Болезнь диффузных телец Леви
| Деменция с тельцами Леви | |
|---|---|
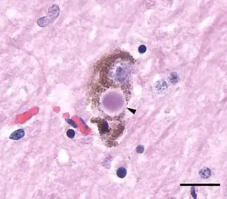
микрофотография тельца Леви (стрелка) в нейроне substantia nigra; шкала=20 микронов (0.02 мм) | |
| Синонимы | Болезнь диффузных телец Леви |
| Специальность | Неврология, психиатрия |
| Симптомы | Деменция, нарушения поведения в фазу сна с БДГ, колебания уровня бодрствования, зрительные галлюцинации, замедленность движений[1] |
| Обычное начало | В возрасте старше 50 лет,[2] средний возраст 76 лет[3] |
| Продолжительность | Длительная[4] |
| Причины | Неизвестны[4] |
| Метод диагностики | Основан на клинических симптомах и биомаркерах[1] |
| Дифференциальная диагностика | Болезнь Альцгеймера, деменция при болезни Паркинсона, определенные психические расстройства, сосудистая деменция[5] |
| Лекарство | Ингибиторы ацетилхолинэстеразы такие как донепезил и ривастигмин;[6] мелатонин[7] |
| Прогноз | Средняя продолжительность жизни 8 лет с момента установления диагноза[4] |
| Частота | Около 0.4% популяции старше, чем 65 лет[8] |
Деменция с тельцами Леви (ДТЛ) — тип деменции, сопровождающийся расстройствами сна, поведения, мышления, двигательных и автономных функций организма[9]. Потеря памяти не всегда является ранним симптомом[10]. Заболевание прогрессирует со временем и обычно диагностируется, когда снижение когнитивных функций препятствует нормальному ежедневному функционированию[2][11]. Функция сердца и все функции желудочно-кишечного тракта — от жевания до дефекации — могут быть нарушены; запор — один из наиболее распространенных симптомов[9][12]. Также может наблюдаться низкое кровяное давление в положении стоя[9]. Возможны нарушения поведения; обычны расстройства настроения, такие как депрессия и отсутствие интереса[11].
Точная причина заболевания неизвестна[4], однако с ней связаны обширные отложения аномальных скоплений белка в нейронах головного мозга больных[13]. У большинства пациентов нет анамнеза семейного заболевания, хотя такие случаи известны[4]. Так называемые тельца Леви (обнаруженные в 1912 году Фредериком Леви)[14] и невриты Леви — скопления белка — поражают как центральную нервную систему, так и вегетативную нервную систему[15]. Основной особенностью заболевания является расстройство поведения в фазе быстрого сна (РПБС), которое характеризуется потерей мышечного паралича, обычного для фазы быстрого сна, с появлением двигательной активности во время сна[11]. РПБС может появиться за годы или десятилетия до появления других симптомов[11]. Другими основными признаками являются зрительные галлюцинации, выраженные колебания уровней внимания, бодрствования и паркинсонизм (замедленность движений, трудности при ходьбе или ригидность)[11]. Предположительный диагноз может быть поставлен при наличии нескольких признаков заболевания или биомаркеров; диагностическое обследование может включать анализы крови, нейропсихологические тесты, методы визуализации и исследования сна[11]. Окончательный диагноз обычно устанавливается при аутопсии[2][11]. Вместе с деменцией при болезни Паркинсона ДТЛ является одним из двух видов деменций с тельцами Леви[9].
Не существует метода лечения или лекарства, способного остановить прогрессирование болезни[16], и пациенты на поздних стадиях ДТЛ могут быть не в состоянии заботиться о себе[17]. Лечение направлено на облегчение некоторых симптомов и снижение нагрузки на лиц, осуществляющих уход[9][18]. Такие лекарства, как донепезил и ривастигмин, эффективны для улучшения когнитивных функций и общего функционирования, а мелатонин может быть использован при симптомах, связанных со сном[19]. Применения антипсихотиков обычно избегают даже при галлюцинациях в связи с тяжелыми и опасными для жизни реакциями, которые возникают почти у половины пациентов с ДТЛ[20], и могут привести к смерти[21]. Клиническое ведение множества различных симптомов является сложной задачей, поскольку оно включает в себя вовлечение врачей нескольких специальностей и обучение лиц, осуществляющих уход[9][11][22].
