Фолликулярная лимфома
| Фолликулярная лимфома | |
|---|---|
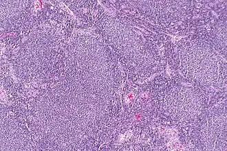
![]() Микрофотография фолликулярной лимфомы, показывающая характерно аномальные лимфоидные фолликулы, которые дали заболеванию название. Пятно H&E. | |
| МКБ-11 | 2A80 |
| МКБ-10 | C82 |
| МКБ-О | 9690/3 |
| OMIM | 151430 |
| MeSH | D008224 |
Фолликулярная лимфома — тип рака крови. Это наиболее распространённая из индолентных (медленно растущих) неходжкинских лимфом и вторая наиболее распространённая форма неходжкинских лимфом в целом. Она определяется как лимфома В-клеток фолликулярного центра (центроциты и центробласты), которые имеют часть признаков фолликулярных клеток. Он положителен для В-клеточных маркеров CD10, CD19, CD22 и обычно CD20[1], однако почти всегда отрицателен для маркеров CD5[2].
Есть несколько синонимов и устаревших терминов для обозначения этого заболевания, такие как лимфома CB/CC (центробластная и центроцитарная лимфома), узловая лимфома[3], а также заболевание Брилл-Симмерса (англ. Brill-Symmers Disease)[4]. Существует также подтип: крупноклеточная фолликулярная лимфома[5].
Причины возникновения
Транслокация между хромосомой 14 и 18 приводит к избыточной экспрессии гена bcl-2[6]. Поскольку белок bcl-2 обычно участвует в предотвращении апоптоза, клетки со сверхэкспрессией этого белка в основном бессмертны. Ген bcl-2 обычно находится в хромосоме 18, а транслокация перемещает ген близко в сторону энхансерного элемента тяжелой цепи иммуноглобулина в хромосоме 14.
Кроме того, это может произойти из-за транслокации BCL6 в 3q27[7].
Экспрессия микроРНК
В 2014 году было описано, что короткие некодирующие РНК, называемые микроРНК, выполняют важные функции в биологии лимфомы, включая фолликулярную лимфому. В злокачественных В-клетках микроРНК участвуют в связях, фундаментальных для развития клеток, таких как передача сигналов рецептора, реакция перегруппировки, адгезия, межклеточные взаимодействия в иммунных нишах, а также продукция и изменение классов иммуноглобина.
Морфология

Опухоль состоит из фолликул, состоящих из смеси центроцитов (Кильская терминология, принятая экспертами ВОЗ) или расщеплённых клеток фолликулярного центра (старая американская терминология), «маленьких клеток», а также центробластов (Кильская терминология) или большие нерасщеплённые клетки фолликулярного центра и «больших клеток». Эти фолликулы окружены незлокачественными клетками, в основном T-клетками. В фолликулах, обычно преобладают центроциты. Центробласты, как правило, в меньшинстве.
Диагностика
Классификация
Согласно критериям ВОЗ, болезнь морфологически делится на[1]:
- уровень 1 (<5 центробластов на поле зрения под большим увеличением, high-power field (hpf))
- уровень 2 (6–15 центробластов/hpf)
- уровень 3 (>15 центробластов/hpf)
- уровень 3A (центроциты всё ещё присутствуют)
- уровень 3B (фолликулы почти полностью состоят из центробластов)
Обновление ВОЗ 2008 года классифицирует 1 и 2 уровни как фолликулярную лимфому низкой степени тяжести, при этом уровень 3А классифицируется как фолликулярная лимфома высокой степени тяжести и уровень 3В как крупноразмерная крупноклеточная лимфома В.
Лечение
Нет единого мнения относительно лучшего протокола лечения. Нужно обращать внимание на такие факторы, как возраст, этап, а также прогностические показатели (по Международному прогностическему индексу). Пациенты с запущенным заболеванием, которые не имеют симптомов, могут извлечь выгоду из подхода «смотреть и ждать», так как раннее лечение не обеспечивает выживаемости[8][9]. Пациенты с симптомами нуждаются в специальном лечении, которое может включать различные комбинации из алкилирования, нуклеозидного аналога, режимы химиотерапии, содержащие антрациклин (например, CHOP), моноклональные антитела (ритуксимаб, обинутузумаб, мосунетузумаб, эпкоритамаб), радиоиммунотерапию, аутотрансплантационная и аллотрансплантационная трансплантация гемопоэтических стволовых клеток. Фолликулярная лимфома считается неизлечимой, пока не обнаружено место расположения лимфомы. В этом случае его можно вылечить облучением. Хотя аллогенная трансплантация стволовых клеток может быть излечивающей, смертность от этой процедуры слишком высока, чтобы быть вариантом первичной меры.
В 2010 году ритуксимаб был одобрен Европейской комиссией для поддерживающего лечения фолликулярной лимфомы как первостепенный продукт[10]. Доклинические данные свидетельствуют о том, что ритуксимаб также можно использовать в комбинации с ингибиторами интегрина для преодоления устойчивости к ритуксимабу, опосредованной стромальными клетками. Тем не менее, ритуксимаб не достигнет цели при CD20, который для фолликулярной лимфомы является отрицательным.
Результаты испытаний, опубликованные в июне 2012 года, показывают, что бендамустин, препарат, впервые разработанный в Восточной Германии в 1960-х годах, обеспечивает выживаемость без прогрессирования заболевания более чем в два раза чаще, чем при применении ритуксимаба. Эта политерапия оставляет пациентов с меньшими побочными эффектами, чем устаревший аналог (комбинация пяти препаратов — ритуксимаб, циклофосфамид, доксорубицин, винкристин и преднизон, в совокупности называемым R-CHOP)[11].
