Сибирская язва

Сибирская язва
Микрофотография бацилл сибирской язвы. Окраска по Граму
Микрофотография бацилл сибирской язвы. Окраска по Граму
МКБ-11 1B97
МКБ-10 A22
МКБ-10-КМ A22.9 и A22
МКБ-9 022
МКБ-9-КМ 022.9[1][2], 022[1][2] и 022.8[2]
OMIM 606410
DiseasesDB 1203
MedlinePlus 001325
eMedicine med/148 
MeSH 68000881
Логотип Викисклада Медиафайлы на Викискладе

Сиби́рская я́зва (карбункул злокачественный, антракс, anthrax[3]; др.-греч. ἄνθραξ — «уголь, карбункул») — особо опасная инфекционная болезнь сельскохозяйственных и диких животных всех видов, а также человека, вызываемая бактерией Bacillus anthracis. Болезнь протекает молниеносно, сверхостро, остро и подостро (у овец и крупного рогатого скота), ангинозно (у свиней), преимущественно в карбункулёзной форме — у человека. Встречаются также орофарингеальная и гастроинтестинальная формы[4]. Характеризуется интоксикацией, развитием серозно-геморрагического воспаления кожи, лимфатических узлов и внутренних органов; протекает в кожной или септической форме (также у животных встречаются кишечная и лёгочная формы).

Признаки и симптомы

Кожа

Внешний вид язвенных карбункулов
Гнойно-септическое поражение тканей и воспалительные процессы при кожной форме заболевания

Кожная сибирская язва, также известная как болезнь скрытого носителя, проявляется, когда сибирская язва возникает на коже. Является наиболее распространённой формой (>90 % случаев сибирской язвы). Это и наименее опасная форма (низкая летальность с лечением, без лечения летальность составляет ~20 %)[5]. Кожная сибирская язва представляет собой фурункуло-подобное поражение кожи, которое в конечном итоге образует язву с чёрным центром (струп). Чёрный струп часто проявляется как большая, безболезненная некротическая язва (начинающаяся как раздражающее и зудящее кожное повреждение или блистер, темный и обычно концентрированный как чёрная точка, несколько напоминающая хлебную плесень) в месте заражения. Как правило, кожная форма инфекции образуется в месте проникновения спор между двумя и пятью днями после контакта с возбудителем. В отличие от синяков или большинства других повреждений, кожные проявления сибирской язвы обычно не вызывают боли. Соседние лимфатические узлы также могут вовлечены в процесс с покраснением, отёком и болью. Вскоре над повреждением образуются струпья, которые пропадают через несколько недель. Полное восстановление может занять больше времени[6]. Кожная форма сибирской язвы обычно возникает, когда споры B. anthracis проникают через повреждения кожи. Данная форма обычно встречается, когда человек взаимодействует с инфицированными животными и/или продуктами животного происхождения.

Кожная сибирская язва редко бывает смертельной при лечении[7], поскольку область инфекции ограничена кожей, что предотвращает проникновение летального фактора, фактора отека и защитного антигена в жизненно важные органы и их разрушение. Без лечения около 20 % случаев кожной формы прогрессируют до токсемии и смерти.

Лёгкие

Флюорограмма больного лёгочной формой заболевания

Респираторная инфекция у человека встречается относительно редко и представляет собой две стадии[8]. Она заражает лимфатические узлы сначала в грудной клетке, а не в самих лёгких, состояние, называемое геморрагическим медиастинитом, вызывая кровяное скопление жидкости в грудной полости, что вызывает одышку. Первый этап вызывает простудные и гриппоподобные симптомы. Симптомы включают в себя лихорадку, одышку, кашель, усталость и озноб. Это может длиться от нескольких часов до дней. Часто многие смертельные случаи от ингаляционной сибирской язвы происходят тогда, когда она ошибочно принята за простуду или грипп и пострадавший не ищет лечения до второй стадии, что на 90 % смертельно. Вторая (пневмония) стадия возникает, когда инфекция распространяется из лимфоузлов в лёгкие. Симптомы второй стадии развиваются внезапно после нескольких часов или дней первой стадии. Симптомы включает высокую температуру, крайнюю одышку, шок и быструю смерть в течение 48 часов при смертельных случаях. Уровень смертности в прошлом составлял более 85 %, однако при раннем лечении (наблюдавшемся при заболеваниях сибирской язвой в 2001 году) наблюдаемый уровень смертности снизился до 45 %[7]. Различие между лёгочной сибирской язвой и более распространёнными причинами респираторных заболеваний имеет важное значение для того, чтобы избежать задержек в диагностике и тем самым улучшить результаты. Для этого разработан алгоритм[9].

