Целиакия
| Целиакия | |
|---|---|
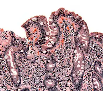
![]() Биопсия тонкого кишечника больного целиакией. Видна уплощенная форма ворсинок, лейкоцитарная инфильтрация и гиперплазия крипт. | |
| МКБ-11 | DA95 |
| МКБ-10 | K90.0 |
| МКБ-10-КМ | K90.0 |
| МКБ-9 | 579.0 |
| МКБ-9-КМ | 579.0[1][2] |
| OMIM | 212750 |
| DiseasesDB | 2922 |
| MedlinePlus | 000233 |
| eMedicine | med/308 |
| MeSH | D002446 |
Целиаки́я (лат. coeliakia; от греч. κοιλιακός — «кишечный, страдающий расстройством кишечника»[3]), глютеновая энтеропатия — форма энтеропатии, генетически предрасположенная непереносимость глиадина[3] или глютена[4]. Это аутоиммунное заболевание с преимущественной локализацией в тонком кишечнике[5].
У части пациентов с целиакией (2-5%), при развитии рефрактерной целиакии (отсутствие ответа на безглютеновую диету), повышен риск развития T-клеточной лимфомы, ассоциированной с энтеропатией (EATL) [4]. В таком случае, единственный известный способ избежать развития EATL — строгое соблюдение безглютеновой диеты до конца жизни[4].
Целиакию не следует путать с непереносимостью глютена без целиакии, при котором возможно развитие остеопороза с риском переломов[6].
Ранее к синонимам целиакии включались: болезнь Ги — Гертера — Гейбнера, кишечный инфантилизм, целиакическое спру, идиопатическая стеаторея[3], к синонимам глютеновой энтеропатии: глютеновая болезнь, болезнь глютеновой недостаточности, глютенчувствительная целиакия, идиопатическая целиакия[7].
В МКБ-10 к целиакии отнесены: глютенчувствительная энтеропатия, идиопатическая стеаторея, нетропическая спру[8].
История
В I в. н. э. Аретей из Каппадокии и Целий Аврелиан описали хроническую диарею и стеаторею у детей и женщин и назвали болезнь morbus coeliacus, «кишечная болезнь»[9][уточнить]. Классические симптомы целиакии у детей: диарея, истощение, анемия и отставание в развитии опубликовал в 1888 году Сэмюэль Ги, врач Бартоломеевского госпиталя в Лондоне. Связь целиакии у детей с потреблением пшеницы подозревалась, но не была доказана до Голодной зимы 1944 года в Нидерландах: дети, больные целиакией, пошли на поправку, когда во время голода больницы получали крайне мало пшеницы, а когда первый драгоценный груз хлеба, предназначавшийся в первую очередь детям, был, наконец, выдан, больным целиакией немедленно стало хуже, и смертность детей от целиакии, снизившаяся с 35 % до 0 %, снова стала расти. Это подтвердило догадки голландского педиатра Виллема-Карела Дике, и в 1950 году он доказал эффективность диеты для лечения целиакии[10] Связь целиакии именно с глютеном (растворимой в алкоголе фракцией белка, содержащейся в пшенице) была доказана в 1952 году командой врачей из Бирмингема[11].
Распространённость
До 1970-х годов целиакия считалась редким заболеванием; встречающимся главным образом у европейцев. Распространенность её, по данным эпидемиологических исследований, варьировала: от 1:6000 до 1:1000 населения. Представления о распространённости целиакии изменились, когда в 1980-е годы для её диагностики стали применять серологические методы. Сначала они основывались на определении антиглиадиновых антител (АГА) в IgG, IgM и IgA. Этот метод использовали для выявления целиакии в группах с высоким риском болезни, в общей популяции населения. Они недорогие, имеют достаточно высокую чувствительность, но не могут считаться полностью специфичными для целиакии. Поэтому всем лицам с повышенным титром АГА проводят биопсию, результаты которой позволяют выявлять у некоторых из них целиакию. Вскоре появились более специфические и чувствительные способы, основанные на определении антител к ретикулину и эндомизию, тканям слизистой оболочки тонкой кишки. Например, тест с эндомизиальными антителами (ЭMA) IgA очень чувствителен (93—98 %) и специфичен (99—100 %). Однако он не нашёл широкого применения, из-за сложности получения материала, содержащего эндомизий (от приматов). Идентифицирована тканевая трансглутаминаза (тТГ) — основной антиген эндомизия. Тест с тТГ имеет чувствительность 95—98 % и специфичность 94—95 %, которые сравнимы со стандартным ЭMA-тестом. Для теста с тТГ используется тТГ-антиген (получаемый у морской свинки). Тесты с ЭМА и тТГ считаются строго специфичными для целиакии, но окончательный диагноз болезни, учитывая необходимость пожизненного соблюдения аглютеновой диеты, должен быть обязательно подтверждён гистологическим исследованием слизистой оболочки тонкой кишки.
