Основным преимуществом ИК-методов является то, что они позволяют достичь глубоких структур организма через отверстие в теле или крошечный разрез с использованием маленьких игл и проводов . Это снижает риски, боль и скорость восстановления по сравнению с открытыми процедурами . Визуализация в реальном времени также позволяет точно определить патологию, что делает процедуру или диагностику более точными. Эти преимущества сопоставляются с дополнительными рисками, связанными с отсутствием немедленного доступа к внутренним структурам (в случае кровотечения или перфорации), а также рисками радиационного облучения, такими как катаракта и рак.
Типы
Общие элементы
Интервенционная радиология представляет собой набор методов, которые позволяют получить доступ к внутренним структурам организма через отверстия в организме или очень маленькие разрезы под контролем медицинской визуализации . Независимо от причины вмешательства, процедура, скорее всего, будет использовать общие элементы, такие как игла для прокола (для прохождения через кожу), проводники (для направления через такие структуры, как кровеносные сосуды или желчевыводящие или мочевыводящие системы), оболочка (которая скользит проводнику и удерживает путь открытым, не повреждая его) и катетеры (которые позволяют проталкивать через них жидкости).[1]
Также для всех процедур интервенционной радиологии характерно использование медицинских диагностических аппаратов, которые позволяют врачу видеть, что происходит внутри организма. Некоторые используют рентгеновские лучи (например, КТ и флюороскопия), а некоторые — нет (например, УЗИ и МРТ)[1]. В каждом случае созданные изображения могут быть изменены с помощью компьютера для лучшей визуализации структур, как в случае с цифровой субтракционной ангиографией, КТ и МРТ, или отображением изображений, улучшенных с помощью виртуальной реальности или презентации дополненной реальности .[2]
Диагностическая интервенционная радиология
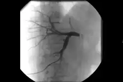
Ангиография: визуализация кровеносных сосудов для выявления аномалий с использованием различных контрастных веществ, включая йодированный контраст, вещества на основе гадолиния газ CO2 .[3]
Холангиография: визуализация желчных протоков в печени для выявления участков закупорки.
Биопсия: взятие образца ткани из интересующей области для патологического исследования чрескожным или трансвенозным путем.[4]
Баллонная ангиопластика/стентирование: открытие узких или заблокированных кровеносных сосудов с помощью баллона, с размещением металлических стентов или без них для поддержания проходимости сосудов.[5]
Эндоваскулярное восстановление аневризмы: установка эндоваскулярного стент-графта через аневризму для предотвращения расширения или прогрессирования дефектного сосуда.[6]
Эмболизация: размещение металлической спирали или эмболизирующего вещества (гелевая пена, поливиниловый спирт) для блокирования поступления крови в кровеносный сосуд, чтобы либо остановить кровотечение, либо уменьшить приток крови к целевому органу или ткани.[7]
Тромболизис: метод катетерного растворения тромбов, таких как тромбоэмболия легочной артерии и тромбоз глубоких вен, с помощью фармацевтических (ТПА) или механических средств.
Фильтры нижней полой вены: металлические фильтры, помещаемые в нижнюю полую вену для предотвращения распространения тромба в глубокие венозные сосуды.
Вмешательства, связанные с диализом: установка туннельных катетеров для гемодиализа, катетеров для перитонеального диализа, а также ревизия/тромболизис плохо функционирующих хирургически установленных артериовенозных фистул и трансплантатов.[9]
Схема процедуры TIPSTIPS: Установка трансъюгулярного внутрипеченочного портосистемного шунта (TIPS) по отдельным показаниям у пациентов с критической терминальной стадией заболевания печени и портальной гипертензией.[10]
Эндовенозное лазерное лечение варикозного расширения вен: размещение тонкого лазерного волокна в варикозных венах для нехирургического лечения венозной недостаточности.
Химиоэмболизация: комбинированная инъекция химиотерапевтических и эмболизирующих агентов в артериальное кровоснабжение опухоли с целью как местного введения химиотерапии, так и замедления «вымывания» химиотерапевтического препарата, а также уменьшения артериального кровоснабжения опухоли.
Радиоэмболизация: комбинированная инъекция радиоактивных стеклянных или пластиковых шариков и эмболизирующих агентов в артериальное кровоснабжение опухоли с целью как местного применения радиотерапии, так и замедления «вымывания» радиоактивного вещества, а также уменьшения артериального кровоснабжения опухоли.
