Патологический прикус
| патологический прикус | |
|---|---|
| |
| МКБ-11 | DA0E.5 |
| МКБ-10 | K07.4 |
| МКБ-9 | 524.4 |
| MeSH | D008310 |
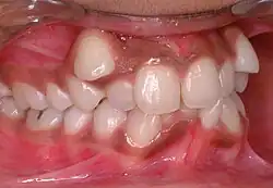
Патологический прикус — неправильное взаимное расположение зубов верхней и нижней челюстей, при котором идёт нарушение функций зубочелюстной системы, в том числе эстетические изменения лица.
Нормальный и патологический прикус
У многих людей прикус в той или иной степени отличается от нормального, но, в основном, не носит критического характера и, соответственно, не требует лечения. При серьёзных отклонениях от нормы, требуется ортодонтическое и, иногда, даже хирургическое вмешательство. Исправление прикуса может сократить риск разрушения зубов и уменьшить давление на височно-нижнечелюстной сустав. Также ортодонтическое лечение применяется в эстетических целях.
Патологический прикус может быть вызван неправильным строением (дисгармонией) лицевой части скелета, в том числе диспропорцией между верхней и нижней челюстями, которая, помимо прикуса, ухудшает и эстетическое восприятие лица человека. В этом случае у человека с патологическим прикусом могут быть проблемы с жеванием и речью. Обычное в данном случае лечение предполагает хирургическое вмешательство.
Классификация
В международной практике патологический прикус в основном делится на три класса[1].
Первую стоматологическую классификацию прикуса создал Эдвард Энгл (англ. Edward Angle) в зависимости от сагиттального соотношения зубов и челюстей. В 1915 году его классификацию модифицировал Девей (Dewey) и в 1933 году — Лишер (Lisher)[2].
Н. Беннет (англ. Sir Normal Bennet) разработал классификацию, основанную на этиологии нарушений прикуса. В классификации Беннета также 3 класса патологического прикуса[3].
Также существует классификация Балларда (англ. Ballard) — скелетная классификация, основанная на продольной оси нижних резцов, разделяющая прикус на три класса[4].
Ещё одна классификация патологий прикуса на три класса — классификация по резцам Британского института стандартов[5].
В 1926 году Саймон (англ. Simon) опубликовал собственную классификацию патологий прикуса по трём измерениям[6].
В 1960 году Аскерман и Профитт (англ. Ackerman and Profitt) создали схематическая классификация нарушений окклюзии (прикуса)[7].
В 1992 году появилась премолярная классификация Каца (англ. Katz)[8].
Также на три класса классифицируют прикус у собак[9].
Классификация Энгла


Эдвард Энгл, считающийся основателем современной ортодонтии, первым ввёл классификацию патологического прикуса. Он основывал свою классификацию на виде смыкания первых моляров верхней и нижней челюстей[10].
Согласно Энглу переднещёчный бугор верхних первых моляров должен оставаться на переднещёчной фиссуре нижних первых моляров. Зубы должны выстраивать линию прикуса, которая представляет собой гладкую кривую, проходящую через центральные ямки и пояс I верхних клыков, через щёчный бугорок и резцовые грани нижней челюсти. Любые отклонения от этого являются патологическим прикусом.
- Класс I: Нейтральный прикус (Neutrocclusion): отношение моляров соответствует нормальному, или соблюдается правило расположения первых моляров, но имеет место скученность, промежутки между зубами (в том числе диастема), глубокое резцовое перекрытие и т. д.
- Класс II: Дистальный прикус (Distocclusion или overjet), характеризуется тем, что межбугровая фиссура первого моляра нижней челюсти располагается позади мезиально-щечного бугра первого моляра верхней челюсти[10]. Существуют два подтипа:
- Класс II подкласс 1: верхние резцы наклонены вперёд в губном направлении (протрузия). Часто сопровождается глубоким прикусом (overbite).
- Класс II подкласс 2: верхние резцы отклонены в лингвальном направлении (нёбно), и кажется, что боковые резцы перекрывают центральные.
- Класс III: Мезиальный прикус (Mesiocclusion или negative overjet): переднещечный бугор первого верхнего моляра находится между заднещечным бугром нижнего первого моляра и переднещечным бугром нижнего второго моляра. Часто нижние передние зубы перекрывают верхние передние зубы.
