Капикуа

Капикуа
Доступные структуры
PDBПоиск ортологов: PDBe RCSB
Список идентификаторов PDB

2M41, 4J2J, 4J2L

Идентификаторы
ПсевдонимыCIC, capicua transcriptional repressor, MRD45, CIC gene
Внешние IDOMIM: 612082 MGI: 1918972 HomoloGene: 87637 GeneCards: CIC
Расположение гена (человек)
19-я хромосома человека
Хр.19-я хромосома человека[1]
19-я хромосома человека
Расположение в геноме CIC
Расположение в геноме CIC
Локус19q13.2Начало42,268,537 bp[1]
Конец42,295,797 bp[1]
Расположение гена (Мышь)
7-я хромосома мыши
Хр.7-я хромосома мыши[2]
7-я хромосома мыши
Расположение в геноме CIC
Расположение в геноме CIC
Локус7|7 A3Начало24,967,129 bp[2]
Конец24,993,584 bp[2]
Паттерн экспрессии РНК
Bgee
ЧеловекМышь (ортолог)
Наибольшая экспрессия в
  • right hemisphere of cerebellum

  • sural nerve

  • right testis

  • left testis

  • body of uterus
Наибольшая экспрессия в
  • neural layer of retina

  • dentate gyrus of hippocampal formation granule cell

  • ventricular zone

  • striatum of neuraxis

  • piriform cortex
Дополнительные справочные данные
BioGPS
Дополнительные справочные данные
Генная онтология
Молекулярная функция
Компонент клетки
Биологический процесс
Источники: Amigo, QuickGO
Ортологи
ВидЧеловекМышь
Entrez

23152

71722

Ensembl

ENSG00000079432

ENSMUSG00000005442

UniProt

Q96RK0

Q924A2

RefSeq (мРНК)
NM_001304815
NM_015125
NM_001379480
NM_001379482
NM_001379484

NM_001379485
NM_001386298

NM_001110131
NM_001110132
NM_027882
NM_001302811

RefSeq (белок)
NP_001291744
NP_055940
NP_001366409
NP_001366411
NP_001366413

NP_001366414

NP_001289740
NP_082158

Локус (UCSC)Chr 19: 42.27 – 42.3 MbChr 7: 24.97 – 24.99 Mb
Поиск по PubMedИскать[3]Искать[4]
Логотип Викиданных Информация в Викиданных
Смотреть (человек)Смотреть (мышь)

Капикуа (англ. Capicua transcriptional repressor) — белок человека, способный подавлять экспрессию ряда генов (транскрипционный репрессор). Капикуа кодируется геном CIC, расположенным на длинном плече 19 хромосомы.

Структура

Белок капикуа эволюционно консервативен — отмечается схожесть его структуры у червя Caenorhabditis elegans и у человека. В организме выявляются две изоформы белка, короткая (CIC-S) и длинная (CIC-L), отличающиеся формой амино-конца. Белок содержит два эволюционно-консервативных домена: HMG-box (high-mobility group box) и домен C1 (C1 domain) – совместно эти домены распознают определенные октамерные последовательности нуклеотидов ДНК.[5] Также капикуа содержит сигнал ядерной локализации, позволяющий ему перемещаться в ядро клетки.

Схематическое представление длинной и короткой форм человеческого белка капикуа (CIC). Длинная форма, CIC-L, отличается более длинным N-концом. На схеме отмечены аминокислотные участки, отвечающие за взаимодействие CIC с атаксином-1 (ATXN1), белком 14-3-3, ERK, а также домен HMG-box, сигнал ядерной локализации (NLS), сайт фосфорилирования, опосредуемого c-Src, и домен C1. Из обзора Yoontae Lee, 2020 год.[5]

История

Нарушение эмбрионального развития у дрозофилы при мутации, нарушающей 4 аминокислотных остатка в домене C1 гена CIC. Показаны эмбриональные кутикулы. У самки с мутацией cic4 (внизу) подавлено образование сегментов брюшка и туловища. Из работы Marta Fores et al., 2017.[6]

Ген CIC был впервые идентифицирован в 2000 году в организме мухи-дрозофилы.[5] Было показано, что он кодирует транскрипционный репрессор, участвующий в регулировке процессов эмбриогенеза. Ученые установили, что мутация, при которой у мушки не развиваются брюшные сегменты, но присутствуют сегменты головы и хвоста, поражает ген CIC, отсюда происходит и название гена — «capicua» по-каталански означает «голова-и-хвост».

Патологии

В 2017 году было показано, что мутации гена CIC могут вызывать расстройство под названием «аутосомно-доминантная умственная отсталость 45» (англ. mental retardation, autosomal dominant-45, MRD-45).[7]

Опухоли

При многих типах рака CIC является супрессором опухоли,[5] и напротив, в опухолях некоторых типов обнаруживаются мутации гена CIC. По состоянию на 2020 год, опухолевые мутации CIC наиболее часто отмечались при олигодендроглиоме.[5] Геномная транслокация, приводящая к образованию гибридного белка, состоящего частично из CIC, частично из DUX4, способна вызывать агрессивную разновидность «Юинг-подобной» саркомы.[8]

В то время как в своей нормальной форме капикуа подавляет экспрессию генов, образуемые с его участием гибридные белки, связанные с развитием опухолей, предположительно теряют эту функцию. Так, например, обстоит дело в случае с химерным белком CIC-DUX4, который является уже не репрессором, а активатором генов.[9]

Спиноцеребеллярная атаксия

Капикуа образует комплекс с атаксином-1 ("комплекс CIC-ATXN1") и тем самым играет важную роль в развитии спиноцеребеллярной атаксии 1-го типа. В то время как в здоровом организме этот комплекс необходим для правильного функционирования клеток, при мутациях атаксина-1 комплекс CIC-ATXN1 оказывает токсичное воздействие на клетки мозжечка, что и приводит к двигательным нарушениям, свойственным заболеванию.[5] Предотвращение образования комплекса в животных моделях заболевания приводит к снижению повреждений.

