Рабдовирусы

Рабдовирусы
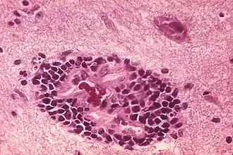
Фотография гистологических изменений, вызванных бешенством
Фотография гистологических изменений, вызванных бешенством
Научная классификация
Группа:
Реалм:
Царство:
Подтип:
Haploviricotina
Класс:
Monjiviricetes
Порядок:
Семейство:
Рабдовирусы
Международное научное название
Rhabdoviridae
Группа по Балтимору
V: (-)оцРНК-вирусы
Логотип Викивидов
Систематика
в Викивидах
Логотип Викисклада
Изображения
на Викискладе
NCBI  11270
EOL  8054

Рабдови́русы[2] (лат. Rhabdoviridae) — семейство вирусов, содержащих одноцепочечную линейную (-)РНК. Вызывают инфекционные заболевания у позвоночных, беспозвоночных и растений. Вирусы, поражающие животных, пулевидны, а растения — бацилловидны. Длина вирусных частиц от 130 до 380 нм.

Классификация

По данным Международного комитета по таксономии вирусов (ICTV), на март 2019 года в семейство включают 30 родов[3]:

  • Almendravirus — 6 видов
  • Alphanemrhavirus — 2
  • Alphanucleorhabdovirus — 9
  • Arurhavirus  — 4
  • Barhavirus — 2
  • Betanucleorhabdovirus — 6
  • Caligrhavirus — 3
  • Curiovirus — 4
  • Cytorhabdovirus — 23
  • Dichorhavirus — 5
  • Ephemerovirus — 8
  • Gammanucleorhabdovirus — 1
  • Hapavirus — 16
  • Ledantevirus — 16
  • Lostrhavirus — 1
  • Lyssavirus — 17
  • Mousrhavirus — 1
  • Novirhabdovirus — 4
  • Ohlsrhavirus — 5
  • Perhabdovirus — 3
  • Sawgrhavirus — 4
  • Sigmavirus — 7
  • Sprivivirus — 2
  • Sripuvirus — 8
  • Sunrhavirus — 6
  • Tibrovirus — 7
  • Tupavirus — 3
  • Varicosavirus — 1
  • Vesiculovirus — 16
  • Zarhavirus — 1

Предыдущий состав семейства по состоянию на 2017 год:

  • Almendravirus (5 видов)
  • Curiovirus (4 вида)
  • Cytorhabdovirus (11 видов, вирусы растений[4])
  • Dichorhavirus (2 вида)
  • Ephemerovirus Эфемеровирусы[5] (8 видов, вирусы позвоночных[4])
    • Bovine fever ephemerovirus [syn. Bovine ephemeral fever virus] вирус эфемерной лихорадки крупного рогатого скота[5]
  • Hapavirus (15 видов)
  • Ledantevirus (14 видов)
  • Lyssavirus Лиссавирусы[5] (14 видов, вирусы позвоночных[4])
  • Novirhabdovirus Новирабдовирусы[5] (4 вида, вирусы рыб[4])
  • Nucleorhabdovirus (10 видов, вирусы растений[4])
  • Perhabdovirus (3 вида)
  • Sigmavirus (7 видов)
  • Sprivivirus (2 вида)
  • Sripuvirus (5 видов)
  • Tibrovirus (2 вида)
  • Tupavirus (2 вида)
  • Varicosavirus (1 вид)
  • Vesiculovirus Везикуловирусы[5] (9 видов, вирусы позвоночных, в том числе вызывающие везикулярный стоматит[4])
  • 1 вид, для которого род не определён
    • Moussa virus

В 2016 году всем видам семейства, включённым в роды, изменили научное название для устранения возможной путаницы между названиями рода и вида[6].

Рабдовирусные инфекции

Примечания

  1. Таксономия вирусов (англ.) на сайте Международного комитета по таксономии вирусов (ICTV).
  2. Атлас по медицинской микробиологии, вирусологии и иммунологии : Учебное пособие для студентов медицинских вузов / Под ред. А. А. Воробьева, А. С. Быкова. М. : Медицинское информационное агентство, 2003. — С. 127. — ISBN 5-89481-136-8.
  3. Таксономия вирусов (англ.) на сайте Международного комитета по таксономии вирусов (ICTV). (Дата обращения: 2 июля 2016).
  4. 1 2 3 4 5 6 Метлин А. Е. Меры борьбы с бешенством животных : [арх. 16 февраля 2009] // Ветеринария Кубани : журнал. — 2008.   1.
  5. 1 2 3 4 5 Сергеев В. А., Непоклонов Е. А., Алипер Т. И. Вирусы и вирусные вакцины. М. : Библионика, 2007. — С. 398—399. — ISBN 5-98685-012-2.
  6. Implementation of taxon-wide non-Latinized binomial species names in the family Rhabdoviridae : [англ.] : [арх. 12 августа 2016] // ICTVonline. — Code assigned: 2015.006aM. — 2015. — 9 p.