Энцефалит Расмуссена
| Энцефалит Расмуссена | |
|---|---|
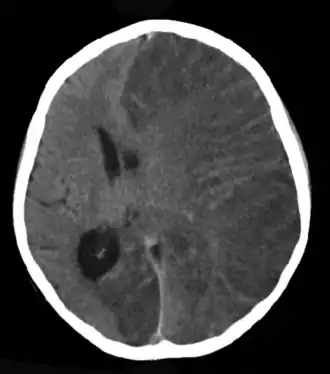
![]() КТ головного мозга 8-летней девочки с энцефалитом Расмуссена в острой стадии. | |
| МКБ-10 | G04.8 |
| МКБ-10-КМ | G04.8 |
| МКБ-9 | 323.81 |
| МКБ-9-КМ | 323.9[1] |
| DiseasesDB | 33757 |
| MeSH | C535291 |
Энцефалит Расмуссена (син.: хронический прогрессирующий очаговый энцефалит, синдром Расмуссена, болезнь Расмуссена) — редкое воспалительное заболевание головного мозга, которое в основном поражает детей до 15 лет и характеризуется крайне резистентной к лечению эпилепсией, вовлечением одного из полушарий мозга и прогрессирующей его атрофией. Средний возраст начала заболевания — 6 лет.[2] Намного реже энцефалитом болеют подростки и взрослые.[3] В литературе описан самый поздний дебют — 58 лет.[4]
Этиология и патогенез
Точная этиология заболевания неизвестна. Первоначально были выдвинуты 3 ключевых фактора, которые инициируют и поддерживают прогрессирование патологического процесса в центральной нервной системе: вирусы, аутоиммунные антитела и аутоиммунные цитотоксические Т-лимфоциты.[5][6][7] Возможна роль цитомегаловирусов, которые были выделены из коры головного мозга взрослых пациентов.[3]
В настоящее время все больше ученых склоняются к аутоиммунной концепции патогенеза энцефалита,[8] непосредственную роль в котором играют цитотоксические Т-лимфоциты. Среди прямых родственников больных энцефалитом Расмуссена также встречаются больные с другими аутоиммунными болезнями, например, болезнью Бехчета, что предполагает вовлечение общих генетических факторов таких, как HLA-галотипы.[9]
В 90-е годы XX века появились некоторые доказательства связи энцефалита Расмуссена с антителами к глутаматному рецептору GRIA3 (GluR3),[10][11] но недавние исследования не нашли этому подтверждение[12]. Возможно, в патогенез заболевания вносят вклад аутоантитела к ε2-субъединице глутаматных NMDA-рецепторов (GluRepsilon2), которые были обнаружены в сыворотке крови и ликворе больных энцефалитом Расмуссена, причём их титр напрямую коррелировал с частотой эпилептических припадков. Rougier A. с соавт. (2007), наоборот, полагают, что пока не выявлено прямой связи между эпилептическими и воспалительными процессами.[13] Обнаруженные аутоантитела, возможно, станут диагностическим маркёром энцефалита Расмуссена,[14] однако они, как и антитела к GluR3 и другим нейромолекулам, не являются специфичными для энцефалита Расмуссена. Например, у больного аутоиммунным менингоэнцефалитом были обнаружены антитела как к ε2-, так и δ2-субъединице (GluRdelta2), что клинически проявлялось электрическим эпистатусом, малыми изменениями на МРТ и хорошим ответом на пульс-терапию метилпреднизолоном. Однако эти клинические особенности в корне отличаются от таковых при энцефалите Расмуссена.[15] Антитела к GluRepsilon2 определялись в течение 6 месяцев от начала манифестации эпиприпадков у всех больных энцефалитом Расмуссена, и лишь у некоторых пациентов — в хронической стадии. Это позволяет предположить, что антитела к GluRepsilon2 вовлечены в патологические процессы лишь на начальной стадии.[16]
Другие авторы исследовали экспрессию про- и антивоспалительных цитокинов и охарактеризовали подтипы Т-лимфоцитов у больных энцефалитом. Osorio I. с соавт. (2007) в ходе своих экспериментов установили, что энцефалит Расмуссена опосредован через Tc2 поляризацию иммунного ответа, и иммуногистопатология, естественное течение и эволюция клинической картины (хроническая, ступенеобразная прогрессия) отражают двойственность/плеотротность действия интерлейкина-10, которое, в зависимости от состояния активации иммунной системы, может быть либо цитолитическим, либо иммуносупрессивным. Они также нашли, что лимфоцитарный инфильтрат в пораженных участах мозга состоит, в основном, из CD3+ и CD8+ Т-клеток.[17]
