Облитерирующий бронхиолит
| Облитерирующий бронхиолит | |
|---|---|
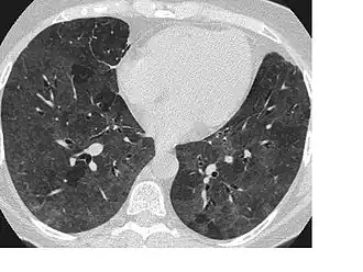
![]() КТ-картина экзогенного аллергического альвеолита с облитетирующим бронхиолитом («воздушные ловушки») | |
| МКБ-10 | J21 |
| МКБ-9 | 491.8 |
| МКБ-9-КМ | 466.19[1] |
| DiseasesDB | 1704 |
| MeSH | D001989 |
Облитерирующий бронхиолит (констриктивный бронхиолит) — тяжёлое респираторное заболевание, обусловленное стойкой прогрессирующей воспалительной и/или фиброзной обструкцией бронхиол (терминальных отделов бронхиального дерева)[2]. Иногда облитерирующим бронхиолитом называют тяжело протекающую форму аденовирусного бронхиолита у детей.
Этиология
Облитерирующий бронхиолит может развиваться по разным причинам, включая: системные заболевания соединительной ткани (в том числе ревматоидный артрит), посттрансплантационные реакции («трансплантат против хозяина»), вирусные инфекции (парагрипп, корь, аденовирусная, РСВ- и ЦМВ- инфекции), а также синдром Стивенса — Джонсона, пневмоцистную пневмонию, осложнения медикаментозной терапии, осложнения недоношенности (бронхолёгочную дисплазию), ингаляцию токсичных паров — таких, как диоксида серы, диоксида азота, аммиака, хлора, тионилхлорида, метилизоцианата, фтороводорода, бромоводорода, хлороводорода, сероводорода, фосгена, полиамид-аминовых красителей, горчичного газа и озона. Помимо этого, различают идиопатический (развившийся без видимой причины) облитерирующий бронхиолит. Широкое освещение в прессе получили случаи диацетилового облитерирующего бронхиолита (так называемой «попкорновой болезни лёгких»), обнаруженного у рабочих-производителей микроволнового попкорна (диацетил при его производстве применялся в качестве ароматизирующего ингредиента).
Также причиной облитерирующего бронхиолита может стать ВИЧ-инфекция, вирус герпеса, аспергилла, легионелла, клебсиелла[3].
Электронные сигареты
В 2016 году Американская ассоциация лёгких включила использование ароматизированных электронных сигарет в список факторов риска облитерирующего бронхиолита[4]. Однако, согласно Министерству здравоохранения Канады, по состоянию на 2023 год в Канаде не было зафиксировано ни одного такого случая[5]. Организация «Общественное здравоохранение Англии» сообщила, что «некоторые ароматизаторы, используемые в электронных жидкостях для придания маслянистого вкуса, содержат химическое вещество диацетил… Однако в Великобритании диацетил запрещён как ингредиент электронных сигарет и жидкостей для электронных сигарет»[6]. На сайте Национальной службы здравоохранения Великобритании говорится, что «вейпинг не вызывает „попкорновых лёгких“»[7].
Клиническая картина
Патоморфологически облитерирующий бронхиолит представлен стойкой воспалительной фиброзирующей обструкцией дыхательных путей, что проявляется одышкой и сухим кашлем. Симптоматика может нарастать постепенно или проявиться остро[8].
Диагностика
Облитерирующий бронхиолит может клинически ошибочно диагностироваться как бронхиальная астма, бронхит, эмфизема лёгких или пневмония. В план обследования пациентов входят:
- Рентгенография грудной клетки (часто не обнаруживающая изменений, в некоторых случаях выявляется избыточная воздушность лёгочной ткани или диффузное обогащение лёгочного рисунка за счёт интерстициального компонента).
- Диффузионная способность лёгких обычно в пределах нормы.
