Интерферометрия

Интерферометрия — это семейство методов, в которых складываются волны, обычно электромагнитные, вызывая явление интерференции, которое используется для извлечения информации[1]. Интерферометрия — это важный метод исследования в области астрономии, волоконной оптики, инженерной метрологии, оптической метрологии, океанографии, сейсмологии, спектроскопии (и её приложений в химии), квантовой механики, ядерной физики и физики элементарных частиц, физики плазмы, дистанционного зондирования, биомолекулярных взаимодействий, профилирование поверхности, микрогидродинамике, измерения механических напряжений/деформаций, велоциметрии и оптометрии[2]:1–2.
Интерферометры широко используются в науке и промышленности для измерения малых смещений, изменений показателя преломления и неровностей поверхности. В большинстве интерферометров свет от одного источника разделяется на два луча, которые проходят по разным оптическим путям, которые затем снова объединяются для создания интерференционной картины; тем не менее, при некоторых обстоятельствах можно создать интерференцию от двух несогласованных источников[3]. Результирующие интерференционные полосы дают информацию о разнице в оптических длин пути. В аналитической науке интерферометры используются для измерения длины и формы оптических компонент с точностью до нанометра; они являются самыми точными приборами для измерения длин. В Фурье-спектроскопии они используются для анализа света, содержащего особенности спектров поглощения или излучения, связанные с веществом или смесью. Астрономический интерферометр состоит из двух или более отдельных телескопов, которые объединяют свои сигналы, предлагая разрешение, эквивалентное разрешению телескопа диаметром, равным наибольшему расстоянию между его отдельными элементами.
Основные принципы


Интерферометрия использует принцип суперпозиции для комбинации волн таким образом, что результат будет иметь какое-то значимое свойство, которое характеризует исходное состояние волн. Это работает, потому что, когда две волны с одинаковой частотой комбинируются, результирующий характер интенсивности определяется разностью фаз между двумя исходными волнами: волны, которые находятся в фазе, будут конструктивно интерферировать, волны, которые находятся не в фазе, будут демонстрировать деструктивную интерференцию. Волны, которые не находятся полностью в фазе или не находятся в противофазе, обладают промежуточной интенсивностью, из которой можно определить их относительную разность фаз. Большинство интерферометров используют свет или какую-либо другую форму электромагнитных волн[2]:3–12.
Как правило (см. рисунок 1, известная конфигурация опыта Майкельсона) один входящий пучок когерентного света разделяется на два идентичных пучка светоделителем (частично отражающим зеркалом). Каждый из этих лучей проходит по своему пути, называемый оптическим путём, и они объединяются до прихода к фотодетектору. Разница в оптическом пути, а данном случае — разница в расстоянии, пройденном каждым лучом, создает разность фаз между ними. Именно эта появившаяся разность фаз создает интерференционную картину между первоначально идентичными волнами[2]:14–17. Если один луч разделить на два, то разность фаз является характеристикой всего, что изменяет фазу вдоль оптического пути. Это может быть физическое изменение самой длины пути или изменение показателя преломления вдоль пути:93–103.
Как видно на рисунках 2a и 2b, наблюдатель смотрит на зеркало M1, через светоделитель, и видит отраженное изображение M′2 зеркала M2. Полосы можно интерпретировать как результат интерференции между светом, исходящим от двух виртуальных изображений источника света S′1 и S′2 от исходного источника S. Характеристики интерференционной картины зависят от природы источника света и точной ориентации зеркал и светоделителя. На рисунке 2а, оптические элементы ориентированы так, что источники S′1 и S′2 находятся на одной линии с наблюдателем, и результирующая интерференционная картина состоит из окружностей, центрированных по нормали к M1 и M'2. Если, как на рисунке 2b, М1 и М′ наклонены по отношению друг к другу, то интерференционные полосы, как правило, принимают форму конических сечений (гиперболы), но если M′1 и M′2 перекрываются, то интерференционные полосы вблизи оси будут равноотстоящими параллельными прямыми. Для точечного источника или аналогично с телескопом, установленным на бесконечности интерференционная картина показана на рисунке 2a, но если S не является точечным источником, то полосы (см. рисунок 2b) будут локализованы на зеркалах[2]:17.
Использование белого света приведет к образованию узора из цветных полос (см. рисунок 3)[2]:26. Центральная полоса, представляющая равную длину пути, может быть как светлой так и темной в зависимости от количества фазовых инверсий, испытываемых двумя лучами при прохождении через оптическую систему.:26,171–172 (См. интерферометр Майкельсона для подробностей)
Классификация
Интерферометры и интерферометрические методы можно разделить по ряду критериев:
Гомодинное или гетеродинное детектирование
При гомодинном детектировании интерференция возникает между двумя лучами с одной длиной волны (или несущей частоте). Разность фаз между двумя лучами приводит к изменению интенсивности света на детекторе. Измеряется результирующая интенсивность света после смешивания этих двух лучей, или просматривается/записывается картина интерференционных полос[4]. Большинство интерферометров, обсуждаемых в этой статье, попадают в эту категорию.
Гетеродинирование используется для смещения входного сигнала в новый частотный диапазон, а также для усиления слабого входного сигнала (при условии использования активного смесителя). Слабый входной сигнал частоты F1, смешивают с сильной опорной частотой F2 от локального генератора (LO). Нелинейная комбинация входных сигналов создает два новых сигнала, один для суммы f1 + f2 из двух частот, а другой для их разности f1 — f2 . Эти новые частоты называются «гетеродинными». Обычно требуется только одна из новых частот, а другой сигнал отфильтровывается с выхода смесителя. Выходной сигнал обладает интенсивностью, пропорциональной произведению амплитуд входных сигналов[4].
Наиболее важным и широко используемым применением гетеродинной техники является супергетеродинный приемник (супергетеродин), изобретенный американским инженером Эдвином Говардом Армстронгом в 1918 году. В этой схеме входящий радиочастотный сигнал от антенны смешивается с сигналом от локального генератора (LO) и преобразуется методом гетеродина в сигнал с более низкой фиксированной частотой, называемый промежуточной частотой (ПЧ). Эта ПЧ усиливается и фильтруется перед детектором, который извлекает аудиосигнал, отправляя его на громкоговоритель[5].
- Оптическое гетеродинное обнаружение является расширением гетеродинного метода для более высоких (видимых) частот[4].
Хотя оптическая гетеродинная интерферометрия обычно выполняется в одной точке, также возможно выполнить её в широком поле[6] .
Двойной и общий оптические пути

Двухлучевой интерферометр — это тот, в котором опорный луч и измерительный луч проходят вдоль разных оптических путей. Примерами могут служить интерферометр Майкельсона, интерферометр Тваймана — Грина и интерферометр Маха — Цендера. После взаимодействия с исследуемым образцом, измерительный луч объединяется с опорным лучом для создания интерференционной картины, которую затем можно интерпретировать[2]:13–22.
Интерферометр с общим оптическим путем — это класс интерферометров, в котором опорный луч и измерительный луч проходят по одной и той же траектории. Рис. 4 иллюстрирует интерферометр Саньяка, волоконно-оптический гироскоп, точечный дифракционный интерферометр и интерферометр бокового сдвига. Другие примеры интерферометров общего пути включают фазово-контрастный микроскоп Цернике, бипризму Френеля, интерферометр «Саньяка с нулевой площадью» и интерферометр с рассеивающей пластиной[7].
Расщепление волнового фронта и амплитудное расщепление
Интерферометр расщепления волнового фронта разделяет световой волновой фронт, выходящий из точки или узкой щели (то есть, пространственно-когерентного света), и, после того как две части волнового фронта проходят через разные пути, позволяет им объединиться. Рис. 5 иллюстрирует интерференционный эксперимент Юнга и зеркало Ллойда. Другими примерами интерферометра расщепления волнового фронта являются бипризма Френеля, би-линза Биллета и интерферометр Рэлея[8].

В 1803 году интерференционный эксперимент Юнга сыграл важную роль во всеобщем признании волновой теории света. Если в эксперименте Юнга используется белый свет, то получается белая центральная полоса конструктивной интерференции, соответствующая равной длине пути от двух щелей, окруженная симметричным рисунком из цветных полос с уменьшающейся интенсивностью. В дополнение к непрерывному электромагнитному излучению эксперимент Юнга был проведен с отдельными фотонами[9], с электронами[10][11] и с молекулами фуллеренов, достаточно большими, чтобы их можно было увидеть под электронным микроскопом.
Зеркало Ллойда генерирует интерференционные полосы, комбинируя прямой свет от источника (синие линии) и свет от отраженного изображения источника (красные линии) от зеркала, удерживаемого при малых углах падении. В результате получается асимметричный рисунок полос. Ближайшая к зеркалу полоса равной длины оптического пути скорее темная, чем яркая. В 1834 году Хэмфри Ллойд интерпретировал этот эффект как доказательство того, что фаза отраженного луча от лицевой поверхности инвертирована[12].