Патоморфология
Действующие гистопатологические критерии энцефалита Расмуссена включают: преобладание Т-клеточной инфильтрации, активация микроглии, гибель нейронов (апоптоз с последующим значительным снижением их количества) и астроцитарная активация. Апоптоз астроцитов и последующая их гибель как в коре, так и в белом веществе, являются специфичным для энцефалита Расмуссена. Подобная особенность не найдена при других болезнях (паранеопластический энцефаломиелит, склероз аммонова рога, очаговая дисплазия коры). Эксперименты in vitro предположили, что гибель астроцитов обусловлена антителами к GluR3, однако исследования in vivo дают основания думать о специфической атаке цитотоксических Т-лимфоцитов как о возможном механизме гибели астроцитов. Гибель астроцитов ведет к дисфункции нейронов, индукции припадков и ускоренной смерти нервных клеток.[18]
В головном мозге больных недавно обнаружена обширная активация Iba1+ микроглии, особенно в участках, значительно измененных склерозом, причем она была более выражена при энцефалите Расмуссена, чем при корковой дисплазии и туберозном склерозе. Однако не выявлено качественной связи между иммуноокраской на Iba1 и присутствием CD8+ цитотоксических Т-лимфоцитов, а также статистической связи с клиническими вариациями эпилепсии такими, как длительность припадков и их частота.[19]
Клиническая картина
Энцефалит Расмуссена характеризуется резистентными к лечению фокальными эпилептическими припадками, часто сопровождается кожевниковской эпилепсией (epilepsia partialis continua — на фоне постоянного гиперкинеза появляются генерализованные эпилептические припадки с потерей сознания), прогрессирующим односторонним двигательным дефектом (гемипарез), нарушением речи (при поражении доминантного полушария), слабоумием. На ЭЭГ регистрируется медленная активность над всей поверхностью пораженного полушария. Нейровизуализация выявляет очаговую гиперинтенсивность в белом веществе и атрофию коры островковой доли.[7] На начальных стадиях болезни могут возникнуть сложности с интерпретацией данных нейровизуализации, например, они могут напоминать очаговую корковую дисплазию. Однако исследования в динамике помогают поставить правильный диагноз.[20]
В дополнение к хорошо изученным клиническим проявлениям энцефалита недавно были выявлены некоторые особенности, характерные для больных из развивающихся стран: изолированная кожевниковская эпилепсия языка, которая исчезала после кортикальной резекции, двустороннее поражение мозга, атрофия скорлупы и отсутствие гемипареза, несмотря на длительное течение болезни.[21] Описаны гистологически подтвержденные случаи благоприятного течения энцефалита без прогредиентности, которые проявлялись в основном фокальными эпиприпадками без существенного двигательного дефицита и хорео-дистоническими гиперкинезами. У большинства больных дебют заболевания при этом был в позднем возрасте.[22]

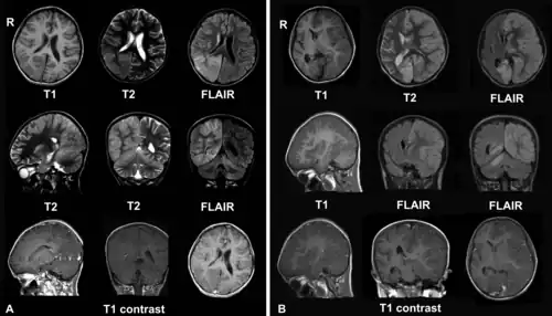
A. Декабрь 2008. У больной была головная боль и epilepsia partialis continua. Обратите внимание на очаги с фокальным отеком мозга в правой теменной и затылочной долях и правом полушарии мозжечка.
B. Апрель 2009. Та же больная, которая теперь в коме с epilepsia partialis continua. Отмечается прогрессирование энцефалита с вовлечением левого полушария мозга и значительным отеком мозга и смещением срединных структур.