Желудочно-кишечный тракт

Желудочно-кишечная (ЖК) инфекция чаще всего вызвана потреблением мяса, инфицированного сибирской язвой, и характеризуется диареей, потенциально с кровью, болями в животе, острым воспалением кишечного тракта и потерей аппетита[10]. Периодически может возникнуть рвота кровью. Повреждения обнаружены в кишечнике, а также во рту и горле. После того, как бактерии вторгаются в пищеварительную систему, она распространяется в кровоток и по всему телу, продолжая при этом производить токсины. Инфекции ЖКТ можно вылечить, но обычно они приводят к летальному исходу от 25 % до 60 %, в зависимости от того, как скоро начнется лечение. Эта форма сибирской язвы — редчайшая.

Этимология

Сибирская язва, известная с древнейших времен под названиями «священный огонь», «персидский огонь» и другие, неоднократно упоминалась в сочинениях античных и восточных писателей и учёных. Подробное описание клиники этой болезни было сделано французским врачом Мораном в 1766 году. В дореволюционной России, ввиду преимущественного распространения в Сибири, это заболевание получило название «сибирская язва», когда российский врач С. С. Андреевский в 1788 году описал в сочинении «О сибирской язве» крупную эпидемию этой инфекции в западносибирских губерниях, а в опыте самозаражения установил идентичность сибирской язвы животных и человека и доказал возможность её передачи от животных к людям.

Этиология

Бактерии сибирской язвы (золотистые палочки) в живой ткани, сверху эритроцит бордового цвета. Образец ткани взят из селезёнки обезьяны, поражённой лёгочной формой сибирской язвы

Возбудитель заболевания был почти одновременно описан в 1849—1850 годах сразу тремя исследователями: А. Поллендером, Ф. Брауэллем и К. Давеном. В 1876 году Р. Кох выделил его в чистой культуре. Из всех патогенных для человека бактерий возбудитель сибирской язвы был открыт первым. Общепринятое на сегодняшний день наименование сибирской язвы — антракс, от др.-греч. ἄνθραξ «уголь, карбункул»: такое название было дано по характерному угольно-чёрному цвету сибиреязвенного струпа при кожной форме болезни.

Возбудитель сибирской язвы — бацилла Bacillus anthracis. Она представляет собой крупную спорообразующую грамположительную палочку размером (5-10)×(1,0-1,5) мкм. Бациллы сибирской язвы хорошо растут на мясопептонных средах, содержат капсульный и соматический антигены и способны выделять экзотоксин, представляющий собой белковый комплекс, состоящий из вызывающего отёк (повышение концентрации цАМФ), протективного (взаимодействует с мембранами клеток, опосредует активность других компонентов) и летального (цитотоксический эффект, отёк лёгких) компонентов. Капсула — антифагоцитарная активность.

Сибиреязвенная бактерия вне организма при доступе кислорода образует споры, вследствие чего обладает большой устойчивостью к высокой температуре, высушиванию и дезинфицирующим веществам. Споры бактерий сибирской язвы могут сохраняться годами; пастбище, заражённое испражнениями и мочой больных животных, может долгие годы сохранять сибиреязвенные споры[11]. Крестьяне называли такие пастбища «проклятыми полями»[12]. Вегетативные формы сибиреязвенной палочки быстро погибают при кипячении и воздействии обычных дезинфектантов. При автоклавировании споры при температуре 110 °C гибнут лишь через сорок минут. Сухой жар при температуре 140 °C убивает споры через два с половиной — три часа. Прямые солнечные лучи споры сибирской язвы выдерживают в течение десяти — пятнадцати суток. Спороцидным действием обладают также активированные растворы хлорамина, горячего формальдегида, перекиси водорода.

Источником инфекции являются больные сельскохозяйственные животные: крупный рогатый скот, лошади, ослы, овцы, козы, олени, верблюды, у которых болезнь протекает в генерализованной форме. Домашние животные — кошки, собаки — мало восприимчивы.

