Желудочно-кишечный тракт человека

Пищевари́тельный, или желу́дочно-кише́чный тракт (ЖКТ) — система органов у человека, предназначенная для переработки и извлечения из пищи питательных веществ, всасывания их в кровь и лимфу и выделения из организма непереваренных остатков. Является частью пищеварительной системы человека[1].
Основные отделы
В среднем длина пищеварительного канала взрослого мужчины составляет 5 метров ; в нём выделяются следующие отделы:
- Рот, или ротовая полость с зубами, языком и слюнными железами.
- Глотка.
- Пищевод.
- Желудок.
- Тонкая кишка, включая подотделы:
- Толстая кишка, включая подотделы:
- слепая кишка с червеобразным отростком,
- ободочная кишка со своими подотделами:
- прямая кишка с широкой частью — ампулой прямой кишки, и дистальной, нижней частью — заднепроходным каналом с анальным отверстием.
Ротовая полость
Рот — телесное отверстие у животных и человека, через которое принимается пища и осуществляется дыхание. В ротовой полости расположены зубы и язык. Внешне рот может иметь различную форму. У человека он обрамлён губами. В ротовой полости происходит механическое измельчение и обработка пищи ферментами слюнных желёз.
Глотка
Гло́тка (лат. pharynx) — часть пищеварительной трубки и дыхательных путей, которая является соединительным звеном между полостью носа и рта, с одной стороны, и пищеводом и гортанью — с другой. Представляет собой воронкообразный канал длиной 11—12 см, обращённый кверху широким концом и сплющенный в переднезаднем направлении. Верхняя стенка сращена с основанием черепа. Сзади глотка прикрепляется к затылочной кости, по бокам — к пирамидам височных костей. На уровне VI шейного позвонка глотка, суживаясь, переходит в пищевод.
Пищевод
Пищево́д (лат. œsóphagus) — часть пищеварительного канала. Представляет собой сплющенную в переднезаднем направлении полую мышечную трубку, по которой пища из глотки поступает в желудок. Пищевод взрослого человека имеет длину 25—30 см. Является продолжением глотки, начинается в области шеи на уровне 6—7 шейного позвонка, затем проходит через грудную полость в средостении и заканчивается в брюшной полости на уровне X—XI грудных позвонков, впадая в желудок[2].
Желудок
Желу́док (лат. gaster) — полый мышечный орган, расположенный в левом подреберье и эпигастрии. Кардиальное отверстие находится на уровне XI грудного позвонка. Отверстие привратника расположено на уровне I поясничного позвонка, у правого края позвоночного столба. Желудок является резервуаром для проглоченной пищи, а также осуществляет химическое переваривание этой пищи. Объём пустого желудка составляет около 500 мл. После принятия пищи он обычно растягивается до одного литра, но может увеличиться и до четырёх. Кроме того, осуществляет секрецию биологически активных веществ и выполняет функцию всасывания.
Тонкая кишка
То́нкая кишка́ челове́ка (лат. intestinum tenue) — отдел пищеварительного тракта человека, расположенный между желудком и толстой кишкой. В тонкой кишке в основном и происходит процесс пищеварения.
Двенадцатипе́рстная кишка́ (лат. duodénum) — начальный отдел тонкой кишки у человека, следующий сразу после привратника желудка. Характерное название связано с тем, что её длина составляет примерно двенадцать поперечников пальца руки. Двенадцатиперстная кишка тесно анатомически и функционально связана с большими пищеварительными железами — поджелудочной железой и печенью с жёлчным пузырём.
То́щая кишка́ челове́ка (лат. jejunum) — средний отдел тонкой кишки, идущий после двенадцатиперстной и перед подвздошной кишкой. Название «тощая» происходит от того, что при препарировании трупа анатомы находили её пустой. Петли тощей кишки располагаются в левой верхней части брюшной полости. Тощая кишка со всех сторон покрыта брюшиной. Тощая кишка, в отличие от двенадцатиперстной, имеют хорошо выраженную брыжейку и рассматривается (вместе с подвздошной кишкой) как брыжеечная часть тонкой кишки.
