Синдром Ди Георга

Синдром Ди Георга
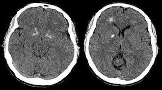
Компьютерная томограмма головного мозга пациента с синдромом Ди Георга демонстрирует кальцификацию базальных ганглиев и перивентрикулярное обызвествление. (По материалам Tonelli et al., 2007).
Компьютерная томограмма головного мозга пациента с синдромом Ди Георга демонстрирует кальцификацию базальных ганглиев и перивентрикулярное обызвествление. (По материалам Tonelli et al., 2007).
МКБ-11 LD44.N0
МКБ-10 D82.1
МКБ-10-КМ D82.1
МКБ-9 279.11, 758.32
МКБ-9-КМ 279.11[1]
OMIM 188400
DiseasesDB 3631
eMedicine med/567 ped/589 derm/716
MeSH D004062
Логотип Викисклада Медиафайлы на Викискладе

Синдром Ди Георга (синдром Ди Джорджа, синдром Ди Джорджи, синдром дисэмбриогенеза 3-4 жаберной дуги, врождённая аплазия тимуса и паращитовидных желёз, синдром 22q11.2, CATCH 22 phenotype[2]) — разновидность идиопатического изолированного гипопаратиреоза; редкое врождённое заболевание. Генетической причиной синдрома Ди Георга является делеция центрального участка длинного плеча хромосомы 22 (22q11.2) размером 1,5—3 млн.п.н. Однако известны случаи, когда при тех же клинических проявлениях имеет место делеция других хромосом — 10р13, 17р13, 18q21 и других. В большинстве случаев делеция происходит во время мейоза при спермато- или овогенезе. Только в 5—10 % случаев дефектная хромосома наследуется по аутосомно-доминантному типу[3]. Характеризуется агенезией или дисгенезом паращитовидных (околощитовидных) желёз, аплазией тимуса (вилочковой железы), приводящей к резкому снижению популяции Т-лимфоцитов и иммунологической недостаточности, врождёнными аномалиями крупных сосудов (дефекты аорты, тетрада Фалло)[4].

Этиология и патогенез

Патология 22-й хромосомы (22q11.2) наследуется по аутосомно-доминантному типу.

Наиболее вероятная причина развития клинической симптоматики при данном синдроме — несбалансированная транслокация, делеция или микроделеция 22-й хромосомы (22q11.2). Большинство случаев спорадические, обусловлены делециями 22q11[5].

Заболевание развивается в результате повреждения закладки 3—4-го жаберных карманов, в результате которого нарушается закладка паращитовидных желёз и тимуса. Тип наследования до конца не установлен — некоторые авторы предполагают аутосомно-доминантный тип с различной экспрессивностью[6].

Клиническая картина

Клинически наиболее постоянными проявлениями заболевания является гипопаратиреоз и кандидомикоз, отмечаются аномалии развития носа, рта, ушей[4].

Заболевание характеризуется аплазией тимуса и связано с нарушениями развития тимуса в эмбриональном периоде. Тимусный эпителий не может обеспечить нормальное развитие Т-клеток. В результате у пациентов с данной формой иммунодефицита страдает как клеточный, так и гуморальный иммунный ответ. Дети с подобным иммунодефицитным заболеванием проявляют повышенную чувствительность к вирусным, грибковым и некоторым бактериальным инфекциям.

Возможно течение синдрома в виде изолированной недостаточности паращитовидных желёз или врождённого отсутствия околощитовидных (паращитовидных) желез — гипокальциемические судороги, начиная с периода новорожденности (тетания) и вилочковой железы (различные инфекционные заболевания как следствие иммунологической недостаточности)[6].

Диагностика

Основывается на выявлении типичных для синдрома аномалий развития[6]:

  • агенезия или дисгенез паращитовидных желёз;
  • аплазия вилочковой железы;
  • иммунологическая недостаточность;
  • черепно-лицевые дисморфии (микрогнатия, гипертелоризм, антимонголоидный разрез глаз, расщелины губы и нёба, деформированные и/или низко расположенные ушные раковины).

Наиболее яркие проявления — гипопаратиреоз и кандидомикоз. Возможно сочетание с дефектами аорты и тетрадой Фалло. Иногда — катаракта и паховые грыжи. В крови определяется лимфоцитопения, гипокальциемия, гипогамма-глобулинемия[6].

Технология распознавания лиц

В Национальном НИИ генома человека в Вашингтоне (США) для диагностики синдрома Ди Джорджи применяется технология распознавания лиц[7].

Прогноз

Обычно больные умирают в раннем возрасте от инфекционных заболеваний и сердечной недостаточности[4].

См. также

Примечания

  1. Disease Ontology (англ.) — 2016.
  2. Burn J. Closing time for CATCH22 (англ.) // J. Med. Genet. : journal. — 1999. — October (vol. 36, no. 10). P. 737—738. doi:10.1136/jmg.36.10.737. PMID 10528851. PMC 1734243. Архивировано 22 апреля 2021 года.
  3. Синдром Ди Джорджи. Центр молекулярной генетики при Медико-генетическом научном центре РАМН. Дата обращения: 18 марта 2016. Архивировано 6 ноября 2018 года.
  4. 1 2 3 Малая энциклопедия врача-эндокринолога / Под ред. А. С. Ефимова. — 1-е изд. — Киев: Медкнига, ДСГ Лтд, Киев, 2007. — С. 312. — 360 с. — («Библиотечка практикующего врача»). 5000 экз. — ISBN 966-7013-23-5.
  5. Эндокринология / Под ред. Н. Лавина. — 2-е изд. Пер. с англ. М.: Практика, 1999. — С. 485, 483, 441—442, 66, 64.. — 1128 с. 10 000 экз. — ISBN 5-89816-018-3.
  6. 1 2 3 4 Симптомы и синдромы в эндокринологии / Под ред. Ю. И. Караченцева. — 1-е изд. Х.: ООО «С.А.М.», Харьков, 2006. — С. 67—68. — 227 с. — (Справочное пособие). 1000 экз. — ISBN 978-966-8591-14-3.
  7. Смит, Браун, 2021, Глава 12, с. 219.

Литература

  • Брэд Смит, Кэрол Браун. IT как оружие. Какие опасности таит в себе развитие высоких технологий = Brad Smith, Caroll Ann Browne. Tools and Weapons: The Promise and the Peril of the Digital Age. М.: Альпина Паблишер, 2021. — 352 с. — ISBN 978-5-9614-4017-1.

Ссылки