Гингивит
| Острый и хронический гингивит | |
|---|---|
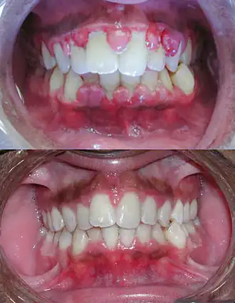
![]() Тяжелая форма гингивита до (вверху) и после (внизу) тщательной хирургической обработки раны зубов и прилегающих тканей десен | |
| МКБ-10 | K05.0, K05.1 |
| МКБ-10-КМ | K05.1, K05.0, K05.10 и K05.00 |
| МКБ-9 | 523.0-523.1 |
| МКБ-9-КМ | 523.0[1][2], 523.1[1][2] и 523.10[2] |
| DiseasesDB | 34517 |
| MedlinePlus | 001056 |
| MeSH | D005891 |
Гингиви́т (лат. gingivitis; от лат. gingiva — «десна» и лат. -itis — «воспаление») — это воспаление дёсен без нарушения целостности зубодесневого соединения[3]. При отсутствии лечения гингивит может прогрессировать в деструктивную форму заболеваний пародонта — пародонтит[4].
Этиология

Гингивит, как правило, возникает из-за скопления микробного налёта на зубах, в результате несоблюдения гигиены полости рта. Гингивит также может обусловить неправильное ортодонтическое лечение, которое в комплексе с плохим уходом за зубами и полостью рта провоцирует интенсивное развитие патогенных микроорганизмов. Бактерии (реже — вирусы, грибы) являются непосредственной причиной воспаления дёсен (Streptococcus oralis, Bacteroides gingivalis, Porphyromonas gingivalis, Actinomycetes comitans, Prevotella intermedia, Actinomyces israelii)[5][6].
Факторы риска
- табакокурение[7][8];
- нарушение гигиены полости рта;
- иммунодепрессивные состояния;
- отсутствие доступа к адекватной стоматологической помощи;
- недоедание;
- зубной камень;
- возраст от 3 до 6 лет;
- сахарный диабет;
- беременность;
- дефицит витамина C;
- депрессии[9];
- ОРЗ, грипп, ангина, СПИД, туберкулёз и другие заболевания;
- отравление организма тяжёлыми металлами (ртуть, висмут, свинец)[10];
- применение оральных контрацептивов[11];
- патологии прикуса;
- проблемные пломбы;
- нарушение носового дыхания.
Патогенез
Биоплёнки (преимущественно Актиномицеты, Tannerella forsythia, Fusobacterium nucleatum, Спирохеты, Synergistetes) ответственны за образование зубного налёта и развитие гингивита, кариеса, пародонтита[12].
Эпидемиология
Гингивит чаще возникает у мужчин, чем у женщин. Заболевание преобладает больше среди групп с неблагополучным социально-экономическим положением, также лиц, не имеющих доступ к адекватной стоматологической помощи, а также среди групп населения, имеющих психические отклонения.
Классификация и симптомы гингивита
Острый

Катаральный гингивит является самой распространённой формой заболевания. Основные симптомы — это покраснение, немного отекшая десна, часто возникают мягкие и твердые отложения на зубах. При чистке зубов может наблюдаться воспаление десны и кровоточивость.
Хронический
Хронический гингивит характеризуется тем, что больной практически не испытывает болевых ощущений, а само воспаление имеет длительное вялое течение. Поэтому хронический гингивит нередко обнаруживается лишь на профилактических осмотрах у стоматолога.
Во время хронического гингивита периодически возникает кровоточивость при чистке зубов, появляется неприятный запах изо рта, происходит лёгкое покраснение десны и набухание десневых сосочков. При обострении заболевания десна приобретает яркую окраску, отекает и кровоточит. Отмечается наличие зубных отложений, иногда с поражением твёрдых тканей зуба.
Десквамативный гингивит
Характеризуется интенсивным покраснением и обильным слущиванием десневого эпителия.
Гиперпластический гингивит
Гипертрофический (гиперпластический) гингивит возникает в более редких случаях и зачастую связан с эндокринными изменениями в организме. Такой вид заболевания может встречаться у подростков (ювенильный гингивит), беременных женщин и у людей страдающих сахарным диабетом. При гипертрофическом гингивите объём зубодесневых сосочков увеличивается.
