Острый лимфобластный лейкоз

Острый лимфобластный лейкоз — злокачественное заболевание системы кроветворения, характеризующееся неконтролируемой пролиферацией незрелых лимфоидных клеток (лимфобластов). Острый лимфобластный лейкоз является самым распространённым злокачественным заболеванием в детском и юношеском возрасте[1]. Пик заболеваемости приходится на возраст от 1 года до 6 лет. Чаще болеют мальчики[2]. Заболевание протекает с поражением костного мозга, лимфатических узлов, селезёнки, вилочковой железы, а также других органов. Поражение центральной нервной системы более характерно при рецидивах после химиотерапии.
Классификация острых лимфобластных лейкозов (ОЛЛ) (ВОЗ, 1999)
- Пре-пре-B-ОЛЛ
- Пре-B-ОЛЛ
- B-ОЛЛ
- T-ОЛЛ
Эпидемиология
На долю В-клеточного лимфобластного лейкоза приходится примерно 80—85 % всех случаев ОЛЛ, на долю Т-клеточного —15—20 %[3]. Пик заболеваемости В-клеточным ОЛЛ приходится примерно на трёхлетний возраст, что совпадает по времени с максимальной активностью производства В-клеток в костном мозге[1]. Второй, более низкий, пик заболеваемости приходится на возраст старше 60 лет[2]. Критическим периодом в случае Т-клеточного ОЛЛ является возраст около 15 лет, примерно в это же время тимус достигает максимального размера. По неизвестным причинам мужчины более подвержены острым лимфобластным лейкозам, чем женщины, в случае Т-клеточного ОЛЛ соотношение заболевших составляет примерно 2:1[1][2]. Шанс развития ОЛЛ у человека возрастом до 15 лет составляет 1:2000[4].
Этиопатогенез
Точные причины возникновения ОЛЛ неизвестны. Предполагают, что, как и в случае других злокачественных заболеваний, болезнь развивается в результате неблагоприятного сочетания воздействия окружающей среды, наследственной предрасположенности и шанса. Изучение этиологии ОЛЛ усложняется разнообразием подтипов болезни, каждый из которых может иметь свои причины[4].
Возникновение злокачественного клона
Считают, что в случае детского В-ОЛЛ предлейкозный клон возникает в организме ребёнка ещё в ходе внутриутробного развития. При В-ОЛЛ, ассоциированном с мутацией гена MLL, злокачественное перерождение B-клетки, по всей видимости, завершается до рождения. Это подтверждается тем, что если он возникает у одного из монозиготных близнецов с общей или монохориональной плацентой, то возникает и у второго с вероятностью практически 100 % и проявляется вскоре после рождения. Пик заболеваемости В-ОЛЛ с другими цитогенетическими характеристиками приходится на более поздний возраст — 2—5 лет. Эти виды лейкоза развиваются у обоих близнецов только в 10—15 % случаев. Это может говорить о том, что, хотя предлейкозный клон возникает во время внутриутробного развития, для его окончательной трансформации нужны дополнительные события[4].
Возможные причины и факторы риска
В качестве возможных причин ОЛЛ рассматривают[4]:
- ионизирующую радиацию — ионизирующая радиация была выявлена как причина ОЛЛ и других видов лейкоза при изучении последствий атомных бомбардировок Японии. Повышенная частота развития ОЛЛ была обнаружена у людей, работавших с радиографическим оборудованием до установления современного уровня безопасности. Люди, прошедшие курс радиотерапии, имеют повышенный риск развития так называемых вторичных лейкозов, в том числе и ОЛЛ. Рентгеновская пельвиметрия во время беременности немного увеличивает риск развития ОЛЛ у ребёнка, при этом риск растёт пропорционально числу процедур. Некоторые исследователи предполагают, что естественная радиация и космическое излучение могут быть причинами ОЛЛ, но эта точка зрения является спорной[4][5];
- инфекции — возбудитель детского ОЛЛ до сих пор не был обнаружен. Существует несколько гипотез на этот счёт, но они сходятся в том, что развитие лейкоза является результатом аномального иммунного ответа на присутствие инфекционного агента. По гипотезе Кинлена, причиной детского ОЛЛ является неизвестный возбудитель, скорее всего вирус, к которому у большинства детей развивается естественный иммунитет, однако у небольшой части особенно чувствительных детей этот возбудитель вызывает лейкоз[6]. По гипотезе Гривса, причиной детского ОЛЛ может быть множество неспецифических возбудителей (например, вирусы гриппа), которые вызывают спонтанные мутации в B-клетках детей, имевших мало контактов с патогенами на первом—втором годах жизни (например, не посещавших ясли)[4][6][7];
- генетическую предрасположенность — мутации, вызывающие ОЛЛ с высокой пенетрантностью, пока не обнаружены. Однако широкомасштабные исследования генома заболевших выявили, что некоторые аллельные варианты генов IKZF1, ARID5B, CEBPE и CDKN2A ассоциированы с повышенным риском развития ОЛЛ. Такие аллели имеют аддитивный эффект. Продукты перечисленных генов вовлечены в дифференцировку и пролиферацию кровяных клеток. Также риск развития ОЛЛ резко повышен у больных синдромом Дауна — примерно в 40 раз у детей в возрасте до четырёх лет[4].
