Диастема

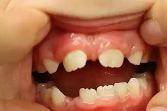
Диастема у человека

Диастема (от др.-греч. διάστημα — расстояние, промежуток, интервал[1]), щербина, щербинка[2][3][4] — непропорционально большой (по сравнению с обычным) промежуток, отделяющий два верхних центральных соседних более или менее расставленных зуба, чаще всего принадлежащих к разным типам[5].

Как правило, диастема возникает при редукции части зубов[6]. У травоядных, как правило, клыки и часть предкоренных зубов редуцированы (значительно реже редуцированы резцы)[6]. У грызунов, лошадей и ряда других млекопитающих диастемы присутствуют в верхней и нижней челюсти, тогда как у жвачных только в нижней[7].

У хищников диастемы возникают без редукции — одна из них находится впереди верхнечелюстного клыка, а вторая — позади нижнечелюстного клыка. Диастемы позволяют хищникам прочно сомкнуть челюсти во время охоты, благодаря чему клыки образуют своеобразный биологический капкан из которого добыче вырваться намного сложнее[6].

Согласно Энциклопедическому словарю Брокгауза и Ефрона: «Присутствие диастемы между верхним крайним резцом и клыком, служащее для помещения нижнего клыка, характерно для антропоморфных обезьян, и её нет у человека[5]».

Примечания

  1. Чудинов А. Н., Словарь иностранных слов русского языка (1910)
  2. Красота → Щербинка в тренде? Дата обращения: 22 сентября 2012. Архивировано из оригинала 21 октября 2012 года.
  3. Уздечки у ребёнка. Дата обращения: 22 сентября 2012. Архивировано 1 ноября 2012 года.
  4. В моде щербинки между зубами. Дата обращения: 22 сентября 2012. Архивировано из оригинала 4 марта 2016 года.
  5. 1 2 Диастема, в анатомии // Энциклопедический словарь Брокгауза и Ефрона : в 86 т. (82 т. и 4 доп.). СПб., 1905. — Т. доп. Ia. — С. 692.
  6. 1 2 3 Диастема // Большая советская энциклопедия : [в 30 т.] / гл. ред. А. М. Прохоров. — 3-е изд. М. : Советская энциклопедия, 1969—1978.
  7. «Биологический энциклопедический словарь.» Гл. ред. М. С. Гиляров; Редкол.: А. А. Бабаев, Г. Г. Винберг, Г. А. Заварзин и др. — 2-е изд., исправл. — М.: Сов. Энциклопедия, 1986.

Литература