Массовые исследования АГА, АЭА или антител к тТГ с последующим гистологическим изучением дуоденальных биоптатов у лиц с положительными серологическими тестами показали, что на самом деле целиакия должна быть отнесена к довольно распространённым заболеваниям тонкой кишки; частота её достигает 1:200—1:100. Типичная целиакия, с тяжёлыми нарушениями всасывания, действительно встречается редко. У преобладающего большинства диарея и симптомы мальабсорбции отсутствуют, но выявляется внекишечные манифестации: железодефицитная анемия, афтозный стоматит, герпетиформный дерматит, остеопороз, маленький рост, задержка полового развития, бесплодие, инсулин-зависимый диабет и другие. Подобная скрытая и субклиническая формы встречаются, примерно, на порядок чаще типичной, классической целиакии.
С помощью серологических тестов установлено, что, особенно часто, скрытая или малосимптомная целиакия встречается у ближайших родственников больных глютеновой энтеропатией. У части из них выявляется так называемая «потенциальная» целиакия (предболезнь), при которой единственным признаком являлось повышенное количество Т-лимфоцитов в поверхностном эпителии тонкой кишки, с большой долей среди них и субпопуляций. Обследование больных инсулинзависимым диабетом позволило выявить у 6,4 % из них бессимптомную целиакию[12].
К 2000 году исследователи выяснили, что ген, ответственный за предрасположенность к целиакии, встречается довольно часто, а само заболевание диагностировано примерно у 0,5—1 % населения[13].
О распространённости целиакии в популяции нет точных данных, имеются только оценки. Дело в том, что, помимо целиакии, с непереносимостью глютена связаны два других клинических диагноза: аллергия на пшеницу (wheat allergy, WA), и не связанная с целиакией непереносимость глютена или нецелиакийная повышенная чувствительность к глютену (nonceliac gluten sensitivity, NCGS). По оценкам, доля людей со всеми тремя состояниями (суммарно) составляют от 0,2 до 6 % в разных регионах мира[14].
Целиакия распространена гораздо меньше, чем это принято считать, диагноз зачастую поставлен неверно: в «слепых» исследованиях выявлено крайне мало пациентов, действительно страдающих от глютена в пище[15]. В США как минимум у половины людей с диагнозом «целиакия» в действительности она отсутствует[16].
Некоторые люди самостоятельно ставят себе диагноз непереносимости глютена и считают, что они больны целиакией, при этом у них в действительности нет этого заболевания. Зачастую у таких пациентов глютен нормально переваривается пищеварительной системой, однако многие из них страдают синдромом раздражённого кишечника (англ. irritable bowel syndrome). Такая ложная самодиагностика связана с тем, что у целиакии и этого синдрома многие симптомы похожи[14].
Диагностировать целиакию по симптомам сложно, однако существуют надёжные диагностические методы — комплексное серологическое исследование на тканевые антитела к ферменту трансглутаминазе (tTG), к деамидированным пептидам глиадина (DGP)[6][14] и на эндомизиальные антитела[6], а в спорных случаях — биопсия эпителия двенадцатиперстной кишки[6][14].
Этиология
Генетика
Известные на 2010 год предрасполагающие генетические факторы целиакии — гаплогруппы HLA-DQ2 и HLA-DQ8, возможны и другие[какие?] генетические вариации[4].
Большинство людей с целиакией являются носителями одного из вариантов белка HLA-DQ[17]. Этот белок является частью рецептора главного комплекса гистосовместимости MHC II, которая участвует в иммунологическом распознавании клеток[18]. Две субъединицы белка HLA-DQ кодируются генами HLA-DQA1 и HLA-DQB1, локализованными на коротком плече шестой хромосомы человека[19].
В этой локализации присутствуют семь вариантов гена HLA-DQ (DQ2 и DQ4-DQ9). Более 95 % людей, больных целиакией, обладают вариантами DQ2 или DQ8. Причина, почему эти аллели увеличивают риск целиакии, состоит в том, что рецепторы, кодирующиеся этими генами, связываются с глиадиновыми белками более прочно в сравнении с другими формами антиген-презентирующих рецепторов. Кроме этого, эти формы рецепторов в большей степени активируют Т-лимфоциты и приводят к активации аутоиммунных реакций[20].