Морфология
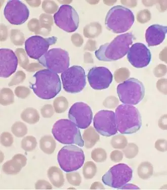
В образцах костного мозга и периферической крови, окрашенных по Романовскому—Райту, обнаруживаются лимфобласты двух морфологических типов: L1 и L2 по французско-американо-британской классификации[8]. Лимфобласты типа L1 характеризуются малыми размерами, высоким соотношением объёмов ядра и цитоплазмы и незаметными ядрышками. Лимфобласты типа L2 более крупные, с выраженной цитоплазмой и ядрышками. Иногда встречаются и необычные формы лимфобластов[9].
Иммунофенотипирование
Иммунофенотипирование лимфобластов имеет большое значение в диагностике ОЛЛ потому, что позволяет делать заключение о прогнозе и наиболее подходящей схеме лечения. В зависимости от того, какие белковые маркеры синтезируются В-лимфобластами, их разделяют на ранние про-В-, поздние про-В- и пре-В-лимфобласты, что соответствует стадиям дифференцировки нормальных В-клеток. Ранние про-В-клетки экспрессируют CD19, CD34 и цитоплазматический CD22, так же они могут содержать терминальную деоксинуклеотидилтрансферазу. Поздние про-В-клетки характеризуются присутствием терминальной деоксинуклеотидилтрансферазы, CD10, CD79a и, в ряде случаев, CD20 и поверхностного CD22. Отличительной особенностью пре-В-клеток является присутствие в цитоплазме тяжёлых цепей иммуноглобулинов класса μ. Мембранные формы иммуноглобулинов, за редким исключением, не характерны для В-клеточных ОЛЛ. В некоторых случаях лимфобласты могут экспрессировать нетипичные для В-клеток маркеры, такие как CD13, CD15 и CD33, и это, как правило, сопряжено с хромосомными перестройками t(9;22) и t(4;11)[9].
Острые Т-клеточные лимфобластные лейкозы делят на 5 иммунофенотипов: про-Т-, пре-Т-, кортикальные Т-, зрелые αβ или γδ Т-клеточные ОЛЛ. Клетки всех пяти иммунофенотипов экспрессируют цитоплазматический CD3. Про-Т-лимфобласты отличаются присутствием CD7, пре-Т-лимфобласты — CD2 и/или CD5. Кортикальные Т-клетки, в отличие от всех остальных, синтезируют CD1a. Зрелые Т-клеточные ОЛЛ классифицируют в зависимости от того, какой вариант Т-клеточного рецептора они несут на своей мембране[10].
Генетические особенности
Характерные генетические аномалии обнаруживаются примерно в 80 % случаев детского В-клеточного лимфобластного лейкоза и в 60—70 % случаев у взрослых[9]. Эти аномалии выявляются при помощи анализа метафазных хромосом, метода FISH и ПЦР. Выявление типичных мутаций важно с диагностической точки зрения, так как позволяет выбрать оптимальную схему лечения и сделать прогноз. Кроме того, знание мутаций может оказаться полезным для контроля эффективности лечения путём выявления минимальной остаточной болезни.
Характерным количественными хромосомными мутациями при B-ОЛЛ являются гипердиплоидия по более чем пяти хромосомам (чаще всего X, 4, 6, 10, 14, 17, 18 и 21) и гиподиплоидия с общим количеством хромосом меньше сорока четырёх[4]. Также при B-ОЛЛ обнаруживают следующие распространённые хромосомные перестройки:
- t(9;22)(q34;q11.2), филадельфийская хромосома (Ph) — реципрокная транслокация между хромосомами 9 и 22. В результате этой транслокации происходит объединение 5'-концевой части гена BCR и 3'-концевой части гена ABL1 образованием мутантного гена BCR-ABL1. Его продуктом является конститутивно активная тирозинкиназа BCR-ABL1, обладающая онкогенным действием[11]. Данная цитогенетическая аномалия встречается примерно в 3 % случаев детского В-ОЛЛ и в 20—50 % случаев В-ОЛЛ взрослых[12]. Данный вид ОЛЛ характеризуется агрессивным течением, высока вероятность возникновения очагов болезни в центральной нервной системе[13]. До начала клинического применения ингибиторов тирозинкиназ, таких как иматиниб, дазатиниб и нилотиниб, прогноз для пациентов с такой мутацией был неблагоприятным. Сегодня благодаря применению этих препаратов шансы пациентов на достижение полной ремиссии существенно улучшились[13][14].