Сибирская язва у животных характеризуется следующими особенностями:

  1. короткий инкубационный период, обычно не превышающий 3-4 дня (при легочной форме может составлять 2-3 недели);
  2. выраженная клиника в виде тяжёлого лихорадочного состояния, упадка сердечно-сосудистой деятельности, менингеальных явлений, кровавой диареи и рвоты;
  3. стремительное развитие инфекционного процесса, заканчивающегося гибелью животных в течение, как правило, первых 2-3 суток.

Крупный рогатый скот и лошади: как правило протекает остро и подостро. Характеризуется: (септическая форма) резким повышением температуры, апатией, снижением продуктивности, отёками головы, шеи и подгрудка; (кишечная форма) апатией, отказом от корма, кровавой диареей и рвотой, тимпанией.

Свиньи: (ангинозная форма) встречается только у свиней и протекает бессимптомно; изменения можно обнаружить только при ветеринарно-санитарной экспертизе туш по характерному катарально-геморрагическому воспалению лимфатических узлов.

Эпизоотии сибирской язвы территориально привязаны к почвенным очагам — хранилищам возбудителей. Первичные почвенные очаги образуются в результате непосредственного инфицирования почвы выделениями больных животных на пастбищах, в местах стойлового содержания животных, в местах захоронения трупов (скотомогильники) и тому подобном. Вторичные почвенные очаги возникают путём смыва и заноса спор на новые территории дождевыми, талыми и сточными водами.

Заражение может произойти при участии большого числа факторов передачи. К ним относятся выделения из шкуры больных животных, их внутренние органы, мясные и другие пищевые продукты, почва, вода, воздух, предметы внешней среды, обсеменённые сибиреязвенными спорами.

Восприимчивость к сибирской язве у человека не зависит от возрастных, половых и других физиологических особенностей организма; она связана с путями заражения и величиной инфицирующей дозы.

Патогенез

Воротами для инфекции сибирской язвы обычно является повреждённая кожа. В редких случаях (в случае аэрогенного или алиментарного механизма передачи инфекции) бацилла внедряется через слизистые оболочки дыхательных путей и желудочно-кишечного тракта. На месте внедрения возбудителя в кожу возникает сибиреязвенный карбункул в виде очага серозно-геморрагического воспаления с некрозом, отёком прилегающих тканей и регионарным лимфаденитом. Местный патологический процесс обусловлен действием экзотоксина сибиреязвенной палочки, отдельные компоненты которого вызывают выраженные нарушения микроциркуляции, отёк тканей и коагуляционный некроз.

Вне зависимости от входных ворот инфекции первая стадия представляет собой локализованное поражение регионарных лимфатических узлов, вторая стадия — генерализацию процесса.

Генерализация инфекции с прорывом возбудителей сибирской язвы в кровь и развитием септической формы происходит при кожной форме сибирской язвы чрезвычайно редко.

Сибиреязвенный сепсис обычно развивается при внедрении возбудителя через слизистые оболочки дыхательных путей или желудочно-кишечного тракта. В этих случаях нарушение барьерной функции трахеобронхиальных или мезентериальных лимфатических узлов приводит к генерализации процесса. Бактериемия и токсинемия могут явиться причиной развития инфекционно-токсического шока.

В основе патогенеза лежит действие экзотоксина возбудителя, который состоит, по крайней мере, из трёх компонентов или факторов:

  • первого (I), эдематозного (воспалительного) фактора;
  • второго (II), протективного (защитного) фактора;
  • третьего (III), летального фактора. Добавление I фактора ко II фактору увеличивает иммуногенные свойства, III фактора — их снижает.

Смесь I и II факторов вызывает увеличение воспалительной реакции и отёка за счёт увеличения проницаемости капилляров. Смесь II и III факторов усиливает действие летального фактора и приводит к гибели морских свинок, крыс и мышей. Смесь трёх факторов сибиреязвенного токсина (I, II, III) оказывает воспалительное (эдематозное) и летальное действие.

Морфологической сущностью сибиреязвенного сепсиса является острое серозно-геморрагическое, геморрагическое, реже — фибринозно-геморрагическое воспаление. Лейкоцитарная реакция в очагах воспаления при сепсисе выражена слабо или отсутствует. В органах иммуногенеза (селезёнка, лимфоузлы, вилочковая железа) имеется подавление иммунной защиты организма с замещением лимфоидной ткани макрофагами и наличие примитивной защитной реакции в виде макрофагального незавершённого фагоцитоза возбудителя.