Существуют много недавних и текущих клинических испытаний фолликулярной лимфомы[12]. Например, персонализированные идиотипные вакцины показали многообещающие надежды, особенно предварительная терапия[13], но ещё предстоит доказать свою эффективность в рандомизированных контролируемых испытаниях[14].
Прогноз
Средняя выживаемость составляет около 10 лет, но диапазон широкий, может составлять от 1 года до 20 лет. Некоторые пациенты могут никогда не нуждаться в лечении. Общая выживаемость за пять лет составляет 72—77 %[15]. Последние достижения и добавление ритуксимаба улучшили среднюю выживаемость. В последних отчетах за период с 1986 по 2012 год, средняя выживаемость превышает 20 лет[16].
Эпидемиология
Из всех видов рака, в которых участвует один и тот же класс клеток крови (Лимфопролиферативные заболевания), 22 % причин возникновения — это фолликулярные лимфомы[17].
Примечания
- 1 2 Follicular Lymphomas. pleiad.umdnj.edu. Дата обращения: 30 декабря 2018. Архивировано из оригинала 4 марта 2016 года.
- ↑ Barekman CL, Aguilera NS, Abbondanzo SL. Low-grade B-cell lymphoma with coexpression of both CD5 and CD10. A report of 3 cases. — Arch. Pathol. Lab. Med., 2001. — С. 951–953.
- ↑ Dorlands Medical Dictionary:follicular lymphoma. web.archive.org (18 мая 2009). Дата обращения: 30 декабря 2018. Архивировано 18 мая 2009 года.
- ↑ Brill-Symmers disease. TheFreeDictionary.com. Дата обращения: 30 декабря 2018. Архивировано 31 декабря 2018 года.
- ↑ MeSH Browser. meshb.nlm.nih.gov. Дата обращения: 30 декабря 2018. Архивировано 31 декабря 2018 года.
- ↑ Bosga-Bouwer AG, van Imhoff GW, Boonstra R, et al. Follicular lymphoma grade 3B includes 3 cytogenetically defined subgroups with primary t(14;18), 3q27, or other translocations: t(14;18) and 3q27 are mutually exclusive. — 3. — 2003. — С. 1149—1154. — doi:10.1182/blood.V101.3.1149.
- ↑ Anneke G. Bosga‐Bouwer, Eugenia Haralambieva, Marije Booman, Ronald Boonstra, Anke van den Berg. BCL6 alternative translocation breakpoint cluster region associated with follicular lymphoma grade 3B (англ.) // Genes, Chromosomes and Cancer. — 2005. — Vol. 44, iss. 3. — P. 301–304. — ISSN 1098-2264. — doi:10.1002/gcc.20246.
- ↑ T. Andrew Lister. Follicular Lymphoma: Perspective, Treatment Options, and Strategy. MD, FRCP. medscape.com. Дата обращения: 31 декабря 2018. Архивировано 8 июня 2015 года.
- ↑ Watchful Waiting in Low–Tumor Burden Follicular Lymphoma in the Rituximab Era: Results of an F2-Study Database. ascopubs.org. Дата обращения: 31 декабря 2018.
- ↑ Roche Gets EC Nod for Follicular Lymphoma Maintenance Therapy (англ.). GEN - Genetic Engineering and Biotechnology News (29 октября 2010). Дата обращения: 31 декабря 2018. Архивировано 6 сентября 2017 года.
- ↑ 'Rediscovered' Lymphoma Drug Helps Double Survival: Study (3 июня 2012). Дата обращения: 31 декабря 2018. Архивировано 1 января 2019 года.
- ↑ Search of: follicular lymphoma - List Results - ClinicalTrials.gov (англ.). clinicaltrials.gov. Дата обращения: 31 декабря 2018. Архивировано 1 января 2019 года.
- ↑ Hendrik Veelken, Gottfried Dölken, Andrea Keppler-Hafkemeyer, Gabriele Ihorst, Cristina Bertinetti-Lapatki. Upfront immunization with autologous recombinant idiotype Fab fragment without prior cytoreduction in indolent B-cell lymphoma (англ.) // Blood. — 2011-02-03. — Vol. 117, iss. 5. — P. 1483–1491. — ISSN 0006-4971 1528-0020, 0006-4971. — doi:10.1182/blood-2010-06-292342.
- ↑ S. Inoges, A. de Cerio, E. Soria, H. Villanueva, F. Pastor. Idiotype Vaccines for Human B-Cell Malignancies (англ.) // Current Pharmaceutical Design. — 2010-01-01. — Vol. 16, iss. 3. — P. 300–307. — ISSN 1381-6128. — doi:10.2174/138161210790170111. Архивировано 1 января 2019 года.
- ↑ Follicular Lymphoma: Practice Essentials, Etiology and Pathophysiology, Epidemiology. — 2018-09-06. Архивировано 1 января 2019 года.
- ↑ European Journal of Cancer. www.ejcancer.com. Дата обращения: 31 декабря 2018.
- ↑ Turgeon, Mary Louise. Clinical hematology : theory and procedures. — 4th ed. — Philadelphia: Lippincott Williams & Wilkins, 2004. — ix, 570 pages с. — ISBN 0781750075. — ISBN 9780781750073.