- t(12;21)(p13;q22), данная транслокация приводит к образованию слитого гена ETV6-RUNX1 (TEL-AML1). Эта мутация часто бывает криптической, и поэтому, как правило, обнаруживается методами FISH и ПЦР. Данное хромосомное нарушение характерно примерно для 25 % случаев детского В-ОЛЛ, но редко встречается у взрослых[15]. Прогноз благоприятный[9].
- t(1;19)(q23;p13)/der(19)t(1;19) — сбалансированная (реципрокная, без потери генетического материала) или несбалансированная (с потерей генетического материала) транслокация, характерная примерно для 5 % случаев детского B-ОЛЛ, у взрослых встречается реже (1—2 %)[16]. В результате этой транслокации формируется химерный онкоген E2A-PBX1 (TCF3-PBX1), продуктом которого является фактор транскрипции с аномальной активностью[17]. В более чем 90 % случаев иммунофенотип соответствует пре-В-клеткам (cytIgμ+, surfIgμ—)[18]. Ранее прогноз был неблагоприятным, но улучшился с появлением современных протоколов лечения. Тем не менее, некоторые исследователи до сих пор относят пациентов с данной транслокацией к группе повышенного риска и рекомендуют более интенсивное лечение[17].
Прогноз
Прогноз при ОЛЛ значительно лучше в детском возрасте: пятилетняя выживаемость при B-клеточном варианте достигает 90 %, тогда как у взрослых — 30–40 %[19][20][21]. Наихудший прогноз наблюдается при T-лимфобластном лейкозе.
Лечение
- Моноклональные антитела: блинатумомаб.
- Коньюгаты: инотузумаб озогамицин.
- Генная терапия: тисагенлеклеусел, брексукабтаген аутолейцел, обекабтаген аутолейцел.
- Другие препараты: аспарагиназа, ревумениб.
Примечания
- 1 2 3 H. Franklin Bunn, Jon C. Aster. Chapter 21: Acute Leukemias // Pathophysiology of Blood Disorders. — The McGraw-Hill Companies, Inc., 2011. — С. 244—259. — ISBN 9780071713788.
- 1 2 3 Dores G. M., Devesa S. S., Curtis R. E., Linet M. S., Morton L. M. Acute leukemia incidence and patient survival among children and adults in the United States, 2001-2007 // Blood. — Т. 119, вып. 1. — С. 34—43. — doi:10.1182/blood-2011-04-347872. — PMID 22086414.
- ↑ Graux C. Biology of acute lymphoblastic leukemia (ALL): clinical and therapeutic relevance. — 2011. — Т. 44, вып. 2. — С. 183—189. — PMID 21354375.
- 1 2 3 4 5 6 7 8 Inaba H., Greaves M., Mullighan C. G. Acute lymphoblastic leukaemia // Lancet. — 2013. — Т. 381, вып. 9881. — С. 1943—55. — doi:10.1016/S0140-6736(12)62187-4. — PMID 23523389.
- ↑ Greaves M. F. Aetiology of acute leukaemia // Lancet. — 1997. — Т. 349, вып. 9048. — С. 344—9. — PMID 9024390.
- 1 2 Kinlen L. J. Epidemiological evidence for an infective basis in childhood leukaemia // Br J Cancer. — 1995. — Т. 71, вып. 1. — С. 1—5. — PMID 7819022. Архивировано 25 мая 2021 года.
- ↑ Urayama K. Y., Buffler P. A., Gallagher E. R., Ayoob J. M., Ma X. A meta-analysis of the association between day-care attendance and childhood acute lymphoblastic leukaemia // Int J Epidemiol. Jun;():. doi:. — 2010. — Т. 39, вып. 3. — С. 718—32. — doi:10.1093/ije/dyp378. — PMID 20110276. Архивировано 5 ноября 2020 года.
- ↑ Bennett J. M., Catovsky D., Daniel M. T., Flandrin G., Galton D. A., Gralnick H. R., Sultan C. Proposals for the classification of the acute leukaemias. French-American-British (FAB) co-operative group // Br J Haematol.. — 1976. — Т. 33, вып. 4. — С. 451—458. — PMID 188440.
- 1 2 3 4 Zhou Y., You M. J., Young K. H., Lin P., Lu G., Medeiros L. J., Bueso-Ramos C. E. Advances in the molecular pathobiology of B-lymphoblastic leukemia // Hum Pathol.. — 2012. — Т. 43, вып. 9. — С. 1347—1362. — PMID 22575265.