Большинство людей с целиакией несут два гена гаплотипа HLA-DQ2. Этот вариант называется гаплотипом DQ2.5. Этот гаплотип состоит из двух сходных аллелей (DQA1*0501 и DQB1*0201), которые, соответственно, кодируют две субъединицы (DQ α5 и DQ β2). У большинства людей это изоформа DQ2.5, которая кодируется двумя хромосомами 6. Большинство людей с целиакией обладают одной копией гаплотипа DQ2.5; если же этот гаплотип у человека присутствует в двух копиях, то эти люди особенно подвержены целиакии и восприимчивы к серьёзным осложнениям[21].
Некоторые люди наследуют DQ2.5 от одного из родителей и дополнительный вариант гаплотипа (либо DQB1*02, либо DQA1*05) от другого родителя: это увеличивает риск. В меньшей вероятности люди, наследующие вариант DQA1*05 от одного родителя и DQB1*02 от другого родителя; этот вариант (DQ2.5trans) называется транс-гаплотипной ассоциацией. Представители этой группы имеют сходный риск для целиакии, что и носители одиночной формы DQ2.5, но такой вариант не может быть семейным. Среди европейцев, больных целиакией, 6 % не имеет формы DQ2.5 (цис или транс) или DQ8 (кодируемые гаплотипом DQA1*03:DQB1*0302); из них 4 % имеют изоформу DQ2.2, и остальные 2 % не являются носителями ни гаплотипа DQ2, ни гаплотипа DQ8[22].
У этих генов различная географическая распространённость. DQ2.5 распространён среди населения северной и западной Европы (Автономия Басков и Ирландия[23] с наибольшей встречаемостью), части Африки и Индии[24], но не найден вокруг западной части тихоокеанского кольца. DQ8 более широко распространён, в сравнении с DQ2.5, и практически является основным в Южной и Центральной Африке. Более 90 % людей в некоторых группах америндов являются носителями DQ8[25].
Также существуют сообщения о других генетических факторах, влияющих на целиакию — однако вовлечёность в патогенез заболевания изменяется в различных географических районах. Только гаплотип HLA-DQ увеличивает риск заболевания в глобальной популяции.[26] Многие из этих локусов ассоциированы с другими аутоиммунными заболеваниями. Один локус (LPP; англ. lipoma-preferred partner gene) вовлечён в адгезию внеклеточного матрикса на клеточной поверхности, и менее распространённый вариант (однонуклеотидный полиморфизм, SNP = rs1464510) увеличивает риск заболевания порядка 30 %. Этот ген достоверно ассоциирован с целиакией (p < 10−39) в Европейской популяции и США.[26]
Не полностью ясна распространённость генотипов больных целиакией в современной популяции. Характеристики заболевания и их особенности имеют большую степень наследования; должно было ожидаться, что эти генотипы будут подвергаться негативной селекции в обществе, где длительно развивалось сельское хозяйство (в сравнении с этим — лактазная недостаточность подвергалась негативному отбору: её распространённость (около 100 % в предковой популяции) уменьшилась до 5 % в некоторых европейских странах). Это предположение было впервые опубликовано Симунсом, в 1981 г.[27] Но сейчас эта гипотеза не подтверждается: напротив, очевидна положительная селекция целиакии. Полагается, что частичное проявление этого заболевания было предпочтительно — в силу обеспечения защиты против бактериальной инфекции[28][29].
Также увеличение выявляемости целиакией предположительно связано как с улучшением диагностики, так и с распространением употребления пшеницы и продуктов из него в регионах, где традиционно до этого вместо него в основном употреблялись рис или кукуруза.
Клиническая картина
Целиакия характеризуется нарушением кишечного всасывания, суб- или атрофией слизистой оболочки тонкой кишки, положительной реакцией на аглютеновую диету (исключение из пищи продуктов из злаков, содержащих глютен[какие?]). Среди клинических вариантов следует выделять истинную целиакию и синдром целиакии, который может развиться при самых разнообразных заболеваниях кишечника (аномалии развития, инфекции, продолжительный приём антибиотиков и другие). Начало целиакии нередко совпадает со введением в пищевой рацион ребёнка прикормов, содержащих мучные изделия. Поэтому заболевают чаще дети в возрасте 6—12 месяцев; этот период особенно опасен в плане провокации целиакии.