При заболевании возникает кровоточивость, выделение гноя, дёсны становятся багрово-синюшного оттенка, во рту появляется неприятный запах, зубные отложения, образуются ложно-патологические карманы.
Для гипертрофического гингивита степень тяжести определяется выраженностью гиперплазии десны: при легкой степени — до 1/3. при средней степени — до 1/2 и при тяжелой — более 1/2 коронки зуба[13].
Простой маргинальный
Наиболее часто встречается в детском возрасте и связан с нарушением гигиены полости рта.
Язвенный
Характеризуется сильным зудом, жжением, кровоточивостью и изъязвлением дёсен.
Атрофический гингивит
Характеризуется уменьшением объёма десневой ткани.
Острый некротизирующий язвенный гингивит

В МКБ-10 классифицируется отдельно. Причиной заболевания является бактериальная инфекция, чаще всего анаэробы такие как P. intermedia, фузобактерии, а также спирохеты такие как Borrelia и Treponema. Слизистая рта воспаляется, появляется кровоточивость, неприятный запах, возникает некроз межзубных сосочков. Наблюдаются увеличение региональных лимфных узлов и повышение температуры тела. Заболевание возникает при недостаточной гигиене полости рта у молодых людей (17—30 лет). Может возникать при ОРЗ, гриппе, ангине, СПИДе, туберкулёзе и др. заболеваниях[14].
Гормонально модулированный гингивит
Хотя изменение гормонального баланса в организме в принципе не может стать причиной воспаления десны, оно может осложнить течение уже существующего гингивита, вызванного накоплением зубной бляшки в полости рта. Существуют несколько форм гингивита, обусловленных влиянием половых гормонов.
Пубертатный гингивит
Эпидемиологические исследования показывают, что эта форма гингивита более характерна для годов жизни либо предшествующих, либо идущих непосредственно после полового созревания (пубертата). Данное состояние характерно для подростков с плохой гигиеной полости рта и для тех, у кого наблюдаются нарушения носового дыхания. Обычно появляется гиперплазия десны, особенно в преддверии полости рта. Лечение заключается в удалении зубного камня и улучшении личной гигиены. Иногда необходимо провести гингивэктомию[15].
Гингивит у беременных
Сравнительно редкий. Проявляется даже у женщин с хорошей гигиеной полости рта. Слизистая дёсен отечна и склонна кровоточить[16].
Гингивит при приёме контрацептивов
В настоящее время встречается очень редко. Характеризируется незначительной кровоточивостью, реже эритрема и припухлость дёсен[15].
Gingivitis menstrualis/intermenstrualis
Исключительно редкое состояние. В принципе эпителий десны меняется у женщин циклически в 28-дневном менструальном цикле таким образом, каким меняется и эпителий влагалища. Десквамация эпителия гингивы может быть настолько выражена, что вызывает эту особую клиническую форму гингивита. Необходимо улучшение гигиены для предотвращения вторичного гингивита[15].
Gingivitis climacterica
Эта клиническая форма заболевания встречается у женщин после наступления менопаузы и при этом довольно редко. Слизистая полости рта бывает сухой и с маленькими красными крапинками. Пациентка жалуется на ксеростомию, иногда на ощущение жжения во рту. Лечение состоится в профессиональной гигиене, витамин А местно, в более тяжёлых случаях — консультация с гинекологом и принятие эстроген-содержащих препаратов[15].
Лечение гингивита
В зависимости от течения заболевания, проводят соответствующее лечение, которое может заключаться как в профессиональной чистке ротовой полости, так и в хирургическом методе лечения[17]. При тяжёлом или затяжном течении гингивита возможно системное применение антибиотиков таких как пенициллин, тетрациклин, доксициклин, метронидазол, ципрофлоксацин, клиндамицин[18]. Для облегчения боли применяют парацетамол или ибупрофен. Для снятия боли, отечности, ускорения заживления тканей и борьбы с бактериями и вирусами, могут применяться растворы для полоскания рта, содержащие экстракты трав с аминокислотами, например, Висцид.