Течение
Согласно Европейскому консенсусу по патогенезу, диагностике и лечению энцефалита Расмуссена (2005),[2] выделяют 3 стадии болезни: продромальную, острую и резидуальную. Продолжительность продромальной стадии составляет в среднем 7 месяцев (от 0 до 8 лет), проявляется неспецифическими симптомами, единичными эпиприпадками; гемипарез, причем легкий, бывает очень редко. После продрома все больные переходят в острую стадию, хотя в 1/3 случаев первая стадия отсутствует. Острая стадия характеризуется частыми эпиприпадками, главным образом, парциальными (простые моторные обычно в форме кожевниковской эпилепсии). Ухудшение неврологического статуса манифестирует прогрессирующим гемипарезом, гемианопсией, когнитивными нарушениями и афазией (при поражении доминантного полушария). Средняя продолжительность стадии 8 месяцев (от 4 до 8 мес.), после этого больные переходят в резидуальную стадию со стойким и стабильным неврологическим дефицитом, эпиприпадками, но не столь частыми, как в острой стадии. В этой стадии не все больные имеют гемипарез. Большой временной разброс по длительности стадий указывает на значительную вариабельность темпа и тяжести деструктивного процесса у различных больных. Гемипарез является наиболее удобным маркёром для клинического мониторинга, так как он с наибольшей постоянностью обнаруживается и поддается количественной оценке даже у детей. В силу того, что гемипарез может дополнительно усугубляться преходящим постиктальным парезом у больных с моторными припадками, необходимо проводить обследования в динамике, особенно в периоды, когда припадки становятся редкими. Это важно для надежной оценки степени постоянной моторной дисфункции. Периодическое нейропсихологическое обследование рекомендуется для выявления когнитивных нарушений, особенно у пациентов без явного гемипареза, например, с поражением височной доли.
Эпилептические припадки
Европейский консенсус[2] также выделил следующие особенности эпилепсии при энцефалите Расмуссена: 1) полиморфизм припадков у конкретного больного; 2) частое возникновение кожевниковской эпилепсии; и 3) резистентность припадков, особенно кожевниковской эпилепсии, к лекарственным препаратам. Различная семиология припадков, часто выявляемая при наблюдении за пациентом на протяжении длительного времени, лучше всех объясняется маршем эпилептического очага по полушарию мозга, что подтверждено серийными нейровизуализационными исследованиями. За исключением редких случаев двустороннего энцефалита, все припадки происходят лишь из одного полушария. Парциальные простые моторные припадки, вовлекающие одну сторону тела, и последующие вторично-генерализованные тонико-клонические судороги являются наиболее типичными. Реже бывают парциальные сложные (с автоматизмами или с последующим односторонним моторным вовлечением), постуральные и соматосенсорные припадки.
Epilepsia partialis continua возникает у 56—92 % больных на каком-либо этапе течения энцефалита. Первоначально её описал российский невролог А. Я. Кожевников в 1895 г. у взрослых, переболевших клещевым энцефалитом. Особенности кожевниковской эпилепсии: 1) не поддается лечению антиконвульсантами; 2) не имеет общей тенденции к распространению, в отличие от других моторных припадков (как, например, это бывает при джексоновской эпилепсии, хотя и кожевниковская эпилепсия время от времени может проявляться джексоновскими припадками); 3) не прекращается после обычно короткого периода фокальных моторных припадков.
Особенности у взрослых
Несмотря на то, что формы с поздним началом могут походить на ранние, симптомы при этом прогрессируют медленно и неврологический дефицит более вариабельный. Для взрослой формы характерно вовлечение затылочной доли, двустороннее поражение полушарий, клиника височной эпилепсии, наличие двигательных расстройств в начале болезни. Хирургическое лечение (см. ниже) не столь эффективно, как у детей,[23] однако внутривенное введение иммуноглобулина дает хорошие результаты.[4] У взрослых возможно двухфазное течение энцефалита: например, у больного в дебюте были припадки и левосторонняя дискинезия, а через год присоединились нарушения речи. Серийная МРТ и ПЭТ показали в начале поражение правого полушария, а затем вовлечение левого.[24]
Для взрослой формы также характерен атипизм ЭЭГ-паттерна: например, стандартная ЭЭГ может не «видеть» электрический эпилептический статус, в то время как субдурально расположенные электроды могут его зарегистрировать.[25]
Villani F. с соавт.(2006), изучив случаи заболевания в Италии, выделили 2 анатомо-электрофизиологических варианта энцефалита у взрослых: «эпилептический» — характеризуется фокальными моторными эпиприпадками, и «миоклонический» — проявляется в основном очаговыми корковыми миоклонусами. Односторонний неврологический дефицит и атрофия мозга прогрессируют при обоих вариантах, но более выражены и раньше заметны при «эпилептическом».[26]
Ассоциированные состояния
Описаны случаи энцефалита Расмуссена, сочетающегося с нейровисцеральной порфирией, острой перемежающейся порфирией,[27] а также после острого диссеминированного энцефаломиелита.[28] Фармакорезистентные случаи эпилепсии, синдром Леннокса-Гасто требуют более углубленных обследований на нейровисцеральные порфирии, включая острую перемежающуюся порфирию, наследственную копропорфирию и пёструю порфирию южно-африканского типа. При наличии этих генетических заболеваний следует избегать антиэпилептической политерапии и назначения порфириногенных препаратов (фенобарбитал, вальпроаты и другие индукторы цитохрома P450). Диагностика обычно затруднена у детей, нуждающихся в ферментном или ДНК-тестировании на эти болезни.