Появляется учащённый, пенистый стул: обильный, с резким запахом, светлый или с сероватым оттенком, жирный; в кале, как правило, не обнаруживается патогенная кишечная микрофлора. Лечение диспепсии обычными средствами (антибиотики, ферментные препараты, редукция в питании и другие) эффекта не даёт. Ребёнок становится вялым, бледным, теряет массу тела, снижается аппетит. Постепенно развивается дистрофия, и дети приобретают типичный для целиакии вид: резкое истощение, потухший взгляд, яркие слизистые оболочки, огромных размеров живот. В ряде случаев развиваются отёки на нижних конечностях; нередки спонтанные переломы костей. Определяется псевдоасцит (скопление жидкости в атоничном кишечнике). Далее присоединяются симптомы поливитаминной недостаточности (сухость кожи, стоматит, дистрофия зубов, ногтей, волос и другие).
Как правило, при целиакии (особенно при длительном её течении) имеет место нарушенное всасывание дисахаров, жиров, витаминов, железа, кальция; нарушается транспорт цистина, обмен триптофана; то есть речь идёт об универсальной мальабсорбции (от лат. «malus» плохой, и «absorbtio» поглощение). В связи с этим понятен полиморфизм клинической картины. Дети страдают не только физически, но и психически (лабильность настроения, замкнутость, повышенная возбудимость, негативизм). Важным признаком заболевания, при длительном его течении, является низкорослость.
Течение целиакии волнообразное; нередко присоединяется вторичная инфекция; в редких случаях летальный исход.
Репродуктивные нарушения при целиакии
Кроме классических симптомов у больных целиакией наблюдаются внекишечные или аутоиммунные нарушения, в том числе те, которые могут привести к различным репродуктивным нарушениям [30]. В настоящее время имеются существенные доказательства того, что целиакия связана с бесплодием как у мужчин, так и у женщин [31]. Влияние целиакии на репродукцию связано с многофакторной природой заболевания, патологические проявления которого могут модулироваться, помимо глютена, различными сопутствующими генетическими и экологическими факторами [32].
Симптомокомплекс репродуктивных нарушений у женщин включает задержку первой менструации, раннюю менопаузу, вторичную аменорею, бесплодие, повторные аборты, преэклампсию, задержку внутриутробного развития и роды с низкой массой тела при рождении. У мужчин целиакия может вызвать гипогонадизм, незрелые вторичные половые признаки, снижение подвижности и нарушение морфологии сперматозоидов и снизить качество спермы. Наличие целиакии у одного из партнеров снижает не только вероятность наступления беременности в паре, но и повышает риски возникновения различных осложнений беременности. Кроме того, симптомы целиакии усугубляются при наступлении беременности. Механизмы, лежащие в основе репродуктивных изменений, все еще ждут выяснения, однако, предполагается взаимодействие между определенными дефицитами питательных веществ, эндокринными дисбалансами и иммунными нарушениями [32].
Патогенез нарушений репродуктивной функции при целиакии неясен, но были выявлены такие факторы, как аутоиммунитет, недоедание, дефицит макро- и/или микроэлементов, в том числе железа, фолиевой кислоты и цинка. Кроме того, считается, что у мужчин дисфункция половых желез вызвана снижением превращения тестостерона в дигидротестостерон, вызванным низким уровнем 5-альфа-редуктазы при целиакии. Это приводит к нарушению гипоталамо-гипофизарной оси. У 25% пациентов с целиакией наблюдается гиперпролактинемия, которая вызывает импотенцию и потерю либидо. Исключение глютена и коррекция дефицита питательных веществ могут привести к восстановлению фертильности как у мужчин, так и у женщин [31].
Недавние исследования, которые были сосредоточены на тканевой трансглутаминазе, являются многообещающими в отношении выяснения механизма бесплодия и плохих исходов беременности при целиакии. Важным фактором, который может негативно влиять на течение беременности у пациенток с целиакией, является аутоиммунный фактор, а именно аутоантитела к тканевой трансглутаминазе. Циркулирующие в крови антитела могут повреждать плаценту, приводя к прерыванию беременности на ранних сроках, а также повреждать эндотелиальные клетки сосудов эндометрия, повышая вероятность поздних выкидышей и преждевременных родов на поздних сроках беременности [32].
