Заглоточный абсцесс
| Ретрофарингеальный абсцесс | |
|---|---|
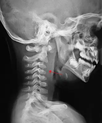
| Заглоточный воспалительный инфильтрат (рентгенограмма в боковой проекции) | |
| МКБ-11 | CA0K.0 |
| МКБ-10 | J39.0 |
| МКБ-9 | 478.24 |
| DiseasesDB | 11461 |
| MedlinePlus | 000984 |
| eMedicine | emerg/506 ped/2682 |
| MeSH | D017703 |
Заглоточный абсцесс (ретрофарингеальный абсцесс) — образуется в результате нагноений лимфатических узлов и клетчатки заглоточного пространства. Возбудители инфекции проникают по лимфатическим путям со стороны полости носа, носоглотки, слуховой трубы и среднего уха. Иногда абсцесс является осложнением гриппа, кори, скарлатины, а также может развиться при ранениях слизистой оболочки задней стенки глотки инородным телом, твердой пищей. Наблюдается, как правило, в раннем детском возрасте у истощённых и ослабленных детей.
Симптомы, течение болезни
Характерны жалобы на поперхивание и резкую боль при глотании, при этом пища нередко попадает в нос. Больной отказывается от пищи. При расположении абсцесса в носоглотке нарушается носовое дыхание, появляется закрытая гнусавость. При распространении абсцесса на нижние отделы глотки возникает инспираторная одышка, сопровождающаяся хрипением, особенно в вертикальном положении больного. Температура тела достигает 39-40 °С. Характерно вынужденное положение головы: она запрокинута назад и наклонена в больную сторону. Нередко наблюдается припухлость позади угла нижней челюсти и по переднему краю грудино-ключично-сосцевидной мышцы.
Диагноз
Диагноз подтверждают при фарингоскопии, при которой обнаруживают флюктуирующую припухлость на задней стенке глотки. В первые дни заболевания шарообразное выпячивание задней стенки глотки расположено с одной стороны, а в дальнейшем — по средней линии. В сомнительных случаях производят диагностическую пункцию.
Осложнения
Острый отек входа в гортань или самопроизвольное вскрытие с удушьем из-за попадания гноя в полость гортани; гной может распространиться на область больших сосудов шеи или спуститься по предпозвоночной фасции в грудную полость и вызвать гнойный медиастинит или сдавление трахеи.
Лечение
Лечение в большинстве случаев — хирургическое. Раннее вскрытие заглоточного абсцесса с последующей антибактериальной и дезинтоксикационной терапией. Миндалины не удаляются, если их можно сохранить, их сохраняют.
В культуре
Заглоточный абсцесс коровы и его лечение описаны в книге ветеринара Джеймса Хэрриота «О всех созданиях — больших и малых».