Порокератоз Мибелли
| Порокератоз Мибелли | |
|---|---|
| | |
| МКБ-11 | ED52 |
| МКБ-10 | Q82.8 |
| OMIM | 175800 |
| DiseasesDB | 31356 |
| MeSH | D017499 |
Порокератоз Мибелли — редкий хронический кератоз, наследуемый по аутосомно-доминантному типу, характеризующийся нарушением кератинизации эпидермиса в зоне выводных протоков потовых желез.
Впервые заболевание было описано в 1889 г. итальянским дерматологом В.Мибелли[1].
Эпидемиология и этиология
Заболевание наследуется по аутосомно-доминантому типу, так же описаны случаи спорадических эпизодов. В основе заболевания лежит нарушение кератинизации, которое проявляется очагами фокальной потери зернистого слоя и образованием компактных паракератотических масс в виде роговых пластин. Локализация этих пластин: выводные протоки потовых желез, устья волосяных фолликулов[2].
Классификация
Выделяют следующие клинические варианты пророкератоза Мибелли:
- классический порокератоз Мибелли;
- поверхностный диссеминированный актинический порокератоз Респиги;
- линеарный порокератоз;
- точечный порокератоз;
- порокератоз ладонно-подошвенный.
Клиническая картина
Классический порокератоз Мибелли
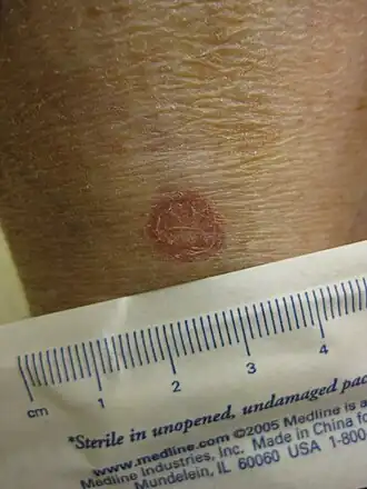
В основном проявляется в детском возрасте. Характеризуется появлением небольших бляшек серовато-коричневого или медно-красного цвета, диаметром до 6-10 мм. Локализируются в основном на лице, разгибательных поверхностях верхних и нижних конечностей. В результате медленного роста бляшек, они могут достигать размера до 6-7 см в диаметре.
Поверхностный диссеминированный актинический порокератоз Респиги
Чаще всего симптомы появляются у людей старше 30 лет. Очаги поражения в основном локализуются на открытых участках кожи, поэтому ведущим фактором в развитии заболевания считают УФ-облучение.
Линеарный порокератоз
Заболевание возникает с рождения, либо в детском возрасте. Папулы и бляшки расположены линейно. Высыпания поражают какой-либо сегмент или могут быть генерализованными.
Точечный порокератоз
Проявляется мелкими диффузными красноватыми папулами. Локализуется на коже пальцев, ладоней и подошв.
Порокератоз ладонно-подошвенный
Начинается заболевание в возрасте 20-30 лет в виде коричнево-желтых папул с кратерообразным углублением в центре, окруженных роговым валиком. Локализуются на коже внутренней поверхности предплечий, ладоней и подошв, затем распространяется на тыльную поверхность кистей и стоп, а также на туловище[2].
Дифференциальная диагностика
Дифференциальную диагностику проводят со следующими заболеваниями:
- перфорирующий серпигинозный эластоз;
- болезнь Кирле;
- стойкий лентикулярный гиперкератоз Флегеля;
- псориаз;
- простой хронический лишай;
- гипертрофический красный плоский лишай;
- плоские бородавки[2];
Диагностика
Диагноз ставится на основании клинической картины, дерматоскопии и результатах гистологического исследования биоптатов кожи. При гистологии выявляется гиперкератоз типа роговой пробки с паракератотические клетками в центральной части[3].
Лечение
При лечении порокератоза Мибелли применяют системные ретиноиды. Местно используют крем с 5-флуоурацилом, имиквимод, топические кортикостероидные средства, салициловую кислоту. Хирургические методы — криотерапия, эксцизия, дермабразия.
Примечание
- ↑ Д.В. Прошутинская, Л.В. Текучева, О.Р. Катунина, И.А. Трофимчук, Ф.Г. Балабекова. Случай порокератоза Мибелли с унилатеральным расположением очагов поражения // Наблюдение из практики. — 2010.
- 1 2 3 Федеральные клинические рекомендации. Дерматовенерология: Болезни кожи. Инфекции, передаваемые половым путем. — Деловой экспресс, 2015. — 768 с. — ISBN 978-5-89644-123-6.
- ↑ Л.А. Анисимова, О.А. Сидоренко, В.В. Старостенко. ПОРОКЕРАТОЗ ПОВЕРХНОСТНЫЙ ДИССЕМИНИРОВАННЫЙ АКТИНИЧЕСКИЙ: КЛИНИЧЕСКИЙ СЛУЧАЙ // Медицинский вестник Юга России. — 2013.