Диагностика
Состояние часто диагностируется с большим опозданием, несмотря на принципиальную несложность: совокупность данных анамнеза, характерного вида больного — и если на фоне безглютеновой диеты улучшается состояние больного, а отклонение от диеты приводит к появлению характерного для целиакии стула — предположительный диагноз может быть поставлен с определённой степенью надёжности. Для уточнения диагноза требуются:
- Копрологическое исследование, показывающее наличие в кале большого количества жирных кислот и мыла;
- Биохимическое исследование крови, показывающее гипопротеинемию, гипоальбуминемию, снижение концентрации холестерина и липидов, гипокальциемию, гипофосфатемию, гипосидеринемию, гипергомоцистеинемию (вследствие нарушения всасывания фолиевой кислоты, а также витаминов группы B);
- Рентгенологическое исследование, показывающее остеопороз, горизонтальные уровни в петлях кишок, дискинезию кишечника;
- Окончательный диагноз устанавливается при металогическом анализе биоптатов слизистой оболочки тонкой кишки.
Дифференциальный диагноз проводят с кишечной формой муковисцидоза, дисахаридазной недостаточностью, болезнью Уиппла, аномалиями желудочно-кишечного тракта.
Чаще всего — ложно-положительный диагноз встречается при таких заболеваниях, как диарея[уточнить], синдром раздражённого кишечника.
Для исключения целиакии проводится ПЦР-методом генотипирование генов HLA II класса (локусы DQA1 (25 аллельных вариантов), DQB1 (57 аллельных вариантов)). Отсутствие в геноме гаплотипа DQB1*02:01; DQA1*05:01 (*02:01) или DQB1*03:02; DQA1*03, которыми обусловлен синтез гетеродимеров DQ2 или DQ8 исключает возможность наличия у пациента целиакии[33].
Объективные исследования

Золотой стандарт в диагностике целиакии — эндоскопия с биопсией и серодиагностика: антиглиадиновые антитела, IgA-антитела к эндомизию, антиретикулиновые антитела[34]. В настоящее время антиглиадиновые антитела, ввиду низкой чувствительности и специфичности, использовать для диагностики целиакии не рекомендуется.
Лечение
Лечение целиакии комплексное. Основа лечения — пожизненное соблюдение аглютеновой диеты (исключаются содержащие глютен: хлеб, сухари, печенье, кондитерские мучные и макаронные изделия, продукты из ячменя, овса, пшеницы, ржи). Больные целиакией могут безопасно употреблять в пищу: рис, бобовые, гречку, кукурузу, мясо, рыбу, птицу, овощи, фрукты, яйца и молочные продукты. Следует избегать продуктов, содержащих в составе скрытый глютен[35]: например, некоторые колбасные изделия, йогурты, майонезы, крабовые палочки.[36]
При соблюдении аглютеновой диеты масса тела больных начинает восстанавливаться через 3 недели. Гистологические изменения в кишечнике начинают исчезать спустя 3-6 месяцев у детей, и у взрослых в течение 2—2,5 года. Одновременно с назначением аглютеновой диеты проводят симптоматическую терапию: витамины, препараты кальция, железа, ферментные препараты, пробиотики, массаж, гимнастика и другие. Дети, страдающие целиакией, должны находиться на диспансерном наблюдении. Прогноз при соблюдении диеты и правильном лечении благоприятный.
Следует учитывать, что крахмал, содержащий следы глютена, может быть компонентом многих пищевых продуктов и лекарственных средств. Поэтому при жёсткой диете необходим контроль и за отсутствием крахмала[какого?] в составе оболочек таблеток, принимаемых для терапии тех или иных проблем.
Глютен может содержаться в крупах или бобовых, которые проходят различную обработку на предприятиях (шлифовка, удаление оболочек семян и так далее). Например, некоторые производители обычного сухого гороха указывают на упаковке о возможном содержании глютена в их продукте. Предположительно, в таких случаях попадание глютена в безопасные продукты происходит из-за использования одного и того же оборудования для обработки семян различных растений.
В 2018 году проходил апробацию препарат для лечения целиакии, разработанный институтом молекулярной медицины Сеченовского университета. Выпустить лекарство на рынок предполагалось в 2020 году[37]. В середине 2019 года прогноз изменился: на 2020 год анонсировалось только начало клинических испытаний, а выход лекарства на рынок возможен через 3−4 года после испытаний[38].

Общества
С 1990-х годов больные метаболическими заболеваниями объединяются в общества, цель которых — помочь друг другу путём обмена информацией, оказания материальной поддержки, лоббирования интересов данной категории больных в обществе.
Первой общественной организацией в России, которая начала заниматься популяризацией информации о целиакии и поддержкой людей с этим заболеванием, стало Санкт-Петербургское общество больных целиакией «Эмилия» (создано в 1997 г.). В 1998 году общество организует и проводит первую международную научно-практическую конференцию, посвященную целиакии. 20 мая 2006 года в Санкт-Петербурге впервые проводился Международный день целиакии[39].
