Талькоз (пневмокониоз)
| Талькоз | |
|---|---|
| |
| МКБ-11 | CA60.00 |
| МКБ-10 | J62.0 |
| МКБ-10-КМ | J62.0 |
| МКБ-9 | 502 |
| МКБ-9-КМ | 502[1] |
| DiseasesDB | 34117 |
Талькоз, или тальковый пневмокониоз — вид силикатозов, который относится к благоприятно протекающей форме пневмокониоза. Возникает после длительного (более 10 лет) вдыхания воздуха с частицами талька[2], а также в связи с внутривенным употреблением наркотиков, содержащих примеси талька[3].
История
Впервые случай талькоза был описан в 1896 году Торелем (англ. Thorel C.), в дальнейшем наблюдалось много сообщений о талькозах, вызванных внутривенным введением и использованием косметических средств. В 1999 году был впервые описан случай талькоза, вызванный регулярным надуванием воздушных шаров[4].
Этиология
Талькоз возникает после длительного (более 10 лет) вдыхания воздуха, содержащей тальковую пыль во время его производства или промышленного использования[2][5]. Также талькоз и его разновидности могут быть вызваны вдыханием частиц талька с асбестом или диоксидом кремния, поражающих преимущественно шахтёров, а также внутривенным введением наркотиков с содержанием талька. Наиболее редкой причиной развития талькоза является вдыхание косметического талька или пудры[6]. Внутривенный талькоз обусловлен введением пероральных препаратов в кровоток: например, ацетаминофен, метилфенидат, метадон, кокаин, прометазин, героин и другие. Такие препараты содержат тальк в качестве наполнителя для таблеток, в то время как наркоманы дробят таблетки, разбавляют в дистиллированной воде или физиологическом растворе и вводя внутривенно[4].
Классификация
Выделяют четыре разновидности талькоза: три вызванных вдыханием и один вызванный внутривенным введением талька.
- Талькоз — вызванный вдыханием чистого талька;
- Талько-силикоз — вызванных вдыханием талька и частиц диоксида кремния;
- Талько-асбестоз — вызванный вдыханием талька и асбеста;
- Талькоз, вызванный внутривенным употреблением наркотиков[3][4].
Клиническая картина
Выделяют три стадии развития ингаляционного талькоза. Первую стадию сопровождают следующие жалобы: одышка после физических нагрузок, сухой кашель, при этом функция внешнего дыхания не нарушена, либо имеются признаки дыхательной недостаточности. Рентгенологические исследования грудной клетки при талькозе первой стадии позволяют выявить усиление и деформацию сосудисто-бронхиального рисунка, утолщение стенок мелких бронхов[7]. Талькоз второй стадии вызывает более выраженные симптомы и изменения в лёгких, при этом рентгенологическая картина характеризуется выраженным диффузным интерстициальным фиброзом, расширением, деформированием и уплотнение корней лёгких[8]. Третья стадия талькоза развивается редко и при воздействии смешанной пыли, содержащей помимо талька другие силикаты или пыль диоксида кремния[2]. Помимо этого к талькозу может присоединиться туберкулёз лёгких и развивается новое заболевание — талькотуберкулёз[9].
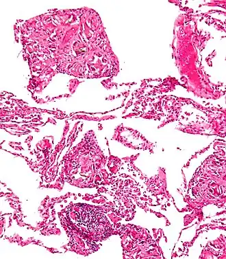
Патологическая картина
Макроскопическая картина характеризуется наличием спаек плевральных полостей, уплотнением лёгких, наличием склеротический тяжей и узелков, а также эмфизем[5].
Гистологическая картина характеризуется развитием диффузного межуточного склеротического процесса в лёгких с поражением альвеолярных перегородок, перибронхиальной и периваскулярной ткани. На местах скопления тальковой пыли отмечаются склеротические узелки с наличием гистиоцитарных, лимфоидных элементов и гигантских клеток. «Тальковые узелки» не имеют тенденции к слиянию, а гиалиноз соединительной ткани выражен слабо[10].
Проофилактика и лечение
Наилучшим способом профилактики этого заболевания является устранение высокой концентрации пыли в воздухе рабочей зоны с помощью эффективных средств коллективной защиты (изменение технологии, герметизация оборудования, вентиляция, автоматизация, дистанционное управление, изолированные кабины и др.).