Диагностика
Диагноз энцефалита Расмуссена основывается на клинических, электрофизиологических (ЭЭГ) и морфологических критериях (МРТ, в некоторых случаях — гистопатология). У большинства хронических больных (то есть с длительностью заболевания более 1 года) дифференциальный диагноз не сложен. Однако практическое значение имеет ранняя диагностика энцефалита, то есть перед тем, как прогрессирующие гемиатрофия и неврологический дефект станут явными. Ранняя диагностика также необходима для начала иммуносупрессивной терапии, которая может быть наиболее эффективна на начальной стадии болезни. Поэтому формальные диагностические критерии должны быть доступны как для идентификации ранних, так и хронических случаев. Возраст дебюта болезни не включен в эти критерии, хотя следует подчеркнуть, что энцефалит, главным образом, начинается в детстве.
В 1994 году были предложены формальные диагностические критерии энцефалита Расмуссена.[29] В последующем они были дополнены Европейским консенсусом[2] и являются действующими в настоящее время. Эти критерии имеют следующие цели: 1) позволяют диагностировать энцефалит на всех стадиях; 2) делают доступной раннюю диагностику и, следовательно, раннее решение о начале специфического лечения (хирургическое или иммуннотерапия); и 3) ограничивают использование биопсии мозга только теми случаями, при которых точный диагноз не может быть поставлен посредством других методов. Для достижения этих целей был создан двуступенчатый подход, представленный в таблице 1.
| Таблица 1. Диагностические критерии энцефалита Расмуссена[2] | |
|---|---|
| Энцефалит Расмуссена может быть диагностирован, если присутствуют все три критерия из части А или два из трех критериев из части Б. Проверьте сначала критерии из части А, затем, если они подходят не полностью, из части Б. Дополнение: если биопсия не сделана, следует назначить МРТ с гадолинием или КТ головного мозга, чтобы доказать отсутствие контрастного усиления с гадолинием и кальцификатов, которые характерны для однополушарного васкулита.[30] | |
| Часть А: | |
| 1.Клиника | Фокальные припадки (с или без кожевниковской эпилепсии) и Односторонний корковый дефицит |
| 2.ЭЭГ | Однополушарная медленная активность с или без эпилептиформной активности и Одностороннее начало припадков |
| 3.МРТ | Однополушарная очаговая атрофия коры и покрайней мере одно из следующих: - T2/FLAIR-гиперинтерсивный сигнал от серого или белого вещества - Гиперинтерсивный сигнал или атрофия головки хвостатого ядра с ипсилатеральной стороны |
| Часть Б: | |
| 1.Клиника | Кожевниковская эпилепсия или Прогрессирующий1 односторонний корковый дефицит |
| 2.МРТ | Прогрессирующая1 однополушарная очаговая атрофия коры |
| 3.Гистопатология | Энцефалит с преобладанием Т-лимфоцитов и активированных микроглиальных клеток (типично, но необязательно, формирующих узелки) и реактивный астроглиоз. Множественные паренхимальные макрофаги, B-клетки, плазматические клетки или включения вирусных телец исключают диагноз энцефалита Расмуссена. |
| 1"Прогрессирующий" — это значит, что по крайней мере два последовательных клинических обследования или МРТ необходимы для применения этого критерия. Для указания на неврологическую прогредиентность нужно задокументировать неврологический дефицит в каждом из этих обследований, и он должен увеличиться по прошествии времени. Для указания на прогрессирующую гемиатрофию каждое из проведенных МРТ должно показать гемиатрофию, и она должна со временем нарасти. | |
Каждый больной с подозрением на энцефалит Расмуссена должен быть проверен на характерные клинические, ЭЭГ и МРТ критерии, перечисленные в части А. Если все показатели сходятся, энцефалит Расмуссена может быть диагностирован без последующих обследований (для подтверждения прогредиентности болезни) и биопсии мозга. Критерии из части А таблицы 1 являются высоко специфичными для ранних случаев. Для охвата больных с различной манифестацией энцефалита существует часть Б. Если пациент не подходит полностью под критерии части А, он должен быть проверен на критерии части Б. Эти параметры основаны на прогредиентности клинического и МРТ-дефицита или биопсии мозга. Критерии, перечисленные в части Б, в дополнение к части А с большой вероятностью охватывают ранние, резидуальные «законченные» и менее типичные формы энцефалита. Только очень редкие случаи двустороннего энцефалита могут не подходить под эти критерии. С другой стороны, полное соответствие критериям исключает другие болезни. Кстати, в литературе описан единственный случай гистопатологически подтвержденного васкулита, который мог быть ошибочно диагностирован как энцефалит Расмуссена, так как соответствовал всем формальным критериям без биопсии мозга. Неинвазивными отличиями от энцефалита Расмуссена в данном случае были только контрастное усиление с гадолинием на МРТ и кальцификаты на КТ. Поэтому необходимо проводить подобные обследования, если энцефалит Расмуссена диагностируется без гистопатологического исследования.[30]
Дифференциальный диагноз
Дифференциальную диагностику обычно следует проводить с: 1) другими односторонними неврологическими синдромами; 2) другими причинами кожевниковской эпилепсии; 3) другими воспалительными или инфекционными болезнями, имитирующими энцефалит Расмуссена. Возможные заболевания и диагностические шаги для их исключения приведены в таблице 2.
