Плевральный выпот

Плевральный выпот — это избыток жидкости, которая накапливается в плевральной полости, заполненном жидкостью пространстве, которое окружает лёгкие. Эта избыточная жидкость может ухудшить дыхание, ограничивая расширение лёгких.
Различные виды плеврального выпота, в зависимости от природы жидкости и того, что вызвало её попадание в плевральное пространство, включают гидроторакс (серозная жидкость), гемоторакс (кровь), уриноторакс (моча), хилоторакс (хилус) или пиоторакс (гной) широко известный как эмпиема плевры.
Напротив, пневмоторакс — это скопление воздуха в плевральном пространстве, и его обычно называют «коллапсирующее лёгкое».
Виды плеврального выпота
Различные методы могут быть использованы для классификации плевральной жидкости.
По происхождению жидкости:
- Серозная жидкость (гидроторакс)
- Кровь (гемоторакс)
- Хилус (хилоторакс)
- Гной (пиоторакс или эмпиема)
- Моча (urinothorax)
По патофизиологии:
- Транссудативный плевральный выпот
- Экссудативный плевральный выпот
- По основной причине (см. Следующий раздел)
Причины
Транссудативный
Наиболее распространёнными причинами транссудативного плеврального выпота являются сердечная недостаточность и цирроз печени. Нефротический синдром, приводящий к потере большого количества альбумина в моче и, как следствие, к низкому уровню альбумина в крови и снижению коллоидно-осмотического давления, является ещё одной менее частой причиной плеврального выпота.
Раньше считалось, что тромбоэмболия лёгочной артерии вызывает транссудативный выпот, но недавно было доказано, что он является экссудативным.[1] Механизм экссудативного плеврального выпота при тромбоэмболии лёгочной артерии, вероятно, связан с повышенной проницаемостью капилляров в лёгких, что является результатом высвобождения цитокинов или медиаторов воспаления (например, фактора роста эндотелия сосудов) из тромбоцитов, богатых тромбоцитами. Избыточная интерстициальная жидкость лёгкого пересекает висцеральную плевру и накапливается в плевральном пространстве.
Условия, связанные с транссудативными плевральными выпотами, включают:
- Хроническая сердечная недостаточность
- Цирроз печени
- Тяжёлая гипоальбуминемия
- Нефротический синдром
- Острый ателектаз
- Микседема
- Перитонеальный диализ
- Синдром Мейгса
- Обструктивная уропатия
- Конечная стадия заболевания почек
Экссудативный
Когда плевральный выпот определён как экссудативный, необходима дополнительная оценка, чтобы определить его причину, и следует измерить амилазу, глюкозу, pH и количество клеток.
- Количество эритроцитов увеличивается в случаях кровавых выпотов (например, после операции на сердце или гемоторакса из-за неполной эвакуации крови).
- Уровни амилазы повышены в случаях разрыва пищевода, выпота поджелудочной железы или рака.
- Глюкоза снижается при раке, бактериальных инфекциях или ревматоидном плеврите.
- рН при эмпиеме низкий (<7,2) и может быть низким при раке.
Если подозревается рак, плевральная жидкость отправляется на цитологическое исследование. Если цитология отрицательна, и рак все ещё подозревается, может быть выполнена либо торакоскопия, либо пункционная биопсия [3] плевры.
Причины
Наиболее распространёнными причинами экссудативного плеврального выпота являются бактериальная пневмония, рак (при раке лёгкого, раке молочной железы и лимфоме, вызывающей приблизительно 75% всех злокачественных плевральных выпотов), вирусная инфекция и лёгочная эмболия.
Другая распространённая причина — последствия операций на сердце. Случаи, когда из полости после операции не полностью удалена кровь, может привести к воспалительной реакции, которая вызывает экссудативный плевральный выпот.
Условия экссудативных плевральных выпотов:
- Парапневмонический выпот из-за пневмонии
- Злокачественная опухоль (рак лёгких или метастазы в плевру из других мест)
- Инфекция (эмпиема из-за бактериальной пневмонии)
- Травма
- Инфаркт лёгкого
- Лёгочная эмболия
- Аутоиммунные расстройства
- Панкреатит
- Разорванный пищевод (синдром Бурхаве)
- Ревматоидный плеврит
- Лекарственная волчанка
Другие / негруппированные
Другие причины плеврального выпота включают туберкулёз (хотя пятна плевральной жидкости редко бывают положительными для кислотоустойчивых бацилл, это является наиболее распространённой причиной выпота плевры в некоторых развивающихся странах), аутоиммунные заболевания, такие как системная красная волчанка, кровотечение (часто из-за к травм груди), хилоторакс (чаще всего вызванный травмой) и случайное вливание жидкостей.