Клиническая картина

Продолжительность инкубационного периода колеблется от нескольких часов до дней, чаще всего составляет 2—3 дня. Заболевание может протекать в локализованной (кожной) или генерализованной (лёгочной и кишечной) форме.

Кожная форма сибирской язвы

Встречается в 98—99 % всех случаев сибирской язвы. Наиболее частой её разновидностью является карбункулёзная форма, реже встречаются эдематозная, буллёзная и эризипелоидная формы заболевания. Поражаются преимущественно открытые части тела; особенно тяжело протекает болезнь при локализации карбункулов на голове, шее, слизистых оболочках рта и носа.

Клиника генерализации сибиреязвенной инфекции, вне зависимости от формы — кожной или висцеральной, — при крайнем многообразии проявлений в начальном периоде болезни в терминальной стадии однотипна: она сопровождается выходом в периферическую кровь сибиреязвенных бактерий, концентрация которых достигает сотен тысяч и миллионов бактериальных клеток в 1 мм³ крови, что может рассматриваться как сибиреязвенный сепсис, и представляет собой клинику инфекционно-токсического шока. Это тяжёлые нарушения свертывающей и антисвертывающей систем крови, ацидоз, острая почечная недостаточность, падение температуры тела ниже нормы, сильнейшая интоксикация.

Обычно карбункул бывает один, но иногда их количество доходит до 10-20 и более. На месте входных ворот инфекции последовательно развивается пятно, папула, везикула, язва. Безболезненное пятно красновато-синего цвета и диаметром 1—3 мм, имеющее сходство со следом от укуса насекомого, через несколько часов переходит в папулу медно-красного цвета. Нарастает зуд и ощущение жжения. Через 12—24 часов папула превращается в пузырёк диаметром 2—3 мм, заполненный жидкостью, которая темнеет и становится кровянистой. При расчёсывании (иногда и самопроизвольно) пузырёк лопается, и на его месте образуется язва с тёмно-коричневым дном, приподнятыми краями и серозно-геморрагическим отделяемым. Через сутки язва достигает 8—15 мм в диаметре. В результате некроза центральная часть язвы через 1—2 недели превращается в чёрный безболезненный плотный струп, вокруг которого имеется выраженный воспалительный валик красного цвета. Внешне струп напоминает уголёк в пламени, что и послужило поводом для названия этой болезни (Antrax — уголь). Это поражение и получило название карбункула.

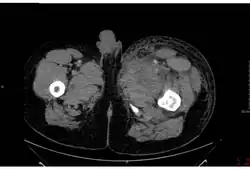
Септическая форма сибирской язвы

Отёк и некроз в тканях большой приводящей мышцы на КТ при септической форме заболевания

Септическая форма встречается довольно редко. Заболевание начинается остро с озноба и повышения температуры до +39…+40 °C. Наблюдаются выраженные тахикардия, одышка, тахипноэ, боли в груди и кашель с выделением пенистой кровянистой мокроты. Определяются признаки пневмонии и плеврального выпота. При развитии инфекционно-токсического шока возникает геморрагический отёк лёгких. В крови и мокроте обнаруживают большое количество сибиреязвенных бактерий. У части больных появляются боли в животе, присоединяются тошнота, кровавая рвота, жидкий кровянистый стул. В последующем развивается парез кишечника, возможен перитонит. Обнаруживаются симптомы менингоэнцефалита. Инфекционно-токсический шок, отёк и набухание головного мозга, желудочно-кишечное кровотечение и перитонит могут явиться причиной летального исхода уже в первые дни заболевания.

Диагностика

Диагноз ставится на основе клинико-эпидемиологических и лабораторных данных. Лабораторная диагностика включает бактериоскопический и бактериологический методы, а в целях ранней диагностики — иммунофлюоресцентный. Применяют также аллергологическую диагностику сибирской язвы путём внутрикожной пробы с антраксином, дающей положительные результаты после 5-го дня болезни. Материалом для лабораторного исследования являются содержимое везикул и карбункулов, а также мокрота, кровь, испражнения и рвотные массы при септической форме.

Дифференциальная диагностика

Сибирскую язву различают с сапом, банальными фурункулами и карбункулами, чумой, туляремией, рожей, пневмониями и сепсисом иной этиологии.