| Таблица 2. Дифференциальная диагностика энцефалита Расмуссена[2] | |
|---|---|
| Заболевания | Клинические и лабораторные критерии |
| 1. Однополушарные эпилептические синдромы | |
| Дисплазия коры Гемимегалэнцефалия Туберозный склероз |
Кожевниковская эпилепсия обычно начинается в младенческом или раннем детском возрасте |
| Синдром Штурге-Вебера1 | МРТ с гадолинием |
| Инсульт | Нет прогрессирования на МРТ |
| Синдром гемиприпадки-гемиплегия-эпилепсия[31][32][33] | Обычно встречается в младенческом или раннем детском возрасте (до 4 лет) Изначально (тонико-)клонические припадки, манифестирующие как эпилептический статус МРТ в начале болезни: поражение всего полушария, указывающее на диффузный цитотоксический отек Впоследствии: постоянный стабильный или имеющий легкую тенденцию к улучшению гемипарез; атрофия полушария на МРТ; фокальная эпилепсия |
| Опухоль | МРТ |
| 2. Кожевниковская эпилепсия вследствие метаболических нарушений | |
| Сахарный диабет: | Анамнез |
| — Гипергликемия с или без кетоацидоза | Анализы крови |
| — Диабет I типа и анти-GAD65 антитела | Анти-GAD65 антитела |
| Почечная или печеночная энцефалопатия | Анамнез Анализы крови |
| 3. Метаболические или дегенеративные прогрессирующие неврологические заболевания | |
| Синдром MELAS2 и другие митохондриопатии | Лактат крови (чувствительность низкая) Тестирование митохондриальной ДНК на мутации Биопсия мышц Биохимическая оценка активности митохондриальных ферментов |
| Синдром Альперса | Анамнез, прогрессирование болезни ЭЭГ МРТ Вызванные потенциалы Функциональные пробы печени Биохимическая оценка активности митохондриальных ферментов |
| Болезнь Куфса3 | ЭЭГ МРТ Вызванные потенциалы Биопсия кожи |
| 4. Воспалительные/инфекционные заболевания | |
| Церебральный васкулит при системных заболеваниях соединительной ткани (например, системная красная волчанка) | Анамнез Другие клинические особенности Аутоантитела (антиядерные [ANA], антинейтрофильные цитоплазматические [ANCA]) |
| «Однополушарный церебральный васкулит, имитирующий энцефалит Расмуссена»[30] | КТ головного мозга: кальцификаты МРТ: контрастное усиление с гадолинием Биопсия мозга |
| Подострый склерозирующий панэнцефалит и другие отсроченные подострые коревые энцефалиты с или без иммунодефицита | Анамнез (вакцинальный статус, ранняя корь) ЭЭГ: периодические эпи-разряды Коревые антитела в ликворе |
| Паранеопластический синдром | Поиск опухоли Онконевральные антитела (анти-Hu) |
| Клещевой энцефалит | Встречается в эндемичных регионах История укусов клещами Специфичные серологические тесты на антитела к вирусу клещевого энцефалита Биопсия мозга: включения вирусных телец |
| Рассеянный склероз | История предыдущих эпизодов Дополнительный неврологический дефицит МРТ Олигоклональные антитела Вызванные потенциалы |
| Болезнь Крейтцфельдта-Якоба | Белок 14-3-3 в ликворе (нет абсолютной специфичности; однако статус 14-3-3 у больных энцефалитом Расмуссена не известен) ЭЭГ МРТ |
| ВИЧ-инфекция | Анализ крови на антитела |
| Болезнь кошачьих царапин | Анамнез Кожные папулы, лимфаденопатия Серология (Bartonella henselae) |
| 5. Другие | |
| Прием препаратов, которые могут вызвать припадки: Метризимид Пенициллин, Азлоциллин-Цефотаксим |
Анамнез |
| Пересадка красного костного мозга | Анамнез |
| Глиоматоз головного мозга | МРТ |
| 1Синдром Штурге-Вебера — в русскоязычной литературе иногда пишут как синдром Стерджа-Вебера 2Синдром MELAS (Mitochondrial Encephalomyopathy, Lactic Acidosis and Stroke-like episodes) — митохондриальная энцефаломиопатия, лактацидоз и инсультоподобные эпизоды 3Болезнь Куфса — поздняя амавротическая идиотия | |
