Голова

Голова́ (лат. Caput) — передняя часть тела животного или человека, в которой находятся мозг, органы зрения, вкуса, обоняния, слуха и рот[1]. Отдельная голова есть у позвоночных, насекомых (см. голова насекомого), ряда ракообразных и моллюсков[2].
Передняя часть головы человека называется лицом, животного — мордой. Обычно голова соединена с телом шеей, но у рыб, земноводных и других примитивных позвоночных (миноговые, миксиновые) шея отсутствует. Шея позволяет голове поворачиваться и держать определённую позицию в пространстве.
Этимология
Части головы
Внешние:
- волосы, кожа, уши
- лицо (морда у животных)
- макушка, темя, затылок (родничок, у младенцев)
- шея — кадык, второй подбородок
- У животных, птиц и насекомых — хобот (хоботок), клюв, вибриссы, усики
Внутренние:
- череп, челюсть, верхние отделы позвоночника, мышцы головы
- мозг, носоглотка, вестибулярный аппарат
Лицо
Лицо — передняя часть головы человека. Кроме рук, единственная максимально открытая часть тела человека, независимо от места проживания.
Состав
Морфология, антропометрия
Известны классические художественные пропорции человеческого лица. Например, они упомянуты у Леонардо да Винчи в тексте к Витрувианскому человеку.
Особенности кожи
- карта жировых желёз
- карта потовых желёз (лоб, например, потеет больше подбородка)
- карта кровоснабжения
- карта «грубости» кожи (у глаз, например, кожа более тонкая)
- иннервация (тройничным нервом, например)
Разнообразие
Черты лиц весьма разнообразны. Есть различия по базовым признакам, есть более тонкие.
Гендерные (по полу)
Мужские и женские лица отличаются по ряду признаков. Во взрослых лицах есть очевидные отличия — такие, как борода и бакенбарды у мужчин. Остальные отличия не столь очевидны, однако большинство людей на взгляд легко отличит мужское лицо от женского, но затруднится назвать конкретные признаки.
см. также Пол (биология) и Половой диморфизм
Возрастные
Лица людей разного возраста тоже сильно отличаются. Среди отличий — размеры, форма и количество морщин, гладкость и структура кожи, и т. п.
см. также Возраст биологический
Расовые
у африканцев, китайцев и европейцев основные пропорции черт лица значительно различаются.
см. также Раса
Для нужд криминалистики было придумано собирать лица из отдельных элементов.
Типологии
см. также физиогномика
— соционическая
Мимика
Лицо активно участвует в невербальном общении (мимика).
Примеры выражений лица и гримас:
- глаза — широко открытые, прищуренные, наклонённые брови, взгляд
- нос — напряжённые ноздри
- щёки — надутые щёки
- рот, губы — широко открыт, губы сжаты или вытянуты
- подбородок — касания подбородка и рта рукой
С 1978 года существует «система кодирования лицевых движений» (FACS), разработанная командой Пола Экмана, перечисляющая ключевые мимические мышцы и позволяющая записывать выражения лица, ими образуемое.
Функции
Многие части головы — в частности, полости рта, носа, пазухи черепа и глотка — служат резонаторами для голоса, например при пении. Мягкие ткани в районе рта — губы, щёки, мягкое нёбо, язык, язычок — участвуют в артикуляции, и составляют артикуляционный аппарат.
Заболевания
Некоторые генетические заболевания сказываются на внешнем виде лица — см, например, Болезнь Дауна, Гидроцефалия и т. п.
Известны такие пороки развития, как заячья губа, волчья пасть.
Кожные заболевания тоже случаются на коже лица. Например, юношеские угри, прыщи (в общем — Акне). Так же широко известен герпес, периодически дающий высыпания на губах.
Следы на лице оставляет и Алкоголизм — у алкоголиков зачастую красный нос, изрытая кожа.
Так же к голове относятся головная боль, менингит, ринит, фарингит, аденоиды, психические заболевания, инсульт, рак мозга, …
Связанные профессии и области знаний
Медицинские
- Нейрохирург
- Оториноларингология (врач — «Ухогорлонос»)
- Пластическая хирургия
- Косметолог
- Логопед, Фонолог
- Психолог, Психотерапевт
- Френология (поверье)
Прочие
- Парикмахер, Стилист
- Актёр (лицедей)
Методы исследования и вмешательства
Медицинские
Неинвазивные наблюдения
- Электроэнцефалограмма
- Транскраниальная магнитная стимуляция позволяет не только отслеживать, но и воздействовать на активность разных зон коры мозга.
- Позитронно-эмиссионная томография позволяет отслеживать в режиме реального времени активность разных зон мозга
- Рентгенография, рентгеноскопия, Рентгеновская компьютерная томография, в том числе дентальная
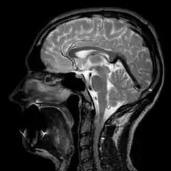
- Магнитно-резонансная томография
- Осмотр, в частности с использованием специальных ЛОР-инструментов и пальпации
- Психологическое тестирование
Хирургические
См. также
Примечания
- ↑ Голова, в анатомии человека // Энциклопедический словарь Брокгауза и Ефрона : в 86 т. (82 т. и 4 доп.). — СПб., 1890—1907.
- ↑ Догель, ЗБП, 1981.
- ↑ Этимологический словарь славянских языков. — М.: Наука, 1979. — Т. 6. — С. 221-222.
Литература
- Большая российская энциклопедия : [в 35 т.] / гл. ред. Ю. С. Осипов. — М. : Большая российская энциклопедия, 2004—2017.
- Догель В. А. Зоология беспозвоночных: Учебник для ун-тов / Под ред. проф. Ю. И. Полянского. — Изд. 7-е, перераб. и доп. — М.: Высшая школа, 1981. — 606 с. — 50 000 экз.