Motivation and emotion/Book/2015/Schadenfreude
Why do we feel pleasure in the suffering of others?
Overview
Schadenfreude is a complex emotion that we feel when others suffer a misfortune. However, instead of feelings of sympathy, schadenfreude evokes feelings of joy and pleasure. Schadenfreude has been considered immoral and malicious, and is closely linked to envy, one of the seven biblical sins (Takahashi, et al., 2009). For these reasons, many have argued that schadenfreude is harmful to social relations (Heider, 1958). Other research has attempted to combat that idea, as they argue that schadenfreude is a healthy emotion, despite the fact that it is not always appropriate or polite to share it with others (Spurgin, 2015).
Understanding what schadenfreude is, where it comes form in terms of psychological theories, and why we encounter feelings of schadenfreude, will help to understand and improve on our emotional lives.
Schadenfreude
What is schadenfreude?
Schadenfreude is a German word which translates to the pleasure which is derived from the misfortune of others (Leach, Spears, Branscombe, & Doosje, 2003). Heider (1958) discussed how schadenfreude is a malicious emotion as it is an incongruous reaction to anothers' misfortune. Heider (1958) is saying that instead of being sympathetic when another person is suffering, which could be considered the socially acceptable response, feelings of pleasure are seen as taboo and immoral (Leach, 2003). This feeling is typically seen as shameful or as a moral failing (Spurgin, 2015). Many people hide their feelings of schadenfreude, and many may not even realise that they are feeling pleasure at others misfortune. This can stem from things such as gloating or joy at your basketball team winning a game. Both have emotions of schadenfreude behind them.
Schadenfreude has its roots in Social Comparison Theory. This theory, largely influenced by Festinger (1954), states that we evaluate our abilities and opinions by comparing our views with others, and that we want people in similar groups to like us, so will change our wants and beliefs to match theirs (Myers, 2014). Myers (2014) also describes social comparison as evaluating our abilities and opinions by comparing ourselves to others. As schadenfreude is a social comparison, where you are comparing yourself against the misfortune of someone else, you are forming an opinion or judging your own abilities on the others misfortune.
Schadenfreude is a complex cognitive emotion that has many different reasons as to why we feel it (Reeve, 2015). Schadenfreude can be derived from feelings of envy, instability in ones' self-worth, personal gain, when it is believed that the misfortune is deserved, along with biological factors.
External Activities
Video
To see an example of Pleasure derived from others misfortune follow this link to YouTube
14 awesome viral video fails in 30 seconds
Poll
After watching this video please complete this short poll to see how others feel when it comes to Schadenfreude
Why do some people find videos like this funny? They could be experiencing feelings of schadenfreude, as they are getting pleasure from the suffering of others. But why do we feel this way?
Why do we feel pleasure in the suffering of others?
The role of self-evaluation
When a person’s positive self-evaluation is threatened or harmed, they may have a strong motivation to protect or restore their self-evaluation (Van Dijk, 2013). One possible course of action to achieving this positive self-view can involve comparing one’s own situation to that of another person (Van Dijk, 2013). As a result, comparing another person’s misfortune may provide a sense of self worth or value to ones own life. This means that people can use social comparisons and enjoy the misfortune of others as it provides a more positive self-evaluation.
Research conducted by van Dijk, Ouwerkerk, Wesseling, & van Koninbruggen (2011) supports the idea that schadenfreude can be intensified by a threat to our self evaluation. They hypothesise that another reason for people to feel schadenfreude is because it satisfies their need to view themselves positively (van Dijk, 2011). This is argued in Social Comparison Theory which suggests that events and experiences that satisfy our concerns elicit positive emotions, whereas threat or harm will produce negative emotions (van Dijk, 2011). A way that people can make themselves feel better, according to Social Comparison Theory, is to compare themselves to those who are less fortunate, also called 'downward social comparison' (van Dijk, 2011). Therefore, it is possible to argue that those who are suffering from self evaluation threat (and experiencing negative emotions), will use downward social comparison to help elicit positive emotions (Wills, 1981). The aim of Van Dijk's and his colleagues' (2011) research was to demonstrate that self-evaluation threat intensified schadenfreude in both threat-related and threat-unrelated domains. They were able to find that a threat to self-evaluation caused higher feelings of schadenfreude, and this was also possible to provoke in a threat-unrelated domain. This shows that self-evaluation can play a role towards feelings of schadenfreude.

