Гемосидероз
| Гемосидероз | |
|---|---|
| |
| МКБ-9 | 516.1 |
| OMIM | 178550 |
| DiseasesDB | 29717 |
| MeSH | D006486 |
Гемосидероз — (лат. haemosiderosis от др.-греч. αἷμα — «кровь» + σίδηρος — «железо» + -osis) — избыточное отложение гемосидерина в тканях организма. Возможные причины гемосидероза — усиленный распад эритроцитов, нарушение утилизации этого пигмента в процессе эритропоэза, усиленное всасывание его в кишечнике, нарушение обмена железосодержащих пигментов, ацерулоплазминемия, передозировка препаратов железа (венофера, ликферра).
Виды гемосидероза
Местный гемосидероз
Возникает при внесосудистом (экстраваскулярном) гемолизе в очагах кровоизлияний. Накопление гемосидерина не повреждает ткань или орган, но если гемосидероз сочетается со склерозом, функция нарушается. Бурая индурация лёгких - пример местного гемосидероза, вследствие венозного застоя в малом круге кровообращения при сердечной недостаточности. Синяк - тоже можно рассматривать как пример местного гемосидероза.
Общий гемосидероз
Развивается при избытке железа из-за внутрисосудистого (интраваскулярного) гемолиза или при повышении всасывания железа из пищи. Причинами гемолиза, чаще всего бывают: переливание несовместимой крови, отравления гемолитическими ядами, инфекционные заболевания, наследственные гемолитические анемии. В этих случаях гемосидерин откладывается преимущественно в гепатоцитах, макрофагах печени, селезёнки, костного мозга и других органах. В большинстве случаев пигмент не повреждает паренхиматозные клетки и не вызывает нарушений функций органа. Если повышенное содержание железа сопровождается повреждением тканей с атрофией паренхимы, склерозом, снижением функции органа, такое состояние называется гемохроматоз.
Диагностика

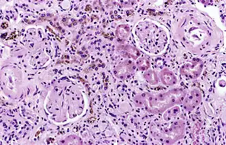
Гемосидерин выявляется в клетках в виде зёрен золотисто-жёлтого или золотисто-коричневого цвета, при реакции Перлса эти гранулы приобретают зеленовато-синее окрашивание за счёт образования железосинеродистого железа (берлинской лазури).
Патогенез
В области мелких (диапедезных) кровоизляний начинается распад эритроцитов и гемолиз. Гемолиз в присутствии кислорода ведёт к образованию гемосидерина, который синтезируется сидеробластами (макрофаги, гистиоциты, эпителий, эндотелий). В очагах крупных кровоизлияний, в центральных областях кислород отсутствует, поэтому на периферии образуется гемосидерин, а в центре — кристаллы гематоидина. К местному гемосидерозу, например, в лёгких (бурая индурация лёгких) ведёт патологический рост давления в легочных сосудах (легочная гипертензия), формирование множества диапедезных кровоизлияний с последующим гемолизом.
См. также
- Гемохроматоз
- Сидероз[1]
Примечания
- ↑ Сидероз / Сенкевич H. А., Могилевский Г. М. // Большая медицинская энциклопедия : в 30 т. / гл. ред. Б. В. Петровский. — 3-е изд. — М. : Советская энциклопедия, 1984. — Т. 23 : Сахароза — Сосудистый тонус. — 544 с. : ил.
Литература
- Гемосидероз / Данилина Л. А. // Большая медицинская энциклопедия : в 30 т. / гл. ред. Б. В. Петровский. — 3-е изд. — М. : Советская энциклопедия, 1977. — Т. 5 : Гамбузия — Гипотиазид. — 568 с. : ил.
- Идиопатический гемосидероз лёгких / Мазурин А. В., Серов В. В. // Большая медицинская энциклопедия : в 30 т. / гл. ред. Б. В. Петровский. — 3-е изд. — М. : Советская энциклопедия, 1978. — Т. 9 : Ибн-Рошд — Йордан. — 483 с. : ил.
- Бурое уплотнение лёгких / Серов В. В. // Большая медицинская энциклопедия : в 30 т. / гл. ред. Б. В. Петровский. — 3-е изд. — М. : Советская энциклопедия, 1976. — Т. 3 : Беклемишев — Валидол. — 584 с. : ил.
- Гемосидероз кожи / Смелов Н. С. // Большая медицинская энциклопедия : в 30 т. / гл. ред. Б. В. Петровский. — 3-е изд. — М. : Советская энциклопедия, 1977. — Т. 5 : Гамбузия — Гипотиазид. — 568 с. : ил.