Лечение
При наличии резистентных к терапии припадков, сочетающихся со стойким неврологическим дефицитом (гемиплегия, афазия), показано хирургическое лечение — удаление или перерезание связей пораженной части мозга (анатомическая или функциональная гемисферэктомия). Антиэпилетические препараты и кетогенная диета (богатая жирами и бедная углеводами) могут быть рекомендованы на начальной стадии, однако в большинстве случаев они малоэффективны. В 2008 г. для лечения кожевниковской эпилепсии предложена транскраниальная магнитная стимуляция, которая на непродолжительное время способна остановить припадки.[34] Альтернативное лечение включает антивирусные препараты, плазмаферез, иммуноадсорбцию, иммуносупрессию (глюкокортикоиды и др.) и иммуномодуляцию (иммуноглобулин внутривенно). Однако, ввиду отсутствия большого количества исследований, в настоящее время не существует устоявшейся стратегии лечения.[5]
Прогноз
Прогноз при энцефалите Расмуссена вариабельный. Нелеченная болезнь может привести к стойкому и значительному неврологическому дефициту, включая умственную отсталость и параличи. У некоторых пациентов хирургическое лечение может уменьшить частоту припадков. Однако большинство больных остаются с парезами и нарушениями речи. Есть сообщения в литературе, что чем в более раннем возрасте дебютирует болезнь, тем она более склонна к двустороннему поражению; такие формы обычно прогностически неблагоприятны и, как правило, заканчиваются летально. Возможно, это связано с незрелостью иммунной системы.[35] Описан случай развития анапластической эпендимомы на фоне энцефалита Расмуссена, однако причинно-следственную связь между этими двумя состояниями установить пока трудно.[36]
Эпоним
Болезнь названа по имени американского нейрохирурга Теодора Расмуссена, описавшего её в 1958 году[37].
Примечания
- ↑ Monarch Disease Ontology release 2018-06-29 — 2018-06-29 — 2018.
- 1 2 3 4 5 6 Bien C.G., Granata T., Antozzi C., et al. Pathogenesis, diagnosis and treatment of Rasmussen encephalitis: a European consensus statement (англ.) // Brain. : journal. — 2005 Mar. — Vol. 128, no. Pt 3. — P. 454—471. — doi:10.1093/brain/awh415. — PMID 15689357.
- 1 2 McLachlan R.S., Girvin J.P., Blume W.T., Reichman H. Rasmussen's chronic encephalitis in adults (англ.) // JAMA Neurology. — 1993. — Vol. 50, no. 3. — P. 269—274. — PMID 8382920.
- 1 2 Hunter G.R., Donat J., Pryse-Phillips W., et al. Rasmussen's encephalitis in a 58-year-old female: still a variant? (англ.) // Can J Neurol Sci. : journal. — 2006 Aug. — Vol. 33, no. 3. — P. 302—305. — PMID 17001818.
- 1 2 Bien C.G., Elger C.E., Wiendl H. Advances in pathogenic concepts and therapeutic agents in Rasmussen's encephalitis (англ.) // Expert Opin Investig Drugs. : journal. — 2002. — Vol. 11, no. 7. — P. 981—989. — PMID 12084008.
- ↑ Hart Y. Rasmussen's encephalitis (англ.) // Epileptic Disorders. — 2004 Sep. — Vol. 6, no. 3. — P. 133—144. — PMID 15575078.
- 1 2 Bahi-Buisson N., Nabbout R., Plouin P., et al. [Recent advances in pathogenic concepts and therapeutic strategies in Rasmussen's encephalitis] (англ.) // Rev Neurol (Paris). : journal. — 2005 Apr. — Vol. 161, no. 4. — P. 395—405. — PMID 15924075.
- ↑ Freeman JM. Rasmussen's syndrome: progressive autoimmune multi-focal encephalopathy (фр.) // Pediatr Neurol. : magazine. — 2005 May. — Vol. 32, no 5. — P. 295—299. — PMID 15866428.