- Спирометрия демонстрирует стойкую обструкцию дыхательных путей, иногда в сочетании с рестрикцией. Показатели ОФВ1/ФЖЕЛ (коэффициента Тиффно) в связи с этим снижены менее 75 %.
- Исследования ёмкости лёгких могут показывать лёгочную гиперинфляцию (избыточную воздушность лёгких в связи с «воздушными ловушками».
- Компьютерная томография высокого разрешения демонстрирует мозаичную воздушность лёгочной ткани за счёт наличия «воздушных ловушек». Наиболее достоверно данные изменения выявляются при исследовании в фазе глубокого выдоха.
- Биопсия лёгких указывает на наличие констриктивного бронхиолита (резкого сужения или полной обструкции бронхиол). Открытая биопсия лёгких (в частности, торакоскопическая) более предпочтительна, чем трансбронхиальная биопсия. При анализе биоптата для диагностики может потребоваться специальная окраска и исследование множественных тканевых срезов.
Лечение
Заболевание обычно выявляется поздно, на стадии формирования грубых фиброзных изменений в бронхиолах, в связи с чем прогноз считается неблагоприятным. Лечение направлено на стабилизацию патологического процесса и предотвращение его прогрессирования. В тяжёлых случаях может быть показана трансплантация лёгкого. При ранней диагностике, «агрессивная» терапия может способствовать регрессии активного воспалительного процесса и купированию заболевания[9].
Примечания
- ↑ Monarch Disease Ontology release 2018-06-29 — 2018-06-29 — 2018.
- ↑ bronchiolitis obliterans Архивная копия от 1 августа 2017 на Wayback Machine // Merriam-Webster Medical Dictionary. Retrieved on August, 2010. (англ.)
- ↑ Бронхиолиты. www.rmj.ru. Издание для практикующих врачей «Русский медицинский журнал». Дата обращения: 30 сентября 2020. Архивировано 26 октября 2020 года.
- ↑ Editorial Staff. Popcorn Lung: A Dangerous Risk of Flavored E-Cigarettes (англ.). American Lung Association (6 июля 2016). Дата обращения: 27 февраля 2020.
- ↑ Canada, Health. Risks of vaping. aem (12 сентября 2023). — «To date, there have been no confirmed cases of popcorn lung disease as a result of vaping in Canada». Архивировано 30 апреля 2025 года.
- ↑ Clearing up some myths around e-cigarettes - Public health matters (англ.). publichealthmatters.blog.gov.uk (20 февраля 2018). — «some flavourings used in e-liquids to provide a buttery flavour contain the chemical diacetyl… however, diacetyl is banned as an ingredient from e-cigarettes and e-liquids in the UK». Дата обращения: 27 февраля 2020.
- ↑ Vaping to quit smoking - Better Health (англ.). nhs.uk. Дата обращения: 5 августа 2023. Архивировано 11 апреля 2025 года.
- ↑ Bronchiolitis Symptoms. Breathing Difficulty. Baby Temperature Архивная копия от 28 февраля 2015 на Wayback Machine. www.morethanacold.co.uk (англ.)
- ↑ Авдеев С. Н., Авдеева О. Е., Чучалин А. Г. Облитерирующий бронхиолит. РМЖ (1998). Дата обращения: 12 февраля 2012. Архивировано из оригинала 7 марта 2012 года.
Литература
- Brant & Helms. Fundamentals of Diagnostic Radiology. LWW, 1999. (англ.)
- Webb, et al. High Resolution CT of the Lung. 3rd edition. LWW, 2000. (англ.)
Ссылки
- Авдеев С. Н., Авдеева О. Е., Чучалин А. Г. Облитерирующий бронхиолит. РМЖ (1998). Дата обращения: 12 февраля 2012. Архивировано из оригинала 7 марта 2012 года.
- A Case of Regulatory Failure: Popcorn Workers' Lung (англ.). Defendingscience.org. Дата обращения: 12 февраля 2012. Архивировано из оригинала 18 мая 2012 года.
- Bronchiolitis-Obliterans.de: Немецкий форум, посвящённый обмену опытом по облитерирующему бронхиолиту (нем.)