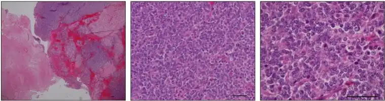
Иллюстрации

Первичная опухоль (саркома) с химерностью CIC-DUX4 у 9-летней девочки. Окраска гематоксилином и эозином. Фрагмент иллюстрации из Nakai et al., 2019.[10]

Взаимодействия

  • FOLR1 — капикуа оказывает влияние на экспрессию фолатного рецептора-альфа, а мутации CIC предположительно приводят к церебральной фолатной недостаточности[11]
  • ATXN1 — капикуа образует комплекс с белком атаксин-1 («комплекс ATXN1-CIC»), важный для правильного формирования структур мозга.[7]
  • DUX4 – отмечается образование химерных белков CIC-DUX4 в опухолях.[7]
  • FOXO4 – отмечается образование химерных белков CIC-FOXO4 в опухолях.[9]
  • NUTM1 – отмечается образование химерных белков CIC-NUTM1 в опухолях.[9]
  • LEUTX – отмечается образование химерных белков CIC-LEUTX в опухолях.[9]

Литература

Ссылки

Примечания

  1. 1 2 3 GRCh38: Ensembl release 89: ENSG00000079432 - Ensembl, May 2017
  2. 1 2 3 GRCm38: Ensembl release 89: ENSMUSG00000005442 - Ensembl, May 2017
  3. Ссылка на публикацию человека на PubMed: Национальный центр биотехнологической информации, Национальная медицинская библиотека США.
  4. Ссылка на публикацию мыши на PubMed: Национальный центр биотехнологической информации, Национальная медицинская библиотека США.
  5. 1 2 3 4 5 6 7 Lee Y (2020). Regulation and function of capicua in mammals. Exp Mol Med. 52 (4): 531–537. doi:10.1038/s12276-020-0411-3. PMC 7210929. PMID 32238859.
  6. Forés M, Simón-Carrasco L, Ajuria L, Samper N, González-Crespo S, Drosten M, Barbacid M, Jiménez G (March 2017). A new mode of DNA binding distinguishes Capicua from other HMG-box factors and explains its mutation patterns in cancer. PLoS Genetics. 13 (3): e1006622. doi:10.1371/journal.pgen.1006622. PMC 5344332. PMID 28278156.{{cite journal}}: Википедия:Обслуживание CS1 (не помеченный открытым DOI) (ссылка)
  7. 1 2 3 Lu HC, Tan Q, Rousseaux MW, Wang W, Kim JY, Richman R, Wan YW, Yeh SY, Patel JM, Liu X, Lin T, Lee Y, Fryer JD, Han J, Chahrour M, Finnell RH, Lei Y, Zurita-Jimenez ME, Ahimaz P, Anyane-Yeboa K, Van Maldergem L, Lehalle D, Jean-Marcais N, Mosca-Boidron AL, Thevenon J, Cousin MA, Bro DE, Lanpher BC, Klee EW, Alexander N, Bainbridge MN, Orr HT, Sillitoe RV, Ljungberg MC, Liu Z, Schaaf CP, Zoghbi HY (April 2017). Disruption of the ATXN1-CIC complex causes a spectrum of neurobehavioral phenotypes in mice and humans. Nature Genetics. 49 (4): 527–536. doi:10.1038/ng.3808. PMC 5374026. PMID 28288114.
  8. Antonescu CR, Owosho AA, Zhang L, Chen S, Deniz K, Huryn JM, Kao YC, Huang SC, Singer S, Tap W, Schaefer IM, Fletcher CD (July 2017). Sarcomas With CIC-rearrangements Are a Distinct Pathologic Entity With Aggressive Outcome: A Clinicopathologic and Molecular Study of 115 Cases. The American Journal of Surgical Pathology. 41 (7): 941–949. doi:10.1097/PAS.0000000000000846. PMC 5468475. PMID 28346326.
  9. 1 2 3 4 5 Wong D, Yip S (April 2020). Making heads or tails - the emergence of capicua (CIC) as an important multifunctional tumour suppressor. The Journal of Pathology. 250 (5): 532–540. doi:10.1002/path.5400. PMID 32073140.
  10. Nakai S, Yamada S, Outani H, Nakai T, Yasuda N, Mae H, Imura Y, Wakamatsu T, Tamiya H, Tanaka T, Hamada K, Tani A, Myoui A, Araki N, Ueda T, Yoshikawa H, Takenaka S, Naka N (November 2019). Establishment of a novel human CIC-DUX4 sarcoma cell line, Kitra-SRS, with autocrine IGF-1R activation and metastatic potential to the lungs. Scientific Reports. 9 (1): 15812. doi:10.1038/s41598-019-52143-3. PMC 6825133. PMID 31676869.
  11. 1 2 Cao X, Wolf A, Kim SE, Cabrera RM, Wlodarczyk BJ, Zhu H; et al. (2020). CIC de novo loss of function variants contribute to cerebral folate deficiency by downregulating FOLR1 expression. J Med Genet. doi:10.1136/jmedgenet-2020-106987. PMC 7895856. PMID 32820034.{{cite journal}}: Википедия:Обслуживание CS1 (множественные имена: authors list) (ссылка)