Envy
Envy had contradicting results when it came to schadenfreude. Many argued that there was a link between schadenfreude and envy, while others argued against this. van Dijk et al. (2006) investigated these contradictory results, and found that there is a link between schadenfreude and envy, but only when the misfortune fell upon someone who had some basis of similarity (e.g., gender). There results found that if participants learnt about a misfortune of the opposite gender, schadenfreude would not be experienced (van Dijk, et al., 2006). However, when the same gender was identified as suffering misfortune, schadenfreude was identified.
Smith, Powell, Combs, and Schurtz (2009) also show the correlation between envy and schadenfreude. They claim that envy is the polar opposite of a downward social comparison (Heider, 1958), however, when a misfortune occurs to someone who is envied, it transformed the comparison to a downwards one (Smith, et al., 2009). Conflicting reports on whether schadenfreude and envy are linked have been found, yet Smith et al., (2009), were able to replicate results where students who were enviable of another student felt greater schadenfreude when the person they envied suffered a misfortune, compared with those who were not in the envy group in the experiment. This provides empirical evidence that envy can lead to increased feelings of schadenfreude (Smith, et al., 2009). Smith et al., (2009) continue to remark that superiority to others does not always lead to envy, but when it does, this greatly increases the likelihood of schadenfreude.
In-Group Inferiority
An in-group refers to when an individual will recognise themselves as part of a group when they identify with them on some sort of level. For example, when someone identifies with a sporting group e.g. a football team, they begin to become part of the in-group. Another example is when people associate themselves with their university, an in-group forms.
In-group inferiority refers to how people can feel pleasure at the misfortune of others in an in-group situation. For example, when a football team wins, that group will feel a sense of joy at the misfortune of the other team. Smith et al. (2009) suggests that when people identify with a group, the group becomes part of the individual, and the individual becomes part of the group.
Leach et al. (2003) argue that schadenfreude is only evident when a third party or situation is the one that causes the misfortune, meaning that schadenfreude cannot occur if the pleasure is experienced when you are the cause of another persons misfortune. They suggest that schadenfreude should increase when an outer-group suffer misfortune in an area of high interest to the in-group members. They also delve into the idea that in-group inferiority will increase feelings of schadenfreude (Leach, et al., 2003; Leach and Spears, 2009). Leach et al. (2003) were successful in showing that when an individual felt more passionately about what formed the group (e.g. football) higher levels of schadenfreude were evoked when a third party suffered misfortune (e.g. lost a football match), and those who were less passionate, yet still were associated with the in-group had lesser feelings of schadenfreude. They were also able to demonstrate that schadenfreude was increased when feelings of in-group inferiority were experienced, however, this only affected those with lower interests (Leach, et al., 2003). Leach et al. (2003) also express that the threat to in-group inferiority and the increase in schadenfreude to those with higher interests was not seen, as those who had higher interests were already experiencing higher levels of schadenfreude.
Personal Gain (Competition)
Smith, et al. (2009) argue that the emotion of schadenfreude can be a result of a personal gain. They liken this to competition, where when you, or your team wins, you feel pleasure and this is ultimately in the suffering of the other team (Smith, et al., 2009). This idea of competition is seen in other aspects of life, and more often in day to day situations. It is arguably under-appreciated as to how often schadenfreude appears in a competitive everyday situation (Smith, et al., 2009). For example, if you are up for a new job, there is most likely going to be more than one person up for the position, and if you are successful in the process, you will most likely feel joy. This feeling of schadenfreude is one that is less ugly compared to other feelings derived from other places such as envy. A competitive nature is somewhat highly regarded (as seen with our tendency to highlight sports, and sports people), and seen to be quite natural (Smith, et al., 2009).