Интерферометр амплитудного расщепления использует частичный отражатель для разделения амплитуды падающей волны на отдельные пучки, которые разделяются и объединяются. Рис. 6 иллюстрирует интерферометры Физо, Маха — Цендера и Фабри -Перо. Другие примеры интерферометра с расщеплением амплитуды включают интерферометр Майкельсона, Тваймана — Грина, лазерный неравномерный путь и интерферометр Линника[13].

Оптическая схема интерферометра Физо, для проверки плоскопараллельной пластины показана на рис. 6. Откалиброванная контрольная плоскопараллельная пластина помещается сверху тестируемой пластины, разделенной узким зазором. Базовая плоскость тестируемой пластины слегка скошена (необходима только небольшая часть скоса), чтобы предотвратить образование интерференционных полос на задней поверхности пластины. Разделение контрольной и тестируемой пластин позволяет наклонить их по отношению друг к другу. Регулируя наклон, который добавляет управляемый фазовый градиент к рисунку полос, можно управлять расстоянием и направлением полос, чтобы можно было получить легко интерпретируемый ряд почти параллельных полос, а не сложные завихрения контурных линий. Однако разделение пластин требует коллимирования падающего света. Рис. 6 показывает коллимированный луч монохроматического света, освещающий обе пластины, и светоделитель, позволяющий рассматривать полосы на оси[14][15].
Интерферометр Маха — Цендера является более универсальным прибором, чем интерферометр Майкельсона. Каждый из лучей проходит достаточно разделенные оптические пути только один раз, и полосы можно отрегулировать так, чтобы они были локализованы в любой желаемой плоскости[2]:18. Как правило, полосы будут отрегулированы так, чтобы они лежали в той же плоскости, что и тестовый объект, вследствие чего полосы и тестовый объект возможно сфотографировать вместе. Если будет принято решение создавать полосы в белом свете, то, поскольку белый свет имеет ограниченную длину когерентности, порядка микрометров, необходимо соблюдать большую осторожность, чтобы выровнять оптические пути, иначе полосы не будут видны. Как показано на рис. 6, компенсирующие ячейки будут размещены на пути опорного луча, чтобы соответствовать тестируемой клетке. Обратите внимание также на точную ориентацию светоделителей. Отражающие поверхности светоделителей должны быть ориентированы так, чтобы тестовый и опорный лучи проходили через одинаковые толщины стекла. При такой ориентации каждый из двух лучей испытывает два отражения от лицевой поверхности, что соответствует одинаковому числу инверсий фазы. В результате свет, проходящий одинаковые длины оптических путей в тестовом и опорных путях, создает полосу белого света с конструктивной интерференцией на экране[16][17].
Сердцем интерферометра Фабри — Перо является пара частично посеребренных стеклянных оптических плоскостей, расположенных на расстоянии от нескольких миллиметров до нескольких сантиметров друг от друга, причем посеребренные поверхности обращены друг к другу. (В качестве альтернативы в «эталоне» Фабри — Перо используется прозрачная пластина с двумя параллельными отражающими поверхностями.) :35–36 Как и в случае интерферометра Физо, плоскости слегка скошены. В типичной системе освещение обеспечивается диффузным источником, установленным в фокальной плоскости коллимирующей линзы. Фокусирующая линза создает то, что было бы инвертированным изображением источника, если бы не было плоскопараллельных пластин; то есть, при их отсутствии весь свет, излучаемый из точки А, проходящий через оптическую систему, будет фокусироваться в точке А'. На рис. 6, отслеживается только один луч, испускаемый из точки А на источнике. Когда луч проходит через плоскопараллельных пластины, он многократно отражается, создавая множество проходящих лучей, которые собираются фокусирующей линзой и формируют изображение в точке A' на экране. Полная интерференционная картина выглядит как набор концентрических колец. Чёткость колец зависит от отражательной способности поверхностей. Если отражательная способность высока, что приводит к высокому коэффициенту добротности, монохроматический свет создает набор узких ярких колец на темном фоне[18]. На рис. 6, изображение с низкой чёткостью соответствует отражательной способности 0,04 (то есть, не посеребренной поверхности) и отражающей способности 0,95 для изображения с высокой чёткостью.
Майкельсон и Морли (1887)[19] и другие ранние экспериментаторы, использующие интерферометрические методы в попытке измерить свойства светоносного эфира, использовали монохроматический свет только для первоначальной настройки своего оборудования, всегда переключаясь на белый свет для реальных измерений. Причина в том, что измерения были записаны визуально. Монохроматический свет привел бы к однородным полосам. Не имея современных средств контроля температуры окружающей среды, экспериментаторы боролись с постоянным дрейфом, даже если интерферометр был установлен в подвале. Поскольку полосы иногда исчезают из-за вибраций при прохождении конного транспорта, отдаленных гроз и тому подобного, наблюдателю будет легко «потеряться», когда полосы снова станут видимы. Преимущества белого света, который давал отчетливый цветной рисунок полос, значительно перевешивали трудности при настройке устройства из-за его низкой длины когерентности[20]. Это был ранний пример использования белого света для разрешения «2 пи неопределённости».
Приложения
Физика и астрономия
В физике одним из самых значительных в конце 19-го века был знаменитый «неудачный эксперимент» Майкельсона и Морли, которые представили доказательства специальной теории относительности. Современные реализации эксперимента Майкельсона — Морли проводят помощью гетеродинных измерений частот биений в скрещенных криогенных оптических резонаторах. Рис. 7 иллюстрирует эксперимент с резонатором, выполненный Мюллером с соавторами в 2003 году[21]. Два оптических резонатора, сделанных из кристаллического сапфира, контролирующих частоты двух лазеров, были установлены под прямым углом в гелиевом криостате. Частотный компаратор измерял частоту биений объединённых выходных сигналов из двух резонаторов. На 2009 точность измерений анизотропии скорости света в экспериментах с резонаторами, находится на уровне 10−17[22][23].
1 - Источник белого света или исследуемый источник; 2 - Линза коллиматора; 3 - Кювета с исследуемым веществом; 4 - Опорный (эталонный) лазер; 5 - Вспомогательные зеркала опорного пучка от лазера; 6 - Фотоприёмник опорного пучка; 7 - Неподвижное зеркало; 8 - Подвижное зеркало; 9 - Механический привод подвижного зеркала; 10 - Объектив фотоприёмника; 11 - Фотоприёмник; 12 - Управляющий и обрабатывающий интерферограмму компьютер; 13 - Светоделительная пластинка.
Интерферометры Майкельсона используются в перестраиваемых узкополосных оптических фильтрах[24] и в качестве основного аппаратного компонента Фурье-спектрометров[25].
При использовании в качестве перестраиваемого узкополосного фильтра интерферометры Майкельсона обладают рядом преимуществ и недостатков по сравнению с конкурирующими технологиями, такими как интерферометры Фабри — Перо или фильтры Лиота. Интерферометры Майкельсона имеют наибольшее поле зрения для заданной длины волны и относительно просты в эксплуатации, поскольку настройка осуществляется с помощью механического вращения волновых пластин, а не с помощью высоковольтного управления пьезоэлектрическими кристаллами или оптическими модуляторами на основе ниобата лития, которые используются в системе Фабри — Перо. По сравнению с фильтрами Лиота, в которых используются двулучепреломляющие элементы, интерферометры Майкельсона обладают относительно низкой температурной чувствительностью. С другой стороны, интерферометры Майкельсона имеют относительно ограниченный диапазон длин волн и требуют использования предварительных фильтров, которые ограничивают коэффициент пропускания[26].
Рис. 8 иллюстрирует работу Фурье-спектрометра, который по существу является интерферометром Майкельсона с одним подвижным зеркалом. Интерферограмма генерируется путем измерения сигнала во многих дискретных положениях движущегося зеркала. Преобразование Фурье конвертирует интерферограмму в реальный спектр[27].
Тонкопленочные эталоны Фабри — Перо используются в узкополосных фильтрах, способных селективно выбирать одну спектральную линию для формирования изображения; например, линия H-альфа или линия Ca-K Солнца или звезд. Рис. 10 показывает изображение Солнца в экстремальном ультрафиолетовом диапазоне при длине волны 195 А, соответствующий спектральной линии многоионизованных атомов железа[28]. Для экстремального ультрафиолетового диапазона используется отражающие зеркала с многослойным покрытием, которые покрыты чередующимися слоями легкого элемента «спейсера» (такого как кремний) и тяжелого элемента «рассеивателя» (такого как молибден). Приблизительно 100 слоев каждого типа размещены на каждом зеркале, толщиной около 10 нм каждый. Толщина слоя строго контролируется, так что на желаемой длине волны отраженные фотоны от каждого слоя конструктивно интерферировали.