Если это не позволило снизить концентрацию пыли до предельно допустимой (ПДКр.з., очень важно учесть, что большая часть вдыхаемой пыли удаляется из организма. За период трудового стажа в органы дыхания шахтёра или другого работника могут поступать (суммарно) килограммы пыли; но при вскрытиях масса пыли (вызвавшей силикоз и другие пневмокониозы) в десятки раз меньше. Это объясняется тем, что большая часть пыли удаляется из организма за счёт его собственного механизма "самоочистки". Поэтому очень важно сохранять и поддерживать эту способность (профилактика простуд, фотарии, ингаляции и др.).
Лечение общее с пневмокониозами и не является специфическим. Оно направлено на снижения воспаления в ткани лёгкого, элиминацию пылевых частиц и улучшение дренажной функции бронхов. Для достижения указанных целей применяют бронходилататоры (бронхолитики), муколитики, а людям с хронической дыхательной недостаточностью проводят оксиггенотерапию[11].
Примечания
- ↑ Monarch Disease Ontology release 2018-06-29 — 2018-06-29 — 2018.
- 1 2 3 Артамонова и др., 2009, с. 69.
- 1 2 Jud W. Gurney. Talcosis (англ.). Radiology Key (20 сентября 2016). Дата обращения: 18 июля 2020. Архивировано 18 июля 2020 года.
- 1 2 3 Mahismita Patro, Dipti Gothi, Umesh Ojha, Ram B Sah, Sameer Vaidya. Blowing balloons and pulmonary talcosis: An uncommon hazard (англ.). IJOEM (25 сентября 2019). doi:10.4103/ijoem.IJOEM_222_18. Дата обращения: 18 июля 2020. Архивировано 19 июля 2020 года.
- 1 2 Недзьведь, 2011, с. 562.
- ↑ Amarah Shakoor, Arsalan Rahatullah, Adil Aijaz Shah, Ali Bin Sarwar Zubairi. Pulmonary talcosis 10 years after brief teenage exposure to cosmetic talcum powder // BMJ Case Reports. — 2011-09-20. — Т. 2011. — ISSN 1757-790X. — doi:10.1136/bcr.08.2011.4597. Архивировано 1 апреля 2019 года.
- ↑ Артамонова и др., 2009, с. 70.
- ↑ Артамонова и др., 2009, с. 70—71.
- ↑ Недзьведь, 2011, с. 563.
- ↑ Артамонова и др., 2009, с. 69—70.
- ↑ Бабанов и др., 2011, с. 25—26.
Литература
- Gibbs A. E., Pooley F. D., Griffiths D. M., Mitha R., Craighead J. E., Ruttner J. R. Talc pneumoconiosis: a pathologic and mineralogic study // Hum Pathol. — 1992. — Vol. 23(12). — P. 1344-54. — doi: 10.1016/0046-8177(92)90053-6.
- Berner A, Gylseth B, Levy F. Talc dust pneumoconiosis // Acta Pathol Microbiol Scand A. — 1981. — Vol. 89(1). P. —17-21. — doi: 10.1111/j.1699-0463.1981.tb00181.x.
- Marchiori E., Lourenço S., Gasparetto T.D., Zanetti G., Mano C.M., Nobre L.F. Pulmonary talcosis: imaging findings// Lung. — 2010. — Vol. 188(2). P. —165-71. — doi: 10.1007/s00408-010-9230-y
- Akira M., Kozuka T., Yamamoto S., Sakatani M., Morinaga K. Inhalational talc pneumoconiosis: radiographic and CT findings in 14 patients // AJR Am J Roentgenol. — 2007. — Vol. 188(2). — P. 326-33. — doi: 10.2214/AJR.05.0865.
- Артамонова В.Г., Шаталов Н.Н. Профессиональные болезни. — Рипол Классик, 2009. — 479 с. — ISBN 9785458390170.
- Недзьведь М.К., Черствый Е.Д. Патологическая анатомия. — Минск: Вышэйшая школа, 2011. — 640 с. — ISBN 978-985-06-1975-4.
- Бабанов С.А., Аверина О.М. Пылевые заболевания лёгких: особенности диагностики и лечения // Фарматека. — 2011. — № 18 (231). — С. 21—27. — ISSN 2073-4034.