Подвздо́шная кишка́ челове́ка (лат. ileum) — нижний отдел тонкой кишки, идущий после тощей и перед верхним отделом толстой кишки — слепой кишкой, отделяемой от последней илеоцекальным клапаном (баугиниевой заслонкой). Подвздошная кишка располагается в правой нижней части брюшной полости и в области правой подвздошной ямки впадает в слепую кишку. Подвздошная кишка со всех сторон покрыта брюшиной, имеют хорошо выраженную брыжейку и рассматривается (вместе с тощей кишкой) как брыжеечная часть тонкой кишки (в отличие от двенадцатиперстной кишки). Какой-либо чётко выраженной анатомической структуры, разделяющей подвздошную и тощую кишки, не существует. Однако имеются чёткие различия между этими двумя отделами тонкой кишки: подвздошная имеет больший диаметр, стенка её толще, она богаче снабжена сосудами. Петли тощей кишки лежат главным образом влево от срединной линии, петли подвздошной кишки — главным образом справа от срединной линии.
Толстая кишка
Слепа́я кишка́ (лат. Caecus — слепой; синоним сесит) — первый участок толстой кишки, расположена в правой подвздошной ямке, интраперитонеально (покрыта брюшиной со всех сторон); имеет вид мешка с вертикальным размером около 6 см и поперечным около 7—7,5 см.[3]
Ободо́чная кишка́ (лат. colon) — основной отдел толстой кишки, продолжение слепой кишки. Ободочная кишка не принимает непосредственного участия в пищеварении. Её функции заключаются во всасывании воды и электролитов, чтобы относительно жидкий химус, попадающий из тонкой кишки в толстую, превращался в более густой кал. Продолжением ободочной кишки является прямая кишка. Условно выделяют отделы: восходящая, поперечная, нисходящая и сигмовидная ободочная кишка.
Восходя́щая ободо́чная кишка́ (лат. colon ascendens) — начальный отдел ободочной кишки (являющейся, в свою очередь, отделом толстой кишки), продолжение слепой кишки. Дальнейшим продолжением восходящей ободочной кишки является поперечная ободочная кишка.
Попере́чная ободо́чная кишка́ (лат. colon transversum) — отдел ободочной кишки (отдел толстой кишки, см. на рисунке поз. 2), продолжение восходящей ободочной кишки. Дальнейшим продолжением поперечной ободочной кишки является нисходящая ободочная кишка.
Нисходя́щая ободо́чная кишка́ (лат. colon descendens) — третий отдел ободочной кишки (являющейся, в свою очередь, отделом толстой кишки), продолжение поперечной ободочной кишки. Дальнейшим продолжением нисходящей ободочной кишки является сигмовидная ободочная кишка.
Сигмови́дная ободо́чная кишка́ (лат. colon sigmoideum) — конечная часть ободочной кишки, переходящая в прямую кишку.
Прямая кишка
Пряма́я кишка́ (лат. rectum) — конечная часть пищеварительного тракта, названная так за то, что идёт прямо и не имеет выраженных изгибов. Прямой кишкой называется сегмент толстой кишки книзу от сигмовидной ободочной кишки и до ануса (лат. anus), или иначе заднепроходного отверстия, анального отверстия.
Анальное отверстие
А́нус (лат. anus — кольцо) — очко, или заднепроходное отверстие, или анальное отверстие, нижняя оконечность заднепроходного канала, отверстие, через которое фекалии выводятся из организма.
Пищеварение и экскреция
В ротовой полости при помощи зубов, языка и секрета слюнных желёз в процессе жевания происходит предварительная обработка пищи, заключающаяся в её измельчении, перемешивании и смачивании слюной.
После этого пища в процессе глотания в виде комка поступает по пищеводу в желудок, где продолжается дальнейшая её химическая и механическая обработка. В желудке пища накапливается, перемешивается с желудочным соком, содержащим кислоту, и ферментами, расщепляющими белки.