Лазерная интерферометрическая гравитационно-волновая обсерватория (LIGO) использует два 4-километровых интерферометра Майкельсона — Фабри — Перо для обнаружения гравитационных волн[29]. Резонатор Фабри — Перо используется для хранения фотонов в течение почти миллисекунды, пока они отражаются между зеркалами. Это увеличивает время, когда гравитационная волна может взаимодействовать со светом, что приводит к лучшей чувствительности на низких частотах. Меньшие полости, обычно называемые очистителями мод, используются для пространственной фильтрации и стабилизации частоты основного лазера. Первое наблюдение гравитационных волн произошло 14 сентября 2015 года[30].
Относительно большое и свободно доступное рабочее пространство в интерферометре Маха — Цендера, а также его гибкость в расположении полос, сделали его предпочтительным интерферометром для визуализации потока в аэродинамических трубах[31][32] и для исследования визуализации потоков в целом. Он часто используется в таких областях как аэродинамика, физика плазмы и теплообмена и для измерения вариаций давления, плотности и температуры в газах. :18,93–95
Интерферометры Маха — Цендера также используются для изучения одного из самых противоречащих интуиции предсказаний квантовой механики, явления, известного как квантовая запутанность[33][34].

Астрономический интерферометр выполняет наблюдения с высоким разрешением, используя технику апертурного синтеза, смешивая сигналы от скопления сравнительно небольших телескопов, а не от одного очень дорогого монолитного телескопа[35].
Ранние радиотелескопические интерферометры использовали единую базовую линию для измерения. Более поздние астрономические интерферометры, такие как «Очень Большая Антенная Решётка», изображённый на Рис. 11, использовались массивы телескопов, расположенные по шаблону на земле. Ограниченное количество базовых уровней приводит к недостаточному охвату, что оказалось менее критично благодаря использованию вращения Земли для вращения массива телескопов относительно неба. Таким образом, одна базовая линия может измерять информацию в нескольких ориентациях путем проведения повторных измерений, с использованием методики, называемой «синтезом вращения Земли». Исходные данные базовой длиной в тысячи километров получены с использованием интерферометрии с очень длинной базовой линией[35].

Астрономическая оптическая интерферометрия должна была преодолеть ряд технических проблем, которыми не обладала радиоинтерферометрия. Короткие волны света требуют чрезвычайной точности и стабильности конструкции. Например, пространственное разрешение в 1 миллисекунду требует стабильности около 0,5 мкм на 100 м базы. Оптические интерферометрические измерения требуют использования высокочувствительных детекторов с низким уровнем шума, которые не были доступны до конца 1990-х годов. Астрономическая видимость, турбулентность, которая вызывает мерцание звезд, приводит к быстрым, случайным изменениям фазы во входящем свете, требуя, чтобы скорость сбора данных в килогерцах была выше скорости турбулентности[37][38]. Несмотря на эти технические трудности, в настоящее время работает около десятка астрономических оптических интерферометров, обеспечивающих разрешение вплоть до дробного миллисекундного диапазона дуги. Это связанное видео показывает фильм, собранный из изображений используя апертурный синтез для системы Бета-Лиры — двойной звездной системы, расположенной на расстоянии примерно 960 световых лет (290 парсек) в созвездии Лиры. Наблюдения проводились с помощью матрицы CHARA инструмента MIRC. Более ярким компонентом является первичная звезда или донор массы. Более слабый компонент — это толстый диск, окружающий вторичную звезду, или получатель массы. Две компонента разделены расстоянием около 1 угловых миллисекунд. Четко видны приливные искажения массового донора и получателя массы[39].
Волновой характер вещества можно использовать для создания интерферометров. Первыми примерами материальных интерферометров были электронные интерферометры, за которыми следовали нейтронные интерферометры. Примерно в 1990 году были продемонстрированы первые атомные интерферометры, а затем — интерферометры с использованием молекул[40][41][42].
Электронная голография — это метод визуализации, который фотографически записывает электронную интерференционную картину объекта, которая затем реконструируется для получения сильно увеличенного изображения исходного объекта[43]. Этот метод был разработан для обеспечения более высокого разрешения в электронной микроскопии, чем это возможно при использовании традиционных методов визуализации. Разрешение обычной электронной микроскопии не ограничено длиной волны электрона, а большими аберрациями электронных линз.
Нейтронная интерферометрия использовалась для исследования эффекта Ааронова — Бома, для изучения эффектов гравитации, воздействующих на элементарную частицу, и для демонстрации странного поведения фермионов, лежащего в основе принципа Паули: в отличие от макроскопических объектов, когда фермионы повернуты на 360 ° вокруг любой оси, они не возвращаются в исходное состояние, но приобретают знак минус в своей волновой функции. Другими словами, фермион необходимо повернуть на 720 °, прежде чем вернуться в исходное состояние[44].
Методы атомной интерферометрии достигают достаточной точности для проведения лабораторных тестов общей теории относительности[45].
Интерферометры используются в физике атмосферы для высокоточных измерений следовых концентраций газов посредством дистанционного зондирования атмосферы. Есть несколько примеров интерферометров, которые используют либо характеристики поглощения, либо излучение газов. Из типичных применений следует упомянуть постоянный мониторинг распределения по высоте следовых концентраций газов над прибором, таких как озон и окись углерода[46].
Инженерные и прикладные науки


Интерферометрия Ньютона (тестовая пластина) часто используется в оптической промышленности для проверки качества поверхностей. На рис. 13 показаны фотографии эталонных пластин, используемых для проверки двух тестовых пластин в процессе изготовления на разных стадиях завершения, на которых показаны различные схемы интерференционных полос. Эталонные и тестируемая пластины опираются своими поверхностями и освещаются монохроматическим источником света. Отраженные от обеих поверхностей световые волны интерферируют, образуя узор из ярких и темных полос. Поверхность на левой фотографии почти плоская, обозначается рисунком прямых параллельных интерференционных полос через равные промежутки времени. Поверхность на правой фотографии неровная, в результате чего образуется узор из изогнутых полос. Каждая пара соседних полос представляет собой разницу в высоте поверхности на половину длины волны используемого света, поэтому различия в высоте могут быть измерены путем подсчета количества полос. Плоскостность поверхностей измеряется до миллионных долей сантиметра с помощью этого метода. Для определения того, является ли испытываемая поверхность вогнутой или выпуклой по отношению к эталонной оптической плоскости, применяется несколько процедур. Можно наблюдать, как края смещаются, когда кто-то мягко нажимает на верхнюю плоскость. Если вы наблюдаете полосы в белом свете, последовательность цветов становится узнаваемой с опытом и помогает в интерпретации картины. Наконец, можно сравнить внешний вид полос при перемещении головы из нормального положения в наклонное. Эти способы, хотя и распространены в оптическом магазине, но не подходят в формальной среде тестирования. Когда пластины будут готовы к продаже, они, как правило, устанавливаются в интерферометре Физо для официального тестирования и сертификации.
Эталоны Фабри — Перо широко используются в телекоммуникации, лазерах и спектроскопии для контроля и измерения длин волн света. Интерференционные светофильтры представляют собой многослойные тонкопленочные эталоны. В телекоммуникациях, спектральное уплотнение каналов, технология, которая позволяет использовать несколько длин волн света через одно оптическое волокно, зависит от фильтрующих устройств, которые представляют собой тонкопленочные эталоны. Одномодовые лазеры используют эталоны для подавления всех мод оптического резонатора, кроме одной, представляющей интерес[2]:42.

Интерферометр Тваймана — Грина, изобретенный Твайманом и Грином в 1916 году, является вариантом интерферометра Майкельсона, широко используемого для тестирования оптических компонентов. Основными характеристиками, отличающими его от конфигурации Майкельсона, являются использование монохроматического точечного источника света и коллиматора. Майкельсон в 1918 году критиковал конфигурацию интерферометра Тваймана — Грина как неподходящую для тестирования больших оптических деталей, поскольку доступные в то время источники света имели ограниченную длину когерентности. Майкельсон отметил, что ограничения на размеры тестируемых оптических деталей, вызванные ограниченной длиной когерентности, требуют использования контрольного зеркала такого же размера, что и тестовое зеркало, что делает схему Тваймана — Грина непрактичной для многих целей[47]. Десятилетия спустя, с появлением лазерных источников света критика Майкельсона потеряла актуальность. Теперь интерферометр Тваймана — Грина, использующий лазерный источник света и неравную длину оптического пути, известен как лазерный интерферометр с неравными оптическими путями. Рисунок 14 иллюстрирует использование интерферометра Тваймана — Грина для тестирования линзы. Свет от монохроматического точечного источника расширяется в расходящийся пучок рассеивающей линзой (на рисунке не показана), а затем коллимируется в параллельный пучок. Выпуклое сферическое зеркало расположено так, чтобы его центр кривизны совпадал с фокусом тестируемой линзы. Интерференция двух пучков — прошедшего через тестируемую линзу и отражённого от плоского зеркала регистрируется системой визуализации для анализа дефектов тестируемой линзы[48].