Лечение и профилактика

Раннее антибактериальное лечение сибирской язвы имеет важное значение, поскольку задержка значительно снижает шансы на выживание. Лечение инфекции от сибирской язвы и других бактериальных инфекций включает большие дозы внутривенных и пероральных антибиотиков, таких как фторхинолоны (ципрофлоксацин), доксициклин и пенициллин, а также эритромицин и ванкомицин. В возможных случаях легочной сибирской язвы ранний профилактический приём антибиотиков имеет решающее значение для предотвращения возможной смерти. В последние годы было сделано много попыток разработать новые препараты против сибирской язвы, но существующие препараты эффективны, если лечение началось достаточно скоро. В патогенетической терапии используют коллоидные и кристаллоидные растворы, плазму, альбумин, глюкокортикостероиды. Хирургические вмешательства при кожной форме болезни недопустимы: они могут привести к генерализации инфекции. Другие препараты: раксибакумаб.

Десять доз вакцины адсорбированной

Профилактические мероприятия осуществляют в тесном контакте с ветеринарной службой. Выявленных больных животных следует изолировать, а их трупы сжигать; инфицированные объекты необходимо обеззараживать. Для дезинфекции шерсти и меховых изделий применяется камерная дезинфекция. Лица, находившиеся в контакте с больными животными или заразным материалом, подлежат активному врачебному наблюдению в течение 2 недель. Важное значение имеет вакцинация людей и животных сухой живой сибиреязвенной вакциной. Первую вакцину изобрёл и испытал французский микробиолог и химик Луи Пастер[13][14]. В России одна из первых таких вакцин, вакцина Ланге, создана Иваном Николаевичем Ланге и Львом Семеновичем Ценковским[13][15].

Прогноз

Прогноз во многом определяется формой и стадией заболевания, в целом является условно неблагоприятным и возможен летальный исход даже при адекватном и своевременном лечении.

При отсутствии соответствующего лечения кожной формы летальность составляет 10—20 %. При лёгочной форме заболевания в зависимости от штамма возбудителя летальность может превышать 90—95 %, даже при соответствующем лечении. Кишечная форма — около 50 %. Сибиреязвенный менингит — 90 %.

Эпизоотологическая обстановка в странах бывшего СССР

Россия

Об эпизоотиях сибирской язвы в России имеются сообщения в летописях с 978 года. В X веке народу уже было известно данное заболевание и степень его заразности, что приводило к проведению соответствующих санитарных мероприятий. Пример — в царских указах 1631—1640 годов предлагалось сообщать об этой болезни соседним местам и воеводам, устанавливать заставы, заражённых животных не продавать и не покупать и т. д.[16]

Вспышки сибирской язвы регистрируются в России и по сегодняшний день.

23 июля 2016 года появилось извещение ветеринарного надзора о падеже оленей на одном участке тундры в Ямальском районе[17][18]. 3 августа 2016 года появились сообщения об эпидемии сибирской язвы в Ямало-Ненецком автономном округе. Для ликвидации вспышки сибирской язвы привлекались Вооружённые силы[19][20].

9 ноября 2016 года на севере Волгоградской области в Нехаевском районе, граничащем с Ростовской и Воронежской областями, был установлен случай падежа коровы[21].

В 2019 году в селе Подлужное Ставропольского края было зафиксировано заражение женщины после забоя бычка[22].

24 октября 2020 года в Дагестане в селе Какамахи Карабудахкентского района зафиксировано пять случаев заболевания сибирской язвой[23].

21 июня 2022 года в Ставропольском крае в Изобильненском округе у жительницы станицы Рождественская подтверждено заболевание сибирской язвой[24].

15 марта 2023 года в Чувашии в Цивильском районе у двоих человек зафиксировано заражение сибирской язвой. 22 марта был выявлен ещё один случай в ходе мониторинга здоровья тех, кто контактировал с первыми заболевшими[25].

30 июня 2023 года в СМИ появились сообщения о госпитализации с симптомами сибирской язвы жителя Республики Тыва[26].

20 августа 2023 года на части территории Панинского и Новоусманского районов Воронежской области введены ограничения в связи со случаем заражения человека в селе Красные Холмы, Панинского района Воронежской области[27][28]. 22 августа на территории города Воронеж введены ограничительные мероприятия в связи с обнаружением зараженного мяса в морозильной камере[29][30].

Беларусь

Газета «Наша нива» (№ 23) сообщала в 1914 году про эпидемию сибирской язвы в Шеметово«СВЕНТЯНСКИЙ уезд. Во дворе Шеметово помещ. Скирмунта от карбункула (сибирская язва) погибли лошади и гибнут коровы, так же по деревням гибнет скот»[31].

