КТ-ангиопульмонография

КТ-ангиопульмонография — рентгеноконтрастное исследование лёгочных артерий с применением компьютерной томографии (КТ-ангиография лёгочных артерий). Основная цель метода — диагностика эмболии лёгочных артерий[1]. КТ-ангиопульмонография является предпочтительным методом медицинской визуализации в связи с его малой инвазивностью (для проведения исследования необходима лишь катетеризация вены).
Общие сведения
Современные мультидетекторные компьютерные томографы (МДКТ) обеспечивают для данного исследования оптимальное разрешение и качество изображений[2]. Для информативного исследования достаточно толщины сканируемого слоя 0,625 мм — 2 мм. Вводится 50 — 100 мл контрастного препарата болюсно со скоростью 4 мл/с. Датчик контрастного усиления размещается на лёгочных артериях, которые располагаются чуть ниже бифуркации трахеи. Исследование проводится на пике контрастного усиления лёгочных артерий.
На МДКТ сканирование проводится в течение 5 секунд и менее, в целом посещение пациента с заранее установленным катетером занимает около 5 минут.
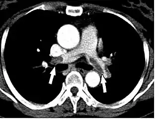
В норме КТ-ангиопульмонография демонстрирует однородное заполнение контрастным препаратом лёгочных артерий. Препятствие кровотоку в просвете сосуда визуализируется в виде «тёмного» неконтрастируемого участка (дефекта наполнения). В идеале, в момент исследования аорта не должна быть заполнена контрастным препаратом, что позволяет исключить артефакты, которые могут симулировать дефекты наполнения.
Диагностическая ценность
КТ-ангиопульмонография начала использоваться в 1990-е годы как альтернатива радионуклидному вентиляционно-перфузионному сканированию и продемонстрировала высокую чувствительность и специфичность в отношении ТЭЛА[1].
КТ-ангиопульмонография обычно применяется в случае клинической картины ТЭЛА. Если вероятность ТЭЛА низкая, проводится исследование крови на D-димеры. При отрицательном результате и невысоком риске ТЭЛА, КТ-ангиопульмонография не назначается. Большинству пациентов перед назначением КТ-исследования проводится рентгенография грудной клетки[1].
В связи с существовавшими ранее сомнениями в информативности метода в отношении мелких эмболов, в 2007 году были сопоставлены результаты КТ-ангиопульмонографии и вентиляционно-перфузионного сканирования. При исследовании КТ-ангиопульмонография продемонстрировала более высокую чувствительность[3].
Противопоказания
КТ-ангиопульмонография обычно противопоказана при беременности, в связи с воздействием ионизирующей радиации на плод[4].
КТ-ангиопульмонография противопоказана при известной или предполагаемой аллергии на контрастный препарат, а также в случае почечной недостаточности (так как контрастный препарат обладает нефротоксичностью)[3].
Примечания
- 1 2 3 Fedullo P. F., Tapson V. F. Clinical practice. The evaluation of suspected pulmonary embolism (англ.) // N. Engl. J. Med. : journal. — 2003. — Vol. 349, no. 13. — P. 1247—1256. — doi:10.1056/NEJMcp035442. — PMID 14507950.
- ↑ Schoepf U. J., Goldhaber S. Z., Costello P. Spiral computed tomography for acute pulmonary embolism (англ.) // Circulation : journal. — Lippincott Williams & Wilkins, 2004. — Vol. 109, no. 18. — P. 2160—2167. — doi:10.1161/01.CIR.0000128813.04325.08. — PMID 15136509. Архивировано 14 ноября 2007 года.
- 1 2 Anderson D. R., Kahn S. R., Rodger MA et al. Computed tomographic pulmonary angiography vs ventilation-perfusion lung scanning in patients with suspected pulmonary embolism (англ.) // JAMA : journal. — 2007. — Vol. 298, no. 23. — P. 2743—2753. — doi:10.1001/jama.298.23.2743. — PMID 18165667. Архивировано 9 января 2010 года.
- ↑ Scarsbrook A. F., Gleeson F. V. Investigating suspected pulmonary embolism in pregnancy (англ.) // BMJ : journal. — 2007. — Vol. 334, no. 7590. — P. 418—419. — doi:10.1136/bmj.39071.617257.80. — PMID 17322258. — PMC 1804186. Архивировано 4 сентября 2007 года.