Интерферометры Маха — Цендера используются в интегральных оптических схемах, в которых интерференция света происходит между лучами из двух ветвей волновода, которые модулируются извне для изменения их относительной фазы. Небольшой наклон одного из светоделителей приведет к разнице в пути и изменению интерференционной картины. На основе интерферометра Маха — Цендера создано множество устройств, от радиочастотных модуляторов до датчиков[49][50] и оптических переключателей[51].
Последние предложенные чрезвычайно большие астрономические телескопы, такие как тридцатиметровый телескоп и чрезвычайно большой телескоп, будут иметь сегментированный конструкцию. Их основные зеркала будут построены из сотен шестиугольных зеркальных сегментов. Полировка и обработка этих сильно асферических, а не вращательно-симметричных зеркальных сегментов представляет собой сложную задачу. Традиционные средства оптического тестирования сравнивают поверхность со сферическим эталоном с помощью нулевого корректора. В последние годы рассчитанные компьютером голограммы начали дополнять нулевые корректоры в тестовых установках для сложных асферических поверхностей. Рисунок 15 иллюстрирует этот принцип. В отличие от рисунка, фактические рассчитанные компьютером голограммы имеют межштриховой интервал от 1 до 10 мкм. Когда лазерный свет проходит через них, дифрагированный пучок волнового фронта нулевого порядка не подвергается изменению. Однако волновой фронт дифрагированного луча первого порядка изменяется в соответствии с желаемой формой тестируемой поверхности. В этой испытательной установке интерферометра Физо дифрагированный луч нулевого порядка направлен к сферической эталонной поверхности, а дифрагированный луч первого порядка направлен к тестовой поверхности таким образом, что два отраженных луча объединяются, образуя интерференционные полосы. Для самых внутренних зеркал можно использовать ту же тестовую установку, что и для самых внешних, при этом требуется только замена рассчитанных компьютером голограмм[52].

Кольцевые лазерные гироскопы (RLG) и волоконно-оптические гироскопы (FOG) — это интерферометры, используемые в навигационных системах. Их работа основывается на эффекте Саньяка. Различие между RLG и FOG состоит в том, что в RLG все кольцо является частью лазера, в то время как в FOG внешний лазер вводит распространяющиеся навстречу лучи в кольцо оптического волокна, и вращение системы затем вызывает относительный фазовый сдвиг между этими лучами. В RLG наблюдаемый фазовый сдвиг пропорционален накопленному вращению, в то время как в FOG наблюдаемый фазовый сдвиг пропорционален угловой скорости[53].
В телекоммуникационных сетях гетеродинирование используется для перемещения частот отдельных сигналов в разные каналы, которые могут использовать одну физическую линию передачи совместно. Это называется мультиплексированием с частотным разделением (FDM). Например, коаксиальный кабель, используемый системой кабельного телевидения, может одновременно передавать 500 телевизионных каналов, поскольку каждый из них имеет разную частоту, поэтому они не мешают друг другу. Доплеровские радарные детекторы с непрерывной волной (CW) — это в основном гетеродинные детекторные устройства, которые сравнивают проходящий и отраженный лучи[54].
Оптическое гетеродинное детектирование используется для когерентных доплеровских лидарных измерений, способных обнаруживать очень слабый свет, рассеянный в атмосфере и отслеживать с высокой точностью скорости ветра. Он применяется в оптоволоконной связи, в различных спектроскопических методах высокого разрешения, а самогетеродинный метод можно использовать для измерения ширины линии лазера[4][55].

Оптическое гетеродинное детектирование — это важный метод, используемый для высокоточных измерений частот оптических источников, а также для стабилизации их частот. Ещё несколько лет назад, для соединения микроволновой частоты цезия или другого атомного источника времени с оптическими частотами требовались длинные цепочки частот. На каждом шаге цепочки умножитель частоты использовался для создания гармоники частоты, которая сравнивалась путем гетеродинного детектирования на следующем шаге (выходной сигнал микроволнового источника, дальнего инфракрасного лазера, инфракрасного лазера, или оптического лазера). Каждое измерение одной спектральной линии требовало нескольких лет усилий для построения пользовательской цепочки частот. В настоящее время оптические частотные гребенки обеспечивают гораздо более простой способ измерения оптических частот. Если лазер с синхронизацией мод модулируется для формирования последовательности импульсов, его спектр состоит из несущей частоты, окруженной близко расположенным гребнем оптических боковых частот с расстоянием, равным частоте повторения импульсов (рис. 16). Частота повторения импульсов привязана к частоте стандарта частоты, а частоты гребенчатых элементов на красной границе спектра удваиваются и гетеродинируются с частотами гребенчатых элементов на синей границе спектра, что позволяет использовать гребенку как свой собственный эталон. Таким образом, привязка вывода частотного гребня к атомному стандарту выполняется за один шаг. Чтобы измерить неизвестную частоту, выходной сигнал частотного гребня рассредоточен по спектру. Неизвестная частота перекрывается с соответствующим спектральным сегментом гребенки и измеряется частота результирующих гетеродинных биений[56][57].
Одним из наиболее распространенных промышленных применений оптической интерферометрии является универсальный измерительный инструмент для высокоточного исследования топографии поверхности. Популярные методы интерферометрических измерений включают фазово-сдвиговую интерферометрию (ФСИ)[58] и вертикальную сканирующую интерферометрию (VSI)[59], также известную как сканирующая интерферометрия белого света (SWLI) или по ISO терминологии когерентно-сканирующая интерферометрия (CSI)[60]. CSI использует когерентность для расширения спектра возможностей интерференционной микроскопии[61][62]. Эти методы широко используются в производстве микроэлектроники и в микрооптике. ФСИ использует монохроматический свет и обеспечивает очень точные измерения; однако её используют только для очень гладких поверхностей. CSI часто использует белый свет и высокие числовые апертуры, и вместо того, чтобы смотреть на фазу полос, как это делается в ФСИ, она находит лучшее положение полосы максимального контраста или какую-то другую особенность всего изображения. В своей простейшей форме CSI обеспечивает менее точные измерения, чем ФСИ, но может использоваться на неровных поверхностях. Некоторые конфигурации CSI, иначе известные как улучшенная VSI (EVSI), SWLI высокого разрешения или анализ частотной области (FDA), используют эффекты когерентности в сочетании с интерференционной фазой для повышения точности[63][64].

Фазовая интерферометрия решает несколько вопросов, связанных с классическим анализом статических интерферограмм. Классически, измеряется положение центров периферийных полос. Как видно на Рис. 13, нарушение прямоты полос и равные промежутки обеспечивают измерение аберрации. Ошибки в определении местоположения центров полос обеспечивают неотъемлемый предел точности классического анализа, и любые изменения интенсивности на интерферограмме также будут увеличивать ошибку. Существует компромисс между точностью и количеством точек данных: близко расположенные полосы обеспечивают много точек данных с низкой точностью, в то время как широко расположенные полосы обеспечивают малое количество точек данных с высокой точностью. Поскольку данные о пограничных полосах — это все, что используется в классическом анализе, вся остальная информация, которая теоретически может быть получена путем детального анализа вариаций интенсивности в интерферограмме, отбрасывается[65][66]. Наконец, для статических интерферограммам необходима дополнительная информация для определения полярности волнового фронта: на рис. 13 видно, что испытуемая поверхность справа отклоняется от плоскости, но по этому единственному изображению нельзя определить, является ли это отклонение от плоскости вогнутым или выпуклым. Традиционно эта информация получается с помощью неавтоматизированных средств, таких как наблюдение за направлением, в котором перемещаются полосы при нажатии на опорную поверхность[67].
Интерферометрия с фазовым сдвигом преодолевает эти ограничения, полагаясь не на обнаружение центров полос, а на сбор данных об интенсивности в каждой точке изображения снятого с помощью ПЗС. Как видно на рис. 17, несколько интерферограмм (по крайней мере, три) анализируют с эталонной оптической поверхностью, сдвинутой на дробную часть от длины волны между каждой экспозицией с использованием пьезоэлектрического преобразователя. Альтернативно, точные фазовые сдвиги вводятся путем модуляции частоты лазера[68]. Захваченные изображения обрабатываются компьютером для расчета ошибок оптического волнового фронта. Точность и воспроизводимость ФСИ намного выше, чем возможно при статическом анализе интерферограммы, причем обычной практикой является повторяемость измерений для сотой части длины волны[65][66]. Технология фазового сдвига была адаптирована для различных типов интерферометров, таких как интерферометров Тваймана — Грина, Маха — Цендера, лазерного Физо и даже для конфигураций с общими траекториями, такими как точечных дифракционных и интерферометров бокового сдвига[67][69]. В более общем смысле, методы фазового сдвига можно адаптировать практически к любой системе, в которой для измерения используются полосы, такие как голографическая и спекл-интерферометрия.


