Задержка роста плода

Задержка роста плода
МКБ-11 KA20.1
МКБ-10 P05.9
МКБ-9 764.9
МКБ-9-КМ 764.98[1], 764.95[1], 764.90[1], 764.94[1], 764.93[1], 764.96[1], 764.99[1], 764.97[1], 764.9[1], 764.92[1] и 764.91[1]
DiseasesDB 6895
MedlinePlus 001500
MeSH D005317

Задержка роста плода (также устар. задержка внутриутробного развития плода, внутриутробная задержка развития плода, синдром задержки развития плода, гипотрофия плода) — состояние, когда размеры плода находятся ниже ожидаемых на данном сроке беременности[2]. Самым распространённым способом диагностики задержки развития плода является определение массы плода при рождении, которая находится в диапазоне менее десятого процентиля для данного периода беременности[2]. Частота болезни варьирует в широком диапазоне: 5,0—17,6 %[2].

Факторы риска

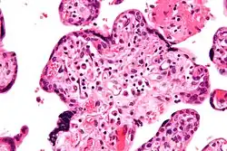
Микрофотография виллита неизвестной этиологии, патологии плаценты, связанной с задержкой роста плода. Окраска гематоксилином и эозином.

Существуют различные факторы риска, которые могут способствовать задержке роста плода. Они включают социально-бытовые факторы (например, молодой или пожилой возраст матери, злоупотребление психоактивными веществами, вредные или тяжёлые условия труда, эмоциональное перенапряжение, недостаточный вес матери), тератогенные факторы (воздействие циклофосфамида, вальпроевой кислоты, антитромбических препаратов)[3], соматические факторы (хронические инфекции, заболевания вне половой сферы), акушерско-гинекологические факторы (проблемы с предыдущими беременностями и родами, гинекологические заболевания, аномалии матки) и факторы, связанные с текущей беременностью (токсикозы, гестоз, многоплодная беременность, угроза прерывания беременности)[2]. Также плодовые факторы (конституциональные особенности, наследственные синдромы, аномалии развития плода, внутриутробные инфекции) могут играть роль в задержке роста плода[2].

Классификация

Согласно данным ультразвуковой фетометрии, выделяются три формы задержки роста плода[2]:

  1. Асимметричная форма: при этой форме задержки роста плода происходит уменьшение только размеров живота плода в сравнении с ожидаемыми значениями для данного гестационного срока. Это отставание может быть более чем на 2 недели или размер живота может быть менее пятого процентиля для соответствующего срока беременности. При этой форме остальные размеры плода остаются в пределах физиологической нормы.
  2. Симметричная форма: в случае симметричной формы задержки роста плода общие размеры тела плода пропорционально уменьшаются относительно ожидаемых значений для данного срока беременности. Все размеры плода, такие как длина тела, окружность головы и живота, уменьшены в одинаковой пропорции.
  3. Смешанная форма: при смешанной форме задержки роста плода наблюдается отставание размеров живота плода более чем на 2 недели, а другие фетометрические показатели находятся в пределах 10—25 процентилей для данного срока беременности.

Патогенез

У женщин, у которых впоследствии развивается синдром задержки развития плода, в первом триместре беременности происходит неполная инвазия трофобласта в стенку спиральных артерий, что приводит к нарушению гемодинамики маточно-плацентарного кровообращения[2]. На ранних сроках беременности (до 22 недель), когда механизмы саморегуляции плода ещё недостаточно развиты, возникает симметричная форма задержки роста плода, связанная с уменьшением числа клеток в период гиперпластического роста[2]. Во второй половине беременности основную роль в патогенезе задержки роста плода играет нарушение кровотока между маткой и плацентой, вызывающее хроническую гипоксию и задержку роста плода[2]. Под влиянием хронической гипоксии происходит повышение кровотока в головном мозге плода при снижении кровотока в остальных органах, что проявляется в формировании асимметричной задержки роста плода[2], а также в дальнейшем может иметь негативное воздействие на когнитивные способности[4].

Диагностика

Диагностика ЗРП возможна с помощью наружного акушерского исследования (измерение и пальпация) и ультразвукового сканирования[2]. Скрининговым методом диагностики ЗРП служит определение ВДМ, отставание которой от гестационного возраста на 2 и более сантиметра даёт основание заподозрить нарушение роста плода[2]. Более объективную информацию даёт ультразвуковая фетометрия, которая позволяет установить диагноз, определить форму и степень ЗРП[2]. Ультразвуковая фетометрия должна проводиться в динамике[2]. Оптимальный интервал между исследованиями должен составлять не менее двух недель[2].