Smith et al., (2009) discuss how this idea of personal gain is also evident in politics. Combs, Powell, Schurtz, and Smith (2009), conducted an experiment in the United States where they assessed whether schadenfreude was felt with political associations. They tested this by primarily assessing students political identification, then by asking them to read an article which made out something embarrassing (or unfortunate) about the party leaders for both their party and the opposing party (Combs, et al., 2009). They found that schadenfreude was present when participants were shown articles about the opposing parties, and that the level of schadenfreude found depended on how affiliated one was with their political party (Combs, et al., 2009).
This also ties in with the idea of in-group identification, as these examples of schadenfreude are mostly group based successes or failures. They still hold the idea that when your group wins, you feel pleasure - at the misfortune of others.
These findings emphasize the fact that schadenfreude is much more common than we would like to admit, is found in everyday life, and it is often regarded as natural and praised (Smith, et al., 2009).
Deserved Misfortune
Another justification for schadenfreude is the sense of deserved misfortune. When we feel that the misfortune that one has suffered is deserved, a feeling of pleasure is derived. It is argued that the feeling of deserved misfortune, which creates the feeling of schadenfreude, is a form of karmic retribution and gives us a sense of equilibrium (Lerner, & Miller, 1978).
van Dijk, Ouwerkerk, Goslinga, & Nieweg (2005) showed the first empirical evidence on deserved misfortune and its link to schadenfreude. They showed evidence of schadenfreude increasing when it was perceived that the misfortune was more deserved (van Dijk, et al., 2005). They used a manipulation of responsibility to obtain differences in deserved misfortune, which led to the evidence that schadenfreude and a feeling of deserved misfortune are linked (van Dijk et al., 2005).
Smith et al., (2009) discuss how this is also linked with hypocrisy. They explain that when we feel someone has been a hypocrite, we feel pleasure in the form of schadenfreude, at their misfortune. This is because we believe that the misfortune they are suffering is deserved. Smith, et al., (2009) yielded results in an experiment to examine the links between schadenfreude, deserved misfortune, and hypocrisy. They asked participants to read an article that presented an interview with a fellow student, where the student was either part of a campus organization about increasing academic integrity (high hypocrisy) or a student who was part of a French club (low hypocrisy) (Smith,et al., 2009). Participants were then shown a second article which said that the fellow student (in either case) was caught for plagiarism (Smith, et al., 2009). The results showed that those who were in the high hypocrisy group showed higher feelings of schadenfreude and that the student deserved the misfortune in comparison to those who were in the low hypocrisy group (Smith, et al. 2009). Smith, et al. (2009) also found similar outcomes when they changed the first article to be the same for all participants, and the manipulation came in the second article, where the other student was either caught in an immoral action that either matched the initial action that they were fighting against, or something completely unrelated. The results showed that when the immoral action matched that of the initial action higher levels of deserved misfortune and schadenfreude were felt. Unfortunately, this exact study was never published on its own, which questions whether there were problems with integrity in the research.
Pietraszkiewicz (2013) discusses how schadenfreude and deserved misfortune are correlated to a just world belief. It was found that a threat to ones just world belief increased ones pleasure at anothers' misfortune. Pietraszkiewicz (2013) argues that when failure is deserved, the greater the responsibility of the failure is, therefore, more schadenfreude is felt.