Последний случай этого заболевания среди животных зарегистрирован в деревне Хотомель Столинского района 10 августа 2019 года. По данным санитарно-эпидемиологической службы г. Минска, всего на территории РБ зарегистрировано 505 почвенных очагов сибирской язвы.

Кыргызстан

По данным[32] в Киргизии на 2012 г. было официально зарегистрировано 1235 почвенных очагов этой инфекции, из которых найдено и забетонировано менее половины. По официальным данным, из 652 очагов не найдено на местности 267. Но по отношению к найденным очагам (385; из них 57,7 % во дворах, 31,2 % на пастбищах и 11,1 % на летних выпасах) со стороны ветеринарной и хозяйственной служб почти нет оздоровительных мероприятий (дезинфекция и т. д.). Официальная регистрация и отчётность (особенно после 1991 г.) по заболеваемости животных остаётся неполной и в регионах, и в стране. С 2003 г. отмечается систематичная заболеваемость людей[32].

В 2012 году вспышка сибирской язвы зафиксирована в Киргизии, где с конца июля с подозрением на сибирскую язву госпитализировано 9 человек, у 5 человек диагноз подтверждён лабораторно.

В 2013 году госпитализировано 17 человек[33].

Летом 2018 года зарегистрирована очередная вспышка сибирской язвы, с подозрением на неё госпитализировано минимум 13 человек.

Казахстан

22 июня 2016 года введен режим ЧС в поселке Еркиндик Шетского района Карагандинской области. 8 Человек попали в инфекционную больницу. 2 человека скончались в результате заражения сибирской язвой.[34]

28 июля 2016 года также выявлена у трех пострадавших сибирская язва в Алматинской области в ауле Карашокы.[35]

В этом же году 1 сентября 2016 года в Карагандинской области подтвердили диагноз сибирская язва у троих пострадавших жителей. 2 человека из Ушарала и один из города Балхаш.[36]

Спустя 3 года произошла очередная вспышка болезни в Акмолинской области. 19 августа 2019 были госпитализированы 5 человек. На этот раз болезнь была обнаружена в почве.[37]

16 сентября 2019 года сибирская язва выявлена в Жамбылской области у 4 человек, которые участвовали в забое зараженного скота.[38]

26 октября 2023 года сибирская язва проявилась в Карагандинской области. В поселке Топар выявили болезнь у трех человек.[39]

Вспышки сибирской язвы в Казахстане будут периодически возникать и в дальнейшем.[40]

Сибирская язва (Anthrax) продолжает оставаться значимой проблемой для здравоохранения и ветеринарии в Республике Казахстан. Согласно ретроспективным данным, опубликованным в период с 1960 по 1980 годы отмечался значительный уровень заболеваемости среди людей и животных. Однако с 1980 года до середины 1990-х годов эпидемическая и эпизоотическая обстановка в стране стабилизировалась. Ежегодно регистрировалось от 13 до 25 случаев заболевания среди населения, что указывало на относительную стабильность.

В 1997 году произошел резкий всплеск заболеваемости, в результате которого было зафиксировано 66 случаев сибирской язвы среди населения. Этот рост совпал с изменениями в ветеринарной и санитарно-эпидемиологической службах страны, что могло повлиять на ухудшение контроля за инфекцией в регионах.

За последние годы эпизоотическая ситуация с сибирской язвой вновь привлекает внимание. Согласно официальным данным Министерства здравоохранения и Министерства сельского хозяйства Республики Казахстан, в период с 2021 по 2023 годы было зарегистрировано 18 вспышек сибирской язвы среди животных. В 2021 году было зафиксировано 6 вспышек, в 2022 году — 4 вспышки, а в 2023 году — 8. Всего за этот период сибирская язва была диагностирована у 78 животных, из которых 55 (70,5 %) составляли крупный рогатый скот, 19 (24,3 %) — лошади и 4 (5,1 %) — мелкий рогатый скот.

Несмотря на то, что в последние годы не наблюдается широкого эпидемического распространения сибирской язвы, проблема сохраняет актуальность. Ежегодно регистрируется от 3 до 10 случаев среди животных, что указывает на необходимость постоянного контроля и профилактических мер. Сибирская язва относится к числу особо опасных инфекционных заболеваний, которое может передаваться человеку при контакте с инфицированными животными или через продукты животного происхождения. В этой связи важную роль играет своевременная вакцинация скота, мониторинг эпизоотической обстановки и эпидемиологический надзор.