Далее пища (уже в виде химуса) мелкими порциями поступает в тонкую кишку, где продолжается дальнейшая химическая обработка жёлчью, секретами поджелудочной и кишечных желёз. Здесь же происходит и основное всасывание в кровоток питательных веществ.
Невсосавшиеся пищевые частицы продвигаются дальше в толстый кишечник, где подвергаются дальнейшему расщеплению под действием бактерий. В толстой кишке происходит всасывание воды и формирование каловых масс из непереваренных и невсосавшихся пищевых остатков, которые удаляются из организма в процессе дефекации.
Заболевания желудочно-кишечного тракта
Стоматит
Стомати́т (от др.-греч. στόμα — рот + -itis — воспаление) — наиболее часто встречающееся поражение слизистой оболочки полости рта. Причины, вызывающие стоматит, ещё не выяснены полностью, вероятнее всего, его развитие связано с реакцией иммунной системы на раздражители. При этом заболевании слизистая оболочка рта становится отёчной, болезненной, гиперемированной, она может быть покрыта белым или жёлтым налётом. Отмечается гиперсаливация (повышенное выделение слюны). Может отмечаться кровоточивость дёсен, появляться неприятный запах изо рта. Заболевания желудочно-кишечного тракта, такие, как гастрит, дуоденит, колит, а также глистная инвазия, могут быть причиной катарального стоматита.
Эзофагит
Эзофаги́т (новолат. oesophagitis от др.-греч. οἰσοφάγος — пищевод + -itis — воспаление) — заболевание пищевода, сопровождающееся воспалением его слизистой оболочки. Причины возникновения эзофагита:
- наиболее частая причина — желудочно-пищеводный рефлюкс, приводящий к повреждению слизистой пищевода вследствие воздействия кислотно-пептического фактора. В случае, если эзофагит вызван рефлюксом, он называется рефлюкс-эзофагитом;
- инфекции (наиболее часто грибки рода кандида, вирус простого герпеса, цитомегаловирус). Эти инфекции наиболее часто встречаются у больных с пониженным иммунитетом, в частности, у страдающих СПИДом или получающих иммуносупрессивную терапию, глюкокортикоиды, противоопухолевые химиопрепараты;
- химический ожог щёлочью или кислотой, растворителем (например, бензин, ацетон), сильным окислителем типа перманганата калия также может вызвать эзофагит. Такой эзофагит обычно наблюдается у детей после случайной пробы или у взрослых после попытки суицида с использованием щёлочи, кислоты, растворителя или окислителя. Часто наблюдается у алкоголиков — в данном случае повреждающим фактором является этиловый спирт;
- физическое повреждение пищевода вследствие лучевой терапии или введения зонда также может быть причиной эзофагита.
Рефлюкс-эзофагит
Гастроэзофагеа́льная рефлю́ксная боле́знь (рефлюкс-эзофагит) — это хроническое рецидивирующее заболевание, обусловленное спонтанным, регулярно повторяющимся забросом в пищевод желудочного и/или дуоденального содержимого, приводящему к поражению нижнего отдела пищевода. Развитию гастроэзофагеальной рефлюксной болезни способствуют особенности образа жизни (стресс, работа, связанная с наклонным положением туловища, ожирение), беременность, курение, факторы питания (жирная пища, шоколад, кофе, фруктовые соки, алкоголь, острая пища), а также приём повышающих периферическую концентрацию дофамина препаратов (фенамин, первитин, прочих производных фенилэтиламина). Развитию гастроэзофагеальной рефлюксной болезни способствуют следующие причины:
- снижение тонуса нижнего пищеводного сфинктера;
- снижение способности пищевода к самоочищению;
- повреждающие свойства рефлюктанта, то есть содержимого желудка и/или двенадцатиперстной кишки, забрасываемого в пищевод;
- неспособность слизистой оболочки противостоять повреждающему действию рефлюктанта;
- нарушение опорожнения желудка;
- повышение внутрибрюшного давления.