В когерентной сканирующей интерферометрии (КСИ)[70] интерференция достигается только тогда, когда задержки по длине пути интерферометра согласованы в пределах времени когерентности источника света. В КСИ контролируется контраст полос, а не фаза полос[2]:105. Рис. 17 иллюстрирует микроскоп КСИ с использованием интерферометра Мирау в объективе. Другие виды интерферометра, использующих белый свет включают интерферометр Майкельсона (для объективов с малым увеличением, где эталонное зеркало в объективе Мирау будет перекрывать слишком большую часть апертуры) и интерферометр Линника (для объективов с большим увеличением и с ограниченным рабочим расстоянием)[71]. Образец или объектив перемещается вертикально по всему диапазону высоты образца, и для каждого пикселя определяется положение максимальной контрастности полосы[61][72]. Главным преимуществом интерферометрии с когерентным сканированием является то, что её можно разработать системы, в которых устраненна 2π-неоднозначность когерентной интерферометрии[73][74][75], и, как видно на рис. 18, где сканируется область 180x140x10 мкм, она хорошо подходит для профилирования ступеней по высоте и шероховатых поверхностей. Осевое разрешение системы частично определяется длиной когерентности источника света[76][77]. Промышленные применения включают контроль поверхности в процессе изготовления, измерение шероховатости, трехмерное профилирование поверхности в труднодоступных местах и в агрессивных средах, профилирование поверхностей с большой разностью высот (канавки, каналы, отверстия) и измерение толщины пленки (в полупроводниковой и оптическая промышленности и др.)[78][79].
Рис. 19 иллюстрирует интерферометр Тваймана — Грина для сканирования профиля макроскопического объекта с использованием белого света.
Голографическая интерферометрия — это метод, который использует голографию для обнаружения небольших деформаций с использованием одной длины волны. В многоволновых реализациях он используется для размерной метрологии крупных деталей и сборок и для обнаружения более крупных поверхностных дефектов[2]:111–120.
Голографическую интерферометрию открыли случайно из-за ошибок, допущенных при изготовлении голограмм. Ранние лазеры были относительно маломощными, а фотографические пластинки имели низкую чувствительность, что требовало длительной экспозиции, во время которой в оптической системе могли возникнуть вибрации или незначительные смещения. Результирующие голограммы, на которых изображен голографический объект, покрытый полосами, считались бракованными[80].
В конце концов, несколько независимых групп экспериментаторов в середине 60-х поняли, что полосы закодировали важную информацию об изменениях размеров, происходящих с объектом, и начали намеренно производить голографические двойные экспозиции[81].
Двойная и многоэкспозиционная голография — один из трёх методов, используемых для получения голографических интерферограмм. Первая экспозиция записывает голограмму объекта без механического напряжения. Последующие экспонирования на той же фотографической пластине производятся, когда объект подвергается некоторому напряжению. Комбинированное изображение показывает разницу между напряженным и ненапряженным состояниями[82].
Голография в реальном времени — это второй метод создания голографических интерферограмм. Создаётся голограмма ненагруженного предмета. Эта голограмма освещается опорным лучом, чтобы получить голографическое изображение объекта, непосредственно наложенного на сам исходный объект, во время некоторого напряжения объекта. Лучи от голограммы объекта интерферируют с новым волнам, исходящим от объекта. Этот метод позволяет в реальном времени отслеживать изменения формы[82].
Третий метод, усреднённая по времени голография, это получение голограммы периодически нагружаемого или вибрирующего объекта. Этот метода позволяет визуализировать вибрации[82].
Рисунок 20. Изображение InSAR на Килауэа, Гавайи, на котором видны полосы, вызванные деформацией местности в течение шестимесячного периода
Рисунок 21. Поля ESPI, показывающие режим вибрации закрепленной квадратной пластины
Интерферометрический радар с синтезированной апертурой (InSAR) — это радиолокационный метод, используемая в геодезии и дистанционном зондировании. Спутниковые радиолокационные изображения с синтезированной апертурой географического объекта снимаются в разные дни, а изменения, которые имели место между радиолокационными изображениями, полученными в разные дни, фиксируются в виде полос, аналогичных тем, которые получены при голографической интерферометрии. Этим методом можно измерять деформации земной поверхности в сантиметровом и миллиметровом масштабах возникающих в результате землетрясений, извержений вулканов и оползней, а также применять его в архитектурной инженерии, в частности, для изучения оседания и структурной устойчивости. Рис. 20 показывает Килауэа, действующий вулкан на Гавайях. Данные, полученные с помощью радиолокатора с синтезированной апертурой X-диапазона Endeavour 13 апреля 1994 г. и 4 октября 1994 г., использовались для создания интерферометрических полос, которые были наложены на изображение Килауэа в X-SAR[83].
Электронная спекл-интерферометрия (ESPI), также известная как телевизионная голография, использует детектирование и запись видео для получения изображения объекта, на которое накладывается рисунок с полосами, представляющий собой смещение объекта между записями (см. рис. 21). Полосы аналогичны тем, которые получают в голографической интерферометрии[2]:111–120[84].
Когда были изобретены лазеры, лазерные спеклы считались серьёзным недостатком при использовании лазеров для освещения объектов, особенно в голографической визуализации из-за полученного крапчатости изображения, вызванную когерентностью, так называемые спеклы. Позже стало понятно, что узоры спеклов могут нести информацию о деформациях поверхности объекта. Баттерс и Леендерц разработали технику спекл-интерферометрии в 1970 году[85], и с тех пор спеклы использовались в ряде других приложений. Пусть первая фотография спекла сделана до деформации, а вторая фотография — сделана после деформации. Цифровое вычитание этих двух изображений приводит к корреляционному паттерну из полос, где полосы представляют собой линии равной деформации. Короткие лазерные импульсы в наносекундном диапазоне используются для захвата очень быстрых переходных процессов. Существует фазовая проблема: в отсутствие другой информации невозможно определить разницу между контурными линиями, указывающими пик как функцию контурных линий, указывающих впадины. Чтобы решить проблему фазовой неоднозначности, ESPI объединяют с методами фазового сдвига[86][87].
Метод установления точных геодезических линий, изобретенный Ирьё Вяйсяля, использовал низкую когерентную длину белого света. Первоначально белый свет был разделен на две части, при этом опорный луч «свертывался» шесть раз, отражаясь назад и вперед между зеркальной парой, разнесенной на расстояние в 1 м друг от друга. Только если тестовый путь был точно в 6 раз больше, то опорный путь оказался бы виден с полосами. Повторные применения этой процедуры позволили точно измерить расстояния до 864 метров. Установленные таким образом исходные данные использовались для калибровки оборудования, для измерения геодезических расстояний, что привело к метрологически прослеживаемой шкале для геодезических сетей, измеренных этими приборами[88]. (Этот метод был заменен GPS.)
Другие применения интерферометров включают изучение дисперсии материалов, измерения комплексных показателей преломления и тепловых свойств. Они также используются для трехмерного картирования движения, включая картирование колебательных структур конструкций[63].
Биология и медицина
Оптическая интерферометрия, применяемая в биологии и медицине, обеспечивает чувствительные метрологические возможности для измерения биомолекул, субклеточных компонент, клеток и тканей[89]. Многие формы биосенсоров без меток основаны на интерферометрии, поскольку прямое взаимодействие электромагнитных полей с локальной поляризуемостью молекул исключает необходимость использования флуоресцентных меток или наночастичных маркеров. В более широком масштабе, клеточная интерферометрия имеет общие аспекты с фазово-контрастной микроскопией, но включает гораздо больший класс фазочувствительных оптических конфигураций, которые основаны на оптической интерференции между клеточными компонентами посредством рефракции и дифракции. В масштабе ткани, частично-когерентное распространение рассеянного вперед света через микроаберрации и неоднородность структуры ткани дает возможность использовать фазочувствительное стробирование (оптическая когерентная томография), а также фазочувствительную флуктуационную спектроскопию для получения тонких структурных и динамических свойств.
![]() Рисунок 22. Типичная оптически установка одноточечного OCT |
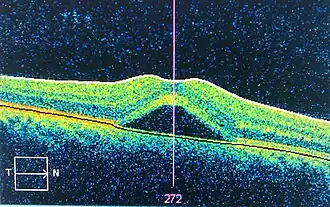
![]() Рисунок 23. Центральная серозная ретинопатия, визуализированная при помощи оптическая когерентная томография |
Оптическая когерентная томография (ОКТ) — это метод медицинской визуализации, использующий низкокогерентную интерферометрию для обеспечения томографической визуализации микроструктур внутренних тканей. Как видно на рис. 22, ядром типичной системы ОКТ является интерферометр Майкельсона. Луч из одного плеча интерферометра фокусируется на образце ткани и сканирует образец в продольном X-Y растровом шаблоне. Луч из другого плеча интерферометра отражается от опорного зеркала. Отраженный свет от ткани образца объединяется с отраженным опорным светом. Из-за низкой когерентности источника света интерферометрический сигнал наблюдается только на ограниченной глубине образца. Таким образом, X-Y сканирование записывает один тонкий оптический срез образца за раз. Выполняя многократные сканирования, и перемещая контрольное зеркало между каждым сканированием, можно восстановить полное трехмерное изображение ткани[90][91]. Недавние достижения стремились объединить получение нанометровой фазы когерентной интерферометрии с возможностью диапазона низкокогерентной интерферометрии[63].