Менее распространённые причины включают разрыв пищевода или заболевание поджелудочной железы, внутрибрюшные абсцессы, ревматоидный артрит, асбесто-плевральный выпот, мезотелиому, синдром Мейгса (асцит и плевральный выпот из-за доброкачественной опухоли яичника) и синдром гиперстимуляции яичников.
Плевральные выпоты могут также возникать в результате медицинских или хирургических вмешательств, включая использование медикаментов (плевральная жидкость обычно эозинофильна), шунтирование коронарной артерии, абдоминальная хирургия, эндоскопическая варикозная склеротерапия, лучевая терапия, пересадка печени или лёгких, введение желудочкового шунта в качестве метода лечения гидроцефалии, и установки туннелируемого или нетуннелируемого центрального венозного катетера.
Диагностика
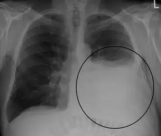
Плевральный выпот обычно диагностируется на основании истории болезни и физического обследования, а также подтверждается рентгенографией грудной клетки.
Следующие клинические признаки обычно проявляются, как только накопленная жидкость превышает 300 мл:
- уменьшение движения грудной клетки на поражённой стороне,
- притупление перкуссии по жидкости,
- уменьшение дыхательных звуков на поражённой стороне,
- снижение вокального резонанса и свободного дыхания (хотя это противоречивый и ненадёжный признак).
Над выпотом, где лёгкое сдавлено, могут проявиться бронхиальные звуки дыхания и эгофония. Большой выпот может вызвать отклонение трахеи от выпота. Систематический обзор (2009 г.), опубликованный в рамках серии Rational Clinical Examination в журнале Американской медицинской ассоциации, показал, что тупость по сравнению с обычными перкуссиями была наиболее точной для диагностики плеврального выпота.[2]
Лечение
Лечение зависит от первопричины плеврального выпота.
Терапевтическая аспирация может быть достаточной, однако, при больших выпотах может потребоваться введение межрёберного дренажа. При работе с дренажными трубками важно убедиться, что они не закупорены или не забиты: забитая дренажная трубка, в условиях непрерывного производства организмом жидкости (выпота) приведёт к тому, что после удаления дренажной трубки часть жидкости останется. Эта жидкость может привести к осложнениям, таким как гипоксия из-за коллапса лёгкого из-за жидкости или фибротораксу, если происходит рубцевание.
При повторных выпотах может потребоваться химический (тальк, блеомицин, тетрациклин / доксициклин) или хирургический плевродез.
Плевродез не удаётся в 30% случаев и, в таких случаях, альтернативой является установка плеврального катетера PleurX или дренажного катетера Aspira. Это грудная трубка 15Fr с односторонним клапаном. Каждый день пациент или медицинский персонал подключают его к простой вакуумной трубке и удаляют от 600 до 1000 мл жидкости, что можно повторять ежедневно. Когда трубка не используется, она должна быть закрыта. Это позволяет пациентам находиться вне больницы. Пациентам со злокачественными плевральными выпотами данная мера позволяет продолжать химиотерапию, если она показана. Как правило, трубка устанавливается на период около 30 дней, а затем удаляется, когда пространство подвергается спонтанному плевродезу.
Ссылки
- ↑ José Porcel, Richard Light. Pleural effusions due to pulmonary embolism (ENGLISH) // Current Opinion in Pulmonary Medicine. — 2008-07. — Т. 14, вып. 4. — С. 337–342. — ISSN 1070-5287. — doi:10.1097/MCP.0b013e3282fcea3c. Архивировано 27 сентября 2019 года.
- ↑ Camilla L. Wong, Jayna Holroyd-Leduc, Sharon E. Straus. Does This Patient Have a Pleural Effusion? (англ.) // JAMA. — 2009-01-21. — Vol. 301, iss. 3. — P. 309–317. — ISSN 0098-7484. — doi:10.1001/jama.2008.937.