Санация полости рта

Санация полости рта
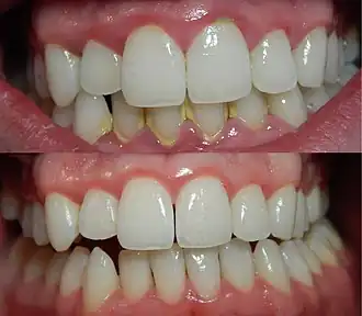
Зубы до (сверху) и после (снизу) механической чистки
Зубы до (сверху) и после (снизу) механической чистки
MeSH D012534
Логотип Викисклада Медиафайлы на Викискладе

Сана́ция по́лости рта (от лат. sanatio «лечение, оздоровление») — комплекс лечебно-профилактических мероприятий по оздоровлению полости рта, выявлению и устранению патологических изменений и функциональных нарушений органов полости рта, предупреждению стоматологических заболеваний. Является основным компонентом стоматологической профилактики.

Включает лечение кариеса зубов и его осложнений — пульпита и периодонтита, устранение дефектов тканей зуба не кариозной природы путём пломбирования, исправление деформированных зубов и челюстей, протезирование, удаление зубного камня, устранение очагов инфекции и интоксикации, удаление зубов, ортодонтическое и ортопедическое лечение.

Наиболее эффективной считается санация, проводимая на протяжении продолжительного времени одним специалистом, особенно в случае патологических процессов[1].

Показания

  • Детям дошкольного и школьного возраста (рекомендуется 2-3 раза в год).
  • Женщинам во время беременности.
  • Работающим на вредном производстве, или в условиях, способствующих развитию патологии зубов, например на производстве химикатов, кислот или кондитерских изделий.
  • Наличие хронических заболеваний.
  • Перед хирургическим вмешательством.

Примечания

  1. САНАЦИЯ ПОЛОСТИ РТА — Большая Медицинская Энциклопедия. xn--90aw5c.xn--c1avg. Дата обращения: 3 сентября 2019. Архивировано 29 августа 2017 года.

Литература

  • Санация полости рта // 1. Малая медицинская энциклопедия. — М.: Медицинская энциклопедия. 1991—96 гг. 2. Первая медицинская помощь. — М.: Большая Российская Энциклопедия. 1994 г. 3. Энциклопедический словарь медицинских терминов. — М.: Советская энциклопедия. — 1982—1984 гг.
  • Санация полости рта // Большая советская энциклопедия : [в 30 т.] / гл. ред. А. М. Прохоров. — 3-е изд. М. : Советская энциклопедия, 1969—1978.

См. также