Рис. 24. Клетка Spyrogira (отделенная от филамента водорослей) в условиях фазового контраста
Рисунок 25. Toxoplasma gondii неспорилированный ооцист, дифференциальный интерференционный контраст
Рисунок 26. Фазово-контрастное рентгеновское изображение паука с высоким разрешением
Фазово-контрастная и дифференциально-интерференционная контрастная микроскопия (DIC) являются важными инструментами в биологии и медицине. Большинство клеток животных и одноклеточных организмов имеют очень мало цвета, а их внутриклеточные органеллы практически невидимы при простом освещении в светлом поле. Эти структуры можно сделать видимыми путем окрашивания образцов, но процедуры окрашивания занимают много времени и убивают клетки. Как видно на рис. 24 и 25, фазовый контраст и DIC-микроскопы позволяют изучать неокрашенные живые клетки[92]. DIC также имеет небиологические применения, например, для анализа обработки кремниевых полупроводников.
Низкокогерентная интерферометрия с разрешением по углу (a/LCI) использует рассеянный свет для измерения размеров субклеточных объектов, в том числе ядер клеток. Это позволяет комбинировать измерения интерферометрии по глубине с измерениями плотности. Были обнаружены различные корреляции между состоянием здоровья тканей и измерениями субклеточных объектов. Например, было обнаружено, что при изменении ткани от нормальной к раковой средний размер ядер клеток увеличивается[93][94].
Фазоконтрастная рентгенография (рис. 26) относится к множеству методов, которые используют информацию о фазе когерентного рентгеновского луча для изображения мягких тканей. Она стала важным методом визуализации клеточных и гистологических структур в широком спектре биологических и медицинских исследований. Существует несколько технологий, используемых для получения контрастных рентгеновских изображений, и все они используют различные принципы для преобразования фазовых изменений в рентгеновских лучах, исходящих от объекта, в изменения интенсивности[95][96]. К ним относятся фазовый контраст на основе распространения[97], интерферометрия Тальбота, интерферометрия дальнего поля на основе муара[98], визуализация с усилением рефракции[99] и рентгеновская интерферометрия[100]. Эти методы обеспечивают более высокую контрастность по сравнению с обычной рентгеновской визуализацией с контрастным поглощением, что позволяет видеть более мелкие детали. Недостатком является то, что эти методы требуют более сложного оборудования, такого как синхротронные или микрофокусные источники рентгеновского излучения, рентгеновская оптика или рентгеновские детекторы высокого разрешения.
Примечания
- ↑ Bunch, Bryan H; Hellemans, Alexander. The History of Science and Technology (неопр.). — Houghton Mifflin Harcourt, 2004. — С. 695. — ISBN 978-0-618-22123-3.
- 1 2 3 4 5 6 7 8 9 10 11 Hariharan, P. Basics of Interferometry (неопр.). — Elsevier Inc., 2007. — ISBN 978-0-12-373589-8.
- ↑ R.; Patel. Widefield two laser interferometry (англ.) // Optics Express : journal. — 2014. — Vol. 22, no. 22. — P. 27094—27101. — doi:10.1364/OE.22.027094. — . — PMID 25401860. Архивировано 1 августа 2020 года.
- 1 2 3 4 Paschotta, Rüdiger. Optical Heterodyne Detection. RP Photonics Consulting GmbH. Дата обращения: 1 апреля 2012. Архивировано 19 марта 2015 года.
- ↑ Poole, Ian. The superhet or superheterodyne radio receiver. Radio-Electronics.com. Дата обращения: 22 июня 2012. Архивировано 19 августа 2018 года.
- ↑ R.; Patel. Widefield heterodyne interferometry using a custom CMOS modulated light camera (англ.) // Optics Express : journal. — 2011. — Vol. 19, no. 24. — P. 24546—24556. — doi:10.1364/OE.19.024546. — . — PMID 22109482. Архивировано 18 марта 2020 года.
- ↑ Mallick, S.; Malacara, D. Common-Path Interferometers // Optical Shop Testing (неопр.). — 2007. — С. 97. — ISBN 9780470135976. — doi:10.1002/9780470135976.ch3.
- ↑ Interferential Devices – Introduction. OPI – Optique pour l'Ingénieur. Дата обращения: 1 апреля 2012. Архивировано 1 августа 2018 года.
- ↑ Sir Geoffrey. Interference Fringes with Feeble Light (англ.) // Proc. Camb. Phil. Soc. : journal. — 1909. — Vol. 15. Архивировано 24 сентября 2018 года.
- ↑ C; Jönsson. Elektroneninterferenzen an mehreren künstlich hergestellten Feinspalten (нем.) // Zeitschrift für Physik : magazin. — 1961. — Bd. 161, Nr. 4. — S. 454—474. — doi:10.1007/BF01342460. — .
- ↑ C; Jönsson. Electron diffraction at multiple slits (англ.) // American Journal of Physics : journal. — 1974. — Vol. 4, no. 1. — P. 4—11. — doi:10.1119/1.1987592. — .
- ↑ Carroll, Brett. Simple Lloyd's Mirror. American Association of Physics Teachers. Дата обращения: 5 апреля 2012. Архивировано 25 сентября 2018 года.
- ↑ Nolte, David D. Optical Interferometry for Biology and Medicine (англ.). — Springer, 2012. — P. 17—26. — ISBN 978-1-4614-0889-5.
- ↑ Guideline for Use of Fizeau Interferometer in Optical Testing. NASA. Дата обращения: 8 апреля 2012. Архивировано из оригинала 25 сентября 2018 года.
- ↑ Interferential devices – Fizeau Interferometer. Optique pour l'Ingénieur.. Дата обращения: 8 апреля 2012. Архивировано 30 августа 2018 года.
- ↑ Zetie, K.P. How does a Mach–Zehnder interferometer work? Physics Department, Westminster School, London. Дата обращения: 8 апреля 2012. Архивировано 25 сентября 2018 года.
- ↑ Ashkenas. The design and construction of a Mach–Zehnder interferometer for use with the GALCIT Transonic Wind Tunnel. Engineer's thesis (англ.). — California Institute of Technology. Архивировано 9 марта 2020 года.
- ↑ Betzler, Klaus. Fabry–Perot Interferometer. Fachbereich Physik, Universität Osnabrück. Дата обращения: 8 апреля 2012. Архивировано 25 сентября 2018 года.
- ↑ A.A.; Michelson. On the Relative Motion of the Earth and the Luminiferous Ether (англ.) // American Journal of Science : journal. — 1887. — Vol. 34, no. 203. — P. 333—345. — doi:10.2475/ajs.s3-34.203.333. — . Архивировано 7 марта 2016 года.
- ↑ Miller, Dayton C. The Ether-Drift Experiment and the Determination of the Absolute Motion of the Earth (англ.) // Reviews of Modern Physics : journal. — 1933. — Vol. 5, no. 3. — P. 203—242. — doi:10.1103/RevModPhys.5.203. — .
- ↑ Müller, H. Modern Michelson–Morley experiment using cryogenic optical resonators (англ.) // Phys. Rev. Lett. : journal. — 2003. — Vol. 91, no. 2. — P. 020401. — doi:10.1103/PhysRevLett.91.020401. — . — arXiv:physics/0305117. — PMID 12906465.
- ↑ C.; Eisele. Laboratory Test of the Isotropy of Light Propagation at the 10-17 Level (англ.) // Physical Review Letters : journal. — 2009. — Vol. 103, no. 9. — P. 090401. — doi:10.1103/PhysRevLett.103.090401. — . — PMID 19792767.
- ↑ S.; Herrmann. Rotating optical cavity experiment testing Lorentz invariance at the 10-17 level (англ.) // Physical Review D : journal. — 2009. — Vol. 80, no. 10. — P. 105011. — doi:10.1103/PhysRevD.80.105011. — . — arXiv:1002.1284.
- ↑ P.H.; Scherrer. The Solar Oscillations Investigation – Michelson Doppler Imager (англ.) // Solar Physics : journal. — 1995. — Vol. 162, no. 1—2. — P. 129—188. — doi:10.1007/BF00733429. — .
- ↑ G.W.; Stroke. Fourier-transform spectroscopy using holographic imaging without computing and with stationary interferometers (англ.) // Physics Letters : journal. — 1965. — Vol. 16, no. 3. — P. 272—274. — doi:10.1016/0031-9163(65)90846-2. — .
- ↑ Gary, G.A. Additional Notes Concerning the Selection of a Multiple-Etalon System for ATST. Advanced Technology Solar Telescope. Дата обращения: 29 апреля 2012. Архивировано 10 августа 2010 года.
- ↑ Spectrometry by Fourier transform. OPI – Optique pour l'Ingénieur. Дата обращения: 3 апреля 2012. Архивировано 14 мая 2014 года.
