Синдром Шегрена

Синдром Шёгрена
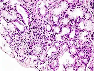
Гистологическая картина локальной лимфоидной инфильтрации малой слюнной железы при синдроме Шёгрена. Биопсия губы. Окраска гематоксилин-эозином
Гистологическая картина локальной лимфоидной инфильтрации малой слюнной железы при синдроме Шёгрена. Биопсия губы. Окраска гематоксилин-эозином
МКБ-11 4A43.2
МКБ-10 M35.0
МКБ-10-КМ M35.00 и M35.0
МКБ-9 710.2
МКБ-9-КМ 710.2[1][2]
OMIM 270150
DiseasesDB 12155
MedlinePlus 000456
eMedicine med/2136 emerg/537 derm/846 ped/2811 oph/477 oph/695
MeSH D012859
Логотип Викисклада Медиафайлы на Викискладе

Синдро́м Шёгрена — аутоиммунное системное поражение соединительной ткани, проявляющееся вовлечением в патологический процесс желез внешней секреции, главным образом слюнных и слёзных, и хроническим прогрессирующим течением.[3]

Название дано в честь шведского офтальмолога Хенрика Шёгрена (1899—1986 гг.), который впервые описал данный синдром.

Девять из десяти больных синдромом Шёгрена — женщины, чаще в климактерическом периоде, хотя синдром встречается в любом возрасте как у женщин, так и у мужчин. В США количество больных оценивается примерно в 4 000 000 человек, что делает данное заболевание вторым по распространенности среди аутоиммунных ревматических заболеваний.

Синдром Шёгрена может существовать сам по себе (первичный), или развиваться через много лет после начала других ревматических заболеваний, таких как ревматоидный артрит, системная красная волчанка, системная склеродермия, первичный билиарный цирроз и др.(вторичный синдром Шёгрена).

Этиология

Данный синдром относится к аутоиммунным заболеваниям.

Патогенез

Аутоиммунный процесс приводит к апоптозу секретирующих клеток и эпителия выводных протоков, вызывая повреждение железистой ткани[4].

Синдром Шёгрена ассоциирован с увеличенным уровнем в спинномозговой жидкости IL-1RA, антагониста интерлейкина-1 (ИЛ-1). Это позволяет предположить, что болезнь начинается с повышения активности системы ИЛ-1, что компенсаторно влечёт за собой повышение IL-1RA, чтобы уменьшить связывание ИЛ-1 с рецепторами. С другой стороны, синдром Шёгрена характеризуется уменьшением уровня ИЛ-1 в слюне, что может вести к воспалению слизистой ротовой полости и её сухости.[5][6]

Клиническая картина

Отличительным симптомом синдрома Шёгрена является генерализованная сухость слизистых оболочек, чаще всего включающая в себя:

  1. Ксерофтальмия («сухой глаз», сухость глаз). На начальном этапе больные могут не предъявлять жалоб. При дальнейшем прогрессировании болезни появляется чувство жжения, рези, «песка» в глазах.
  2. Ксеростомия («сухой рот», сухость полости рта). Отмечается уменьшение слюноотделения из-за поражения слюнных желез. Развивается хронический паротит, стоматит, кариес. Больные жалуются на выраженную сухость в ротовой полости, «заеды» в уголках рта, затруднение при разговоре, а на поздних стадиях даже на нарушение глотания пищи (дисфагия).

Кроме того, синдром Шёгрена может вызывать поражение:

  1. кожи — выраженная сухость;
  2. носоглотки — образование корок в носу, развитие отита при поражении евстахиевой трубы, синуситы;
  3. вагины — зуд, боль;
  4. дыхательной системы — трахеобронхиты;
  5. пищеварительной системы — атрофический гастрит с секреторной недостаточностью, гипокинетическая дискинезия желчевыводящих путей, панкреатит;
  6. почек — гломерулонефрит;
  7. кровеносных сосудов — синдром Рейно;
  8. периферической нервной системы — полинейропатии, неврит лицевого, тройничного нерва[7].

Часто развивается выраженный упадок сил, боли в суставах, мышцах.

