Газовая гангрена

Газовая гангрена
МКБ-11 1C16
МКБ-10 A48.0
МКБ-10-КМ A48.0
МКБ-9 040.0
МКБ-9-КМ 040.0[1][2]
DiseasesDB 31141
MedlinePlus 000620
eMedicine med/843 emerg/211 med/394
MeSH D005738
Логотип Викисклада Медиафайлы на Викискладе
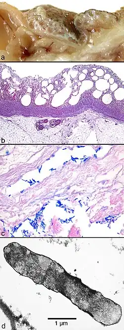
Макроскопические и микроскопические включения из тканей пациента, который умер от интестинальной (кишечной) формы газовой гангрены. Сверху вниз: a) макроскопическая картина отёчности стенки кишечника с множественными кистами подслизистой и подсерозной оболочки. b) гистологическая картина слизистой оболочки пораженной нереактивным некрозом. с) окраска по Граму кист, видны большие палочковидные бактерии. d) электронная микроскопия бактерии рода Clostridium, найденной в подслизистой оболочке кишечника.

Га́зовая гангре́на (или анаэробная гангрена, мионекроз) — вид гангрены, представляющий собой омертвение тканей организма, вызванное инфекцией, обусловленной ростом и размножением в тканях клостридиальной микрофлоры. Рост этой микрофлоры возможен только при отсутствии кислорода (анаэробно), однако споры возбудителей заболевания могут длительное время сохраняться и в кислородной среде (на воздухе).

Этиология и патогенез

Заболевание вызывается преимущественно бактериями рода клостридий, которые обитают в почве и уличной пыли[3]. Раны, загрязнённые землёй, имеющие раневые карманы, участки омертвевшей либо плохо снабжаемой кровью ткани, не подвергшиеся первичной хирургической обработке, предрасположены к газовой гангрене. В подходящих условиях возбудитель размножается быстро, выделяя тканерастворяющие и газообразующие экзотоксины, которые способствуют ещё более быстрому распространению инфекции.

Основные возбудители:

Клиническая картина

Уже через 6 часов после приобретения микробом способности к заражению возникают нарушения общего состояния с тахикардией и лихорадкой. Кожный покров — серо-синего цвета. Рана резко болезненна, края её бледны, отёчны, безжизненны, дно раны сухое. Окраска видимых в ране мышц напоминает варёное мясо. При надавливании на края раны из тканей выделяются пузырьки газа с неприятным сладковато-гнилостным запахом. При прощупывании определяется типичное похрустывание (крепитация). Состояние больного быстро ухудшается, наступает шок.

Газовая гангрена характеризуется рядом специфических симптомов, некоторые из которых являются патогномоничными; большинство из них направлено на выявление образующегося газа:

  1. Симптом лигатуры (симптом Мельникова) — при наложении лигатуры на участок конечности уже через 15-20 минут нить начинает впиваться в кожу из-за распухания конечности.
  2. Симптом шпателя — при постукивании металлическим шпателем по поражённой области слышен характерный хрустящий, с тимпаническим оттенком звук. Такой же звук может быть слышен при бритье кожных покровов вокруг раны (симптом бритвы).
  3. Симптом пробки шампанского — при извлечении тампона (салфетки) из раневого хода слышен хлопок.
  4. Симптом Краузе — межмышечные скопления газа на рентгеновском снимке визуализируются в виде «ёлочек».

Осложнения

Поскольку возбудители заболевания выделяют гемолизины, течение газовой гангрены может осложниться возникновением гемолитической анемии и почечной недостаточности.

Диагностика и дифференциальная диагностика

Диагноз ставится на основании характерной раны, общей интоксикации. Диагноз подтверждается рентгенологически (определяется «пористость» мышечных тканей) и микроскопически (обнаружение клостридий в раневом отделяемом). Дифференциальный диагноз проводят с фасциальной газообразующей флегмоной (нет поражения мышц) и путридной (гнилостной) инфекцией.

Лечение и профилактика

«Лампасные» разрезы кожи, мышц, оболочек с иссечением омертвевших тканей и подозрительных на некроз участков. Налаживание оттока гноя из раны с промыванием раствором перекиси водорода и антибиотиков; рану оставляют открытой. Абсолютный покой конечности. Пенициллин до 20—40 млн ЕД в сутки (2—3 раза в день внутривенно) в течение 10—14 дней, тетрациклин. Противогангренозная сыворотка и анатоксин неэффективны как при лечении, так и при проведении профилактики газовой гангрены. При быстром нарастании интоксикации — гильотинная ампутация конечности. Эффективно воздействие кислорода под давлением, однако не исключено хирургическое удаление очага инфекции из раны, показаниями к которому являются клинические и рентгенологические признаки газовой гангрены с микроскопически доказанным наличием клостридий в ране[4].

Профилактика заключается в своевременной квалифицированной первичной хирургической обработке всех загрязнённых ран.

Газовая гангрена у животных

Встречается в основном у жвачных животных и лошадей, а также других домашних и диких млекопитающих[5]. Злокачественный отёк проявляется спорадически. Болезнь у животных возникает при попадании возбудителей в ушибленные, рваные раны. Под воздействием токсинов возникают мукоидное и фибриноидное набухание стенок кровеносных сосудов, лизис эритроцитов, усиление отёка и распространение отёчной жидкости по подкожной и межмышечной клетчатке. Заболевание необходимо дифференцировать от эмфизематозного карбункула и карбункулёзной формы сибирской язвы[6].

Примечания

  1. Disease Ontology (англ.) — 2016.
  2. Monarch Disease Ontology release 2018-06-29 — 2018-06-29 — 2018.
  3. Комаровская Е. И, Перелыгина О. В. СОВРЕМЕННАЯ СИТУАЦИЯ ПО ЗАБОЛЕВАЕМОСТИ ОТДЕЛЬНЫМИ КЛОСТРИДИАЛЬНЫМИ ИНФЕКЦИЯМИ: ГАЗОВАЯ ГАНГРЕНА И СТОЛБНЯК // БИОпрепараты. Профилактика, диагностика, лечение. — 2021. Т. 21, вып. 1. С. 31–38. ISSN 2221-996X. Архивировано 13 февраля 2023 года.
  4. Газовая гангрена: симптомы и лечение, возбудитель гангрены, диагностика. ОкейДок. 10 мая 2017. Архивировано 25 мая 2017. Дата обращения: 24 мая 2017.
  5. Carlos A. Oliveira Junior, Rodrigo O. S. Silva, Francisco C. F. Lobato, Mauricio A. Navarro, Francisco A. Uzal. Gas gangrene in mammals: a review // Journal of Veterinary Diagnostic Investigation: Official Publication of the American Association of Veterinary Laboratory Diagnosticians, Inc. — 2020-03. Т. 32, вып. 2. С. 175–183. ISSN 1943-4936. doi:10.1177/1040638720905830. Архивировано 13 февраля 2023 года.
  6. А.В.Жаров, В.П.Шишков и др. Патологическая анатомия сельскохозяйственных животных. М.: Колос, 1995. — 543 с.

Литература