Изжога
Изжо́га — ощущение дискомфорта или жжения за грудиной, распространяющегося кверху от эпигастральной (подложечной) области, иногда отдающего в область шеи. В популярных публикациях для пациентов говорится, что изжога — это результат воздействия кислоты желудочного сока на слизистую оболочку пищевода, попадающей из желудка в результате гастроэзофагеальных рефлюксов или регургитации[4]. В других источниках отмечается, что, кроме соляной кислоты, повреждающую роль играют также пепсин, жёлчные кислоты, лизолецитин, ферменты поджелудочной железы[5].
Хронический гастрит
Хрони́ческий гастри́т (лат. gastritis, от др.-греч. γαστήρ (gaster) «желудок» + -itis воспалительные или воспалительно-дистрофические изменения слизистой оболочки) — длительно текущее рецидивирующее воспалительное поражение слизистой оболочки желудка, протекающее с её структурной перестройкой и нарушением функций желудка. Хронический гастрит часто развивается бессимптомно[6].
Выделяют две основные формы хронического течения заболевания: поверхностный и атрофический гастрит. Впервые данные термины, базировавшиеся на результатах данных эндоскопических исследований слизистой желудка, были предложены в 1948 году немецким хирургом Шиндлером (R. Schindler). Эти термины получили всеобщее признание и отражены в классификации гастритов по МКБ-10. В основу деления заложен фактор сохранности или утраты нормальных желёз, что имеет очевидное функциональное и прогностическое значение[7]. Кроме двух основных форм, имеются также особые формы хронического гастрита: атрофически-гиперпластический гастрит (или полипозный, «бородавчатый»), гипертрофический гастрит, гигантский гипертрофический гастрит (болезнь Менетрие), лимфоцитарный, гранулёматозный (болезнь Крона, саркоидоз, гранулёматоз Вегенера желудочной локализации), коллагеновый, эозинофильный (синоним аллергический), радиационный, инфекционный (гастроспириллы, цитомегаловирус, дрожжеподобные грибки Candida)[8].
Хронический дуоденит
Хрони́ческий дуодени́т (duodenitis; анат. duodenum двенадцатиперстная кишка + -itis) — воспалительное заболевание двенадцатиперстной кишки, чаще только слизистой оболочки. Возникновению хронического дуоденита способствуют нерегулярное питание с частым употреблением острой, раздражающей, слишком горячей пищи. Вторичный хронический дуоденит наблюдается при хроническом гастрите, язвенной болезни желудка и двенадцатиперстной кишки, хроническом панкреатите, лямблиозе, пищевой аллергии, уремии. Помимо непосредственного воздействия раздражающего агента на слизистую оболочку двенадцатиперстной кишки, в патогенезе хронического дуоденита имеет значение протеолитическое действие на неё активного желудочного сока (при трофических нарушениях, дискинезиях).
Гастродуоденит
Хрони́ческий га́стродуодени́т — (лат. gastroduodenitis; др.-греч. γαστήρ желудок + duodenum двенадцатиперстная кишка + -ит — воспаление) — воспалительное заболевание слизистой двенадцатиперстной кишки и пилорической зоны желудка. Причины развития гастродуоденита делят на эндогенные (внутренние) и экзогенные (внешние).
Среди эндогенных причин гастродуоденита большое значение придаётся повышенному кислотообразованию, уменьшению образования слизи, нарушению гормональной регуляции секреции. Кроме того, к развитию гастродуоденита предрасполагают заболевания печени и жёлчных путей, эндокринная патология.
Среди экзогенных этиологических факторов выделяют физические, как, например, приём острой, холодной или горячей пищи, химические (воздействие пестицидов). Важнейшим фактором является попадание в пищеварительный тракт бактерии Helicobacter pylori.
Дуоденогастральный рефлюкс
Дуоде́ногастра́льный рефлю́кс — заброс содержимого двенадцатиперстной кишки в желудок. Причиной заброса является недостаточность замыкательной функции привратника, хронический дуоденит и повышенное давление в двенадцатиперстной кишке[9]. Дуоденогастральный рефлюкс ведёт к поражению слизистой оболочки желудка, преимущественно примыкающему к двенадцатиперстной кишке антрального отдела желудка, жёлчными кислотами, их солями, панкреатическими ферментами, лизолецитином и другими компонентами дуоденального содержимого[9].