Прогноз

Плоды с задержкой роста, которые развиваются при недостаточной плацентарной перфузии, имеют повышенный риск перинатальных повреждений (65 % случаев)[2]. Такие плоды часто подвержены аспирации мекония, гипоксии во время беременности и асфиксии во время родов[2]. Задержка роста плода приводит к нарушению функционального созревания центральной нервной системы (ЦНС), которая играет важную координирующую и интегрирующую роль в развитии органов и систем плода в пренатальном периоде[2]. В раннем неонатальном периоде это приводит к нарушению формирования рефлекторных и тонических реакций, а впоследствии у этих детей часто наблюдаются неврологические заболевания, начиная от минимальных нарушений мозговой функции до серьёзных соматических и психомоторных проблем[2]. Помимо прочего, новорождённые с задержкой роста, страдающие гипотрофией, подвержены риску развития транзиторного гипотиреоза и внутриутробной инфекции из-за относительного иммунодефицита[2]. Взрослые пациенты, у которых была задержка роста, чаще страдают неврологическими и сердечно-сосудистыми заболеваниями[2].

Лечение

Задержка развития плода может требовать различных тактик ведения беременности и родов, в зависимости от причин болезни, степени её выраженности, формы и срока беременности[2]. Цель лечения — коррекция нарушений в системе мать-плацента-плод[2]. Повторные ультразвуковые кардиомониторные наблюдения необходимы для оценки темпов роста плода и его функционального состояния[2]. Помимо этого, рекомендовано генетическое тестирование[5] и мониторинг через фетальный доплер[6]. Если терапия даёт положительный результат, то беременность можно продлить. Родоразрешение проводят не ранее 37 недель беременности[2]. Если лечение неэффективно или состояние плода ухудшается, досрочное родоразрешение необходимо, независимо от срока беременности[2]. При декомпенсированной форме плацентарной недостаточности (ЗРП II и III степени) показано досрочное родоразрешение путем операции кесарева сечения[2]. После рождения ребёнка с задержкой развития плода плаценту взвешивают и осматривают, чтобы выявить возможные инфаркты, артериовенозные пороки и отложения фибрина, а также отправить плаценту в лабораторию патоморфологии для установления возможной причины задержки развития плода[2].

Примечания

  1. 1 2 3 4 5 6 7 8 9 10 11 Monarch Disease Ontology release 2018-06-29 — 2018-06-29 — 2018.
  2. 1 2 3 4 5 6 7 8 9 10 11 12 13 14 15 16 17 18 19 20 21 22 23 24 25 26 27 28 Акушерство: национальное руководство / под ред. Э. К. Айламазяна, В. И. Кулакова, В. Е. Радзинского, Г. М. Савельевой. М.: ГЭОТАР-Медиа, 2013. — С. 412—416. — 1200 с. — ISBN 978-5-9704-2334-9. Архивировано 13 мая 2023 года.
  3. Fetal Growth Restriction: ACOG Practice Bulletin, Number 227 (англ.) // Obstetrics & Gynecology. — 2021-02. Vol. 137, iss. 2. P. e16—e28. doi:10.1097/AOG.0000000000004251. Архивировано 16 мая 2023 года.
  4. María José Benítez-Marín, Jesús Marín-Clavijo, Juan Antonio Blanco-Elena, Jesús Jiménez-López, Ernesto González-Mesa. Brain Sparing Effect on Neurodevelopment in Children with Intrauterine Growth Restriction: A Systematic Review (англ.) // Children. — 2021-08-28. Vol. 8, iss. 9. P. 745. doi:10.3390/children8090745. Архивировано 16 мая 2023 года.
  5. Fetal Growth Restriction: ACOG Practice Bulletin, Number 227. Obstetrics & Gynecology (англ.). 137 (2): e16 – e28. February 2021. doi:10.1097/AOG.0000000000004251. ISSN 0029-7844. PMID 33481528. S2CID 231680750.
  6. Lees, C. C.; Stampalija, T.; Baschat, A. A.; Silva Costa, F.; Ferrazzi, E.; Figueras, F.; Hecher, K.; Kingdom, J.; Poon, L. C.; Salomon, L. J.; Unterscheider, J. (August 2020). ISUOG Practice Guidelines: diagnosis and management of small‐for‐gestational‐age fetus and fetal growth restriction. Ultrasound in Obstetrics & Gynecology (англ.). 56 (2): 298–312. doi:10.1002/uog.22134. hdl:11343/276085. ISSN 0960-7692. PMID 32738107. S2CID 220909268.

Литература