Стеноз желчных протоков
Установка катетеров
в желчевыводящую систему для обхода желчных обструкций и декомпрессии желчевыводящей системы.
Установка постоянных билиарных стентов.
Холецистостомия: установка трубки в желчный пузырь для удаления инфицированной желчи у пациентов с холециститом (воспалением желчного пузыря), которые слишком слабы или слишком больны, чтобы перенести операцию.
Размещение катетера
Установка центрального венозного катетера: сосудистый доступ и управление внутривенными устройствами (ВВ), включая как туннелированные, так и нетуннелированные катетеры (например, катетеры PIC, Hickman, порт-катетеры, катетеры для гемодиализа, транслюмбальные и транспеченочные венозные линии).
Установка дренажного катетера: установка трубок для отвода патологических скоплений жидкости (например, абсцесса, плеврального выпота). Это может быть достигнуто с помощью чрескожного, трансректального или трансвагинального доступа. Замена или изменение положения постоянных катетеров осуществляется с помощью проводника под контролем изображения.
Рентгенологически установленная гастростомия или еюностомия: размещение зонда для кормления чрескожно в желудке и/или тощей кишке.[11]
Радиочастотная абляция (РЧ/РЧА): местное лечение, при котором специальный катетер разрушает ткань с помощью тепла, генерируемого переменными токами средней частоты.
Криоабляция: местное лечение с помощью специального катетера, который разрушает ткани холодной температурой, создаваемой быстрым расширением сжатого аргонового газа, — используется в основном для лечения небольших раковых опухолей почек и для временного устранения болезненных поражений костей[14]
Микроволновая абляция: местное лечение с помощью специального катетера, который разрушает ткани с помощью тепла, вырабатываемого микроволнами.
Чрескожная нефростомия или установка нефроуретерального стента: установка катетера через кожу непосредственно в почку для дренирования из собирательной системы. Обычно это делается для устранения обструкции нисходящего потока мочи.
Замена мочеточникового стента: постоянные мочеточниковые стенты типа double-J, обычно устанавливаемые урологом с помощью цистоскопии, могут быть заменены ретроградным способом через женскую уретру. IR использует тонкую проволочную петлю под рентгеноскопией для захвата дистальной части стента. После частичного извлечения дистального стента его можно заменить на новый с помощью направляющей проволоки.
Методы лечения конкретных расстройств
Желудочно-кишечное вмешательство
Желудочно-кишечное кровотечение
Лечение желудочно-кишечного кровотечения может варьироваться от мониторинга бессимптомного кровотечения до поддержки и сохранения гемодинамической функции пациента. Роль интервенционного радиолога заключается в том, чтобы предложить пациентам минимально инвазивную процедуру под визуальным контролем для облегчения состояния, которое в противном случае могло бы быть потенциально опасным для жизни.[16]
Доброкачественная гиперплазия предстательной железы (ДГПЖ) — это нераковое заболевание, которое обычно поражает мужчин старше 50 лет. Предстательная железа увеличивается и сдавливает прилегающую уретру, что затрудняет для мужчин контроль частоты и/или позывов к мочеиспусканию.[17] Терапия первой линии предполагает медикаментозное лечение, хотя долгосрочное лечение симптомов, которые сохраняются, несмотря на медикаментозную оптимизацию, обычно включает трансуретральную резекцию предстательной железы (ТУРП) как «золотой стандарт» лечения. Однако ТУРП может привести к недержанию мочи или постоянному мужскому бесплодию и может не быть идеальной процедурой для определенной подгруппы пациентов.[18] По этим причинам врач может порекомендовать пройти процедуру, известную как эмболизация артерий простаты (ЭАП).