Таким образом, ситуация с сибирской язвой в Казахстане требует постоянного внимания со стороны ветеринарных и санитарных служб для предотвращения дальнейших вспышек и минимизации риска передачи инфекции человеку.[41]

Молдова

В июле 2013 года четыре случая заболевания сибирской язвой людей зарегистрированы на севере Молдавии (в селе Вэдень Сорокского района, у границы с Украиной).

Таджикистан

В Таджикистане ежегодно регистрируется от 15 до 30 случаев заражения людей сибирской язвой, преимущественно в тех районах, где развито животноводство, за 7 месяцев 2013 года зарегистрировано 18 случаев.

Армения

В октябре 2013 года в Армении госпитализировано 15 человек с подозрением на заболевание сибирской язвой, диагноз подтвердился у 11 заболевших.

В июне 2021 года было зафиксировано 3 случая заражения[42].

См. также

Примечания

  1. 1 2 Disease Ontology (англ.) — 2016.
  2. 1 2 3 Monarch Disease Ontology release 2018-06-29 — 2018-06-29 — 2018.
  3. Куличенко A.H., Буравцева Н.П., Рязанова А.Г., Еременко Е.И. Сибирская язва на Северном Кавказе. — Майкоп: Качество, 2016. — 198 с. — ISBN 978-5-9703-0540-9.
  4. Алла Астахова. Как лечили сибирскую язву. Блог о здравоохранении (28 октября 2016). Дата обращения: 2 ноября 2016. Архивировано 3 ноября 2016 года.
  5. Cutaneous Anthrax | Anthrax | CDC (амер. англ.). www.cdc.gov (28 января 2019). Дата обращения: 13 августа 2019. Архивировано 21 января 2018 года.
  6. CDC Anthrax Q & A: Signs and Symptoms. web.archive.org (5 апреля 2007). Дата обращения: 13 августа 2019. Архивировано 5 апреля 2007 года.
  7. 1 2 Jon-Erik C. Holty, Dena M. Bravata, Hau Liu, Richard A. Olshen, Kathryn M. McDonald. Systematic Review: A Century of Inhalational Anthrax Cases from 1900 to 2005 (англ.) // Annals of Internal Medicine. — 2006-02-21. Vol. 144, iss. 4. P. 270. ISSN 0003-4819. doi:10.7326/0003-4819-144-4-200602210-00009.
  8. Well. The New York Times. 1565600402. Архивировано 2017-07-24. Дата обращения: 2019-08-13. {{cite news}}: Проверьте значение даты: |date= (справка)
  9. CHEST (англ.). journal.publications.chestnet.org. Дата обращения: 13 августа 2019. Архивировано 6 июля 2017 года.
  10. Gastrointestinal Anthrax | Anthrax | CDC (амер. англ.). www.cdc.gov (28 января 2019). Дата обращения: 13 августа 2019. Архивировано 13 августа 2019 года.
  11. Merrill, Timmreck, 2005, с. 46.
  12. Поль де Крайф (де Крюи). Охотники за микробами. Издательство: Астрель, Полиграфиздат, 2012. ISBN 978-5-271-35518-9, ISBN 978-5-4215-3274-3
  13. 1 2 Возбудитель сибирской язвы. Сибирская язва. Bacillus anthracis. Эпидемиология сибирской язвы. Пути и механизмы заражения сибирской язвой. meduniver.com. Дата обращения: 4 сентября 2015. Архивировано 18 марта 2015 года.
  14. Merrill, Timmreck, 2005, с. 32.
  15. А. М. Руденко. Столетие русской военной ветеринарии. — 1912.
  16. Р.Ф.Сосов и др. Эпизоотология. М.: Колос, 1969. — 400 с.
  17. Министр Вероника Скворцова посетила Ямало-Ненецкий автономный округ в связи со вспышкой сибирской язвы. Дата обращения: 3 августа 2016. Архивировано 14 августа 2016 года.
  18. У ямальских кочевников обнаружили сибирскую язву. Дата обращения: 3 августа 2016. Архивировано 6 августа 2016 года.
  19. Минобороны России наращивает группировку для ликвидации очага вспышки сибирской язвы в ЯНАО. Дата обращения: 4 августа 2016. Архивировано 20 августа 2016 года.
  20. На Ямале выжигают сибирскую язву: спецрепортаж «Ленты.ру» с места событий: Общество: Россия: Lenta.ru. Дата обращения: 8 августа 2016. Архивировано 26 августа 2016 года.