Пациенты с вторичным синдромом Шёгрена имеют симптомы первичного ревматического заболевания, например, системной красной волчанки, ревматоидного артрита или системной склеродермии.

Диагностика

Диагностика синдрома Шегрена осложняется разнообразием симптомов, а также их сходством с симптомами других заболеваний. Тем не менее, сочетание определённых тестов может помочь выставить диагноз:

  1. ANA-профиль (anti-nuclear antibody — антиядерные антитела). Типичные маркеры — SSA/Ro and SSB/La, из которых SSB/La более специфичный; SSA/Ro часто ассоциирован с другими аутоиммунными состояниями, но часто присутствует у больных синдромом Шегрена.[8][9]
  2. Проба Ширмера. Оценивает продукцию слез: полоска фильтровальной бумаги закладывается за нижнее веко на пять минут, затем измеряется длина смоченной слезой бумаги. Менее 5 мм говорит в пользу синдрома Шегрена. Необходимо помнить, что функция слёзоотделения уменьшается с возрастом, а также при некоторых других нарушениях.
  3. Сиалометрия.
    1. В норме при стимуляции аскорбиновой кислотой за 5 мин выделяется приблизительно 2,5-6,0 мл слюны.
    2. Нестимулированный сбор слюны. Пациент в течение 15 минут собирает в пробирку слюну. Положительным считается результат менее чем 1,5 мл.
  4. Сиалография. Рентгенконтрастное исследование. Контраст вводится в проток околоушной слюнной железы, который открывается в щеке в преддверии рта на уровне шейки второго большого коренного зуба верхней челюсти. После чего выполняется рентгенография этой области. При синдроме Шегрена выявляются участки расширения протока, его деструкции[10].
  5. Осмотр глаза с помощью щелевой лампы (лампа Гринчелы-Синчелы). Позволяет выявить сухость поверхности глаза.
  6. Биопсия малых слюнных желёз. Обнаруживается инфильтрация слюнных желез лимфоцитами.
  7. УЗИ-исследование слюнных желез. Простой, неинвазивный, безопасный метод диагностики. В паренхиме желез обнаруживаются малые — 2-6 мм — гипоэхогенные участки, представляющие собой лимфоцитарную инфильтрацию. Часто в протоках желез находятся камни.

Лечение

На данный момент специфического лечения, направленного на восстановление функции желёз, не существует. Вместо этого оказывается симптоматическая и поддерживающая помощь.

Для лечения ксерофтальмии используются искусственные слёзы, препараты, содержащие в своем составе действующее вещество протектор эпителия роговицы-гипромеллозу. Некоторые пациенты вынуждены использовать очки для повышения местной влажности. Дополнительно к этому применяется циклоспорин, угнетающий воспаление слезных желез.

Для борьбы с ксеростомией доступны препараты, стимулирующие отток слюны, например пилокарпин. Рекомендуется запивать пищу водой. При выраженной сухости ротоглотки используют пластиковую бутылку-пульверизатор с 1%-м водным раствором глицерина.

При синдроме Шегрена повышен риск кариеса, поэтому необходим тщательный уход за зубами.

Нестероидные противовоспалительные препараты могут быть использованы для лечения мышечно-скелетных симптомов.

Больным с тяжелыми осложнениями могут назначаться кортикостероиды, иммуносупрессивные препараты и иногда внутривенные иммуноглобулины. Также помогает метотрексат, гидроксихлорохин (плаквенил).

Проходят клинические испытания: нипокалимаб.

Прогноз

Синдром Шегрена может повреждать жизненно важные органы с переходом в стабильное состояние, постепенным прогрессированием или, наоборот, длительной ремиссией. Такое поведение характерно и для других аутоиммунных заболеваний.[11]

Некоторые больные могут иметь слабо выраженные симптомы сухости глаз и ротовой полости, тогда как у других развиваются серьёзные осложнения. Одним пациентам полностью помогает симптоматическое лечение, другим приходится постоянно бороться с ухудшением зрения, постоянным дискомфортом в глазах, часто рецидивирующими инфекциями ротовой полости, отеком околоушной слюнной железы, затруднением жевания и глотания. Постоянный упадок сил и суставная боль серьёзно снижают качество жизни.