Мочекаменная болезнь
Камни в почках могут располагаться на любом участке мочевыводящих путей от почек до уретры. Наиболее распространенными симптомами, как у мужчин, так и у женщин, являются внезапная сильная боль в боку, сопровождающаяся кровью в моче. Большинство камней в почках выходят самостоятельно, но более крупные (более 5 мм) менее вероятны и могут вызвать сильную боль или инфекцию.[19]
Интервенционный радиолог играет большую клиническую роль в лечении камней в почках, которые вряд ли выйдут самостоятельно. Золотым стандартом лечения таких камней является хирургическое удаление. Однако у некоторых пациентов обнаруживается инфицированный камень, и они просто слишком больны для его хирургического удаления. В этих случаях основой лечения ИР является чрескожная нефростомическая трубка.[20] Это процедура, при которой через кожу в мочевыделительную систему выше камня вводится катетер небольшого калибра. Эта процедура не только устраняет любую инфекцию, что часто приводит к резкому улучшению симптомов у пациента, но и отводит мочу, тем самым давая пациенту больше времени на восстановление перед окончательным хирургическим лечением.[21]
Варикоцеле
Варикоцеле определяется как расширение вен мошонки, чаще всего возникающее с левой стороны по анатомическим причинам. Когда это происходит, кровь может застаиваться в этих расширенных венах и вызывать колебания температуры внутри самого яичка. Точная причина этого состояния остается неизвестной, а неблагоприятным последствием может стать мужское бесплодие .[22]
Основным методом лечения этого заболевания в области интервенционной радиологии является эмболизация варикоцеле. Эмболизация в рамках этой процедуры приводит к прерыванию венозного кровотока. Прерывание кровотока уменьшает расширение вен крови, что может привести к нарушению регуляции температуры яичек и теоретически улучшить состояние при бесплодии.[23] Врач получает доступ к расширенным мошоночным венам с помощью небольшого катетера через вену в паху и эмболизирует варикоцеле. Пациенты часто хорошо переносят эту процедуру и могут вернуться домой в тот же день.
Неврологическое вмешательство
Острый ишемический инсульт
Около 87 % всех инсультов являются ишемическими инсультами, при которых блокируется приток крови к мозгу.[24] Препарат, разрушающий тромбы, такой как тканевой активатор плазминогена (t-PA), может использоваться в контролируемых условиях больницы для растворения тромба и восстановления притока крови к поврежденному участку мозга. Некоторые пациенты с острым ишемическим инсультом могут быть кандидатами на эндоваскулярную терапию. Эндоваскулярная терапия — это процедура, проводимая нейроинтервенционистами с целью удаления или растворения тромба (сгустка) и восстановления притока крови к частям мозга. Используя катетер, который направляется через кровеносные сосуды руки или ноги к мозгу, хирург может удалить тромб или ввести препараты для его растворения. Эти процедуры называются механической тромбэктомией или тромболизисом, и перед завершением процедуры необходимо учесть ряд факторов.
Лечение боли
Суставные и местные инъекции
Используя визуализацию, можно доставлять местные анестетики и/или стероидные препараты длительного действия непосредственно к локализованным участкам боли. Использование визуального контроля помогает подтвердить правильное размещение иглы.[25] Сюда входят распространенные методы визуализации, используемые при инъекциях в суставы: ультразвук, флюороскопия и компьютерная томография (КТ).
Интервенционная онкология
Процедуры выполнены
Абляция под визуальным контролем: использует различные типы энергии для сжигания (радиочастотная абляция (РЧА) и микроволновая абляция (МВА)), подачи электрических полей/электропорации (необратимая электропорация (НЭП)) или замораживания (криоабляция) солидных опухолей, что приводит к гибели опухолевых клеток. Методы абляции могут применяться по всему телу, например, в легких,[26] печени,[27][28] почках,[29] предстательной железе,[30] груди,[31] костях[32] и других органах, используя визуализацию для введения иглы/зонда через кожу в целевую ткань.
Высокоинтенсивный сфокусированный ультразвук: использует аппарат, который излучает высокочастотные звуковые волны для уничтожения раковых клеток и облегчения боли, связанной с опухолями, например, в костях.
Трансартериальная эмболизация (ТАЭ)/ мягкая эмболизация: инъекция эмболического материала (микрочастиц, спирта, клея) через катетер в артерии, питающие опухоль, с целью полного перекрытия кровоснабжения опухоли и гибели клеток. Наиболее распространенным показанием является лечение неоперабельного рака печени (гепатоцеллюлярной карциномы).[33]
Трансартериальная химиоэмболизация (ТАХЭ): инъекция химиотерапевтического агента, часто с микрочастицами, через катетер в артерии, питающие опухоль, что одновременно обеспечивает доставку химиотерапевтического препарата и блокирует приток крови к опухоли, вызывая гибель клеток[34]ТАСЭ
Может быть выполнено разными способами:
Традиционная трансартериальная химиоэмболизация (cTACE): инъекция липиодола с высокодозной химиотерапией с микрочастицами или без них непосредственно в артерии, питающие опухоль.[35]
Трансартериальная химиоэмболизация с использованием микрочастиц, высвобождающих лекарственный препарат (DEB-TACE): доставка микрочастиц, которые сами по себе нагружены химиотерапевтическим агентом — обычно доксорубицином или иринотеканом.