  21. В Волгоградской области от сибирской язвы погибла корова. Дата обращения: 9 ноября 2016. Архивировано 10 ноября 2016 года.
  22. На Ставрополье сибирская язва. Началось расследование. Дата обращения: 29 декабря 2019. Архивировано 29 декабря 2019 года.
  23. В Дагестане заподозрили вспышку сибирской язвы. Дата обращения: 22 июня 2022. Архивировано 22 июня 2022 года.
  24. Жительница Ставрополья заразилась сибирской язвой. Дата обращения: 22 июня 2022. Архивировано 22 июня 2022 года.
  25. Еще у одного жителя Чувашии выявили симптомы сибирской язвы (22 марта 2023). Дата обращения: 22 марта 2023. Архивировано 22 марта 2023 года.
  26. Tayga. Telegram. Дата обращения: 30 июня 2023. Архивировано 30 июня 2023 года.
  27. Указ Губернатора Воронежской области от 20.08.2023 № 144-у «Об установлении ограничительных мероприятий (карантина) по заболеванию сибирской язвой на отдельных территориях Панинского, Новоусманского муниципальных районов Воронежской области» (недоступная ссылка история) (20 августа 2023).
  28. Что известно о сибирской язве в Воронежской области (21 августа 2023).
  29. Указ Губернатора Воронежской области от 22.08.2023 № 148-у «Об установлении ограничительных мероприятий (карантина) по заболеванию сибирской язвой на отдельной территории городского округа город Воронеж Воронежской области» (недоступная ссылка история) (22 августа 2023).
  30. Сибирская язва добралась до Воронежа (22 августа 2023).
  31. Высоцкі А. Што пра нас пісалі 90 год таму// Нарачанская зара. — № 142—144. — 11 верасня 2004 г.
  32. 1 2 Тайчиев И.Т., Жолдашов С.Т. Эпидемиологическое районирование территории Кыргызской республики по сибирской язве // Санитарный врач. — Москва: Издательство "Медиздат", 2013. — Январь (№ 1). С. 18—23. ISSN 2074-8841. Архивировано 5 сентября 2019 года.
  33. Роспотребнадзор. О ситуации по сибирской язве в 2013 году // Санитарный врач. — Москва: Издательство "Медиздат", 2014. — Май (№ 5). С. 5—6. ISSN 2074-8841. Архивировано 5 сентября 2019 года.
  34. Устинова, Татьяна. Диагноз "сибирская язва" подтвердился, в селе Еркиндик объявлен режим ЧС. zakon.kz (22 июня 2016). Дата обращения: 5 сентября 2024.
  35. Устинова, Татьяна. У трех жителей Алматинской области выявлена сибирская язва. zakon.kz (28 июля 2016). Дата обращения: 5 сентября 2024.
  36. В Карагандинской области у всех троих госпитализированных подтверждена сибирская язва. zakon.kz (1 сентября 2016). Дата обращения: 5 сентября 2024.
  37. Кунафин, Данияр. Сибирская язва в Акмолинской области. Госпитализированы пять сельчан. zakon.kz (19 августа 2019). Дата обращения: 5 сентября 2024.
  38. Сибирская язва выявлена в Жамбылской области. zakon.kz (16 сентября 2019). Дата обращения: 5 сентября 2024.
  39. Дробны, Никита. Три человека заразились сибирской язвой в Карагандинской области. zakon.kz (26 октября 2023). Дата обращения: 5 сентября 2024.
  40. «Биологическая безопасность РК всегда будет под угрозой» — эксперт — о сибирской язве - Новости taspanews.kz от 04 сентября 2024 15:51. taspanews.kz (4 сентября 2024). Дата обращения: 5 сентября 2024.
  41. «Сжигают даже почву, где лежало животное»: как борются с сибирской язвой в Казахстане - Новости taspanews.kz от 06 сентября 2024 14:33. taspanews.kz (6 сентября 2024). Дата обращения: 9 сентября 2024.
  42. В Армении зафиксировано три случая заболевания сибирской язвой. Газета.Ru. Дата обращения: 30 июня 2021. Архивировано 2 июля 2021 года.

Литература

Ссылки