Biological components
The role of Oxytocin
Research that was conducted by Shamay-Tsoory, et al. (2009) investigated the role of oxytocin in envy and gloating, which are both related to schadenfreude. Shamay-Tsoory, et al. (2009) discuss how oxytocin (a peptide hormone) has been shown to have implications in the social behaviour of humans and mammals. Many of the research into oxytocin looks at maternal behaviours such as contraction regulation in labour, as well as parental behaviours like trusting collaborators. They suggest that previous research has shown that oxytocin release is related to pro-social behaviours (Sharmay-Tsoory, et al., 2009). Seeing as pro-social behaviours are increased by oxytocin, your negative social behaviours, like envy and gloating, would logically be reduced. However, there has been an indication that this is not the case (Sharmay-Tsoory, et al., 2009). Sharmay-Tsoory et al. (2009) conducted an experiment which looked at the increase of oxytocin levels and its effect on these negatively perceived behaviours, such as schadenfreude. They concluded that gloating and envy, or schadenfreude, showed significantly higher rates of these emotions when oxytocin was given (Sharmay-Tsoory, et al., 2009). This research has provided evidence that oxytocin increases varying behaviours which are related to social behaviour, which in many roles are associated with parenting.
Neural Correlates


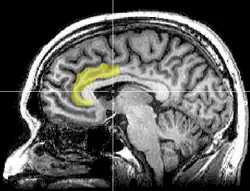
Envy and schadenfreude are related emotions. Takahashi, et al. (2009) looked at the areas of the brain that were active when feelings of envy and schadenfreude were evoked. Using functional magnetic resonance imaging (fMRI) researchers looked for activity in the dorsal anterior cingulate cortex (dACC) (seen in image 2.) when envy was felt, as the anterior cingulate cortex is the area that is activated when our positive self-concept is being conflicted with external information, social pain, or cognitive conflicts (Takahashi, et al., 2009). When investigating the emotion of schadenfreude they were looking for activation in the ventral striatum, which is the central node of the rewards processing area (Takahashi, et al., 2009). The reward would be the joy that is derived in schadenfreude. Takahashi, et al. (2009) found that both areas which were targeted in their respective trials activated when the respective emotion was emitted. They found that when people had higher levels of schadenfreude, greater activation was seen in the ventral striatum. This was also found to be the case when investigating envy. Greater levels of envy showed higher activation in the dACC (Takahashi, et al., 2009).
Quiz
Conclusion
Schadenfreude is a complex emotion which can have many levels (van Dijk, 2011). It has many underlying concepts which relate to Social Comparison Theory, especially when evaluating the role of self-evaluation and schadenfreude.
It is more commonly seen as a morally disturbed emotion, especially when feelings of envy, self-evaluation, and in-group inferiority are causes. However, it is seen quite commonly in everyday life, especially when it comes to situations or individuals with a competitive nature.
There are many layers that underlie why schadenfreude occurs. Emotions such as envy, feelings of deservingness, personal gain, in-group inferiority and self-evaluation can all play a role in schadenfreude and why we feel this emotion, and there can be more than one reason as to why we experience schadenfreude. Other biological reasons, such as the role of oxytocin, and activity in the ventral striatum also play a role in feelings of schadenfreude.
Schadenfreude is difficult to elicit in a clinical setting in an ethical way, which may be why conflicting results have been obtained for much of the research. Limitations in assessing schadenfreude may include social biases, as schadenfreude is an emotion that is generally considered immoral. This can lead to participants under-reporting their feelings of schadenfreude when being asked about it. A possible solution to this would be to conduct the schadenfreude eliciting part of the experiment under fMRI, as activity in the ventral striatum has been linked to schadenfreude, and it may be another way to see if someone is experiencing schadenfreude, without self-reporting. This may become more costly and less time effective, which would be a reason to stay clear of this research technique, however, it does become an option.
Due to the many aspects and layers of schadenfreude, van Dijk et al., (2011) suggest that future research into which determinants effect schadenfreude under what circumstances will aid in further understanding why we feel pleasure in others misfortune. There may possibly be other reasons as to why we feel schadenfreude, greater research into the biological aspects of schadenfreude may also enhance our understanding of this emotion.