В отношении дуоденогастрального рефлюкса у здоровых людей у гастроэнтерологов существуют несколько отличающиеся мнения, которые выражаются в формулировках. Так, одни считают, что дуоденогастральный рефлюкс встречается у здоровых людей[10], другие пишут более определённо: дуоденогастральный рефлюкс постоянно присутствует у здоровых людей, занимает около 40 % времени суток и усиливается ночью[11].
Энтерит
Хрони́ческий энтери́т (от др.-греч. ἔντερον — кишка) — воспаление тонкой кишки. Хронические энтериты могут быть следствием нерационального питания (систематического нарушения режима питания, злоупотребления острой пищей, крепкими спиртными напитками и так далее), гельминтозов, лямблиоза, геотрихоза, хронических интоксикаций некоторыми промышленными ядами (например, соединениями свинца), длительного бесконтрольного применения лекарств (например, солевых слабительных, антибиотиков широкого спектра действия), некоторых врождённых заболеваний, характеризующихся нарушением синтеза определённых ферментов в кишечнике, и так далее. Постепенно развивается атрофия слизистой оболочки, сглаживаются её ворсинки, уменьшается продукция кишечных ферментов, нарушается всасывание. Больных беспокоят урчание в кишечнике, нерезкие боли в околопупочной области, тошнота, слабость, поносы (преимущественно при энтероколите). Вследствие нарушения всасывания в кишечнике могут возникать различные расстройства питания. Распознаванию энтерита помогают исследования испражнений, полостного и пристеночного пищеварения и другие.
Колит
Хрони́ческий коли́т — воспалительное заболевание внутренней оболочки толстой кишки. Хронический колит рассматривают как угасание симптомов острого колита, с периодическими обострениями.
Проктит
Прокти́т — представляет собой воспаление слизистой оболочки прямой и сигмовидной кишки. Является следствием нелеченого острого заболевания либо имеет специфическую природу — туберкулёзную, сифилитическую, гонорейную, вследствие глистной инвазии или другую. Клинически проявляется периодически возникающим чувством дискомфорта в прямой кишке, ощущением неполного опорожнения, периодическими обострениями, сопровождающимися учащением стула с примесью слизи и иногда крови, болезненными позывами на дефекацию. Хронические воспалительные процессы могут приводить к развитию язв на слизистой оболочке кишки, образованию свищей[12].
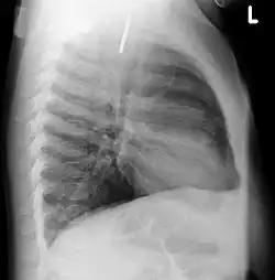
Инородные тела ЖКТ
(слева — в прямой, справа в боковой проекции) — видно инородное тело (монета) пищевода.
Одна из распространённых локализаций инородных тел — желудочно-кишечный тракт. Возможные пути проникновения инородных тел — ротовая полость[13] или прямая кишка[14]. Дети чаще проглатывают монеты[15], у взрослых в 75% случаев инородными телами служили мясные кости[16].
Наиболее часто проглоченные предметы обнаруживают в пищеводе или желудке, реже в глотке или двенадцатиперстной кишке[17].
См. также
Примечания
- ↑ Желудочно-кишечный тракт (ЖКТ). Дата обращения: 20 июня 2013. Архивировано 21 мая 2013 года.
- ↑ Трифонов Е. В. Психофизиология человека. Пищевод Архивная копия от 8 февраля 2009 на Wayback Machine.
- ↑ Анатомия человека. Дата обращения: 19 марта 2012. Архивировано 14 мая 2012 года.
- ↑ Британское общество гастроэнтерологов. Heartburn and Gastro-oesophageal Reflux Архивная копия от 29 августа 2011 на Wayback Machine (англ.). Перевод: Рекомендации пациентам с изжогой и гастроэзофагеальным рефлюксом Архивная копия от 25 октября 2012 на Wayback Machine.
