Малигнизация
Малигниза́ция (лат. malignus — вредный, гибельный; синоним — озлокачествление) — приобретение клетками нормальной или патологически изменённой ткани организма (в том числе доброкачественной опухоли) свойств злокачественной опухоли. В основе малигнизации лежат нарушения процессов дифференцировки и пролиферации клеток. Малигнизация является следствием накопления мутаций и утратой механизма репарации ДНК в клетках, а также нарушения механизмов апоптоза — запрограммированной клеточной гибели, необходимой для нормального функционирования всего организма.
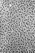
Процесс малигнизации в клеточных культурах — in vitro
Нормальные NIH-3T3-клетки в клеточной культуре. Фотография сделана с помощью фазово-контрастного микроскопа, увел. в 100 раз.
Та же клеточная культура, однако после экспрессии Ras-протоонкогена: началась малигнизационная трансформация.
Признаки малигнизации
Признаками малигнизации являются:
- нарушение размножения клеток,
- нарушение дифференцировки клеток, меняется их функция, форма и метаболическая активность
- изменение морфологии клеток с нарушением их функции,
- ярко выраженный клеточный атипизм, утрата клетками их первоначальной тканевой специфичности, резкому понижению способности к адгезии, формированию злокачественной опухоли и приобретению ими способности к постоянному бесконтрольному росту и размножению, к метастазированию и резко отличающее каждую отдельно взятую злокачественную клетку от нормальных.
- прогрессирующий рост опухоли,
- развитие метастазов, перемещение патологических процессов из первичных очагов и образование вторичных
- особый характер взаимодействия между опухолью и организмом.
Факторы малигнизационной трансформации
- Химические канцерогены — соединения мышьяка, кобальта (кроме кобаламина), бериллия, кадмия, никеля, хрома (со степенью окисления +6 — дихроматы), нитраты,полиароматические углеводороды, нитрозамины, полихлорированные дифенилы, диоксины, формальдегид, этанол
- Физические канцерогены — ультрафиолетовое излучение (в том числе излучение Солнца), внешнее и внутреннее облучение альфа- гамма-, бета-, рентгеновским и нейтронным излучением, тепловое воздействие (значительный нагрев), механическое травмирование доброкачественного новообразования, воздействие электрического тока
- Биологические канцерогены — инфекционные агенты, способные нарушать дифференцировку клеток и вызывающие их пролиферацию вместо гибели: бактерия Helicobacter pylori (рак желудка), вирус ВИЧ 1-го типа, многие вирусы папилломы человека, вирус Эпштейна-Барр, вирусы гепатитов B и C, Т-лимфотропный вирус человека; и инвазионные заболевания — описторхоз и шистосомоз.