Аппендажит

Аппендажит — редкий, доброкачественный, самоограничивающийся воспалительный процесс в подвеске большого сальника.
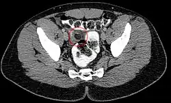
Сальниковые подвески представляют собой небольшие жировые отростки, располагающиеся вдоль поверхности толстой кишки. В результате перекрута или венозного тромбоза в одном из них может развиться воспалительный процесс, проявляющийся резкой болью в одной из областей живота (наиболее часто — в правой или левой подвздошных областях). Иногда возникают тошнота и рвота. Симптомы могут симулировать аппендицит, холецистит или дивертикулит. Температура тела и результаты лабораторных исследований обычно нормальные. Аппендажит обычно диагностируется случайно, при компьютерной томографии, проводимой для исключения более серьёзной патологии. Чаще всего воспалительный процесс локализуется в области слепой или сигмовидной кишок.
Аппендажит не требует хирургического вмешательства, так как является самоотграничивающимся процессом, приводящим к отшнуровке и обызвествлению сальникового подвеска с формированием так называемых «свободного тела». Для купирования болевых ощущений могут применяться анальгетики; болевой синдром регрессирует в течение недели.
В редких случаях могут наблюдаться осложнения аппендажита в виде кишечной инвагинации, абсцедирования, перитонита, кишечной непроходимости, нарушения пассажа мочи.