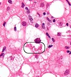
Тельца Мэллори

Тельца́ Мэ́ллори (Тельца Ма́ллори, тельца Мэ́ллори-Де́нка, MDB, гиалин Мэ́ллори) — микроскопические включения в клетках печени, образующиеся при повреждении промежуточных филаментов цитоскелета[1][2]. Были впервые описаны у пациентов с алкогольной жировой инфильтрации печени в 1911 году американским патологом Фрэнком Берром Мэллори.
Раньше считалось, что тельца Мэллори — специфическое проявление жировой инфильтрации печени при алкогольном гепатозе. Однако, современные данные показывают, что они также встречаются при неалкогольной жировой болезни печени[3], холестатических заболеваниях печени, первичном билиарном циррозе и гепатоцеллюлярной карциноме, болезни Вильсона-Коновалова и отравлениях медью[4][5]. Также были описаны случаи обнаружения в клетках других органов при асбестозе, почечно-клеточной карциноме и других заболеваниях[6][7].
Основные компоненты телец Мэллори — убиквитин, белки промежуточных филаментов цитокератины 8 и 18 и секвестосома 1.
Микроскопическая характеристика
При окрашивании гематоксилином и эозином приобретают розовый цвет и хорошо различимы, однако, наилучший диагностический вариант — иммуногистохимическая окраска на убиквитин или цитокератины[1].
При микроскопии тельца Мэллори классифицируют следующим образом[1]:
- Тип I — параллельные филаменты;
- Тип II — беспорядочно ориентированные филаменты, встречающиеся по периферии клетки;
- Тип III — аморфные, располагаются вокруг центра клетки.
Механизм образования
Механизм образования телец Мэллори связывают с недостаточной убиквитин-протеасомной деградацией цитокератина 8[8]. Цитокератин 8 изменяет свою вторичную структуру с α-спирали на β-складчатый слой с поперечными сшивками[9], образуя амилоид. Похожий механизм развивается при прионных заболеваниях и болезни Альцгеймера[10].
Существует предположение, что тельца Мэллори играют роль в процессе клеточного старения[11].
Примечания
В современной литературе часто используется термин "Тельца Мэ́ллори-Де́нка" в честь австрийского врача Хельмута Денка, впервые продемонстрировшего тельца Мэллори в животной модели у мышей[12].
Ссылки
- 1 2 3 Kurtovic, Emir. Mallory Bodies // StatPearls / Emir Kurtovic, Faten Limaiem. — StatPearls Publishing, 2024.
- ↑ Kanel, Gary C. Alcoholic and Non-Alcoholic Fatty Liver Diseases // Atlas of Liver Pathology / Gary C. Kanel, Jacob Korula. — Elsevier, 2011. — P. 71–92. — ISBN 978-1-4377-0765-6. — doi:10.1016/b978-1-4377-0765-6.10004-7.
- ↑ Rinella, Mary E. (2023). Examining the Nomenclature Change From NAFLD and NASH to MASLD and MASH. Gastroenterology & Hepatology. 19 (11): 697–699. ISSN 1554-7914. PMC 10882866. PMID 38405223.
- ↑ Basaranoglu, Metin; Turhan, Nesrin; Sonsuz, Abdullah; Basaranoglu, Gökcen (7 мая 2011). Mallory-Denk Bodies in chronic hepatitis. World Journal of Gastroenterology. 17 (17): 2172–2177. doi:10.3748/wjg.v17.i17.2172. ISSN 2219-2840. PMC 3092867. PMID 21633525.
- ↑ Aishima, Shinichi; Fujita, Nobuhiro; Mano, Yohei; Iguchi, Tomohiro; Taketomi, Akinobu; Maehara, Yoshihiko; Oda, Yoshinao; Tsuneyoshi, Masazumi (2010). p62+ Hyaline inclusions in intrahepatic cholangiocarcinoma associated with viral hepatitis or alcoholic liver disease. American Journal of Clinical Pathology. 134 (3): 457–465. doi:10.1309/AJCP53YVVJCNDZIR. ISSN 1943-7722. PMID 20716803.
- ↑ Michel, R. P.; Limacher, J. J.; Kimoff, R. J. (1982). Mallory bodies in scar adenocarcinoma of the lung. Human Pathology. 13 (1): 81–85. doi:10.1016/s0046-8177(82)80143-3. ISSN 0046-8177. PMID 6176520.
- ↑ Zatloukal, Kurt; French, Samuel W.; Stumptner, Cornelia; Strnad, Pavel; Harada, Masaru; Toivola, Diana M.; Cadrin, Monique; Omary, M. Bishr (10 июня 2007). From Mallory to Mallory-Denk bodies: what, how and why?. Experimental Cell Research. 313 (10): 2033–2049. doi:10.1016/j.yexcr.2007.04.024. ISSN 0014-4827. PMID 17531973.
- ↑ Donohue, TM. The Ubiquitin–Proteasome System in Alcohol–Induced Pathology // Comprehensive Handbook of Alcohol Related Pathology / TM Donohue, SW French. — Elsevier, 2005. — P. 1027–1039. — ISBN 978-0-12-564370-2. — doi:10.1016/b978-012564370-2/50082-9.
- ↑ Mahajan, Vineet; Klingstedt, Therése; Simon, Rozalyn; Nilsson, K. Peter R.; Thueringer, Andrea; Kashofer, Karl; Haybaeck, Johannes; Denk, Helmut; Abuja, Peter M.; Zatloukal, Kurt (2011). Cross β-sheet conformation of keratin 8 is a specific feature of Mallory-Denk bodies compared with other hepatocyte inclusions. Gastroenterology. 141 (3): 1080–1090.e1–7. doi:10.1053/j.gastro.2011.05.039. ISSN 1528-0012. PMID 21699779.
- ↑ Murray, Kevin A.; Hughes, Michael P.; Hu, Carolyn J.; Sawaya, Michael R.; Salwinski, Lukasz; Pan, Hope; French, Samuel W.; Seidler, Paul M.; Eisenberg, David S. (2022). Identifying amyloid-related diseases by mapping mutations in low-complexity protein domains to pathologies. Nature Structural & Molecular Biology. 29 (6): 529–536. doi:10.1038/s41594-022-00774-y. ISSN 1545-9985. PMC 9205782. PMID 35637421.
- ↑ Denk, Helmut; Abuja, Peter M.; Zatloukal, Kurt (30 января 2024). Mallory-Denk bodies and hepatocellular senescence: a causal relationship?. Virchows Archiv. 484 (4). Springer Science and Business Media LLC: 637–644. doi:10.1007/s00428-024-03748-1. ISSN 0945-6317.
- ↑ Zatloukal, Kurt; French, Samuel W.; Stumptner, Cornelia; Strnad, Pavel; Harada, Masaru; Toivola, Diana M.; Cadrin, Monique; Omary, M. Bishr (2007). From Mallory to Mallory–Denk bodies: What, how and why?. Experimental Cell Research. 313 (10). Elsevier BV: 2033–2049. doi:10.1016/j.yexcr.2007.04.024. ISSN 0014-4827.