Хордома
| Хордома | |
|---|---|
| | |
| МКБ-11 | XH9GH0 |
| МКБ-10-КМ | C76.7 |
| МКБ-О | M9370/3 |
| OMIM | 215400 |
| DiseasesDB | 31483 |
| eMedicine | med/2992 radio/169 orthoped/49 |
| MeSH | D002817 |
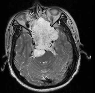
Хордома — редко встречающееся новообразование, считается, что она происходит из остатков нотохорда (эмбрионального предшественника скелета), но достоверных доказательств этого пока что не обнаружено. Опухоль локализуется преимущественно в крестцово-копчиковом сегменте позвоночника или же в затылочно-базилярной области черепа.
Патологическая анатомия
Макроскопически опухоль представляет собой узел, покрытый толстой капсулой — дольчатый, на разрезе серовато-белого цвета, с наличием очагов некроза.
Микроскопически опухоль полиморфна, клетки ткани опухоли разного размера и формы, чаще напоминают пузырьки с мелкими гиперхромными ядрами, и большими вакуолями в цитоплазме.
Клиника и диагностика
Клинические проявления заболевания могут быть разнообразны, их выраженность и тип определяются преимущественно локализацией новообразования. Как правило, клиника обусловлена поражением нервов, возникающим при росте опухоли. Так, например, локализация патологического очага в поясничной области приведет к развитию болей в пояснице, парезам конечностей, при выраженных опухолях страдает функция тазовых органов. Так же при росте опухоли наблюдается типичная клиника раковой интоксикации.
Рентгенологически для хордом характерно наличие дефекта костной ткани, иногда с перегородками. Подтверждает диагноз биопсия и последующее гистологическое исследование.
Лечение
Лечение преимущественно хирургическое, необходимо полное иссечение опухоли вместе с капсулой. При неполном иссечении высока вероятность рецидивов, и гематогенного метастазирования. Лучевая терапия малоэффективна и используется преимущественно с паллиативной целью.
Прогноз
Прогноз условно неблагоприятный, в зависимости от типа опухоли различается величина 5 летней выживаемости. При агрессивных формах заболевания пятилетняя выживаемость не превышает 30 %, при менее агрессивных формах срок жизни составляет в среднем 5-10 лет.