Инсулома
| Доброкачественные новообразования эндокринных желез панкреатических островков | |
|---|---|
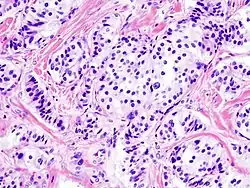
![]() Панкреатический островок, окраска гематоксилин-эозином. | |
| МКБ-10 | D13.7 |
Инсуло́ма (от лат. insula — остров и -ωμα от ὄγκωμα — опухоль) — под этим понятием объединены функционирующие опухоли островков поджелудочной железы — новообразования альфа-, бета-, дельта- (D)- и PP- (F)-клеток.
Островковые опухоли — это прежде всего аденомы (доброкачественные новообразования) и реже — аденокарциномы (злокачественные новообразования). Около 60 % всех эндокринных опухолей поджелудочной железы — инсулинсекретирующие. Как правило, новообразованиям островков Лангерганса, особенно злокачественным, свойственна полигормональная секреция, «чистые» опухоли являются редкостью,[1] однако превалирование секреции одного из гормонов определяет ведущий клинический симптомокомплекс. Тем не менее, метастазы в случае злокачественной опухоли могут состоять только из одного типа клеток, даже при первично поликлональной опухоли, и наоборот — встречаются опухоли из одного типа клеток, секретирующие разнообразные пептиды. Предполагается существование двух источников происхождения эндокринных опухолей: островкового (откуда произошло их название — инсуломы) и протокового — из полипотентных стволовых клеток протокового эпителия (незидиобластов), способных пролиферировать и дифференцироваться в клетки, секретирующие различные пептиды (источник эктопической продукции гормонов). Чаще они возникают у взрослых в любой части поджелудочной железы, редко имеют собственную капсулу, обладают так называемым зигзагообразным ростом, сходным с инфильтративным. Опухоли, диаметром 2 см, как правило, доброкачественные, а более 6 см — злокачественные.[2]
Классификация

В клинике прижилась классификация по названию продуцируемого новообразованием гормона, избыток которого определяет клиническую картину. Позже выяснилось, что гормоны продуцируют не только ортоэндокринные клетки — секретирующие гормоны, свойственные физиологической функции островков, но и параэндокринные — клеточное происхождение которых в настоящее время окончательно не установлено, выделяющие гормоны, не свойственные им[3]: гастрин — гастринома, вазоактивный интестинальный пептид — випома, АКТГ-подобную активность — кортикотропинома. Опухоли из параэндокринных клеток также называют APUD-омами. К параэндокринным относятся также некоторые редкие опухоли, секретирующие другие пептиды и простагландины.[2]
- из альфа-клеток — глюкагонома,
- из бета-клеток — инсулинома,
- из дельта-клеток — соматостатинома,
- из PP-клеток — ППома.
Распространённость
Опухоли из островковых клеток встречаются гораздо реже других панкреатических опухолей. Точных данных о распространёности островково-клеточных опухолей нет. Патологоанатомы находят одну аденому на каждые 1000…1500 исследований. В клиниках широкого профиля соотношение пациентов с функционирующим новообразованием островков Лангерганса ко всем госпитализированным составляет 1:50 000.[4] Около 60 % всех эндокринных опухолей поджелудочной железы — инсулинсекретирующие.[2]
Гистологическая картина
- Патогистология
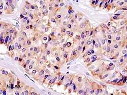
Панкреатическая инсулинома Окраска инсулиномы Chromogranin A - Histopathology of pancreatic endocrine tumor (insulinoma). Insulin immunostain.
См. также
|
Примечания
- ↑ Heitz Multiple hormone producing pancreatic endocrine tumors//Acta endocr.— 1978.— Suppl. 215.— P. 56-57.
- 1 2 3 Клиническая эндокринология: руководство (3-е изд.)/Под. ред. Н. Т. Старковой.— СПб: Питер, 2002.— 576 с.— (Серия «Спутник врача»). ISBN 5-272-00314-4
- ↑ Welbourn R.B. Apudomas of the Cug//Amer. J.Surg.— 1977.— Vol.133, № 1 — P. 13-22.
- ↑ White T.T., Kavlie H. Hormone-producing pancretic islet-cell tumors and hyperplasis // Acta chir. scand.— 1972.— Vol.138, № 8 — P. 809—815.
