Гранулёматозный простатит

Гранулёматозный простатит
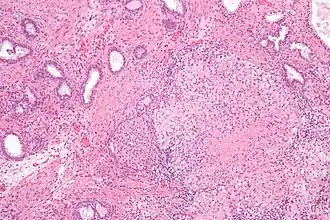
Гранулёматозный простатит вследствие лечения рака мочевого пузыря вакциной БЦЖ
Гранулёматозный простатит вследствие лечения рака мочевого пузыря вакциной БЦЖ
МКБ-10-КМ N41.4

Гранулёматозный простатит — редкое заболевание предстательной железы — одной из экзокринных желёз мужской половой системы. Это редкая форма простатита, то есть воспаления предстательной железы, возникающее вследствие инфекции (бактериями, вирусами или грибками), лечения вакциной БЦЖ, облучения предстательной железы или близлежащих органов, малакоплакии или системных гранулёматозных воспалительных заболеваний с вовлечением в системный гранулёматозный воспалительный процесс также и предстательной железы.

Этиология и патогенез гранулёматозного простатита

Секрет предстательной железы утекает в строму предстательной железы и вызывает гранулёматозную воспалительную реакцию в ткани предстательной железы.

Гистопатологические находки при гранулёматозном простатите

При гистологическом исследовании биоптата ткани предстательной железы больного гранулёматозным простатитом обнаруживается значительная деструкция ацинарных протоков предстательной железы, инфильтрация предстательной железы эпителиоидными клетками, гигантскими клетками, лимфоцитами, плазматическими клетками и гистиоцитами, а также плотный фиброз (разрастание соединительной ткани и замещение ткани предстательной железы соединительной тканью).