Селективная внутренняя лучевая терапия (также известная как SIRT или радиоэмболизация Y-90): инъекция небольших шариков, загруженных радиоактивным изотопом иттрием-90 (Y-90), в кровеносные сосуды, питающие опухоль, для доставки смертельной дозы радиации, вызывающей гибель клеток.[36] Может быть выполнена сегментарно (лучевая сегментэктомия) или долевой (лучевая лобэктомия) методикой. Радиационная лобэктомия обычно проводится с целью стимуляции роста непораженной доли для обеспечения адекватной функции печени, необходимой для проведения хирургической резекции.
Эмболизация воротной вены (ЭВВ): доставка эмболического материала в воротную вену, питающую долю печени, содержащую опухоль(и), представляющую интерес, для стимуляции роста здоровой доли для поддержания адекватной функции печени, необходимой для проведения хирургической резекции доли, содержащей опухоль(и).[37]
Расслоение означает разрыв внутреннего слоя стенки артерии. Кровь закачивается в этот дефект и прокладывает себе путь между слоями стенки артерии, создавая ложный канал, отдельный от истинного артериального просвета. Расслоения могут возникнуть вследствие травмы, спонтанно из-за повышенного артериального давления и врожденного сосудистого заболевания, а в некоторых случаях — как осложнение ранее проведенного хирургического или эндоваскулярного лечения.
При расширении артериальной диссекции может быть ограничен нормальный кровоток через пораженную артерию или потенциально заблокировано начало ответвления сосуда — в любом случае это может нарушить дистальную перфузию. В остром состоянии и с симптомами это неотложное состояние, требующее немедленного лечения.
Однако по мере совершенствования медицинской визуализации были обнаружены и хронические бессимптомные расслоения, и в некоторых случаях их можно безопасно лечить с помощью контроля артериального давления, последующей визуализации и надлежащего консультирования по признакам потенциальной ишемии.
Расслоения могут возникнуть в любой артерии и называются по названию сосуда, из которого они происходят. Расслоения аорты можно дополнительно классифицировать и лечить в зависимости от того, затрагивает ли они грудную аорту, брюшную аорту или обе. Классическая боль, связанная с острым расслоением аорты, описывается как «разрывающая» или «разрывающая» и может отдавать в спину пациента. Острое расслоение аорты может быть трудно диагностируемым, но встречается чаще, чем разрыв аневризмы аорты.
Расслоения грудной аорты далее характеризуются с помощью Стэнфордской классификации.[38] Расслоения типа А затрагивают корень и восходящую часть аорты. Они требуют незамедлительного лечения, которое в настоящее время носит в основном хирургический характер. Расслоения типа B начинаются в дистальной части дуги аорты за пределами места отхождения левой подключичной артерии и часто могут быть устранены с помощью обезболивающих препаратов и контроля артериального давления. Если расслоение аорты типа B приводит к ухудшению кровообращения в кишечнике, почках или ногах, часто требуется срочное эндоваскулярное восстановление с использованием эндопротезов и/или фенестраций. Если расслоение аорты типа B разорвалось или имеются признаки, указывающие на приближающийся разрыв, их также срочно лечат.
ангиография артериита Такаясу
Расслоения могут возникнуть практически в любой другой артерии. Например, расслоение сонной артерии повышает риск инсульта у пациентов и может распространиться дальше на кровеносные сосуды головного мозга. Расслоение позвоночной артерии встречается реже, но также опасно по тем же причинам. Расслоение брыжеечной артерии может ограничить кровоснабжение кишечника. Расслоение почечной артерии может привести к снижению притока крови к почкам и способствовать гипертонии.[39] Расслоения периферических артерий могут наблюдаться и в других местах рук и ног. Эти расслоения могут возникать в основном из-за очаговых травм, сопутствующих сосудистых заболеваний или как продолжение более крупного, сложного расслоения аорты, которое далее проникает в эти более мелкие ветви.
Лечение расслоения зависит от нескольких факторов, включая локализацию, степень, длительность развития (острое или хроническое) и ограничение перфузии. Хирургические подходы к расслоению аорты могут включать реконструкцию аорты, хирургическое шунтирование и хирургическую фенестрацию. Как и при других артериальных заболеваниях, эндоваскулярные подходы к диссекции, такие как стентирование[40] и чрескожная фенестрация[41] могут использоваться как в качестве основного метода, так и в сочетании с хирургическим вмешательством в зависимости от сложности диссекции.