См. также
Примечания
- ↑ Disease Ontology (англ.) — 2016.
- ↑ Monarch Disease Ontology release 2018-06-29 — 2018-06-29 — 2018.
- 1 2 3 Целиакия / Таболин В. А. // Большая медицинская энциклопедия : в 30 т. / гл. ред. Б. В. Петровский. — 3-е изд. — М. : Советская энциклопедия, 1986. — Т. 27 : Хлоракон — Экономика здравоохранения. — 576 с. : ил.
- 1 2 3 4 Tack et al., 2010.
- ↑ Сабельникова, Е. А. Глютенчувствительная целиакия (обзор литературы) // Экспериментальная и клиническая гастроэнтерология : журн. — 2008. — № 4. — С. 39–49.
- 1 2 3 4 Krigel, A. Nonceliac Gluten Sensitivity : [англ.] / A. Krigel, B. Lebwohl // Advances in Nutrition : журн. — 2016. — Vol. 7, no. 6. — P. 1105–1110. — doi:10.3945/an.116.012849. — PMID 28140327. — PMC 5105039.
- ↑ Глютеновая болезнь / Беюл Е. А. // Большая медицинская энциклопедия : в 30 т. / гл. ред. Б. В. Петровский. — 3-е изд. — М. : Советская энциклопедия, 1977. — Т. 6 : Гипотиреоз — Дегенерация. — 632 с. : ил.
- ↑ Болезни органов пищеварения (K00-K93) / Другие болезни органов пищеварения (K90-K93) / Нарушения всасывания в кишечнике (K90) / Целиакия (K90.0) Архивная копия от 14 марта 2022 на Wayback Machine // МКБ-10, обновляемая онлайн-версия.
- ↑ Aretaeus (of Cappadocia). The Extant works of Aretaeus, the Cappadocian : [англ.] / Edited and translated by Francis Adams, LL. D.. — London : Sydenham Society, 1856. — 548 с.
- ↑ van Berge-Henegouwen G., Mulder C. Pioneer in the gluten free diet: Willem-Karel Dicke 1905–1962, over 50 years of gluten free diet (англ.) // Gut : journal. — 1993. — Vol. 34, no. 11. — P. 1473—1475. — doi:10.1136/gut.34.11.1473. — PMID 8244125. Архивировано 29 сентября 2008 года. PMC 1374403
- ↑ Anderson CM, French JM, Sammons HG, Frazer AC, Gerrard JW, Smellie JM (1952). Coeliac disease; gastrointestinal studies and the effect of dietary wheat flour. Lancet. 1 (17): 836–42. doi:10.1016/S0140-6736(52)90795-2. PMID 14918439.
- ↑ Современная концепция целиакии. Дата обращения: 17 апреля 2011. Архивировано из оригинала 26 ноября 2011 года.
- ↑ Catassi, C. Antiendomysium versus antigliadin antibodies in screening the general population for coeliac disease : [англ.] / C. Catassi, G. Fanciulli, A. R. D’Appello … [et al.] // Scandinavian Journal of Gastroenterology. — 2000. — Vol. 35, no. 7. — P. 732—736. — doi:10.1080/003655200750023408. — PMID 10972177.
- 1 2 3 4 El-Salhy, M. The relation between celiac disease, nonceliac gluten sensitivity and irritable bowel syndrome : [англ.] / M. El-Salhy, J. G. Hatlebakk, O. H. Gilja … [et al.] // Nutrition Journal. — 2015. — Vol. 14. — doi:10.1186/s12937-015-0080-6. — PMID 26345589. — PMC 4561431.
- ↑ Lionetti, E. Re-challenge studies in non-celiac gluten sensitivity : A systematic review and meta-analysis : [англ.] / E. Lionetti, A. Pulvirenti, M. Vallorani … [et al.] // Frontiers in Physiology : журн. — 2017. — Vol. 8. — P. 621. — doi:10.3389/fphys.2017.00621. — PMID 28928668. — PMC 5591881.
- ↑ DiGiacomo, D. V. Prevalence of gluten-free diet adherence among individuals without celiac disease in the USA : results from the Continuous National Health and Nutrition Examination Survey 2009-2010 : [англ.] / D. V. DiGiacomo, C. A. Tennyson, P. H. Green … [et al.] // Scandinavian journal of gastroenterology. — 2013. — Vol. 48, no. 8. — P. 921–925. — doi:10.3109/00365521.2013.809598. — PMID 23834276.