- ↑ Kinay D., Bebek N., Vanli E., Gurses C., et al. Rasmussen's encephalitis and Behcet's disease: autoimmune disorders in first degree relatives (англ.) // Epileptic Disorders. — 2008 Dec. — Vol. 10, no. 4. — P. 319—324. — PMID 19017575.
- ↑ Rogers S.W., Andrews P.I., Gahring L.C., et al. Autoantibodies to glutamate receptor GluR3 in Rasmussen's encephalitis (англ.) // Science : journal. — 1994. — Vol. 265, no. 5172. — P. 648—651. — doi:10.1126/science.8036512. — PMID 8036512.
- ↑ Granata T. Rasmussen's syndrome (неопр.) // Neurol Sci.. — 2003 Oct. — Т. 24, № Suppl 4. — С. S239—43. — PMID 14598051.
- ↑ Watson R., Jiang Y., Bermudez I., et al. Absence of antibodies to glutamate receptor type 3 (GluR3) in Rasmussen encephalitis (англ.) // Neurology : journal. — Wolters Kluwer, 2004. — Vol. 63, no. 1. — P. 43—50. — PMID 15249609.
- ↑ Rougier A., Vital A., Michel V., et al. Refractory occipital lobe epilepsy treated by surgery in a child with chronic encephalitis (англ.) // Pediatr Neurosurg. : journal. — 2007. — Vol. 43, no. 2. — P. 130—133. — PMID 17337926.
- ↑ Takahashi Y., Mori H., Mishina M., et al. Autoantibodies and cell-mediated autoimmunity to NMDA-type GluRepsilon2 in patients with Rasmussen's encephalitis and chronic progressive epilepsia partialis continua (англ.) // Epilepsia. : journal. — 2005. — Vol. 46, no. Suppl 5. — P. 152—158. — PMID 15987271.
- ↑ Tomioka S., Shimono M., Kato A., et al. [A 16-year-old boy with meningoencephalitis with auto-antibody against glutamate receptor] (англ.) // No To Hattatsu. : journal. — 2008 Jan. — Vol. 40, no. 1. — P. 42—6. — PMID 18210863.
- ↑ Takahashi Y., Kubota Y., Yamasaki E., et al. [Rasmussen encephalitis and non-herpetic acute limbic encephalitis] (англ.) // Rinsho Shinkeigaku. : journal. — 2008 Mar. — Vol. 48, no. 3. — P. 163—172. — PMID 18409535.
- ↑ Osorio I., Shnyra A., Santacruz K., et al. Rasmussen's encephalitis: interleukin-10-dependent Tc2 cell polarization may explain its pathophysiology and clinical course (англ.) // Epilepsy & Behavior : journal. — 2007 Feb. — Vol. 10, no. 1. — P. 206—211. — PMID 17070736.
- ↑ Bauer J., Elger C.E., Hans V.H., et al. Astrocytes are a specific immunological target in Rasmussen's encephalitis (англ.) // Ann Neurol. : journal. — 2007 Jul. — Vol. 62, no. 1. — P. 67—80. — PMID 17503512.
- ↑ Wirenfeldt M., Clare R., Tung S., et al. Increased activation of Iba1+ microglia in pediatric epilepsy patients with Rasmussen's encephalitis compared with cortical dysplasia and tuberous sclerosis complex (англ.) // Neurobiology of Disease : journal. — 2009 Jun. — Vol. 34, no. 3. — P. 432—440. — PMID 19285133.
- ↑ Chiang K.L., Wong T.T., Kwan S.Y., et al. Finding on brain MRI mimicking focal cortical dysplasia in early Rasmussen's encephalitis: a case report and review (англ.) // Childs Nerv Syst : journal. — 2009 Jun 11 [Epub ahead of print]. — PMID 19517119.
- ↑ Ramesha K.N., Rajesh B., Ashalatha R., et al. Rasmussen's encephalitis: Experience from a developing country based on a group of medically and surgically treated patients (англ.) // Seizure : journal. — 2009 Jun 20 [Epub ahead of print]. — PMID 19546013.
- ↑ Gambardella A., Andermann F., Shorvon S.,, et al. Limited chronic focal encephalitis: another variant of Rasmussen syndrome? (англ.) // Neurology. : journal. — 2008 Jan 29. — Vol. 70, no. 5. — P. 374—377. — PMID 18227418.
- ↑ Jaillon-Riviere V., Dupont S., Bertran F., et al. [Late onset Rasmussen's syndrome: clinical and therapeutic characteristics] (англ.) // Rev Neurol (Paris). : journal. — 2007 May. — Vol. 163, no. 5. — P. 573—580. — PMID 17571025.