Through investigating schadenfreude and the reasons why we might feel this emotion can aid to enrich our understanding and improve on out emotional lives, as when an experience of schadenfreude is likely to occur or is experienced, taking a step back and evaluating why we are feeling this emotion may lead to a greater emotional understanding and awareness.
See also
Deservingness and Emotion - Motivation and Emotion 2013
Envy - Motivation and Emotion 2011
Schadenfreude - Wikipedia
References
Festinger, L. (1954). A theory of social comparison processes. Human relations, 7(2), 117-140.
Heider, F. (1958). The Psychology of Interpersonal Relations. New York: Wiley
Leach, C. W., & Spears, R. (2009). Dejection at in-group defeat and schadenfreude toward second- and third- party out-groups. Emotion, 9(5), 659-665. doi: 10.1037/a0016815
Leach, C. W., Spears, R., Branscombe, N. R., & Doosje, B. (2003). Malicious pleasure: schadenfreude at the suffering of another group. Journal of Personality and Social Psychology, 84(5), 932-943. doi: 10.1037/0022-3514.84.5.932
Lerner, M. J., & Miller, D. T. (1978). Just world research and the attribution processes: looking back and ahead. Psychological Bulletin, 85(8), 1030-1051. doi: 10.1037/0033-2909.85.5.1030
Louis, W. (2014). Group Influence. In Myer, D. G. (Eds.), Social Psychology (287). North Ride, N.S.W.: McGraw-Hill
Pietraszkiewicz. A. (2013). Schdenfeude and just world belief. Australian Journal of Psychology, 65, 188-194. doi: 10.1111/ajpy.12020
Reeve, J. (2015). Understanding motivation and emotion (6th ed.). Hoboken, NJ: Wiley.
Shamay-Tsoory, S. G,. Fischer, M., Dvash, J., Harari, H., Perach-Bloom, N., & Levkovitz, Y. (2009). Intranasal administration of oxytocin increases envy and schadenfreude (gloating). Biological Psychiatry, 66(8), 864-870. doi: 10.1016/j.biopsych.2009.06.009
Smith, R. H., Powell, C. A. J., Combs, D. J. Y., & Schurtz. D. R. (2009). Exploring the when and why of schadenfreude. Social and Personality Psychology Compass, 3(4), 530-546. doi: 10.1111/j.1751-9004.2009.00181.x
Spurgin, E. (2015). An emotional-freedom defense of schadenfreude. Ethical Theory and Modern Practice, 18, 767-784. doi: 10.1007/s10677-014-9550-8
Van Dijk, W. W. (2013). Why do we sometimes enjoy the misfortune of others? The Inquisitive Mind Retrieved from: http://www.in-mind.org/blog/post/why-do-we-sometimes-enjoy-the-misfortune-of-others
van Dijk, W. W., Goslinga, O. S., Nieweg, M., & Gallucci, M. (2006). When people fall from grace: reconsidering the role of envy in schadenfreude. Emotion, 6(1), 156-160. doi: 10.1037/1528-.3542.6.1.156
van Dijk, W. W., Ouwerkerk, J., Goslinga, S., & Nieweg, M. (2005). Deservingness and Schadenfreude. Cognition and Emotion, 19(6), 933-939. doi: 10.1080/02699930541000066
van Dijk, W. W., Ouwerkerk, J., Wesseling, Y. M., & van Koningsbruggen, G. M. (2011). Towards understanding pleasure at the misfortunes of others: the impact of self-evaluation threat on schadenfreude. Cognition and Emotion, 25(2), 360-368. doi: 10.1080/02699931.2010.487365
Wills, T. A. (1981). Downward comparison principles in social psychology. Psychological Bulletin, 90(2), 245-271.
External links
Schadenfreude Explained: Why We Secretly Smile When Others Fail
Schadenfreude Is in the Zeitgeist, but Is There an Opposite Term?