Прогноз
Как правило наступает полное выздоровление, так как зубодесневое соединение не нарушено.
Профилактика
- соблюдение гигиены полости рта (зубные пасты, гели, ополаскиватели)
- отказ от курения
- использование электрических зубных щёток[19]
- стоматологические гели с метронидазолом, например «Метрогил Дента»
- амбазон, 2,4-дихлорбензиловый спирт, амилметакрезол в виде таблеток для рассасывания
- полоскание полости рта растворами содержащими хлоргексидин, пероксид водорода, этанол, тимол, цинеол, метилсалицилат, ментол, метилпарабен, бензалкония хлорид, фториды и ксилит. Последние научные исследования также показали благотворное воздействие жидкостей для полоскания рта с эфирными маслами[20]
- применение зубных паст с триклозаном[21]
- употребление препаратов кальция[22]
- применение зубной нити[23]
Указанные выше профилактические меры также используются и для лечения.
Осложнения
- Пародонтит[4] и последующая потеря зубов;
- Инфицирование апикального периодонта, а также костей челюсти;
- Переход заболевания в язвенно-некротическую форму.
- Гематогенные инфекции — инфекционный эндокардит, гломерулонефрит.
Дифференциальная диагностика
Гингивит необходимо отличать от пародонтита и пародонтоза. Основной признак, отличающий гингивит от других заболеваний пародонта, в том, что воспалительный процесс затрагивает лишь ткань десны, остальные структуры (периодонтальные связки, удерживающие зуб в челюсти, и костная ткань) остаются без изменений. В норме глубина зубодесневого соединения составляет 1—1.5 мм, при деструкции зубодесневого соединения наблюдаются пародонтальные карманы (глубиной 4 мм и более) которые являются признаком пародонтита. При гингивите не бывает пародонтальных, но бывают ложные пародонтальные карманы, образующиеся при гипертрофической форме гингивита, и вообще при любом отёке десны. Наряду с этим признаком, для гингивита не характерны пародонтальные карманы, обнажение шеек зубов, их подвижность — эти признаки свидетельствуют о поражении костного аппарата. В целях дифференциальной диагностики используется рентгенография — для гингивита нехарактерны изменения высоты межальвеолярных перегородок[24].
Гингивит в искусстве
- В американском комедийном сериале «Два с половиной человека» есть серия «Война против гингивита».
См. также
Примечания
- 1 2 Disease Ontology (англ.) — 2016.
- 1 2 3 Monarch Disease Ontology release 2018-06-29 — 2018-06-29 — 2018.
- ↑ The American Academy of Periodontology. Proceedings of the World Workshop in Clinical Periodontics. Chicago:The American Academy of Periodontology; 1989:I/23-I/24.
- 1 2 Parameter on Plaque-Induced Gingivitis (неопр.) // Journal of Periodontology. — 2000. — Т. 71, № 5 Suppl. — С. 851—852. — doi:10.1902/jop.2000.71.5-S.851. — PMID 10875689.
- ↑ 1. Van de Leur JJJPM. Dofferhoff ASM. van Turnhout JM. Volliird EJ, Clasener HAL. Colonization of oropharynx with staphylococci after penicillin in neutropenic patients. Lancet 1992, 340: 861—862.
- ↑ Микробиоценоз ротовой полости в норме и некоторых патологических состояниях. Дата обращения: 16 июня 2012. Архивировано из оригинала 9 августа 2011 года.
- ↑ Alien CM, Camisa C. In: Sama WM, Lynch PJ, eds. Principles and practice of dermatology. New York: Churchill-Livingstone, 1990;913-41
- ↑ Курение и пародонтит. Институт стоматологии АМН Украины
- ↑ [Chronic Stress, Depression, and Cortisol Levels as Risk Indicators of elevated plague and gingivitis levels http://missouridentalimplants.com/app/download/6500666504/stressstudy.pdf Архивная копия от 5 марта 2016 на Wayback Machine]
- ↑ Heavy Metal Poisoning — Patient.co.uk. Дата обращения: 21 февраля 2012. Архивировано 3 февраля 2012 года.