Венозный доступ
Хроническая болезнь почек (ХБП или хроническая почечная недостаточность) — это состояние, при котором происходит прогрессирующая потеря функции почек. Существует множество известных причин и факторов риска. ХБП поражает приблизительно 14 % населения мира и более 600 000 человек только в Соединенных Штатах. Существует пять признанных стадий ХБП; пятая стадия также называется терминальной стадией почечной недостаточности (ТПН) и неизменно требует той или иной формы заместительной почечной терапии .
На рубеже 20-го века прорывы в понимании физиологии почек заставили многих поверить в то, что диализ с использованием искусственных почек является потенциальным средством лечения почечных заболеваний. Спустя более 100 лет единственным доступным методом заместительной почечной терапии при ХБП является трансплантация почки. Однако многие пациенты могут жить десятилетиями, используя диализ.
Технология диализатора изначально опережала возможности врачей применять ее к пациентам. В 1920-х годах был создан первый диализный катетер с использованием тонких хрупких стеклянных трубок. Ранние методы требовали хирургического разреза для доступа к крупным сосудам, что было сопряжено с большим риском сильного кровотечения. Первый относительно постоянный и надежный доступ для диализа — тефлоновый шунт Скрибнера — был изобретен почти 40 лет спустя и позволил пациенту с почечной недостаточностью прожить еще 11 лет. По мере того, как медицина и хирургия становятся все более совершенными, в настоящее время больше пациентов живут с хроническим заболеванием почек, чем когда-либо прежде. Наиболее распространенным видом диализа в Соединенных Штатах является гемодиализ, который может проводиться через несколько типов сосудистого доступа. Предпочтительным методом является артериовенозная фистула (АВФ). Артериовенозные фистулы создаются хирургическим путем путем прямого соединения артерии и вены, чаще всего на руке. Артериовенозный трансплантат (АВТ) работает по тому же принципу, но заполняет зазор между артерией и веной с помощью медицинского протезного шунта. Со временем изменение механики потока может привести к изменениям в пораженных сосудах. Сужение сосудов, тромбоз, аневризмы и псевдоаневризмы являются частыми осложнениями, встречающимися в течение срока службы артериовенозной фистулы или артериовенозной троакарной тугоухости. Интервенционные радиологи могут использовать ангиографию для оценки этих структур (обычно называемую истулограммой) и лечить дисфункциональный доступ с помощью ангиопластики, стентирования и тромбэктомии. Большинству пациентов требуются регулярные обследования и лечение для поддержания работоспособности доступа. По возможности предпочтение отдается артериовенозным фистулярным трубкам, а не артериовенозным ангиопластикам, поскольку они вызывают относительно меньше осложнений и обеспечивают большую проходимость. Инициатива Fistula First направлена на повышение осведомленности врачей и пациентов о преимуществах первой попытки гемодиализа через фистулу.[42] Существует несколько устройств (эндо АВФ), которые используются интервенционными радиологами для чрескожного создания свищей минимально инвазивным способом.
Катетер для венозного доступа
Диализные катетеры включают временные и туннельные линии доступа к центральным венам большого диаметра, устанавливаемые для проведения гемодиализа. По возможности эти катетеры устанавливаются в правую внутреннюю яремную вену, однако также можно использовать левую внутреннюю яремную и бедренную вены. Временные диализные линии могут быть установлены, когда пациенты госпитализированы и находятся в тяжелом состоянии или подвержены высокому риску кровотечения. Постоянные катетеры для гемодиализа в целом длиннее, но один из сегментов проходит через кожу грудной клетки, что позволяет катетеру располагаться ровно и снижает риск инфицирования.
Центральный венозный доступ подразумевает установку различных внутривенных катетеров пациентам, которым требуется длительный прием определенных лекарств. Они намного меньше в диаметре, чем линии диализа, но больше и длиннее, чем стандартная внутривенная линия (IV). Примерами являются катетеры Хикмана, периферически вводимые центральные катетеры (или PICC), туннелированные центральные венозные катетеры малого диаметра и медипорты. Эти линии различаются по месту введения, но все они устанавливаются под контролем визуализации и регулируются таким образом, чтобы конец катетера находился в нижней полой вене рядом с сердцем. Эти катетеры предназначены для введения сильных лекарственных препаратов, таких как препараты для химиотерапии или длительные курсы антибиотиков, которые либо вводятся слишком часто, чтобы постоянно ставить новые капельницы, либо вызывают слишком сильное раздражение мелких вен при введении через стандартную капельницу.