- ↑ Halloween 2003 Solar Storms: SOHO/EIT Ultraviolet, 195 Ã. NASA/Goddard Space Flight Center Scientific Visualization Studio. Дата обращения: 20 июня 2012. Архивировано 23 апреля 2014 года.
- ↑ LIGO-Laser Interferometer Gravitational-Wave Observatory. Caltech/MIT. Дата обращения: 4 апреля 2012. Архивировано 26 января 2018 года.
- ↑ Davide; Castelvecchi. Einstein's gravitational waves found at last (англ.) // Nature : journal. — 2016. — 11 February. — doi:10.1038/nature.2016.19361. Архивировано 24 декабря 2018 года.
- ↑ R.; Chevalerias. Methods of Interferometry Applied to the Visualization of Flows in Wind Tunnels (англ.) // Journal of the Optical Society of America : journal. — 1957. — Vol. 47, no. 8. — P. 703. — doi:10.1364/JOSA.47.000703.
- ↑ Ristić, Slavica. Flow visualization techniques in wind tunnels – optical methods (Part II). Military Technical Institute, Serbia. Дата обращения: 6 апреля 2012. Архивировано 13 апреля 2021 года.
- ↑ M.G.A.; Paris. Entanglement and visibility at the output of a Mach–Zehnder interferometer (англ.) // Physical Review A : journal. — 1999. — Vol. 59, no. 2. — P. 1615—1621. — doi:10.1103/PhysRevA.59.1615. — . — arXiv:quant-ph/9811078. Архивировано 10 сентября 2016 года.
- ↑ G. R.; Haack. Parity detection and entanglement with a Mach–Zehnder interferometer (англ.) // Physical Review B : journal. — 2010. — Vol. 82, no. 15. — P. 155303. — doi:10.1103/PhysRevB.82.155303. — . — arXiv:1005.3976.
- 1 2 John D; Monnier. Optical interferometry in astronomy (англ.) // Reports on Progress in Physics : journal. — 2003. — Vol. 66, no. 5. — P. 789—857. — doi:10.1088/0034-4885/66/5/203. — . — arXiv:astro-ph/0307036. Архивировано 6 апреля 2008 года.
- ↑ Cosmic Calibration. www.eso.org. Дата обращения: 10 октября 2016. Архивировано 10 октября 2016 года.
- ↑ F.; Malbet. Integrated optics for astronomical interferometry (англ.) // Astronomy and Astrophysics : journal. — 1999. — Vol. 138. — P. 135—145. — doi:10.1051/aas:1999496. — . — arXiv:astro-ph/9907031.
- ↑ J.E.; Baldwin. The application of interferometry to optical astronomical imaging (англ.) // Phil. Trans. R. Soc. Lond. A : journal. — 2002. — Vol. 360, no. 1794. — P. 969—986. — doi:10.1098/rsta.2001.0977. — . — PMID 12804289.
- ↑ M.; Zhao. First Resolved Images of the Eclipsing and Interacting Binary β Lyrae (англ.) // The Astrophysical Journal : journal. — IOP Publishing, 2008. — Vol. 684, no. 2. — P. L95. — doi:10.1086/592146. — . — arXiv:0808.0932.
- ↑ S.; Gerlich. Quantum interference of large organic molecules (англ.) // Nature Communications : journal. — Nature Publishing Group, 2011. — Vol. 2. — P. 263—. — doi:10.1038/ncomms1263. — . — PMID 21468015.
- ↑ Klaus; Hornberger. \textit{Colloquium} : Quantum interference of clusters and molecules (англ.) // Reviews of Modern Physics : journal. — 2012. — 8 February (vol. 84, no. 1). — P. 157—173. — doi:10.1103/RevModPhys.84.157. — . — arXiv:1109.5937.
- ↑ Sandra; Eibenberger. Matter–wave interference of particles selected from a molecular library with masses exceeding 10000 amu (англ.) // Physical Chemistry Chemical Physics : journal. — 2013. — 14 August (vol. 15, no. 35). — P. 14696—14700. — ISSN 1463-9084. — doi:10.1039/C3CP51500A. — . — arXiv:1310.8343. — PMID 23900710.
- ↑ M; Lehmann. Tutorial on off-axis electron holography (англ.) // Microsc. Microanal. : journal. — 2002. — December (vol. 8, no. 6). — P. 447—466. — doi:10.1017/S1431927602029938. — . — PMID 12533207.
- ↑ T.; Klein. Neutron interferometry: A tale of three continents (неопр.) // Europhysics News. — 2009. — Т. 40, № 6. — С. 24—26. — doi:10.1051/epn/2009802. — .
- ↑ S.; Dimopoulos. General Relativistic Effects in Atom Interferometry (англ.) // Phys. Rev. D : journal. — 2008. — Vol. 78, no. 42003. — P. 042003. — doi:10.1103/PhysRevD.78.042003. — . — arXiv:0802.4098.
- ↑ Z.; Mariani. Infrared measurements in the Arctic using two Atmospheric Emitted Radiance Interferometers (англ.) // Atmos. Meas. Tech. : journal. — 2012. — Vol. 5, no. 2. — P. 329—344. — doi:10.5194/amt-5-329-2012. — .
- ↑ A. A. Michelson. On the Correction of Optical Surfaces (англ.) // Proceedings of the National Academy of Sciences of the United States of America : journal. — 1918. — Vol. 4, no. 7. — P. 210—212. — doi:10.1073/pnas.4.7.210. — . — PMID 16576300.
- ↑ Interferential Devices – Twyman–Green Interferometer. OPI – Optique pour l'Ingénieur. Дата обращения: 4 апреля 2012. Архивировано 14 мая 2014 года.
- ↑ R. G.; Heideman. Performance of a highly sensitive optical waveguide Mach–Zehnder interferometer immunosensor (англ.) // Sensors and Actuators B: Chemical : journal. — 1993. — Vol. 10, no. 3. — P. 209—217. — doi:10.1016/0925-4005(93)87008-D.
- ↑ W. D.; Oliver. Mach–Zehnder Interferometry in a Strongly Driven Superconducting Qubit (англ.) // Science : journal. — 2005. — Vol. 310, no. 5754. — P. 1653—1657. — doi:10.1126/science.1119678. — . — arXiv:cond-mat/0512691. — PMID 16282527.
- ↑ Ł.; Nieradko. Fabrication and optical packaging of an integrated Mach–Zehnder interferometer on top of a movable micromirror (англ.) // Journal of Microlithography, Microfabrication, and Microsystems : journal. — 2006. — Vol. 5, no. 2. — P. 023009. — doi:10.1117/1.2203366. — .
- ↑ J. H.; Burge. Measurement of aspheric mirror segments using Fizeau interferometry with CGH correction (англ.) // Proceedings of SPIE : journal. — 2010. — Vol. 7739. — P. 773902. — doi:10.1117/12.857816. — . Архивировано 9 мая 2020 года.
- ↑ R.; Anderson. "Sagnac effect" A century of Earth-rotated interferometers (англ.) // Am. J. Phys. : journal. — 1994. — Vol. 62, no. 11. — P. 975—985. — doi:10.1119/1.17656. — . Архивировано 30 ноября 2019 года.
- ↑ Golio, Mike. RF and Microwave Applications and Systems (англ.). — CRC Press, 2007. — P. 14.1—14.17. — ISBN 978-0849372193.
- ↑ Paschotta, Rüdiger. Self-heterodyne Linewidth Measurement. RP Photonics. Дата обращения: 22 июня 2012. Архивировано 26 июня 2012 года.
- ↑ Optical Frequency Comb. National Research Council, Canada. Дата обращения: 23 июня 2012. Архивировано 5 марта 2012 года.
- ↑ Paschotta, Rüdiger. Frequency Combs. RP Photonics. Дата обращения: 23 июня 2012. Архивировано 24 мая 2012 года.
- ↑ Schmit, J. Spatial and temporal phase-measurement techniques: a comparison of major error sources in one dimension // Proceedings of SPIE (неопр.). — 1993. — Т. 1755. — С. 202—201. — (Interferometry: Techniques and Analysis). — doi:10.1117/12.140770.
- ↑ K.G.; Larkin. Efficient nonlinear algorithm for envelope detection in white light interferometry (англ.) // Journal of the Optical Society of America : journal. — 1996. — Vol. 13, no. 4. — P. 832—843. — doi:10.1364/JOSAA.13.000832. — . Архивировано 10 марта 2020 года.
- ↑ ISO. (2013). 25178-604:2013(E): Geometrical product specification (GPS) — Surface texture: Areal — Nominal characteristics of non-contact (coherence scanning interferometric microscopy) instruments (2013(E) ed.). Geneva: International Organization for Standardization.
- 1 2 A.; Harasaki. Improved vertical-scanning interferometry (англ.) // Applied Optics : journal. — 2000. — Vol. 39, no. 13. — P. 2107—2115. — doi:10.1364/AO.39.002107. — . Архивировано 25 июля 2010 года.