- ↑ Armitage, Gary C. Development of a Classification System for Periodontal Diseases and Conditions (англ.) // Annals of Periodontology : journal. — 1999. — Vol. 4, no. 1. — P. 1—6. — doi:10.1902/annals.1999.4.1.1. — PMID 10863370. Архивировано 12 июня 2010 года. Архивированная копия. Дата обращения: 22 февраля 2012. Архивировано 12 июня 2010 года.
- ↑ V. Zijnge, M. B. M. van Leeuwen, J. E. Degener, F. Abbas, T. Thurnheer, R. Gmür, H. J. M. Harmsen, Oral Biofilm Architecture on Natural Teeth Архивная копия от 14 декабря 2014 на Wayback Machine, PLoS ONE, 5(2), 2010, e9321
- ↑ Дифференциальная диагностика заболеваний пародонта. Stomfak.ru. Дата обращения: 2 сентября 2011. Архивировано 28 ноября 2012 года.
- ↑ American Academy of Periodontology. Parameter on acute periodontal diseases. American Academy of Periodontology (неопр.) // Journal of Periodontology. — 2000. — May (т. 71, № 5 Suppl). — С. 863—866. — doi:10.1902/jop.2000.71.5-S.863. — PMID 10875694. Архивировано 28 ноября 2010 года. Архивированная копия. Дата обращения: 22 февраля 2012. Архивировано из оригинала 28 ноября 2010 года.
- 1 2 3 4 Color Atlas of Dental Medicine: Periodontology / Herbert F. Wolf, Thomas M. Hassell, Edith M. Rateitschak-Plüss, Klaus H. Rateitschak. — Stuttgart: Georg Thieme Verlag, 2005. — ISBN 9780865779020, 9783131604835. Архивировано 16 августа 2019 года.
- ↑ Periodontology. — 3rd revised and expanded edition. — Stuttgart. — xi, 532 pages с. — ISBN 0865779023, 9780865779020, 3136750039, 9783136750032. Архивировано 7 июня 2020 года.
- ↑ Gum Disease — Bupa. Дата обращения: 22 февраля 2012. Архивировано 26 февраля 2012 года.
- ↑ Antibiotic Therapy | Antibiotics for Gum Infections | Antibiotic for Gum Disease. Дата обращения: 14 июня 2012. Архивировано из оригинала 29 июня 2012 года.
- ↑ Robinson P, Deacon SA, Deery C, Heanue M, Walmsley AD, Worthington HV, Glenny A-M, Shaw BC. Manual versus powered toothbrushing for oral health. Cochrane Database of Systematic Reviews 2005, Issue 2. Art. No.: CD002281. DOI: 10.1002/14651858.CD002281.pub2. Дата обращения: 6 июля 2011. Архивировано 20 июля 2011 года.
- ↑ Stoeken, Judith E.; Paraskevas, Spiros; Van Der Weijden, Godefridus A. The Long-Term Effect of a Mouthrinse Containing Essential Oils on Dental Plaque and Gingivitis: A Systematic Review (англ.) // Journal of Periodontology : journal. — 2007. — Vol. 78, no. 7. — P. 1218—1228. — doi:10.1902/jop.2007.060269. — PMID 17608576.
- ↑ FDA Triclosan: What Consumers Should Know Архивная копия от 23 апреля 2019 на Wayback Machine Accessed 2010-08-12
- ↑ Calcium Reduces Risk for Gum Disease Архивная копия от 29 сентября 2011 на Wayback Machine. Perio.org. Retrieved on 2011-04-30.
- ↑ The efficacy of dental floss in addition to a toothbrush on plaque and parameters of gingival inflammation: a systematic review. Дата обращения: 5 октября 2011. Архивировано 6 июля 2014 года.
- ↑ Gingivitis and periodontitis — plaque-associated — Making a diagnosis — NHS Clicical Knowledge Summaries. Дата обращения: 22 февраля 2012. Архивировано из оригинала 6 мая 2012 года.
Литература
- Боровский E. В. Гингивит // Большая медицинская энциклопедия, 3-е изд. — М.: Советская энциклопедия. — Т. 5.