Скученность зубов
Скученность зубов проявляется визуально как повороты зубов по оси, прорезывание их вне зубной дуги. Возникает при недостатке места для всех зубов, либо при недоразвитии базиса челюсти, то есть самой костной основы, либо при значительном размере самих зубов — макродентия, либо при смещении отдельных групп зубов при раннем удалении молочных и не протезировании данных участков.
Скученность зубов лечится в ортодонтии в разные возрастные периоды разными методами. В детском возрасте при недоразвитии базиса челюсти стимулируют её рост, при смещении отдельных зубов — перемещают их обратно. Во взрослом возрасте в зависимости от степени скученности и причины лечение проводят либо без удаления либо с удалением отдельных зубов.
Скученность зубов во многом предопределяет развитие кариеса, возникновение заболеваний пародонта, что в свою очередь осложняет применение ортодонтических методов лечения. Нередко аномалии положения зубов приводят к различным психоэмоциональным нарушениям у пациентов.
Классификация скученности передних зубов от лёгкой к тяжёлой[11]:
- равномерно тесное расположение зубов, при этом форма зубных дуг не нарушена;
- изменение положения зубов — щёчное или оральное смещение, наклон зуба, поворот его вокруг своей оси;
- нарушение формы зубной дуги и изменение формы альвеолярного отростка или его части, нередко с выталкиванием из зубного ряда двух зубов.
- сужение зубных рядов, с выталкиванием более двух зубов из зубного ряда и неправильным положением других зубов.
Другие причины
Ещё один тип неправильного прикуса — вертикальное несоответствие. Вытянутые лица могут вести к так называемому открытому прикусу (open bite), в то время как «приплюснутому» лицу может соответствовать глубокий прикус (deep bite).
Казэй Гузай в публикации 1950 года изложил квадрантную теорему, в которой показал наличие взаимосвязи между расположением первых двух шейных позвонков и нижней челюсти. Согласно его исследованиям, центр вращения нижней челюсти находится на 50 мм ниже субатлантной зоны, при этом нарушения в одной структуре ведут за собой нарушения в другой[12]. В дальнейшем многие авторы утверждали о связи различных нарушений осанки и неправильного прикуса. Позднейшие исследования опровергли эти утверждения — в результате опубликованного в 2019 году систематического обзора связь любых деформаций позвоночника и неправильного прикуса не выявлена, высококачественные исследования эту гипотезу не подтвердили (эти исследования охватывают более 1400 пациентов). В этом обзоре исследователи отметили, что 8 из 9 публикаций, посвящённых связи деформаций позвоночника и прикуса имеют крайне низкое качество, содержат методологические ошибки и ничего не доказывают[13].
См. также
Примечания
- ↑ Classification.
- ↑ Classification, p. 4–44.
- ↑ Classification, p. 45–48.
- ↑ Classification, p. 49–52.
- ↑ Classification, p. 53–59.
- ↑ Classification, p. 63–75.
- ↑ Classification, p. 83–93.
- ↑ Classification, p. 76–82.
- ↑ Classification, p. 60–62.
- 1 2 Григорий Флейшер. Программа профилактики стоматологических заболеваний у детей и подростков. Руководство для врачей. — Litres, 2022-01-29. — 391 с. — ISBN 978-5-04-182002-2. Архивировано 20 декабря 2023 года.
- ↑ С. Г. Галстян, Е. В. Тимофеев. Аномалии прикуса: современные подходы к диагностике и лечению // Juvenis scientia. — 2021. — Т. 7, вып. 1. — С. 5–16. — ISSN 2414-3782. Архивировано 6 февраля 2023 года.
- ↑ Зорич М.е, Яцкевич О.с. Дистальный прикус: диагностика и комплексное ортодонтическо-хирургическое лечение // Современная стоматология. — 2011. — Вып. 2. — С. 33–36. — ISSN 2077-642X. Архивировано 6 февраля 2023 года.
- ↑ Langella, F. Spinal deformity and malocclusion association is not supported by high-quality studies: results from a systematic review of the literature : [англ.] / F. Langella, F. Fusini, G. Rossi … [et al.] // European Spine Journal. — 2019. — Vol. 28, no. 7. — P. 1638–1651. — doi:10.1007/s00586-019-05896-4. — PMID 30673874.
Литература
- Malocclusion — classification : [англ.] / Aligarh Muslim University. — AMU. — 115 p.