ДТЛ является распространенной формой деменции[2], однако количество больных не может быть установлено точно[23][24], так как во многих случаях диагноз упускается[25]. Обычно заболевание начинается после пятидесяти лет[2], а продолжительность жизни составляет около восьми лет после установления диагноза[4] Болезнь была впервые описана Кенджи Косакой в 1976 году[26].
Список литературы
- 1 2 McKeith IG et al. (2017), Table 1, p. 90 Архивировано 28 августа 2021 года.
- 1 2 3 4 5 Lewy body dementia: Hope through research. National Institute of Neurological Disorders and Stroke. US National Institutes of Health (10 января 2020). Дата обращения: 18 марта 2020. Архивировано 30 апреля 2021 года.
- ↑ Hershey LA, Coleman-Jackson R (2019), p. 309.
- 1 2 3 4 5 6 Dementia with Lewy bodies information page. National Institute of Neurological Disorders and Stroke (27 марта 2019). Дата обращения: 18 марта 2020. Архивировано 10 июня 2021 года.
- ↑ Gomperts SN (2016), p. 437.
- ↑ Taylor JP et al. (2020), sec. "Cognitive impairment".
- ↑ Taylor JP et al. (2020), sec. "Sleep disturbances" ("Nocturnal sleep disturbances" and "Excessive Daytime Sleepiness" combined on final publication).
- ↑ Levin J et al. (2016), p. 62.
- 1 2 3 4 5 6 New evidence on the management of Lewy body dementia. Lancet Neurol. 19 (2): 157–69. February 2020. doi:10.1016/S1474-4422(19)30153-X. PMID 31519472.
- ↑ Diagnosis and management of cognitive and behavioral changes in dementia with Lewy bodies. Curr Treat Options Neurol. 19 (11). October 2017. doi:10.1007/s11940-017-0478-x. PMID 28990131.
- 1 2 3 4 5 6 7 8 Diagnosis and management of dementia with Lewy bodies: Fourth consensus report of the DLB Consortium. Neurology. 89 (1): 88–100. July 2017. doi:10.1212/WNL.0000000000004058. PMID 28592453.
- ↑ Treatment of autonomic dysfunction in Parkinson disease and other synucleinopathies. Mov Disord. 33 (3): 372–90. March 2018. doi:10.1002/mds.27344. PMID 29508455.
- ↑ Lewy body dementias. Lancet. 386 (10004): 1683–97. October 2015. doi:10.1016/S0140-6736(15)00462-6. PMID 26595642.
- ↑ Tahami Monfared AA et al. (2019), p. 290.
- ↑ Diffuse Lewy body disease. J. Neurol. Sci. 399: 144–50. April 2019. doi:10.1016/j.jns.2019.02.021. PMID 30807982.
- ↑ Diagnostic Criteria for Dementia with Lewy Bodies: Updates and Future Directions. J Mov Disord. 13 (1): 1–10. January 2020. doi:10.14802/jmd.19052. PMID 31694357.
DLB diagnoses are often missed.
- ↑ What is Lewy body dementia? National Institute on Aging. US National Institutes of Health (27 июня 2018). Дата обращения: 18 марта 2020. Архивировано 6 октября 2016 года.
- ↑ REM sleep behavior disorder: Diagnosis, clinical implications, and future directions. Mayo Clin Proc. 92 (11): 1723–36. November 2017. doi:10.1016/j.mayocp.2017.09.007. PMID 29101940. Архивировано 20 июля 2021. Дата обращения: 21 июля 2020.
- ↑ McKeith IG et al. (2017), sec.
- ↑ Taylor JP et al. (2020), sec.
- ↑ Boot BP (2015), sec.
- ↑ Burden of disease and durrent management of dementia with Lewy bodies: a literature review. Neurol Ther. 8 (2): 289–305. December 2019. doi:10.1007/s40120-019-00154-7. PMID 31512165.
- ↑ Asada T, Chapter 2 in Kosaka K, ed. (2017), p. 11.
- ↑ Asada T, Chapter 2 in Kosaka K, ed. (2017), p. 12.
- ↑ Lewy Body Dementias. Continuum (Minneap Minn). 25 (1): 128–46. February 2019. doi:10.1212/CON.0000000000000685. PMID 30707190.
