Хориокарцинома

Хориокарцинома
МКБ-11 XH8PK7
МКБ-10 C51-C58
МКБ-10-КМ C58
МКБ-9 181
МКБ-О 9100/3
OMIM 231090
DiseasesDB 2602
MedlinePlus 001496
MeSH D002822
Логотип Викисклада Медиафайлы на Викискладе

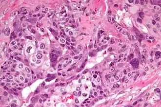
Хориокарциноматрофобластический рак, обычно плаценты. Он относится к злокачественному концу спектра при трофобластической болезни. Хориокарцинома также классифицируется как опухоль зародышевой клетки и может возникать в яичке или яичнике.

Локализация

Чаще всего хориокарцинома локализуется в теле матки, реже в маточной трубе, яичнике, в брюшной полости[1].

Метастазирование

Хориокарцинома быстро метастазирует гематогенным путём, наиболее часто поражаются лёгкие – 70-80 %, влагалище – 30-34 %, головной мозг – 10-13 %, ЖКТ – 4-5%, почки – 4-5%, печень – 10-11 %, параметрий – 6 % случаев[2].

Диагностика

Основными методами диагностики при хориокарциноме являются ультразвуковая диагностика и компьютерная томография органов малого таза. Также обращает на себя внимание увеличение уровня ХГЧ и пролактина вместе с увеличением срока беременности[2]. Высокоинформативным методом диагностики является гистеросальпингография, особенно, если опухоль локализуется в полости матки с поверхностным врастанием в миометрий[1]. Морфологическое подтверждение является важным, но не обязательным, поскольку каждое выскабливание матки ухудшает течение заболевания[3].

Лечение

Основным методом лечения является противоопухолевая лекарственная терапия, адекватная химиотерапия позволяет достичь полного выздоровления большинства пациенток.

Эффективность химиотерапии оценивается по уровню снижения ХГЧ, химиотерапию рекомендуется проводить до нормализации уровня ХГЧ с последующими тремя профилактическими курсами.

При неэффективности химиотерапии или при появлении кровотечения из опухоли или метастазов, при перфорации матки рекомендуется хирургическое лечение. В зависимости от размеров опухоли, выполняется либо органосохраняющая гистеротомия с иссечением в пределах здоровых тканей, либо резекция поражённого органа[4].

При метастазах в головном мозге применяют лучевую терапию[3].

Примечания

  1. 1 2 А.Л. Чернышева. Хориокарцинома матки // НИИ онкологии Томского научного центра СО РАМН. Архивировано 21 января 2022 года.
  2. 1 2 Л.И.Кох. Хориокарцинома (случай из практики) // ГБОУ ВПО «Сибирский государственный медицинский университет». Архивировано 21 января 2022 года.
  3. 1 2 Коллектив авторов. [https://rosoncoweb.ru/standarts/RUSSCO/2017/recoms2017_13.pdf ПРАКТИЧЕСКИЕ РЕКОМЕНДАЦИИ ПО ЛЕКАРСТВЕННОМУ ЛЕЧЕНИЮ ЗЛОКАЧЕСТВЕННЫХ ТРОФОБЛАСТИЧЕСКИХ ОПУХОЛЕЙ] // RUSSCO. Архивировано 11 февраля 2019 года.
  4. Трофобластические опухоли. Клинические рекомендации // ассоциация онкологов России. — 2017. Архивировано 23 ноября 2018 года.