- ↑ de Leva M.F., Varrone A., Filla A., et al. Neuroimaging follow-up in a case of Rasmussen's encephalitis with dyskinesias (англ.) // Mov Disord. : journal. — 2007 Oct. — Vol. 22, no. 14. — P. 2117—2121. — PMID 17853478.
- ↑ Fattouch J., Di Bonaventura C., Di Gennaro G., et al. Electrical status epilepticus "invisible" to surface EEG in late-onset Rasmussen encephalitis (англ.) // Epileptic Disorders. — 2008 Sep. — Vol. 10, no. 3. — P. 219—222. — PMID 18782691.
- ↑ Villani F., Pincherle A., Antozzi C., et al. Adult-onset Rasmussen's encephalitis: anatomical-electrographic-clinical features of 7 Italian cases (англ.) // Epilepsia. : journal. — 2006. — Vol. 47, no. Suppl 5. — P. 41—6. — PMID 17239105.
- ↑ Tziperman B., Garty B.Z., Schoenfeld N., et al. Acute intermittent porphyria, Rasmussen encephalitis, or both? (англ.) // J Child Neurol. : journal. — 2007 Jan. — Vol. 22, no. 1. — P. 99—105. — PMID 17608316.
- ↑ Ramaswamy V., Sinclair D.B., Wheatley B.M., et al. Epilepsia partialis continua: acute disseminated encephalomyelitis or Rasmussen's encephalitis? (англ.) // Pediatr Neurol. : journal. — 2005 May. — Vol. 32, no. 3. — P. 341—345. — PMID 15866435.
- ↑ Hart Y.M., Cortez M., Andermann F., Hwang P., et al. Medical treatment of Rasmussen's syndrome (chronic encephalitis and epilepsy): effect of high-dose steroids or immunoglobulins in 19 patients (англ.) // Neurology. : journal. — 1994 Jun. — Vol. 44, no. 6. — P. 1030—1036. — PMID 8208394.
- 1 2 3 Derry C., Dale R.C., Thom M., et al. Unihemispheric cerebral vasculitis mimicking Rasmussen's encephalitis (англ.) // Neurology. : journal. — 2002 Jan. — Vol. 58, no. 2. — P. 327—328. — PMID 11805272.
- ↑ Sankhyan N., Sharma S., Kamate M., et al. Teaching NeuroImage: hemiconvulsion-hemiplegia-epilepsy syndrome: sequential MRI follow-up (англ.) // Neurology. : journal. — 2008 Sep 9. — Vol. 71, no. 11. — P. e28. — doi:10.1212/01.wnl.0000325475.04616.e3. — PMID 18779505.
- ↑ Holland K.D., Buchhalter J. Hemiconvulsion-hemiplegia-epilepsy syndrome: another case for epilepsy surgery (англ.) // Neurology. : journal. — 2008 May 27. — Vol. 70, no. 22 Pt 2. — P. 2097—2098. — doi:10.1212/01.wnl.0000313159.55530.e8. — PMID 18505991.
- ↑ Salih M.A., Kabiraj M., Al-Jarallah A.S., et al. Hemiconvulsion-hemiplegia-epilepsy syndrome. A clinical, electroencephalographic and neuroradiological study (англ.) // Childs Nerv Syst. : journal. — 1997 May. — Vol. 13, no. 5. — P. 257—263. — PMID 9224914.
- ↑ Rotenberg A., Depositario-Cabacar D., Bae E.H., et al. Transient suppression of seizures by repetitive transcranial magnetic stimulation in a case of Rasmussen's encephalitis (англ.) // Epilepsy & Behavior : journal. — 2008 Jul. — Vol. 13, no. 1. — P. 260—262. — PMID 18304879.
- ↑ Andermann F., Farrell K. Early onset Rasmussen's syndrome: a malignant, often bilateral form of the disorder (англ.) // Epilepsy Res. : journal. — 2006 Aug. — Vol. 70, no. Suppl 1. — P. S259—62. — PMID 16822651.
- ↑ Kumar R., Wani A.A., Reddy J., Pal L., et al. Development of anaplastic ependymoma in Rasmussen's encephalitis: review of the literature and case report (англ.) // Childs Nerv Syst. : journal. — 2006 Apr. — Vol. 22, no. 4. — P. 416—419. — PMID 15928965.
- ↑ Rasmussen T., Olszewski J., Lloyd-Smith D. Focal seizures due to chronic localized encephalitis (англ.) // Neurology : journal. — Wolters Kluwer, 1958. — Vol. 8, no. 6. — P. 435—445. — PMID 13566382.
Ссылки
- Теодор Браун Расмуссен (статья на англ. яз.)
- Европейский консенсус по патогенезу, диагностике и лечению энцефалита Расмуссена, 2005 (статья на англ. яз.)
