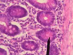
Энтероцит
Энтероци́ты (лат. enterocytus) — общее название ряда клеток эпителия кишечника.[1][2]
Различают следующие типы энтероцитов: каёмчатые энтероциты, бокаловидные энтероциты (бокаловидные клетки), энтероциты ацидофильные (клетки Панета), энтероциты бескаёмчатые и другие.[2][3]
Некоторые источники называют энтероцитами только каёмчатые (столбчатые) энтероциты.[4]
Энтероциты каёмчатые
Энтероциты каёмчатые (лат. enterocytus limbatus) специализируются на пристеночном пищеварении и всасывании. Имеют высокую призматическую форму. Составляют основную массу клеток эпителия кишечника и до 90 % клеток ворсинок. Апикальная поверхность каёмчатых энтероцитов представляет собой щёточную каёмку, образованную микроворсинками с выростами клеточной оболочки.[2]

Бокаловидные энтероциты
Энтероциты бокаловидные или бокаловидные клетки (лат. enterocytus caliciformis) — продуцирующие слизь клетки эпителия слизистой оболочки кишечника позвоночных животных и человека. В бокаловидных клетках накапливаются гранулы муциногена, которые, абсорбируя воду, набухают и превращаются в муцин (основной компонент слизи). При этом клетки обретают форму бокала, суженного у основания (где находится ядро) и округлой широкой в апикальной, верхней части. Затем набухшая верхняя часть бокаловидной клетки разрушается, слизь переходит в просвет органа, клетка приобретает призматическую форму и снова начинает накапливать муциноген. Кроме кишечника, бокаловидные клетки имеются в слизистой оболочке дыхательных путей, в конъюнктиве глаз, протоках поджелудочной и околоушной желёз.[5]
Энтероциты ацидофильные
Энтероциты ацидофильные (синонимы: клетки Панета, энтероциты с ацидофильными гранулами; лат. enterocytus cum graulis acidophilicis) — трапециевидные клетки эпителия кишечных крипт, в апикальной части которых находятся ацидофильные гранулы, содержащие пищеварительные ферменты кишечного сока. Составляют примерно 1 % от общего количества энтероцитов тонкой кишки.[2]
Бескаёмчатые энтероциты
Бескаёмчатые энтероциты (лат. enterocytus alimbatus) — недифференцированные бескаёмчатые клетки крипт эпителия кишечника. Имеют призматическую форму и базально расположенные ядра. Бескаёмчатые энтероциты способны к пролиферации (размножению) и при миграции на кишечную ворсинку могут скачкообразно дифференцироваться в каёмчатые энтероциты и в бокаловидные клетки.[2][6]
Обновление энтероцитов
Процесс обновления кишечных энтероцитов происходит постоянно. Энтероциты перемещаются из складок слизистой оболочки к вершине ворсинок примерно за 24 — 36 часа и, затем, через 3 дня, отторгаются. Исключение составляют клетки Панета, которые располагаются на дне крипт и обновляются раз в 30 дней. В просвет кишки попадает около 250 г энтероцитов в сутки. 10 % от массы энтероцитов составляют белки, которые расщепляются в процессе пищеварения. Большая часть продуктов их распада снова всасывается.[2][7]
См. также
Примечания
- ↑ Большой медицинский словарь. энтероцит // Большой медицинский словарь. — 2000..
- 1 2 3 4 5 6 Маев И. В., Самсонов А. А. Болезни двенадцатиперстной кишки. М., МЕДпресс-информ, 2005, — 512 с. ISBN 5-98322-092-6.
- ↑ Медицинская энциклопедия. Энтероцит // 1. Малая медицинская энциклопедия. — М.: Медицинская энциклопедия. 1991—96 гг. 2. Первая медицинская помощь. — М.: Большая Российская Энциклопедия. 1994 г. 3. Энциклопедический словарь медицинских терминов. — М.: Советская энциклопедия. — 1982—1984 гг.
- ↑ Гистология.mp3. Пищеварительная система Архивная копия от 22 апреля 2009 на Wayback Machine.
- ↑ Бокаловидные клетки — статья из Большой советской энциклопедии.
- ↑ Физиология человека. Под редакцией В. М. Покровского, Г. Ф. Коротько. Кишечная секреция Архивная копия от 13 августа 2019 на Wayback Machine.
- ↑ Биология и медицина. Энтероциты Архивная копия от 19 июля 2009 на Wayback Machine.