- ↑ Current concepts and controversies in the pathogenesis of Parkinson's disease dementia and dementia with Lewy bodies. F1000Res. 6. 2017. doi:10.12688/f1000research.11725.1. PMID 28928962.
{{cite journal}}: Википедия:Обслуживание CS1 (не помеченный открытым DOI) (ссылка)
Процитированные работы
- Armstrong MJ (February 2019). Lewy Body Dementias. Continuum (Minneap Minn) (Review). 25 (1): 128–46. doi:10.1212/CON.0000000000000685. PMID 30707190.
- Arnaldi D, Antelmi E, St Louis EK, Postuma RB, Arnulf I (December 2017). Idiopathic REM sleep behavior disorder and neurodegenerative risk: To tell or not to tell to the patient? How to minimize the risk?. Sleep Med Rev (Review). 36: 82–95. doi:10.1016/j.smrv.2016.11.002. PMID 28082168.
- Boot BP (2015). Comprehensive treatment of dementia with Lewy bodies. Alzheimers Res Ther (Review). 7 (1): 45. doi:10.1186/s13195-015-0128-z. PMC 4448151. PMID 26029267.
{{cite journal}}: Википедия:Обслуживание CS1 (не помеченный открытым DOI) (ссылка) - Boot BP, McDade EM, McGinnis SM, Boeve BF (December 2013). Treatment of dementia with Lewy bodies. Curr Treat Options Neurol (Review). 15 (6): 738–64. doi:10.1007/s11940-013-0261-6. PMC 3913181. PMID 24222315.
- Burghaus L, Eggers C, Timmermann L, Fink GR, Diederich NJ (February 2012). Hallucinations in neurodegenerative diseases. CNS Neurosci Ther (Review). 18 (2): 149–59. doi:10.1111/j.1755-5949.2011.00247.x. PMC 6493408. PMID 21592320.
- Connors MH, Quinto L, McKeith IG, et al. (November 2017). Non-pharmacological interventions for Lewy body dementia: a systematic review. Psychol Med (Review). 48 (11): 1749–58. doi:10.1017/S0033291717003257. PMC 6088773. PMID 29143692.
- Donaghy PC, O'Brien JT, Thomas AJ (January 2015). Prodromal dementia with Lewy bodies. Psychol Med (Review). 45 (2): 259–68. doi:10.1017/S0033291714000816. PMID 25066469. S2CID 21628548.
- Goedert M, Spillantini MG, Del Tredici K, Braak H (January 2013). 100 years of Lewy pathology. Nat Rev Neurol (Practice guideline). 9 (1): 13–24. doi:10.1038/nrneurol.2012.242. PMID 23183883.
- Goedert M, Jakes R, Spillantini MG (2017). The synucleinopathies: Twenty years on. J Parkinsons Dis (Review). 7 (s1): S53 – S71. doi:10.3233/JPD-179005. PMC 5345650. PMID 28282814.
- Gomperts SN (April 2016). Lewy body dementias: Dementia with Lewy bodies and Parkinson disease dementia. Continuum (Minneap Minn) (Review). 22 (2 Dementia): 435–63. doi:10.1212/CON.0000000000000309. PMC 5390937. PMID 27042903.
- Hansen D, Ling H, Lashley T, Holton JL, Warner TT (December 2019). Review: Clinical, neuropathological and genetic features of Lewy body dementias. Neuropathol. Appl. Neurobiol. (Review). 45 (7): 635–54. doi:10.1111/nan.12554. PMID 30977926.
- Hershey LA, Coleman-Jackson R (April 2019). Pharmacological management of dementia with Lewy dodies. Drugs Aging (Review). 36 (4): 309–19. doi:10.1007/s40266-018-00636-7. PMC 6435621. PMID 30680679.
- Karantzoulis S, Galvin JE (November 2011). Distinguishing Alzheimer's disease from other major forms of dementia. Expert Rev Neurother (Review). 11 (11): 1579–91. doi:10.1586/ern.11.155. PMC 3225285. PMID 22014137.
- Kosaka K, ed. (2017). Dementia with Lewy bodies: clinical and biological aspects (1st ed.). Japan: Springer. doi:10.1007/978-4-431-55948-1. ISBN 978-4-431-55948-1.