У части пациентов в патологический процесс вовлекаются почки — гломерулонефрит, ведущий к протеинурии, нарушению концентранционной способности почек и дистальному почечному тубулярному ацидозу.

Больные синдромом Шегрена имеют более высокий риск возникновения неходжкинской лимфомы по сравнению со здоровыми людьми и людьми, больными другими аутоиммунными заболеваниями.[12] У около 5 % пациентов развивается та или иная форма лимфомы.[13]

Кроме того, установлено, что у детей женщин, больных синдромом Шегрена во время беременности, более высокий риск развития неонатальной красной волчанки с врожденной блокадой сердца.[14]

Примечания

  1. Disease Ontology (англ.) — 2016.
  2. Monarch Disease Ontology release 2018-06-29 — 2018-06-29 — 2018.
  3. Синдром Шёгрена (сухой синдром, 0322). Дата обращения: 17 октября 2010. Архивировано 28 декабря 2010 года.
  4. Sjogren’s syndrome: apoptosis by anti-SSA and anti-SSB antibodies (2006). Архивировано 27 июля 2011 года.
  5. Harboe E, Tjensvoll AB, Vefring HK, Gøransson LG, Kvaløy JT, Omdal R. (2009). Fatigue in primary Sjögren’s syndrome—a link to sickness behaviour in animals? Brain Behav Immun.23(8):1104-8. doi:10.1016/j.bbi.2009.06.151 PMID 19560535
  6. Perrier S, Coussedière C, Dubost JJ, Albuisson E, Sauvezie B. (1998) IL-1 receptor antagonist (IL-1RA) gene polymorphism in Sjögren’s syndrome and rheumatoid arthritis. Clin Immunol Immunopathol. 87(3):309-13>
  7. Заболевания — Болезнь Шёгрена — РA «Надежда». Дата обращения: 17 июля 2012. Архивировано 19 июля 2012 года.
  8. Franceschini F., Cavazzana I. Anti-Ro/SSA and La/SSB antibodies (неопр.) // Autoimmunity. — 2005. — February (т. 38, № 1). С. 55—63. doi:10.1080/08916930400022954. PMID 15804706.
  9. V Goëb et al. Clinical significance of autoantibodies recognizing Sjögren's syndrome A (SSA), SSB, calpastatin and alpha-fodrin in primary Sjögren's syndrome (англ.) // Clinical and Experimental Immunology : journal. — 2007. Vol. 148, no. 2. P. 281—287. doi:10.1111/j.1365-2249.2007.03337.x. PMID 17286756. PMC 1868868.
  10. Критерии диагноза болезни и синдрома Шегрена. Дата обращения: 17 июля 2012. Архивировано 19 июля 2012 года.
  11. National Institute Of Neurological Disorders And Sroke Sjögren’s Syndrome Information Page> http://www.ninds.nih.gov/disorders/sjogrens/sjogrens.htm Архивная копия от 27 июля 2012 на Wayback Machine
  12. Voulgarelis M., Skopouli F.N. Clinical, immunologic, and molecular factors predicting lymphoma development in Sjogren's syndrome patients (англ.) // Clin Rev Allergy Immunol : journal. — 2007. Vol. 32, no. 3. P. 265—274. doi:10.1007/s12016-007-8001-x. PMID 17992593.
  13. Tzioufas A.G., Voulgarelis M. Update on Sjögren's syndrome autoimmune epithelitis: from classification to increased neoplasias (англ.) // Best Practice & Research: Clinical Rheumatology : journal. — 2007. Vol. 21, no. 6. P. 989—1010. doi:10.1016/j.berh.2007.09.001. PMID 18068857.
  14. Manthorpe R., Svensson A., Wirestrand L.E. Late neonatal lupus erythematosus onset in a child born of a mother with primary Sjögren's syndrome (англ.) // Annals of the Rheumatic Diseases : journal. — 2004. — November (vol. 63, no. 11). P. 1496—1497. doi:10.1136/ard.2003.014944. PMID 15479901. PMC 1754813.