- ↑ Muhammed Hadithi, B. Mary E. von Blomberg, J. Bart A. Crusius, Elisabeth Bloemena, Pieter J. Kostense. Accuracy of serologic tests and HLA-DQ typing for diagnosing celiac disease (англ.) // Annals of Internal Medicine. — 2007-09-04. — Vol. 147, iss. 5. — P. 294–302. — ISSN 1539-3704. Архивировано 28 мая 2016 года.
- ↑ Janeway CA Jr, Travers P, Walport M, et al. Immunobiology: The Immune System in Health and Disease. — 5th edition. — New York: Garland Science, 2001.
- ↑ HLA-DQA1 major histocompatibility complex, class II, DQ alpha 1. Genetics Home Reference (25 мая 2016). Дата обращения: 26 мая 2016. Архивировано 13 мая 2016 года.
- ↑ D. A. van Heel, J. West. Recent advances in coeliac disease (англ.) // Gut. — 2006-07-01. — Vol. 55, iss. 7. — P. 1037–1046. — ISSN 0017-5749. — doi:10.1136/gut.2005.075119. Архивировано 10 февраля 2016 года.
- ↑ Rita-Désirée Jores, Fulvia Frau, Francesco Cucca, Maria Grazia Clemente, Sandra Orrù. HLA-DQB1*0201 homozygosis predisposes to severe intestinal damage in celiac disease (англ.) // Scandinavian Journal of Gastroenterology. — 2007-01-01. — Vol. 42, iss. 1. — P. 48–53. — ISSN 0036-5521. — doi:10.1080/00365520600789859. Архивировано 21 июня 2018 года.
- ↑ Kati Karell, Andrew S. Louka, Simon J. Moodie, Henry Ascher, Fabienne Clot. HLA types in celiac disease patients not carrying the DQA1*05-DQB1*02 (DQ2) heterodimer: results from the European Genetics Cluster on Celiac Disease (англ.) // Human Immunology. — 2003-04-01. — Vol. 64, iss. 4. — P. 469–477. — ISSN 0198-8859. Архивировано 29 мая 2016 года.
- ↑ J. P. Michalski, C. C. McCombs, T. Arai, R. C. Elston, T. Cao. HLA-DR, DQ genotypes of celiac disease patients and healthy subjects from the West of Ireland (англ.) // Tissue Antigens. — 1996-02-01. — Vol. 47, iss. 2. — P. 127–133. — ISSN 1399-0039. — doi:10.1111/j.1399-0039.1996.tb02525.x. Архивировано 25 июня 2016 года.
- ↑ Gurvinder Kaur, N. Sarkar, S. Bhatnagar, S. Kumar, C. C. Rapthap. Pediatric celiac disease in India is associated with multiple DR3-DQ2 haplotypes (англ.) // Human Immunology. — 2002-08-01. — Vol. 63, iss. 8. — P. 677–682. — ISSN 0198-8859. Архивировано 20 июня 2015 года.
- ↑ Z. Layrisse, Y. Guedez, E. Domínguez, N. Paz, S. Montagnani. Extended HLA haplotypes in a Carib Amerindian population: the Yucpa of the Perija Range (англ.) // Human Immunology. — 2001-09-01. — Vol. 62, iss. 9. — P. 992–1000. — ISSN 0198-8859. Архивировано 20 июня 2018 года.
- 1 2 Patrick C. A. Dubois, Gosia Trynka, Lude Franke, Karen A. Hunt, Jihane Romanos. Multiple common variants for celiac disease influencing immune gene expression (англ.) // Nature Genetics. — 2010-04-01. — Vol. 42, iss. 4. — P. 295–302. — ISSN 1546-1718. — doi:10.1038/ng.543. Архивировано 19 января 2016 года.
- ↑ Walcher, Dwain N.; Kretchmer, Norman. Food, nutrition, and evolution: food as an environmental factor in the genesis of human variability.. — Papers presented at the International Congress of the International Organization for the Study of Human Development. — USA: Masson Pub, 1981. — P. 179–199. — ISBN 0-89352-158-2.
- ↑ Carlo Catassi. Where Is Celiac Disease Coming From and Why? (англ.) // Journal of Pediatric Gastroenterology and Nutrition. — Vol. 40, iss. 3. — P. 279–282. — doi:10.1097/01.mpg.0000151650.03929.d5.