- Levin J, Kurz A, Arzberger T, Giese A, Höglinger GU (February 2016). The differential diagnosis and treatment of atypical parkinsonism. Dtsch Arztebl Int (Review). 113 (5): 61–69. doi:10.3238/arztebl.2016.0061. PMC 4782269. PMID 26900156.
- McKeith IG, Boeve BF, Dickson DW, et al. (July 2017). Diagnosis and management of dementia with Lewy bodies: Fourth consensus report of the DLB Consortium. Neurology (Review). 89 (1): 88–100. doi:10.1212/WNL.0000000000004058. PMC 5496518. PMID 28592453.
- Mueller C, Ballard C, Corbett A, Aarsland D (May 2017). The prognosis of dementia with Lewy bodies (PDF). Lancet Neurol (Review). 16 (5): 390–98. doi:10.1016/S1474-4422(17)30074-1. PMID 28342649. Архивировано (PDF) 6 июня 2020. Дата обращения: 21 июля 2020.
- Palma JA, Kaufmann H (March 2018). Treatment of autonomic dysfunction in Parkinson disease and other synucleinopathies. Mov Disord (Review). 33 (3): 372–90. doi:10.1002/mds.27344. PMC 5844369. PMID 29508455.
- Pezzoli S, Cagnin A, Bandmann O, Venneri A (July 2017). Structural and functional neuroimaging of visual hallucinations in Lewy body disease: A systematic literature review. Brain Sci (Review). 7 (12): 84. doi:10.3390/brainsci7070084. PMC 5532597. PMID 28714891.
{{cite journal}}: Википедия:Обслуживание CS1 (не помеченный открытым DOI) (ссылка) - Siderowf A, Aarsland D, Mollenhauer B, Goldman JG, Ravina B (April 2018). Biomarkers for cognitive impairment in Lewy body disorders: Status and relevance for clinical trials. Mov Disord (Review). 33 (4): 528–36. doi:10.1002/mds.27355. PMID 29624752.
- St Louis EK, Boeve AR, Boeve BF (May 2017). REM sleep behavior disorder in Parkinson's disease and other synucleinopathies. Mov Disord (Review). 32 (5): 645–58. doi:10.1002/mds.27018. PMID 28513079.
- St Louis EK, Boeve BF (November 2017). REM sleep behavior disorder: Diagnosis, clinical implications, and future directions. Mayo Clin Proc (Review). 92 (11): 1723–36. doi:10.1016/j.mayocp.2017.09.007. PMC 6095693. PMID 29101940. Архивировано 20 июля 2021. Дата обращения: 21 июля 2020.
- Tahami Monfared AA, Meier G, Perry R, Joe D (December 2019). Burden of disease and durrent management of dementia with Lewy bodies: a literature review. Neurol Ther (Review). 8 (2): 289–305. doi:10.1007/s40120-019-00154-7. PMC 6858913. PMID 31512165.
- Taylor JP, McKeith IG, Burn DJ, et al. (February 2020). New evidence on the management of Lewy body dementia. Lancet Neurol (Review). 19 (2): 157–69. doi:10.1016/S1474-4422(19)30153-X. PMC 7017451. PMID 31519472. Courtesty link available here. Архивировано 3 июля 2020 года.
- Tousi B (October 2017). Diagnosis and management of cognitive and behavioral changes in dementia with Lewy bodies. Curr Treat Options Neurol (Review). 19 (11): 42. doi:10.1007/s11940-017-0478-x. PMID 28990131.
- Vann Jones SA, O'Brien JT (March 2014). The prevalence and incidence of dementia with Lewy bodies: a systematic review of population and clinical studies. Psychol Med (Review). 44 (4): 673–83. doi:10.1017/S0033291713000494. PMID 23521899.
- Walker Z, Possin KL, Boeve BF, Aarsland D (October 2015). Lewy body dementias. Lancet (Review). 386 (10004): 1683–97. doi:10.1016/S0140-6736(15)00462-6. PMC 5792067. PMID 26595642.
- Weil RS, Lashley TL, Bras J, Schrag AE, Schott JM (2017). Current concepts and controversies in the pathogenesis of Parkinson's disease dementia and dementia with Lewy bodies. F1000Res (Review). 6: 1604. doi:10.12688/f1000research.11725.1. PMC 5580419. PMID 28928962.
{{cite journal}}: Википедия:Обслуживание CS1 (не помеченный открытым DOI) (ссылка)