- ↑ P; De Groot. Principles of interference microscopy for the measurement of surface topography (англ.) // Advances in Optics and Photonics : journal. — 2015. — Vol. 7, no. 1. — P. 1—65. — doi:10.1364/AOP.7.000001. — .
- 1 2 3 Olszak, A.G. Interferometry: Technology and Applications. Bruker. Дата обращения: 1 апреля 2012. (недоступная ссылка)
- ↑ Peter; de Groot. Surface Profiling by Analysis of White-light Interferograms in the Spatial Frequency Domain (англ.) // Journal of Modern Optics : journal. — 1995. — Vol. 42, no. 2. — P. 389—401. — doi:10.1080/09500349514550341. — .
- 1 2 Phase-Shifting Interferometry for Determining Optical Surface Quality. Newport Corporation. Дата обращения: 12 мая 2012. Архивировано 7 ноября 2012 года.
- 1 2 How Phase Interferometers work. Graham Optical Systems (2011). Дата обращения: 12 мая 2012. Архивировано 7 мая 2012 года.
- 1 2 Schreiber, H.; Bruning, J. H. Phase Shifting Interferometry // Optical Shop Testing (неопр.). — 2007. — С. 547. — ISBN 9780470135976. — doi:10.1002/9780470135976.ch14.
- ↑ Sommargren, G. E. (1986). US Patent 4,594,003.
- ↑ Ferraro, P. Optical wavefront measurement using a novel phase-shifting point-diffraction interferometer. SPIE (2007). Дата обращения: 26 мая 2012. Архивировано 23 апреля 2014 года.
- ↑ P. de Groot, J., "Interference Microscopy for Surface Structure Analysis" in Handbook of Optical Metrology, edited by T. Yoshizawa, chapt.31, pp. 791—828, (CRC Press, 2015).
- ↑ Schmit, J.; Creath, K.; Wyant, J. C. Surface Profilers, Multiple Wavelength, and White Light Intereferometry // Optical Shop Testing (неопр.). — 2007. — С. 667. — ISBN 9780470135976. — doi:10.1002/9780470135976.ch15.
- ↑ HDVSI – Introducing High Definition Vertical Scanning Interferometry for Nanotechnology Research from Veeco Instruments. Veeco. Дата обращения: 21 мая 2012. Архивировано 9 апреля 2012 года.
- ↑ J.; Plucinski. Optical low-coherence interferometry for selected technical applications (англ.) // Bulletin of the Polish Academy of Sciences : journal. — 2008. — Vol. 56, no. 2. — P. 155—172. Архивировано 30 ноября 2019 года.
- ↑ C.-H.; Yang. 2π ambiguity-free optical distance measurement with subnanometer precision with a novel phase-crossing low-coherence interferometer (англ.) // Optics Letters : journal. — 2002. — Vol. 27, no. 2. — P. 77—79. — doi:10.1364/OL.27.000077. — . Архивировано 29 октября 2013 года.
- ↑ C. K.; Hitzenberger. Differential phase measurements in low-coherence interferometry without 2pi ambiguity (англ.) // Optics Letters : journal. — 2001. — Vol. 26, no. 23. — P. 1864—1866. — doi:10.1364/ol.26.001864. — . — PMID 18059719.
- ↑ Wojtek J. Walecki, Kevin Lai, Vitalij Souchkov, Phuc Van, SH Lau, Ann Koo Physica Status Solidi C Volume 2, Issue 3, Pages 984—989
- ↑ W. J. Walecki et al. «Non-contact fast wafer metrology for ultra-thin patterned wafers mounted on grinding and dicing tapes» Electronics Manufacturing Technology Symposium, 2004. IEEE/CPMT/SEMI 29th International Volume, Issue, July 14-16, 2004 Page(s): 323—325
- ↑ Coating Thickness Measurement. Lumetrics, Inc.. Дата обращения: 28 октября 2013. Архивировано 29 октября 2013 года.
- ↑ Typical profilometry measurements. Novacam Technologies, Inc.. Дата обращения: 25 июня 2012. Архивировано 24 июля 2012 года.
- ↑ Holographic interferometry. Oquagen (2008). Дата обращения: 22 мая 2012. Архивировано 5 августа 2012 года.
- ↑ Hecht, Jeff. Laser, Light of a Million Uses (неопр.). — Dover Publications, Inc., 1998. — С. 229—230. — ISBN 978-0-486-40193-5.
- 1 2 3 H; Fein. Holographic Interferometry: Nondestructive tool (неопр.) // The Industrial Physicist. — 1997. — September. — С. 37—39. Архивировано 7 ноября 2012 года.
- ↑ PIA01762: Space Radar Image of Kilauea, Hawaii. NASA/JPL (1999). Дата обращения: 17 июня 2012. Архивировано 22 февраля 2012 года.
- ↑ Jones R & Wykes C, Holographic and Speckle Interferometry, 1989, Cambridge University Press
- ↑ J. N.; Butters. A double exposure technique for speckle pattern interferometry (англ.) // Journal of Physics E: Scientific Instruments : journal. — 1971. — Vol. 4, no. 4. — P. 277—279. — doi:10.1088/0022-3735/4/4/004. — .
- ↑ P.; Dvořáková. Dynamic Electronic Speckle Pattern Interferometry in Application to Measure Out-Of-Plane Displacement (англ.) // Engineering Mechanics : journal. — 2007. — Vol. 14, no. 1/2. — P. 37—44.
- ↑ N. A.; Moustafa. Comparative Phase-Shifting Digital Speckle Pattern Interferometry Using Single Reference Beam Technique (англ.) // Egypt. J. Sol. : journal. — 2003. — Vol. 26, no. 2. — P. 225—229. Архивировано 15 марта 2020 года.
- ↑ Buga, A.; Jokela, J. Environmental Engineering, The 7th International Conference (англ.). — P. 1274—1280.
- ↑ Nolte, David D. Optical Interferometry for Biology and Medicine (англ.). — Springer, 2012. — ISBN 978-1-4614-0889-5.
- ↑ D.; Huang. Optical Coherence Tomography (англ.) // Science. — 1991. — Vol. 254, no. 5035. — P. 1178—1181. — doi:10.1126/science.1957169. — . — PMID 1957169. Архивировано 19 июля 2013 года.
- ↑ A.F.; Fercher. Optical Coherence Tomography (англ.) // Journal of Biomedical Optics : journal. — 1996. — Vol. 1, no. 2. — P. 157—173. — doi:10.1117/12.231361. — . — PMID 23014682. Архивировано 25 сентября 2018 года.
- ↑ Lang, Walter. Nomarski Differential Interference-Contrast Microscopy. Carl Zeiss, Oberkochen. Дата обращения: 10 апреля 2012. Архивировано 8 сентября 2015 года.
- ↑ A.; Wax. Prospective grading of neoplastic change in rat esophagus epithelium using angle-resolved low-coherence interferometry (англ.) // Journal of Biomedical Optics : journal. — 2005. — Vol. 10, no. 5. — P. 051604. — doi:10.1117/1.2102767. — . — PMID 16292952.
- ↑ J. W.; Pyhtila. In situ detection of nuclear atypia in Barrett's esophagus by using angle-resolved low-coherence interferometry (англ.) // Gastrointestinal Endoscopy : journal. — 2007. — Vol. 65, no. 3. — P. 487—491. — doi:10.1016/j.gie.2006.10.016. — PMID 17321252.
- ↑ Richard; Fitzgerald. Phase-sensitive x-ray imaging (англ.) // Physics Today : magazine. — 2000. — Vol. 53, no. 7. — P. 23—26. — doi:10.1063/1.1292471. — .
- ↑ David, C. Differential x-ray phase contrast imaging using a shearing interferometer (англ.) // Applied Physics Letters : journal. — 2002. — Vol. 81, no. 17. — P. 3287—3289. — doi:10.1063/1.1516611. — .
- ↑ Wilkins, S. W. Phase-contrast imaging using polychromatic hard X-rays (англ.) // Nature : journal. — 1996. — Vol. 384, no. 6607. — P. 335—338. — doi:10.1038/384335a0. — .
- ↑ Houxun; Miao. A universal moiré effect and application in X-ray phase-contrast imaging (англ.) // Nature Physics : journal. — 2016. — Vol. 12, no. 9. — P. 830—834. — doi:10.1038/nphys3734. — . — PMID 27746823.
- ↑ Davis, T. J. Phase-contrast imaging of weakly absorbing materials using hard X-rays (англ.) // Nature : journal. — 1995. — Vol. 373, no. 6515. — P. 595—598. — doi:10.1038/373595a0. — .
- ↑ Momose, A. Phase-contrast X-ray computed tomography for observing biological soft tissues (англ.) // Nature Medicine : journal. — 1996. — Vol. 2, no. 4. — P. 473—475. — doi:10.1038/nm0496-473. — PMID 8597962.