- ↑ Kraszewska M. D., Dawidowska M., Szczepański T., Witt M. T-cell acute lymphoblastic leukaemia: recent molecular biology findings // Br J Haematol.. — 2012. — Т. 156, вып. 3. — С. 303—315. — PMID 22145858.
- ↑ Huettner C. S., Zhang P., Van Etten R. A., Tenen D. G. Reversibility of acute B-cell leukaemia induced by BCR-ABL1 // Nat Genet.. — 2000. — Т. 24, вып. 1. — С. 57—60. — PMID 10615128.
- ↑ Ribera J. M. Optimal approach to treatment of patients with Philadelphia chromosome-positive acute lymphoblastic leukemia: how to best use all the available tools // Leuk Lymphoma. — 2012. — PMID 22762547.
- 1 2 Ravandi F. Managing Philadelphia chromosome-positive acute lymphoblastic leukemia: role of tyrosine kinase inhibitors // Clin Lymphoma Myeloma Leuk.. — 2011. — Т. 11, вып. 2. — С. 198—203. — doi:10.1016/j.clml.2011.03.002. — PMID 21575924.
- ↑ Hunger S. P. Tyrosine kinase inhibitor use in pediatric Philadelphia chromosome-positive acute lymphoblastic anemia // Hematology Am Soc Hematol Educ Program.. — 2011. — Т. 2011, вып. 1. — С. 361—5. — doi:10.1182/asheducation-2011.1.361. — PMID 22160058. Архивировано 18 апреля 2012 года.
- ↑ Stams W. A., den Boer M. L., Beverloo H. B., Meijerink J. P., van Wering E. R., Janka-Schaub G. E., Pieters R. Expression levels of TEL, AML1, and the fusion products TEL-AML1 and AML1-TEL versus drug sensitivity and clinical outcome in t(12;21)-positive pediatric acute lymphoblastic leukemia // Clin Cancer Res.. — 2005. — Т. 11, вып. 8. — С. 2974—2980. — doi:10.1158/1078-0432.CCR-04-1829. — PMID 15837750. Архивировано 31 марта 2017 года.
- ↑ Bicocca V. T., Chang B. H., Kharabi Masouleh B., Muschen M., Loriaux M. M., Druker B. J., Tyner J. W. Crosstalk between ROR1 and the Pre-B Cell Receptor Promotes Survival of t(1;19) Acute Lymphoblastic Leukemia // Cancer Cell. — 2012. — Т. 22, вып. 5. — С. 656—667. — doi:10.1016/j.ccr.2012.08.027. — PMID 23153538.
- 1 2 Andersen M. K., Autio K., Barbany G., Borgström G., Cavelier L., Golovleva I., Heim S., Heinonen K., Hovland R., Johannsson J.H., Johansson B., Kjeldsen E., Nordgren A., Palmqvist L., Forestier E. Paediatric B-cell precursor acute lymphoblastic leukaemia with t(1;19)(q23;p13): clinical and cytogenetic characteristics of 47 cases from the Nordic countries treated according to NOPHO protocols // Br J Haematol.. — 2011. — Т. 155, вып. 2. — С. 235—243. — doi:10.1111/j.1365-2141.2011.08824.x. — PMID 21902680.
- ↑ Hunger S. P. Chromosomal translocations involving the E2A gene in acute lymphoblastic leukemia: clinical features and molecular pathogenesis // Blood. — 1996. — Т. 87, вып. 4. — С. 1211—1224. — PMID 8608207.
- ↑ Использование педиатрических протоколов лечения острого лимфобластного лейкоза у взрослых Архивная копия от 3 февраля 2014 на Wayback Machine — Zdrav.ru
- ↑ Neri L. M., Cani A., Martelli A. M., Simioni C., Junghanss C., Tabellini G., Ricci F., Tazzari P. L., Pagliaro P., McCubrey J. A., Capitani S. Targeting the PI3K/Akt/mTOR signaling pathway in B-precursor acute lymphoblastic leukemia and its therapeutic potential // Leukemia. — 2013. — Вып. Jul 29. — doi:10.1038/leu.2013.226. — PMID 23892718.
- ↑ Paul S., Kantarjian H., Jabbour E. J. Adult Acute Lymphoblastic Leukemia. (англ.) // Mayo Clinic proceedings. — 2016. — Vol. 91, no. 11. — P. 1645—1666. — doi:10.1016/j.mayocp.2016.09.010. — PMID 27814839.
Литература
- Патологическая анатомия. Курс лекций. Под ред. В. В. Серова, М. А. Пальцева. — М.: Медицина, 1998
- Шулутко Б. И., Макаренко С. В. Стандарты диагностики и лечения внутренних болезней. 3-е изд. СПб.: «Элби-СПБ», 2005