID 15732296.
- 1 2 3 4 5 6 7 8 9 10 11 12 13 Lupus and Kidney Disease (Lupus Nephritis) | NIDDK. National Institute of Diabetes and Digestive and Kidney Diseases. Дата обращения: 23 января 2021. Архивировано 23 января 2021 года.
- 1 2 3 4 5 6 7 8 9 10 11 12 13 14 Musa, R; Brent, LH; Qurie, A (January 2020). Lupus Nephritis. StatPearls. PMID 29762992.
- ↑ NDF-RT (англ.)
- 1 2 3 4 5 6 7 Drug Indications Extracted from FAERS — doi:10.5281/ZENODO.1435999
- ↑ Rose, Noel R. The Autoimmune Diseases : [англ.] / Noel R. Rose, Ian R. Mackay. — Elsevier, 2006. — P. 826. — ISBN 978-0-08-045474-0.