↑ Uberoi, Raman.4 Imaging//Interventional radiology.— Oxford New York: Oxford University Press, 2009.— P.49–77.— ISBN 978-0-19-157556-3.
↑ Uberoi, Raman.19 Biopsy and drainage//Interventional radiology.— Oxford New York: Oxford University Press, 2009.— P.387–402.— ISBN 978-0-19-157556-3.
↑ Uberoi, Raman.7 Angioplasty and stenting//Interventional radiology.— Oxford New York: Oxford University Press, 2009.— P.123–147.— ISBN 978-0-19-157556-3.
↑ Uberoi, Raman.9 Stentgrafting//Interventional radiology.— Oxford New York: Oxford University Press, 2009.— P.171–186.— ISBN 978-0-19-157556-3.
↑ Uberoi, Raman.17 Embolization techniques//Interventional radiology.— Oxford New York: Oxford University Press, 2009.— P.341–360.— ISBN 978-0-19-157556-3.
↑ Cusumano LR, Duckwiler GR, Roberts DG, McWilliams JP (2020). Treatment of Recurrent Pulmonary Arteriovenous Malformations: Comparison of Proximal Versus Distal Embolization Technique. CardioVascular and Interventional Radiology. 43 (1): 29–36. doi:10.1007/s00270-019-02328-0. PMID31471718. S2CID201675132.
↑ Uberoi, Raman.12 Haemodialysis fistula//Interventional radiology.— Oxford New York: Oxford University Press, 2009.— P.253–268.— ISBN 978-0-19-157556-3.
↑ Keller FS, Farsad K, Rösch J (March 2016). The Transjugular Intrahepatic Portosystemic Shunt: Technique and Instruments. Techniques in Vascular and Interventional Radiology. 19 (1). Elsevier BV: 2–9. doi:10.1053/j.tvir.2016.01.001. PMID26997084.
↑ Uberoi, Raman.14 Gastro-intestinal intervention//Interventional radiology.— Oxford New York: Oxford University Press, 2009.— P.290–295.— ISBN 978-0-19-157556-3.
↑ Uberoi, Raman.18 Tumour ablation//Interventional radiology.— Oxford New York: Oxford University Press, 2009.— P.361–386.— ISBN 978-0-19-157556-3.
↑ Miller Oren F.; Kane Christopher J. (1 сентября 1999). Time to stone passage for observed ureteral calculi: a guide for patient education. Journal of Urology. 162 (3 Part 1): 688–691. doi:10.1097/00005392-199909010-00014. PMID10458343.
↑ Sountoulides, Petros; Pardalidis, Nikolaos; Sofikitis, Nikolaos (January 2010). Endourologic management of malignant ureteral obstruction: indications, results, and quality-of-life issues. Journal of Endourology. 24 (1): 129–142. doi:10.1089/end.2009.0157. ISSN1557-900X. PMID19954354.
↑ Borofsky, Michael S.; Walter, Dawn; Shah, Ojas; Goldfarb, David S.; Mues, Adam C.; Makarov, Danil V. (March 2013). Surgical decompression is associated with decreased mortality in patients with sepsis and ureteral calculi. The Journal of Urology. 189 (3): 946–951. doi:10.1016/j.juro.2012.09.088. ISSN1527-3792. PMID23017519.
↑ Abdel-Meguid, Taha A.; Al-Sayyad, Ahmad; Tayib, Abdulmalik; Farsi, Hasan M. (March 2011). Does varicocele repair improve male infertility? An evidence-based perspective from a randomized, controlled trial. European Urology. 59 (3): 455–461. doi:10.1016/j.eururo.2010.12.008. ISSN1873-7560. PMID21196073.
↑ Types of Stroke(неопр.).Center of Disease Control and Prevention.Дата обращения: 18 сентября 2020.Архивировано 27 июня 2016 года.
↑ Sabel, Michael S. (July 2014). Nonsurgical ablation of breast cancer: future options for small breast tumors. Surgical Oncology Clinics of North America. 23 (3): 593–608. doi:10.1016/j.soc.2014.03.009. ISSN1558-5042. PMID24882353.