- ↑ Alexandra Zhernakova, Clara C. Elbers, Bart Ferwerda, Jihane Romanos, Gosia Trynka. Evolutionary and functional analysis of celiac risk loci reveals SH2B3 as a protective factor against bacterial infection (англ.) // American Journal of Human Genetics. — 2010-06-11. — Vol. 86, iss. 6. — P. 970–977. — ISSN 1537-6605. — doi:10.1016/j.ajhg.2010.05.004.
- ↑ L. S. Oreshko, E. A. Semenova, G. Ch. Alieva, O. V. Basyul. Reproductive changes in women with celiac disease // Experimental and Clinical Gastroenterology. — 2021-07-21. — Вып. 4. — С. 144–149. — ISSN 1682-8658. — doi:10.31146/1682-8658-ecg-188-4-144-149.
- 1 2 K.S. Sher, V. Jayanthi, C.S.J. Probert, C.R. Stewart, J.F. Mayberry. Infertility, Obstetric and Gynaecological Problems in Coeliac Sprue (англ.) // Digestive Diseases. — 1994. — Vol. 12, iss. 3. — P. 186–190. — ISSN 0257-2753. — doi:10.1159/000171452.
- 1 2 3 Целиакия и нарушения репродукции: невынашивание беременности, бесплодие, преэклампсия, нарушения цикла. www.cironline.ru. Дата обращения: 17 ноября 2024.
- ↑ Источник. Дата обращения: 9 июня 2023. Архивировано 9 июня 2023 года.
- ↑ van der Windt, Daniëlle A. W. M. et al. Diagnostic Testing for Celiac Disease Among Patients With Abdominal Symptoms (англ.) // Journal of the American Medical Association. — American Medical Association, 2010. — Vol. 6, iss. 306, no. 639. — doi:10.1001/jama.2010.1109. Архивировано 3 февраля 2011 года.
- ↑ Суррогаты, в рецептуре которых взамен классического состава, добавляется мука или крахмал из неё, обычно для придания нужной консистенции и объёма при одновременном удешевлении себестоимости.
- ↑ Архивная копия от 3 октября 2015 на Wayback Machine [Guidelines for diagnosis and treatment of celiac disease] (PDF Download Available)
- ↑ Лекарство от непереносимости глютена может выйти на рынок в 2020 году. ТАСС (21 декабря 2018). Дата обращения: 25 декабря 2018. Архивировано 25 декабря 2018 года.
- ↑ Клинические испытания российского препарата от непереносимости глютена начнут в 2020 году. ТАСС (20 мая 2019). Дата обращения: 4 сентября 2019. Архивировано 4 сентября 2019 года.
- ↑ Романовская И.э, Шаповалова Н.с. РОЛЬ ПАЦИЕНТСКОЙ ОРГАНИЗАЦИИ В СОЦИАЛЬНО-ПСИХОЛОГИЧЕСКОЙ АДАПТАЦИИ БОЛЬНЫХ С ЦЕЛИАКИЕЙ // Экспериментальная и клиническая гастроэнтерология. — 2021. — Вып. 4 (188). — С. 136–143. — ISSN 1682-8658. Архивировано 9 июня 2023 года.
Литература
- Tack, G. J. The spectrum of celiac disease : epidemiology, clinical aspects and treatment : [англ.] / G. J. Tack, W. H. M. Verbeek, M. W. J. Schreurs … [et al.] // Natures reviews. Gastroenterology and hepatology : журн. — 2010. — Vol. 7, no. 4. — P. 204–213. — doi:10.1038/nrgastro.2010.23. — PMID 20212505.
- Ревнова М. О., Романовская И. Э. Целиакия: болезнь или образ жизни? — СПб.: Ольга, 2003. — 156 с.
- Лазебник Л. Б., Ткаченко Е. И., Орешко Л. С. и др. Рекомендации по диагностике и лечению целиакии взрослых // Экспериментальная и клиническая гастроэнтерология. — 2015. — № 5 (117). — С. 3—12.
- Всероссийский консенсус по диагностике и лечению целиакии у детей и взрослых (Принят на 42-й научной сессии Центрального научно-исследовательского института гастроэнтерологии; Москва, 2-3 марта 2016 г.) / Парфенов А. И., Маев И. В., Баранов А. А. и др. // Альманах клинической медицины. — 2016. — Том 44, № 6. — С. 661—688. — doi:10.18786/2072-0505-2016-44-6-661-688.
Ссылки
- Обновленные рекомендации по целиакии. Блог врача Олега Конобейцева (4 сентября 2019). Дата обращения: 1 сентября 2019.
- Комплекс анализов для выявления возможной целиакии и чувствительности к глютену (англ.).