- ↑ Лазебник Л. Б., Бордин Д. С., Машарова А. А. Общество против изжоги Архивная копия от 15 декабря 2010 на Wayback Machine. Экспериментальная и клиническая гастроэнтерология. — 2007. — № 4. — С. 5-10.
- ↑ Ивашкин В. Т., Шептулин А. А., Лапина Т. Л. и др. Диагностика и лечение функциональной диспепсии. Гл. 3. Функциональная диспепсия и хронический гастрит Архивная копия от 24 мая 2014 на Wayback Machine / Методические рекомендации для врачей. М.: Российская гастроэнтерологическая ассоциация, 2011. — 28 с. (Дата обращения: 29 мая 2011)
- ↑ Минушкин О. Н., Зверков И. В. Хронический гастрит // «Лечащий Врач» : журнал. — Издательство "Открытые системы", 2003. — № 05. Архивировано 15 октября 2008 года. (Дата обращения: 29 мая 2011)
- ↑ Фирсова Л. Д., Машарова А. А., Бордин Д. С., Янова О. Б. Хронический гастрит Архивная копия от 4 марта 2016 на Wayback Machine. В кн. «Заболевания желудка и двенадцатиперстной кишки» // — М: Планида. — 2011. — 52 С. (Дата обращения: 30 мая 2011)
- 1 2 Рапопорт С. И. Гастриты (Пособие для врачей) Архивная копия от 22 ноября 2011 на Wayback Machine. — М.: ИД «Медпрактика-М», 2010. — 20 с. ISBN 978-5-98803-214-4.
- ↑ Яковенко А. В. рН-метрия в клинической практике Архивная копия от 13 октября 2006 на Wayback Machine. Федеральный гастроэнтерологический центр МЗ РФ.
- ↑ Волков В. С., Колесникова И. Ю. Дуоденогастральный рефлюкс и язвенная болезнь двенадцатиперстной кишки – расставим точки над «i» Архивная копия от 26 октября 2013 на Wayback Machine // Верхневолжский медицинский журнал. – 2010. – Т. 8. – вып. 1. – С. 26–29.
- ↑ Архивированная копия. Дата обращения: 20 марта 2012. Архивировано 18 октября 2013 года.
- ↑ Pediatrics, Foreign Body Ingestion: Overview - eMedicine. Дата обращения: 18 декабря 2008. Архивировано 30 мая 2012 года.
- ↑ Koornstra J. J., Weersma R. K. Management of rectal foreign bodies: description of a new technique and clinical practice guidelines (англ.) // World J. Gastroenterol. : journal. — 2008. — July (vol. 14, no. 27). — P. 4403—4406. — doi:10.3748/wjg.14.4403. — PMID 18666334. — PMC 2731197. Архивировано 19 сентября 2008 года. Архивированная копия. Дата обращения: 21 марта 2012. Архивировано 19 сентября 2008 года.
- ↑ Arana A., Hauser B., Hachimi-Idrissi S., Vandenplas Y. Management of ingested foreign bodies in childhood and review of the literature (англ.) // Eur. J. Pediatr. : journal. — 2001. — August (vol. 160, no. 8). — P. 468—472. — doi:10.1007/s004310100788. — PMID 11548183. Архивировано 22 ноября 2001 года. Архивированная копия. Дата обращения: 21 марта 2012. Архивировано 22 ноября 2001 года.
- ↑ Conway W. C., Sugawa C., Ono H., Lucas C. E. Upper GI foreign body: an adult urban emergency hospital experience (англ.) // Surg Endosc : journal. — 2007. — March (vol. 21, no. 3). — P. 455—460. — doi:10.1007/s00464-006-9004-z. — PMID 17131048.
- ↑ Li Z. S., Sun Z. X., Zou D. W., Xu G. M., Wu R. P., Liao Z. Endoscopic management of foreign bodies in the upper-GI tract: experience with 1088 cases in China (англ.) // Gastrointest. Endosc. : journal. — 2006. — October (vol. 64, no. 4). — P. 485—492. — doi:10.1016/j.gie.2006.01.059. — PMID 16996336.